JavaScript is disabled in your browser. Please enable JavaScript to view this website.
AB219592

Anti-Glutathione Peroxidase 4 antibody [EPNCIR144] - BSA and Azide free

  • BOND RX™ Validated
  • RabMAb
  • Recombinant
  • KO Validated
  • What is this?

Be the first to review this product! Submit a review

|

(13 Publications)

Rabbit Recombinant Monoclonal Glutathione Peroxidase 4 antibody. Carrier free. Suitable for IHC-P, ICC/IF, WB, Flow Cyt (Intra) and reacts with Human, Mouse, Rat samples. Cited in 13 publications.

View Alternative Names

Phospholipid hydroperoxide glutathione peroxidase GPX4, PHGPx, Glutathione peroxidase 4, GPx-4, GSHPx-4, GPX4

10 Images
Immunocytochemistry/ Immunofluorescence - Anti-Glutathione Peroxidase 4 antibody [EPNCIR144] - BSA and Azide free (AB219592)
  • ICC/IF

AbReview45357****

Immunocytochemistry/ Immunofluorescence - Anti-Glutathione Peroxidase 4 antibody [EPNCIR144] - BSA and Azide free (AB219592)

Unpurified ab125066 staining Glutathione Peroxidase 4 in the HeLa cell line from Human cervical cancer by ICC/IF (Immunocytochemistry/immunofluorescence). Cells were fixed with methanol. Samples were incubated with primary antibody (1/500 dilution in PBS) for 1 hour at 22°C. ab150081 an Alexa Fluor® 488-conjugated Goat anti-rabbit IgG polyclonal (1/200 dilution) was used as the secondary antibody. Nuclear staining was carried out with DAPI.

This data was developed using the same antibody clone in a different buffer formulation containing PBS, BSA, glycerol, and sodium azide (ab125066).

This image is courtesy of an Abreview submitted by Kirk McManus

Immunohistochemistry (Formalin/PFA-fixed paraffin-embedded sections) - Anti-Glutathione Peroxidase 4 antibody [EPNCIR144] - BSA and Azide free (AB219592)
  • IHC-P

Lab

Immunohistochemistry (Formalin/PFA-fixed paraffin-embedded sections) - Anti-Glutathione Peroxidase 4 antibody [EPNCIR144] - BSA and Azide free (AB219592)

This data was developed using the same antibody clone in a different buffer formulation (ab125066).

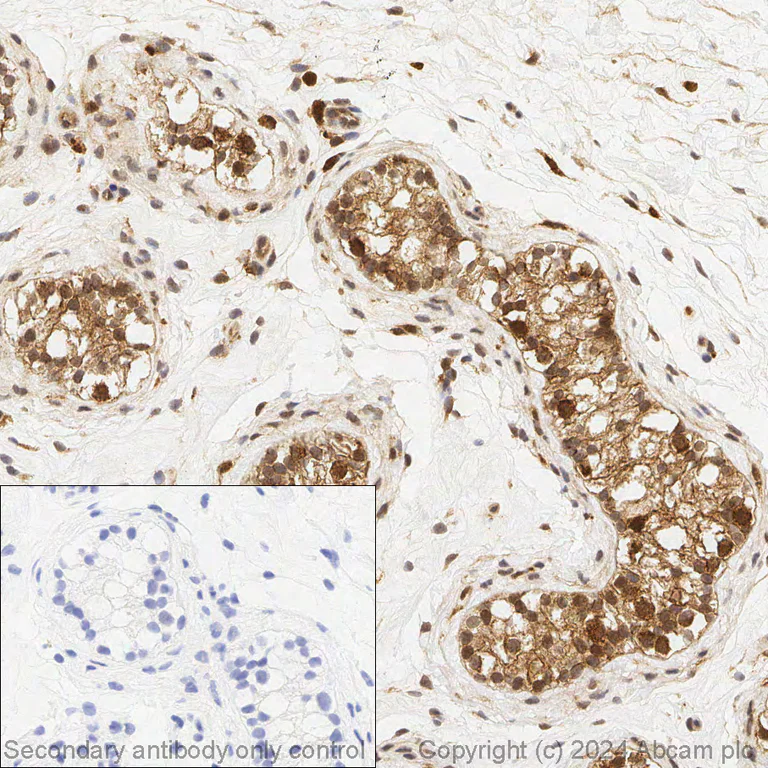
Immunohistochemical analysis of formalin fixed paraffin embedded human testis labelling Glutathione Peroxidase 4 with ab125066 at a concentration of 0.1 µg/ml. The immunostaining was performed on a Ventana DISCOVERY ULTRA (Roche Tissue Diagnostics) instrument with an OptiView DAB IHC Detection Kit. Heat mediated antigen retrieval was conducted for 32 mins at 100°C with ULTRA cell conditioning solution (CC1, pH 8.5). ab125066 anti-Glutathione Peroxidase 4 antibody [EPNCIR144] was incubated at 37°C for 16 mins. Sections were counterstained with Hematoxylin II. Image inset shows absence of staining in secondary antibody only control.

