JavaScript is disabled in your browser. Please enable JavaScript to view this website.
AB268190

Anti-Glutathione S Transferase mu antibody [CPTC-GSTMu1-3] - BSA and Azide free

Be the first to review this product! Submit a review

|

(0 Publication)

Mouse Monoclonal GSTM1 antibody. Carrier free. Suitable for WB, Protein Array, IHC-P and reacts with Human, Recombinant full length protein - Human samples. Immunogen corresponding to Recombinant Full Length Protein corresponding to Human GSTM1.

View Alternative Names

GST1, GSTM1, Glutathione S-transferase Mu 1, GST HB subunit 4, GST class-mu 1, GSTM1-1, GSTM1a-1a, GSTM1b-1b, GTH4

3 Images
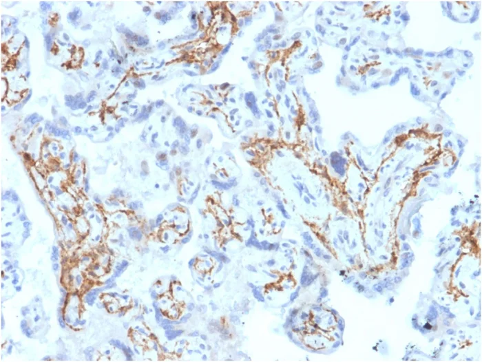
Immunohistochemistry (Formalin/PFA-fixed paraffin-embedded sections) - Anti-Glutathione S Transferase mu antibody [CPTC-GSTMu1-3] - BSA and Azide free (AB268190)
  • IHC-P

Unknown

Immunohistochemistry (Formalin/PFA-fixed paraffin-embedded sections) - Anti-Glutathione S Transferase mu antibody [CPTC-GSTMu1-3] - BSA and Azide free (AB268190)

Formalin-fixed, paraffin-embedded human placenta tissue stained for Glutathione S Transferase mu using ab268069 at 2 μg/ml in immunohistochemical analysis.

This data was developed using the same antibody clone in a different buffer formulation containing PBS, BSA and Sodium azide (ab268069)

Western blot - Anti-Glutathione S Transferase mu antibody [CPTC-GSTMu1-3] - BSA and Azide free (AB268190)
  • WB

Unknown

Western blot - Anti-Glutathione S Transferase mu antibody [CPTC-GSTMu1-3] - BSA and Azide free (AB268190)

This data was developed using the same antibody clone in a different buffer formulation containing PBS, BSA and Sodium azide (ab268069)

All lanes:

Western blot - Anti-Glutathione S Transferase mu antibody [CPTC-GSTMu1-3] (<a href='/en-us/products/primary-antibodies/glutathione-s-transferase-mu-antibody-cptc-gstmu1-3-ab268069'>ab268069</a>) at 1 µg/mL

All lanes:

HeLa (Human epithelial cell line from cervix adenocarcinoma) cell lysate

Predicted band size: 26 kDa

false

Protein Array - Anti-Glutathione S Transferase mu antibody [CPTC-GSTMu1-3] - BSA and Azide free (AB268190)
  • Protein Array

Unknown

Protein Array - Anti-Glutathione S Transferase mu antibody [CPTC-GSTMu1-3] - BSA and Azide free (AB268190)

Protein Array containing more than 19,000 full-length human proteins using ab268069.

Z- and S- Score : The Z-score represents the strength of a signal that a monoclonal antibody (MAb) (in combination with a fluorescently-tagged anti-IgG secondary antibody) produces when binding to a particular protein on the HuProtTM array. Z-scores are described in units of standard deviations (SD's) above the mean value of all signals generated on that array. If targets on HuProtTM are arranged in descending order of the Z-score, the S-score is the difference (also in units of SD's) between the Z-score. S-score therefore represents the relative target specificity of a MAb to its intended target. A MAb is considered to specific to its intended target, if the MAb has an S-score of at least 2.5. For example, if a MAb binds to protein X with a Z-score of 43 and to protein Y with a Z-score of 14, then the S-score for the binding of that MAb to protein X is equal to 29.

This data was developed using the same antibody clone in a different buffer formulation containing PBS, BSA and Sodium azide (ab268069)

Key facts

Host species

Mouse

Clonality

Monoclonal

Clone number

CPTC-GSTMu1-3

Isotype

IgG1

Light chain type

kappa

Carrier free

Yes

Reacts with

Human

Applications

WB, Protein Array, IHC-P

applications

Immunogen

Recombinant Full Length Protein corresponding to Human GSTM1.

