JavaScript is disabled in your browser. Please enable JavaScript to view this website.
AB256470

Anti-Glutathione Peroxidase 3/GPx-3 antibody [EPR22815-112]

0

(1 Review)

|

(19 Publications)

Rabbit Recombinant Monoclonal Glutathione Peroxidase 3/GPx-3 antibody. Suitable for WB, IHC-Fr, IHC-P and reacts with Mouse, Rat samples. Cited in 19 publications.

View Alternative Names

Glutathione peroxidase 3, GPx-3, GSHPx-3, Plasma glutathione peroxidase, GPx-P, GSHPx-P, Gpx3

8 Images
Immunohistochemistry (Formalin/PFA-fixed paraffin-embedded sections) - Anti-Glutathione Peroxidase 3/GPx-3 antibody [EPR22815-112] (AB256470)
  • IHC-P

Unknown

Immunohistochemistry (Formalin/PFA-fixed paraffin-embedded sections) - Anti-Glutathione Peroxidase 3/GPx-3 antibody [EPR22815-112] (AB256470)

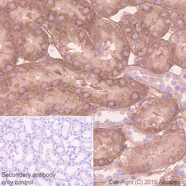
Immunohistochemical analysis of paraffin-embedded rat kidney tissue labeling Glutathione Peroxidase 3/GPx-3 with ab256470 at 1/500 dilution (0.96μg/ml) followed by a ready to use Rabbit specific IHC polymer detection kit HRP/DAB (ab209101). Positive staining on rat kidney (PMID : 21493731, 27435875) is observed. The section was incubated with ab256470 for 15 mins at RT. The immunostaining was performed on a Leica Biosystems BOND® RX instrument. Counterstained with hematoxylin. Heat mediated antigen retrieval with Tris-EDTA buffer (pH 9.0, epitope retrieval solution 2) for 20 mins.

Secondary antibody only control : Used PBS instead of primary antibody, secondary antibody is a ready to use Rabbit specific IHC polymer detection kit HRP/DAB (ab209101).

Immunohistochemistry (Frozen sections) - Anti-Glutathione Peroxidase 3/GPx-3 antibody [EPR22815-112] (AB256470)
  • IHC-Fr

Unknown

Immunohistochemistry (Frozen sections) - Anti-Glutathione Peroxidase 3/GPx-3 antibody [EPR22815-112] (AB256470)

Immunohistochemical analysis of 4% PFA fixed, 0.2% Triton X-100 permeabilized frozen mouse kidney tissue labeling Glutathione Peroxidase 3/GPx-3 with ab256470 at 1/100 (4.80 μg/ml) dilution followed by ab150077 AlexaFluor® 488 Goat anti-Rabbit secondary at 1/1000 (2 μg/ml) dilution. The nuclear counterstain was DAPI (Blue). Heat mediated antigen retrieval using sodium citrate buffer (10mM citrate pH 6.0 + 0.05% Tween-20). Positive staining on mouse kidney (PMID : 21493731) is observed.

Secondary antibody only control : Used PBS instead of primary antibody, secondary antibody was ab150077 AlexaFluor® 488 Goat anti-Rabbit secondary at 1/1000 (2 μg/ml) dilution.

Immunohistochemistry (Formalin/PFA-fixed paraffin-embedded sections) - Anti-Glutathione Peroxidase 3/GPx-3 antibody [EPR22815-112] (AB256470)
  • IHC-P

Unknown

Immunohistochemistry (Formalin/PFA-fixed paraffin-embedded sections) - Anti-Glutathione Peroxidase 3/GPx-3 antibody [EPR22815-112] (AB256470)

Immunohistochemical analysis of paraffin-embedded mouse kidney tissue labeling Glutathione Peroxidase 3/GPx-3 with ab256470 at 1/500 dilution (0.96μg/ml) followed by a ready to use Rabbit specific IHC polymer detection kit HRP/DAB (ab209101). Positive staining on mouse kidney (PMID : 21493731, 27435875) is observed. The section was incubated with ab256470 for 15 mins at RT. The immunostaining was performed on a Leica Biosystems BOND® RX instrument. Counterstained with hematoxylin. Heat mediated antigen retrieval with Tris-EDTA buffer (pH 9.0, epitope retrieval solution 2) for 20 mins.

Secondary antibody only control : Used PBS instead of primary antibody, secondary antibody is a ready to use Rabbit specific IHC polymer detection kit HRP/DAB (ab209101).