Immunohistochemistry (Formalin/PFA-fixed paraffin-embedded sections) - Anti-Glutathione Peroxidase 4 antibody [EPNCIR144] - BSA and Azide free (AB219592)
  • IHC-P

Lab

Immunohistochemistry (Formalin/PFA-fixed paraffin-embedded sections) - Anti-Glutathione Peroxidase 4 antibody [EPNCIR144] - BSA and Azide free (AB219592)

This data was developed using the same antibody clone in a different buffer formulation (ab125066).

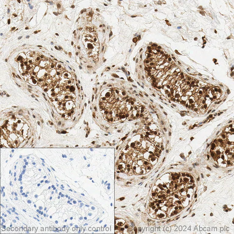
Immunohistochemical analysis of formalin fixed paraffin embedded human testis labelling Glutathione Peroxidase 4with ab125066 at a concentration of 1 µg/ml. The immunostaining was performed on a Leica Biosystems BOND® RX instrument with a Bond™ Polymer Refine Detection kit. Heat mediated antigen retrieval was performed with Tris-EDTA buffer (pH 9.0, Epitope Retrieval Solution 2) for 20 mins. ab125066 anti-Glutathione Peroxidase 4 antibody [EPNCIR144] was incubated for 30 mins at room temperature. Sections were counterstained with Hematoxylin. Image inset shows absence of staining in secondary antibody only control.

Immunohistochemistry (Formalin/PFA-fixed paraffin-embedded sections) - Anti-Glutathione Peroxidase 4 antibody [EPNCIR144] - BSA and Azide free (AB219592)
  • IHC-P

Unknown

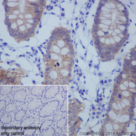
Immunohistochemistry (Formalin/PFA-fixed paraffin-embedded sections) - Anti-Glutathione Peroxidase 4 antibody [EPNCIR144] - BSA and Azide free (AB219592)

Immunohistochemical staining of paraffin embedded human stomach with purified ab125066 at a working dilution of 1/50. The secondary antibody used is HRP goat anti-rabbit IgG H&L (ab97051) at 1/500 dilution. The sample is counter-stained with hematoxylin. Antigen retrieval was perfomed using Tris-EDTA buffer pH 9.0. PBS was used instead of the primary antibody as the negative control and is shown in the inset.
This data was developed using the same antibody clone in a different buffer formulation containing PBS, BSA, glycerol, and sodium azide (ab125066).

Flow Cytometry (Intracellular) - Anti-Glutathione Peroxidase 4 antibody [EPNCIR144] - BSA and Azide free (AB219592)
  • Flow Cyt (Intra)

Unknown

Flow Cytometry (Intracellular) - Anti-Glutathione Peroxidase 4 antibody [EPNCIR144] - BSA and Azide free (AB219592)

Intracellular Flow Cytometry analysis of HeLa (human cervix adenocarcinoma) cells labeling Glutathione Peroxidase 4 (red) with ab125066 at a 1/400 dilution. Cells were fixed with 4% paraformaldehyde and permeabilized with 90% methanol. A goat anti-rabbit IgG (Alexa Fluorr® 488) (ab150077) was used as the secondary antibody at a 1/2000 dilution. Black - Rabbit monoclonal IgG (ab172730). Blue (unlabeled control) - Cells without incubation with the primary and secondary antibodies.

This data was developed using the same antibody clone in a different buffer formulation containing PBS, BSA, glycerol, and sodium azide (ab125066).

Immunocytochemistry/ Immunofluorescence - Anti-Glutathione Peroxidase 4 antibody [EPNCIR144] - BSA and Azide free (AB219592)
  • ICC/IF

Unknown

Immunocytochemistry/ Immunofluorescence - Anti-Glutathione Peroxidase 4 antibody [EPNCIR144] - BSA and Azide free (AB219592)

Immunofluorescence staining of HEK293 cells with purified ab125066 at a working dilution of 1/200 counter-stained with DAPI. The secondary antibody was Alexa Fluor® 488 goat anti-rabbit (ab150077) used at a dilution of 1/1000. ab7291 a mouse anti-tubulin antibody (1/1000) was used to stain tubulin along with ab150120 (Alexa Fluor® 594 goat anti-mouse 1/1000) shown in the top right hand panel. The cells were fixed in 4% PFA and permeabilized using 0.1% Triton X 100. The negative controls are shown in bottom middle and right hand panels - for negative control 1 purified ab125066 was used at a dilution of 1/500 followed by an Alexa Fluor® 594 goat anti-mouse antibody (ab150120) at a dilution of 1/500. For negative control 2 ab7291 (mouse anti-tubulin) was used at a dilution of 1/500 followed by an Alexa Fluor® 488 goat anti-rabbit antibody (ab150077) at a dilution of 1/400.

This data was developed using the same antibody clone in a different buffer formulation containing PBS, BSA, glycerol, and sodium azide (ab125066).

Immunohistochemistry (Formalin/PFA-fixed paraffin-embedded sections) - Anti-Glutathione Peroxidase 4 antibody [EPNCIR144] - BSA and Azide free (AB219592)
  • IHC-P

Unknown

Immunohistochemistry (Formalin/PFA-fixed paraffin-embedded sections) - Anti-Glutathione Peroxidase 4 antibody [EPNCIR144] - BSA and Azide free (AB219592)

Unpurified ab125066 at a 1/100 dilution staining Glutathione Peroxidase 4 in paraffin-embedded human kidney tissue by immunohistochemistry.

Perform heat mediated antigen retrieval before commencing with IHC staining protocol.

This data was developed using the same antibody clone in a different buffer formulation containing PBS, BSA, glycerol, and sodium azide (ab125066).

Western blot - Anti-Glutathione Peroxidase 4 antibody [EPNCIR144] - BSA and Azide free (AB219592)
  • WB

Lab

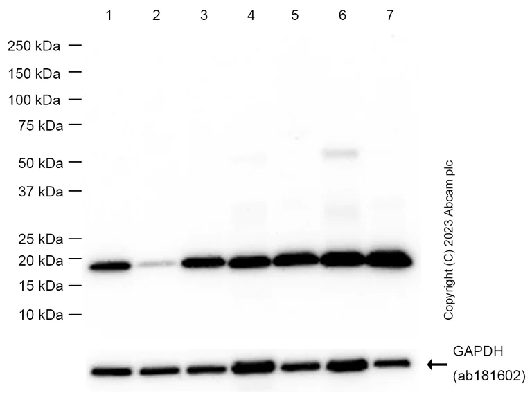
Western blot - Anti-Glutathione Peroxidase 4 antibody [EPNCIR144] - BSA and Azide free (AB219592)

This data was developed using the same antibody clone in a different buffer formulation (ab125066). Blocking/Diluting buffer and concentration 5% NFDM/TBST. ab181602 was used as GAPDH loading control.

All lanes:

Western blot - Anti-Glutathione Peroxidase 4 antibody [EPNCIR144] (<a href='/en-us/products/primary-antibodies/glutathione-peroxidase-4-antibody-epncir144-ab125066'>ab125066</a>) at 1/1000 dilution

Lane 1:

293T (Human embryonic kidney epithelial cell) whole cell lysate at 20 µg

Lane 2:

A549 (Human lung carcinoma epithelial cell) whole cell lysate at 20 µg

Lane 3:

HepG2 (Human hepatocellular carcinoma epithelial cell) whole cell lysate at 20 µg

Lane 4:

Rat heart lysate at 20 µg

Lane 5:

Mouse ovary lysate at 20 µg

Lane 6:

Mouse heart lysate at 20 µg

Lane 7:

Mouse lung lysate at 20 µg

Secondary

All lanes:

Western blot - Goat Anti-Rabbit IgG H&L (HRP) (<a href='/en-us/products/secondary-antibodies/goat-rabbit-igg-h-l-hrp-ab97051'>ab97051</a>) at 1/20000 dilution