Immunohistochemistry (Frozen sections) - Anti-Glutathione Peroxidase 3/GPx-3 antibody [EPR22815-112] (AB256470)
  • IHC-Fr

Supplier Data

Immunohistochemistry (Frozen sections) - Anti-Glutathione Peroxidase 3/GPx-3 antibody [EPR22815-112] (AB256470)

Immunohistochemical analysis of 4% PFA-fixed, 0.2% Triton X-100 permeabilized frozen rat kidney tissue labeling Glutathione Peroxidase 3/GPx-3 with ab256470 at 1/100 (4.80 μg/ml) dilution followed by ab150077 AlexaFluor® 488 Goat anti-Rabbit secondary at 1/1000 (2 μg/ml) dilution. The nuclear counterstain was DAPI (Blue). Heat mediated antigen retrieval using sodium citrate buffer (10mM citrate pH 6.0 + 0.05% Tween-20). Positive staining on rat kidney (PMID : 21493731) is observed.

Secondary antibody only control : Used PBS instead of primary antibody, secondary antibody was ab150077 AlexaFluor® 488 Goat anti-Rabbit secondary at 1/1000 (2 μg/ml) dilution.

Immunohistochemistry (Formalin/PFA-fixed paraffin-embedded sections) - Anti-Glutathione Peroxidase 3/GPx-3 antibody [EPR22815-112] (AB256470)
  • IHC-P

Unknown

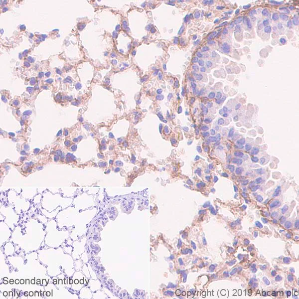
Immunohistochemistry (Formalin/PFA-fixed paraffin-embedded sections) - Anti-Glutathione Peroxidase 3/GPx-3 antibody [EPR22815-112] (AB256470)

Immunohistochemical analysis of paraffin-embedded rat lung tissue labeling Glutathione Peroxidase 3/GPx-3 with ab256470 at 1/500 dilution (0.96μg/ml) followed by a ready to use Rabbit specific IHC polymer detection kit HRP/DAB (ab209101). Positive staining on rat lung (PMID : 22355371) is observed. The section was incubated with ab256470 for 15 mins at RT. The immunostaining was performed on a Leica Biosystems BOND® RX instrument. Counterstained with hematoxylin. Heat mediated antigen retrieval with Tris-EDTA buffer (pH 9.0, epitope retrieval solution 2) for 20 mins.

Secondary antibody only control : Used PBS instead of primary antibody, secondary antibody is a ready to use Rabbit specific IHC polymer detection kit HRP/DAB (ab209101).

Immunohistochemistry (Formalin/PFA-fixed paraffin-embedded sections) - Anti-Glutathione Peroxidase 3/GPx-3 antibody [EPR22815-112] (AB256470)
  • IHC-P

Unknown

Immunohistochemistry (Formalin/PFA-fixed paraffin-embedded sections) - Anti-Glutathione Peroxidase 3/GPx-3 antibody [EPR22815-112] (AB256470)

Immunohistochemical analysis of paraffin-embedded mouse lung tissue labeling Glutathione Peroxidase 3/GPx-3 with ab256470 at 1/500 dilution (0.96μg/ml) followed by a ready to use Rabbit specific IHC polymer detection kit HRP/DAB (ab209101). Positive staining on mouse lung (PMID : 22355371) is observed. The section was incubated with ab256470 for 15 mins at RT. The immunostaining was performed on a Leica Biosystems BOND® RX instrument. Counterstained with hematoxylin. Heat mediated antigen retrieval with Tris-EDTA buffer (pH 9.0, epitope retrieval solution 2) for 20 mins.

Secondary antibody only control : Used PBS instead of primary antibody, secondary antibody is a ready to use Rabbit specific IHC polymer detection kit HRP/DAB (ab209101).

Western blot - Anti-Glutathione Peroxidase 3/GPx-3 antibody [EPR22815-112] (AB256470)
  • WB

Lab

Western blot - Anti-Glutathione Peroxidase 3/GPx-3 antibody [EPR22815-112] (AB256470)

Blocking and dilution buffer : 5% NFDM/TBST.

The expression profile/ molecular weight observed is consistent with what has been described in the literature (PMID : 20015939).