Predicted band size: 22 kDa

Observed band size: 22 kDa

false

Exposure time: 20s

Western blot - Anti-Glutathione Peroxidase 4 antibody [EPNCIR144] - BSA and Azide free (AB219592)
  • WB

Lab

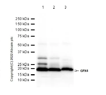
Western blot - Anti-Glutathione Peroxidase 4 antibody [EPNCIR144] - BSA and Azide free (AB219592)

Blocking buffer and concentration : 5% NFDM/TBST  Diluting buffer and concentration : 5% NFDM/TBST This antibody can detect 19kda cytoplasmic form and 22kda mitochondrial isoform. This data was developed using the same antibody clone in a different buffer formulation containing PBS, BSA, glycerol, and sodium azide (ab125066).

All lanes:

Western blot - Anti-Glutathione Peroxidase 4 antibody [EPNCIR144] (<a href='/en-us/products/primary-antibodies/glutathione-peroxidase-4-antibody-epncir144-ab125066'>ab125066</a>) at 1/1000 dilution

Lane 1:

Rat testis tissue lysate at 20 µg

Lane 2:

Mouse testis tissue lysate at 20 µg

Lane 3:

Human testis tissue lysate at 20 µg

Secondary

All lanes:

Goat Anti-Rabbit IgG (HRP) with minimal cross-reactivity with human IgG at 1/2000 dilution

Predicted band size: 22 kDa

Observed band size: 19 kDa,22 kDa

false

Exposure time: 1s

Western blot - Anti-Glutathione Peroxidase 4 antibody [EPNCIR144] - BSA and Azide free (AB219592)
  • WB

Lab

Western blot - Anti-Glutathione Peroxidase 4 antibody [EPNCIR144] - BSA and Azide free (AB219592)

This data was developed using the same antibody clone in a different buffer formulation (ab125066).

Lanes 1 - 3 : Merged signal (red and green). Green - ab125066 observed at 20 kDa. Red - loading control ab8245 (Mouse anti-GAPDH antibody [6C5]) observed at 37 kDa.

ab125066 was shown to react with Glutathione Peroxidase 4 in wild-type HeLa cells in Western blot with loss of signal observed in GPX4 knockout cell line ab262509 (knockout cell lysate ab263935). Wild-type HeLa and GPX4 knockout cell lysates were subjected to SDS-PAGE. Membranes were blocked in 3 % milk in TBS-T (0.1 % Tween®) before incubation with ab125066 and ab8245 (Mouse anti-GAPDH antibody [6C5]) overnight at 4 °C at a 1 in 1000 dilution and a 1 in 20000 dilution respectively. Blots were incubated with Goat anti-Rabbit IgG H&L (IRDye® 800CW) preabsorbed (ab216773) and Goat anti-Mouse IgG H&L (IRDye® 680RD) preabsorbed (ab216776) secondary antibodies at 1 in 20000 dilution for 1 h at room temperature before imaging.

All lanes:

Western blot - Anti-Glutathione Peroxidase 4 antibody [EPNCIR144] (<a href='/en-us/products/primary-antibodies/glutathione-peroxidase-4-antibody-epncir144-ab125066'>ab125066</a>) at 1/1000 dilution

Lane 1:

Wild-type HeLa (Human epithelial cell line from cervix adenocarcinoma) whole cell lysate at 20 µg

Lane 2:

GPX4 knockout HeLa (Human epithelial cell line from cervix adenocarcinoma) whole cell lysate at 20 µg

Lane 2:

Western blot - Human GPX4 knockout HeLa cell line (<a href='/en-us/products/cell-lines/human-gpx4-knockout-hela-cell-line-ab262509'>ab262509</a>)

Lane 3:

Jurkat (Human T cell leukemia cell line from peripheral blood) whole cell lysate at 20 µg

Predicted band size: 22 kDa

Observed band size: 20 kDa

false

  • Unconjugated

    Anti-Glutathione Peroxidase 4 antibody [EPNCIR144]

  • 519 Alexa Fluor® 488

    Alexa Fluor® 488 Anti-Glutathione Peroxidase 4 antibody [EPNCIR144]

  • 665 Alexa Fluor® 647

    Alexa Fluor® 647 Anti-Glutathione Peroxidase 4 antibody [EPNCIR144]

Key facts

Host species

Rabbit

Clonality

Monoclonal

Clone number

EPNCIR144

Isotype

IgG

Carrier free

Yes

Reacts with

Mouse, Rat, Human

Applications

WB, IHC-P, Flow Cyt (Intra), ICC/IF

applications

Immunogen

The exact immunogen used to generate this antibody is proprietary information.

Reactivity data

{ "title": "Reactivity Data", "filters": { "stats": ["", "Species", "Dilution Info", "Notes"], "tabs": { "all-applications": {"fullname" : "All Applications", "shortname": "All Applications"}, "IHCP" : {"fullname" : "Immunohistochemistry (Formalin/PFA-fixed paraffin-embedded sections)", "shortname":"IHC-P"}, "ICCIF" : {"fullname" : "Immunocytochemistry/ Immunofluorescence", "shortname":"ICC/IF"}, "WB" : {"fullname" : "Western blot", "shortname":"WB"}, "FlowCytIntra" : {"fullname" : "Flow Cytometry (Intracellular)", "shortname":"Flow Cyt (Intra)"} }, "product-promise": { "all": "all", "testedAndGuaranteed": "tested", "guaranteed": "expected", "predicted": "predicted", "notRecommended": "not-recommended" } }, "values": { "Human": { "IHCP-species-checked": "testedAndGuaranteed", "IHCP-species-dilution-info": "", "IHCP-species-notes": "<p></p>", "ICCIF-species-checked": "testedAndGuaranteed", "ICCIF-species-dilution-info": "", "ICCIF-species-notes": "<p></p>", "WB-species-checked": "testedAndGuaranteed", "WB-species-dilution-info": "", "WB-species-notes": "<p></p>", "FlowCytIntra-species-checked": "testedAndGuaranteed", "FlowCytIntra-species-dilution-info": "", "FlowCytIntra-species-notes": "<p></p>" }, "Mouse": { "IHCP-species-checked": "guaranteed", "IHCP-species-dilution-info": "", "IHCP-species-notes": "", "ICCIF-species-checked": "guaranteed", "ICCIF-species-dilution-info": "", "ICCIF-species-notes": "", "WB-species-checked": "testedAndGuaranteed", "WB-species-dilution-info": "", "WB-species-notes": "<p></p>", "FlowCytIntra-species-checked": "guaranteed", "FlowCytIntra-species-dilution-info": "", "FlowCytIntra-species-notes": "" }, "Rat": { "IHCP-species-checked": "guaranteed", "IHCP-species-dilution-info": "", "IHCP-species-notes": "", "ICCIF-species-checked": "guaranteed", "ICCIF-species-dilution-info": "", "ICCIF-species-notes": "", "WB-species-checked": "testedAndGuaranteed", "WB-species-dilution-info": "", "WB-species-notes": "<p></p>", "FlowCytIntra-species-checked": "guaranteed", "FlowCytIntra-species-dilution-info": "", "FlowCytIntra-species-notes": "" } } }

Product details

ab219592 is the carrier-free version of ab125066.

This antibody was developed as part of a collaboration between Epitomics, the National Cancer Institute's Center for Cancer Research and the lab of Dolph Hatfield. View antibodies from NCI Center for Cancer Research Collaboration.

Patented technology
Our RabMAb® technology is a patented hybridoma-based technology for making rabbit monoclonal antibodies. For details on our patents, please refer to RabMAb® patents.

What are the advantages of a recombinant monoclonal antibody?
This product is a recombinant monoclonal antibody, which offers several advantages including:

  • - High batch-to-batch consistency and reproducibility
  • - Improved sensitivity and specificity
  • - Long-term security of supply
  • - Animal-free batch production

For more information, read more on recombinant antibodies.

Conjugation ready
Our carrier-free antibodies are typically supplied in a PBS-only formulation, purified and free of BSA, sodium azide and glycerol. This conjugation-ready format is designed for use with fluorochromes, metal isotopes, oligonucleotides, and enzymes, which makes them ideal for antibody labelling, functional and cell-based assays, flow-based assays (e.g. mass cytometry) and Multiplex Imaging applications.

Use our conjugation kits for antibody conjugates that are ready-to-use in as little as 20 minutes with 1 minute hands-on-time and 100% antibody recovery: available for fluorescent dyes, HRP, biotin and gold.

Compatibility
This product is compatible with the Maxpar® Antibody Labeling Kit from Fluidigm, without the need for antibody preparation. Maxpar® is a trademark of Fluidigm Canada Inc.