All lanes:

Western blot - Anti-Glutathione Peroxidase 3/GPx-3 antibody [EPR22815-112] (ab256470) at 1/1000 dilution

All lanes:

Rat kidney lysate at 10 µg

Secondary

All lanes:

Western blot - Goat Anti-Rabbit IgG H&L (HRP) (<a href='/en-us/products/secondary-antibodies/goat-rabbit-igg-h-l-hrp-ab97051'>ab97051</a>) at 1/20000 dilution

Predicted band size: 26 kDa

Observed band size: 24 kDa

false

Exposure time: 26s

Western blot - Anti-Glutathione Peroxidase 3/GPx-3 antibody [EPR22815-112] (AB256470)
  • WB

Lab

Western blot - Anti-Glutathione Peroxidase 3/GPx-3 antibody [EPR22815-112] (AB256470)

The expression profile/ molecular weight observed is consistent with what has been described in the literature (PMID : 20015939).

The 22-KDa band represents another Gpx3 isoform.

Negative control : Mouse liver (PMID : 15294905).

All lanes:

Western blot - Anti-Glutathione Peroxidase 3/GPx-3 antibody [EPR22815-112] (ab256470) at 1/1000 dilution

Lane 1:

Mouse kidney lysate at 20 µg

Lane 2:

Mouse liver lysate at 20 µg

Secondary

All lanes:

Western blot - Goat Anti-Rabbit IgG H&L (HRP) (<a href='/en-us/products/secondary-antibodies/goat-rabbit-igg-h-l-hrp-ab97051'>ab97051</a>) at 1/100000 dilution

Predicted band size: 26 kDa

Observed band size: 22-24 kDa

false

Exposure time: 48s

  • Carrier free

    Anti-Glutathione Peroxidase 3/GPx-3 antibody [EPR22815-112] - BSA and Azide free

  • Biotin

    Biotin Anti-Glutathione Peroxidase 3/GPx-3 antibody [EPR22815-112]

  • 519 Alexa Fluor® 488

    Alexa Fluor® 488 Anti-Glutathione Peroxidase 3/GPx-3 antibody [EPR22815-112]

  • Carrier free

    Anti-Glutathione Peroxidase 3/GPx-3 antibody [EPR22815-112] - BSA and Azide free (Capture)

Key facts

Host species

Rabbit

Clonality

Monoclonal

Clone number

EPR22815-112

Isotype

IgG

Carrier free

No

Reacts with

Mouse, Rat

Applications

IHC-Fr, WB, IHC-P

applications

Immunogen

The exact immunogen used to generate this antibody is proprietary information.

Reactivity data

{ "title": "Reactivity Data", "filters": { "stats": ["", "Species", "Dilution Info", "Notes"], "tabs": { "all-applications": {"fullname" : "All Applications", "shortname": "All Applications"}, "IP" : {"fullname" : "Immunoprecipitation", "shortname":"IP"}, "WB" : {"fullname" : "Western blot", "shortname":"WB"}, "IHCFr" : {"fullname" : "Immunohistochemistry (Frozen sections)", "shortname":"IHC-Fr"}, "IHCP" : {"fullname" : "Immunohistochemistry (Formalin/PFA-fixed paraffin-embedded sections)", "shortname":"IHC-P"} }, "product-promise": { "all": "all", "testedAndGuaranteed": "tested", "guaranteed": "expected", "predicted": "predicted", "notRecommended": "not-recommended" } }, "values": { "Mouse": { "IP-species-checked": "notRecommended", "IP-species-dilution-info": "", "IP-species-notes": "<p></p>", "WB-species-checked": "testedAndGuaranteed", "WB-species-dilution-info": "1/1000", "WB-species-notes": "<p></p>", "IHCFr-species-checked": "testedAndGuaranteed", "IHCFr-species-dilution-info": "1/100", "IHCFr-species-notes": "<p>Heat mediated antigen retrieval using sodium citrate buffer (10mM citrate pH 6.0 + 0.05% Tween-20).</p>", "IHCP-species-checked": "testedAndGuaranteed", "IHCP-species-dilution-info": "1/500", "IHCP-species-notes": "<p></p>" }, "Rat": { "IP-species-checked": "notRecommended", "IP-species-dilution-info": "", "IP-species-notes": "", "WB-species-checked": "testedAndGuaranteed", "WB-species-dilution-info": "1/1000", "WB-species-notes": "<p></p>", "IHCFr-species-checked": "testedAndGuaranteed", "IHCFr-species-dilution-info": "1/100", "IHCFr-species-notes": "<p>Heat mediated antigen retrieval using sodium citrate buffer (10mM citrate pH 6.0 + 0.05% Tween-20).</p>", "IHCP-species-checked": "testedAndGuaranteed", "IHCP-species-dilution-info": "1/500", "IHCP-species-notes": "<p></p>" } } }

Product details

Patented technology
Our RabMAb® technology is a patented hybridoma-based technology for making rabbit monoclonal antibodies. For details on our patents, please refer to RabMAb® patents.