Properties and storage information

Form
Liquid
Purification technique
Affinity purification Protein A
Storage buffer
pH: 7.2 - 7.4 Constituents: PBS
Shipped at conditions
Blue Ice
Appropriate short-term storage conditions
+4°C
Appropriate long-term storage conditions
+4°C
Storage information
Do Not Freeze

Supplementary information

This supplementary information is collated from multiple sources and compiled automatically.

Glutathione Peroxidase 4 (GPX4) also known as PHGPx acts as an important enzyme in protecting cells from oxidative damage by reducing lipid hydroperoxides to their alcohols and free hydrogen peroxide to water. It has a mass of approximately 20 kDa. GPX4 is widely expressed in various tissues including the brain testis kidney and liver underlining its significance in different physiological processes. GPX4 is essential in cellular anti-oxidant defense making it a potential marker in studies using GPX4 western blot techniques.
Biological function summary

GPX4 plays an important role in protecting cellular membranes from lipid peroxidation by acting alone which differentiates it from other glutathione peroxidases that work in a complex. It is necessary for the production of glutathione products and helps maintain redox homeostasis by converting glutathione peroxides. This action prevents cell death pathways linked to oxidative stress and ensures cellular integrity particularly in sensitive tissues like the brain and reproductive organs.

Pathways

GPX4 integrates into important cellular antioxidant pathways. Specifically it functions within the glutathione metabolic pathway collaborating with related proteins like glutathione synthetase and glutathione reductase. GPX4 is also involved in ferroptosis regulation a cell death pathway critically linked to glutathione levels. It helps balance redox-sensitive signaling and metabolic activities demonstrating synergy with other antioxidant enzymes in the cellular response to oxidative stress.

Research connects GPX4 deficiency to neurological disorders and cancer. Its important antioxidative activity makes it significant in preventing neurodegenerative diseases such as Alzheimer's where it interacts with proteins like PINK1. GPX4 also shows relevance in cancer as its altered expression may increase vulnerability to cell death suggesting its potential role in chemotherapy resistance and therapy development.

Product protocols

For this product, it's our understanding that no specific protocols are required. You can visit:

Target data

Essential antioxidant peroxidase that directly reduces phospholipid hydroperoxide even if they are incorporated in membranes and lipoproteins (By similarity). Can also reduce cholesterol hydroperoxide and thymine hydroperoxide (By similarity). Plays a key role in protecting cells from oxidative damage by preventing membrane lipid peroxidation (By similarity). Required to prevent cells from ferroptosis, a non-apoptotic cell death resulting from an iron-dependent accumulation of lipid reactive oxygen species (PubMed : 24439385). The presence of selenocysteine (Sec) versus Cys at the active site is essential for life : it provides resistance to overoxidation and prevents cells against ferroptosis (By similarity). The presence of Sec at the active site is also essential for the survival of a specific type of parvalbumin-positive interneurons, thereby preventing against fatal epileptic seizures (By similarity). May be required to protect cells from the toxicity of ingested lipid hydroperoxides (By similarity). Required for normal sperm development and male fertility (By similarity). Essential for maturation and survival of photoreceptor cells (By similarity). Plays a role in a primary T-cell response to viral and parasitic infection by protecting T-cells from ferroptosis and by supporting T-cell expansion (By similarity). Plays a role of glutathione peroxidase in platelets in the arachidonic acid metabolism (PubMed : 11115402). Reduces hydroperoxy ester lipids formed by a 15-lipoxygenase that may play a role as down-regulator of the cellular 15-lipoxygenase pathway (By similarity). Can reduce fatty acid-derived hydroperoxides (PubMed : 11115402, PubMed : 36608588). Can also reduce small soluble hydroperoxides such as H2O2, cumene hydroperoxide and tert-butyl hydroperoxide (PubMed : 17630701, PubMed : 36608588).
See full target information Phospholipid hydroperoxide glutathione peroxidase

Publications (13)

Recent publications for all applications. Explore the full list and refine your search

Frontiers in pharmacology 16:1636149 PubMed40642010

2025

Molecular mechanisms underlying -derived nanovesicles induced ferroptosis in hepatocellular carcinoma: a dual-pathway analysis of lipid peroxidation and mitochondrial damage.

Applications

Unspecified application

Species

Unspecified reactive species

Ling Wu,Hongyao Chen,Jingting Zhang,Jincheng Tang,Zhibin Wang,Peisen Xue,Wenhui Gao,Renyi Yang,Puhua Zeng

Cancer cell international 25:49 PubMed39962568

2025

Comprehensive network pharmacology and experimental study to investigate the effect and mechanism of solasonine on breast carcinoma treatment.