What are the advantages of a recombinant monoclonal antibody?
This product is a recombinant monoclonal antibody, which offers several advantages including:

  • - High batch-to-batch consistency and reproducibility
  • - Improved sensitivity and specificity
  • - Long-term security of supply
  • - Animal-free batch production

For more information, read more on recombinant antibodies.

Properties and storage information

Form
Liquid
Purification technique
Affinity purification Protein A
Storage buffer
pH: 7.2 - 7.4 Preservative: 0.01% Sodium azide Constituents: PBS, 40% Glycerol (glycerin, glycerine), 0.05% BSA
Shipped at conditions
Blue Ice
Appropriate short-term storage duration
1-2 weeks
Appropriate short-term storage conditions
+4°C
Appropriate long-term storage conditions
-20°C
Aliquoting information
Upon delivery aliquot
Storage information
Avoid freeze / thaw cycle

Supplementary information

This supplementary information is collated from multiple sources and compiled automatically.

Glutathione Peroxidase 3 also known as GPx-3 or 3GPx is an antioxidant enzyme important for protecting cells from oxidative damage by reducing hydrogen peroxide and organic hydroperoxides. It is a member of the glutathione peroxidase family and has a molecular mass of approximately 23 kDa. GPx-3 is expressed mainly in the kidney and subsequently released into the bloodstream playing an important role in its extracellular antioxidant defense mechanism.
Biological function summary

GPx-3 helps maintain cellular redox balance and is involved in detoxifying harmful oxidative agents. It does not form part of any larger complex but works independently to reduce peroxides with the help of glutathione an important reducing agent. GPx-3 has significant activities in plasma and extracellular fluids indicating its role in protecting the body from oxidative stress away from cellular environments.

Pathways

GPx-3 functions in the glutathione metabolic pathway and the defense system against oxidative stress. It works together with proteins such as glutathione reductase to recycle oxidized glutathione back to its reduced form allowing continuous protection against reactive oxygen species. This pathway is essential for maintaining balance between oxidative stress and antioxidant defense in the organism.

GPx-3 has been linked to cardiovascular diseases and certain types of cancer. Low levels of GPx-3 in plasma have been associated with increased risk of thrombosis as antioxidant defenses are compromised. In cancer studies altered GPx-3 expression is often observed thought to affect the progression of disease by changing the cellular redox environment. Other proteins that interact with GPx-3 during disease conditions include thioredoxin and catalase both influencing and being regulated by redox states in diseased tissues.

Product protocols

For this product, it's our understanding that no specific protocols are required. You can visit:

Target data

Protects cells and enzymes from oxidative damage, by catalyzing the reduction of hydrogen peroxide, lipid peroxides and organic hydroperoxide, by glutathione.
See full target information Gpx3

Publications (19)

Recent publications for all applications. Explore the full list and refine your search

PLoS neglected tropical diseases 19:e0013443 PubMed40892762

2025

PANoptosis-mediated mechanisms underlying AST elevation in Talaromyces marneffei infection.

Applications

Unspecified application

Species

Unspecified reactive species

Wudi Wei,Baili Zhan,Lixiang Chen,Gang Wang,Xiuli Bao,Xiaotao He,Meng Zhang,Xiaoting Xie,Weihong Huang,Zhiman Xie,Junjun Jiang,Hao Liang,Li Ye

Frontiers in cardiovascular medicine 12:1506388 PubMed40486827

2025

Yellow Wine Polyphenolic Compounds protect against myocardial ischemia-reperfusion injury in rats by activating Nrf2 nuclear translocation to regulate the balance of mitochondrial fission and fusion.

Applications

Unspecified application

Species

Unspecified reactive species

Lili Xu,Jiedong Zhou,Haifei Lou,Haodi Gu,Haixia Xu,Zuoquan Zhong,Hui Lin,Chengjian Jiang

International journal of molecular sciences 26: PubMed40362368

2025

Effects of Acrylamide on Mouse Implantation and Decidualization.

Applications

Unspecified application

Species

Unspecified reactive species

Hong-Yuan Yang,Hui-Na Luo,Zai-Mei Wang,Dan-Dan Jin,Zeng-Ming Yang

Journal of inflammation research 18:1911-1928 PubMed39935526

2025

GPX3 as a Novel and Potential Therapeutic Target in the Shared Molecular Mechanisms of Traumatic Brain Injury and Parkinson's Disease.

Applications

Unspecified application

Species

Unspecified reactive species

Yue Wang,Jiang Fang,Qiang Yuan,Jian Yu,Jin Hu

Journal of cellular and molecular medicine 29:e70398 PubMed39900557

2025

GPX3 Overexpression Ameliorates Cardiac Injury Post Myocardial Infarction Through Activating LSD1/Hif1α Axis.

Applications

Unspecified application

Species

Unspecified reactive species

Qi-Qi Jiang,Chong Du,Ling-Ling Qian,Tian-Kai Shan,Yu-Lin Bao,Ling-Feng Gu,Si-Bo Wang,Tong-Tong Yang,Liu-Hua Zhou,Ze-Mu Wang,Ye He,Qi-Ming Wang,Hao Wang,Ru-Xing Wang,Lian-Sheng Wang

Redox biology 77:103365 PubMed39312866

2024

Glutathione peroxidase 3 is essential for countering senescence in adipose remodelling by maintaining mitochondrial homeostasis.

Applications

Unspecified application

Species

Unspecified reactive species

Yijie Song,Mengjie Zhu,Md Ariful Islam,Wenyi Gu,Kavsar Alim,Chien-Shan Cheng,Jingxian Chen,Yu Xu,Hongxi Xu

Bioactive materials 37:393-406 PubMed38689659

2024

Biosynthesis of fungus-based oral selenium microcarriers for radioprotection and immuno-homeostasis shaping against radiation-induced heart disease.

Applications

Unspecified application

Species

Unspecified reactive species

Chang Liu,Weiyi Wang,Haoqiang Lai,Yikang Chen,Lvyi Li,Haiwei Li,Meixiao Zhan,Tianfeng Chen,Wenqiang Cao,Xiaoling Li

Nature communications 15:1685 PubMed38402239

2024

Elevated extracellular matrix protein 1 in circulating extracellular vesicles supports breast cancer progression under obesity conditions.

Applications

Unspecified application

Species

Unspecified reactive species

Keyang Xu,Ai Fu,Zhaoyi Li,Liangbin Miao,Zhonghan Lou,Keying Jiang,Condon Lau,Tao Su,Tiejun Tong,Jianfeng Bao,Aiping Lyu,Hiu Yee Kwan

Nature communications 15:363 PubMed38191471

2024

Distinct mesenchymal cell states mediate prostate cancer progression.

Applications

Unspecified application

Species

Unspecified reactive species

Hubert Pakula,Mohamed Omar,Ryan Carelli,Filippo Pederzoli,Giuseppe Nicolò Fanelli,Tania Pannellini,Fabio Socciarelli,Lucie Van Emmenis,Silvia Rodrigues,Caroline Fidalgo-Ribeiro,Pier Vitale Nuzzo,Nicholas J Brady,Wikum Dinalankara,Madhavi Jere,Itzel Valencia,Christopher Saladino,Jason Stone,Caitlin Unkenholz,Richard Garner,Mohammad K Alexanderani,Francesca Khani,Francisca Nunes de Almeida,Cory Abate-Shen,Matthew B Greenblatt,David S Rickman,Christopher E Barbieri,Brian D Robinson,Luigi Marchionni,Massimo Loda

Cells 12: PubMed37048142

2023

Fatty Acid Excess Dysregulates CARF to Initiate the Development of Hepatic Steatosis.

Applications

Unspecified application

Species

Unspecified reactive species

Kamrul M Hasan,Meher Parveen,Alondra Pena,Francisco Bautista,Juan Carlos Rivera,Roxana Ramirez Huerta,Erica Martinez,Jorge Espinoza-Derout,Amiya P Sinha-Hikim,Theodore C Friedman
View all publications

Product promise

We are committed to supporting your work with high-quality reagents, and we're here for you every step of the way. In the unlikely event that one of our products does not perform as expected, you're protected by our Product Promise.
For full details, please see our Terms & Conditions

Please note: All products are 'FOR RESEARCH USE ONLY. NOT FOR USE IN DIAGNOSTIC OR THERAPEUTIC PROCEDURES'.

For licensing inquiries, please contact partnerships@abcam.com