Applications

Unspecified application

Species

Unspecified reactive species

Wenkai Ge,Min Gao,Yingqi Dai,Gang Zheng,Li Yang,Wenshu Zuo,Xingsong Tian

Cell death discovery 10:349 PubMed39097582

2024

Ferroptosis and inflammation are modulated by the NFIL3-ACSL4 axis in sepsis associated-acute kidney injury.

Applications

Unspecified application

Species

Unspecified reactive species

Zhong Xiao,Jie Zhang,Zhimin Qiu,Hongbing Liu,Hua Ding,Hi Li,Yuanxin Liu,Xiaohua Zou,Juan Long

Heliyon 10:e24562 PubMed38318046

2024

Pterostilbene attenuates heart failure by inhibiting myocardial ferroptosis through SIRT1/GSK-3β/GPX4 signaling pathway.

Applications

Unspecified application

Species

Unspecified reactive species

Fan Zhang,Zhuanglin Zeng,Jiahui Zhang,Xuelian Li,Wenling Yang,Yumiao Wei,Xiaopeng Guo

Environmental toxicology 39:2166-2181 PubMed38115220

2023

Myoglobin improves doxycycline sensitivity in pancreatic cancer through promoting heme oxygenase-1-mediated ferroptosis.

Applications

Unspecified application

Species

Unspecified reactive species

Lun Zhang,Liuxu Yang,Keyuan Du,Yixuan Yang

Respiratory research 24:301 PubMed38041059

2023

CSE triggers ferroptosis via SIRT4-mediated GNPAT deacetylation in the pathogenesis of COPD.

Applications

Unspecified application

Species

Unspecified reactive species

Congping Li,Fei Chen,Liangfen Lin,Jiwei Li,Yamei Zheng,Qingyun Chen

Journal of biomedical materials research. Part B, Applied biomaterials 111:127-139 PubMed36066321

2022

Material properties of degradable alloy Fe-30Mn-0.6N and its effect on ferroptosis in synoviocytes.

Applications

Unspecified application

Species

Unspecified reactive species

Tianyu Yang,Shimin Hao,Penghao Wang,Yu Qin,Guanchao You,Yunyi Shi,Boning Yang,Ao Zhang,Lei Guo,Tianlong Jiang

Diabetology & metabolic syndrome 14:89 PubMed35761309

2022

Targeting ferroptosis with miR-144-3p to attenuate pancreatic β cells dysfunction via regulating USP22/SIRT1 in type 2 diabetes.

Applications

Unspecified application

Species

Unspecified reactive species

Shanshan Zhang,Xiao Liu,Jihong Wang,Fengjuan Yuan,Yali Liu

Redox biology 54:102382 PubMed35767918

2022

Farnesoid X receptor protects against cisplatin-induced acute kidney injury by regulating the transcription of ferroptosis-related genes.

Applications

Unspecified application

Species

Unspecified reactive species

Dong-Hyun Kim,Hoon-In Choi,Jung Sun Park,Chang Seong Kim,Eun Hui Bae,Seong Kwon Ma,Soo Wan Kim

Redox biology 50:102257 PubMed35149342

2022

T lymphocyte-derived extracellular vesicles aggravate abdominal aortic aneurysm by promoting macrophage lipid peroxidation and migration via pyruvate kinase muscle isozyme 2.

Applications

Unspecified application

Species

Unspecified reactive species

Guohui Dang,Tianrun Li,Dongmin Yang,Guangxin Yang,Xing Du,Juan Yang,Yutong Miao,Lulu Han,Xiaolong Ma,Yuwei Song,Bo Liu,Xuan Li,Xian Wang,Juan Feng
View all publications
websiteProtocolBooklet
en
websiteProtocolBooklet
en
websiteProtocolBooklet
en

Product promise

We are committed to supporting your work with high-quality reagents, and we're here for you every step of the way. In the unlikely event that one of our products does not perform as expected, you're protected by our Product Promise.
For full details, please see our Terms & Conditions

Please note: All products are 'FOR RESEARCH USE ONLY. NOT FOR USE IN DIAGNOSTIC OR THERAPEUTIC PROCEDURES'.

For licensing inquiries, please contact partnerships@abcam.com