P09488

Reactivity data

{ "title": "Reactivity Data", "filters": { "stats": ["", "Species", "Dilution Info", "Notes"], "tabs": { "all-applications": {"fullname" : "All Applications", "shortname": "All Applications"}, "WB" : {"fullname" : "Western blot", "shortname":"WB"}, "ProteinArray" : {"fullname" : "Protein Array", "shortname":"Protein Array"}, "IHCP" : {"fullname" : "Immunohistochemistry (Formalin/PFA-fixed paraffin-embedded sections)", "shortname":"IHC-P"} }, "product-promise": { "all": "all", "testedAndGuaranteed": "tested", "guaranteed": "expected", "predicted": "predicted", "notRecommended": "not-recommended" } }, "values": { "Human": { "WB-species-checked": "testedAndGuaranteed", "WB-species-dilution-info": "1-2 µg/mL", "WB-species-notes": "<p></p>", "ProteinArray-species-checked": "guaranteed", "ProteinArray-species-dilution-info": "", "ProteinArray-species-notes": "", "IHCP-species-checked": "testedAndGuaranteed", "IHCP-species-dilution-info": "1-2 µg/mL", "IHCP-species-notes": "<p></p> Perform heat-mediated antigen retrieval with Tris/EDTA buffer pH 9.0 before commencing with IHC staining protocol." }, "Recombinant full length protein - Human": { "WB-species-checked": "notRecommended", "WB-species-dilution-info": "", "WB-species-notes": "", "ProteinArray-species-checked": "testedAndGuaranteed", "ProteinArray-species-dilution-info": "", "ProteinArray-species-notes": "<p></p>", "IHCP-species-checked": "notRecommended", "IHCP-species-dilution-info": "", "IHCP-species-notes": "" } } }

Product details

ab268190 is the carrier-free version of ab268069.

Conjugation ready
Our carrier-free antibodies are typically supplied in a PBS-only formulation, purified and free of BSA, sodium azide and glycerol. This conjugation-ready format is designed for use with fluorochromes, metal isotopes, oligonucleotides, and enzymes, which makes them ideal for antibody labelling, functional and cell-based assays, flow-based assays (e.g. mass cytometry) and Multiplex Imaging applications.

Use our conjugation kits for antibody conjugates that are ready-to-use in as little as 20 minutes with 1 minute hands-on-time and 100% antibody recovery: available for fluorescent dyes, HRP, biotin and gold.

Properties and storage information

Form
Liquid
Purification technique
Affinity purification Protein A/G
Purification notes
Purified from bioreactor concentrate.
Storage buffer
pH: 7.2 - 7.4 Constituents: PBS
Shipped at conditions
Blue Ice
Appropriate short-term storage duration
1-2 weeks
Appropriate short-term storage conditions
+4°C
Appropriate long-term storage conditions
-20°C
Aliquoting information
Upon delivery aliquot
Storage information
Avoid freeze / thaw cycle

Supplementary information

This supplementary information is collated from multiple sources and compiled automatically.

Glutathione S-transferase mu 1 also known as GSTM1 is an important enzyme involved in detoxification processes. This enzyme belongs to the glutathione S-transferases family which plays an important role in catalyzing the conjugation of glutathione to various electrophilic compounds. GSTM1 has a molecular mass of approximately 26 kDa and is primarily expressed in the liver but it is also present in other tissues such as the kidney and erythrocytes. GSTM1's active site involves a cysteine residue that facilitates the transfer of glutathione to potential harmful substances aiding in their subsequent excretion from the body.
Biological function summary

The enzyme contributes to maintaining cellular homeostasis by neutralizing toxins and protecting against oxidative stress. GSTM1 is part of a larger family of enzymes each with specific substrate affinities but all contributing to the detoxification of xenobiotics and carcinogens. This process is critically important to protect cells from environmental and oxidative damage. The enzyme highly expresses in liver tissue highlights its role in processing and eliminating harmful substances from the body.

Pathways

GSTM1 plays a significant role in the xenobiotic metabolism pathway where it participates in the detoxification and clearance of various xenobiotic substances. Another important pathway involving GSTM1 is the glutathione metabolism pathway. Within these pathways GSTM1 interacts with other glutathione S-transferases and proteins such as cytochrome P450s which also contribute to the metabolism of endogenous and exogenous compounds. The interaction with these proteins highlights its participation in a coordinated defense mechanism against chemical insults.

An absence or deficiency of GSTM1 is associated with an increased risk of conditions such as asthma and certain cancers particularly bladder cancer. The lack of GSTM1's detoxifying activity may increase susceptibility to environmental toxins and carcinogens. This enzyme together with other glutathione S-transferases plays a role in mitigating oxidative stress related to these conditions. Through its interactions with cytochrome P450 enzymes GSTM1 influences metabolic activation and deactivation of various potential carcinogens highlighting its relevance in disease prevention strategies.

Product protocols

For this product, it's our understanding that no specific protocols are required. You can visit:

Target data

Conjugation of reduced glutathione to a wide number of exogenous and endogenous hydrophobic electrophiles. Involved in the formation of glutathione conjugates of both prostaglandin A2 (PGA2) and prostaglandin J2 (PGJ2) (PubMed : 9084911). Participates in the formation of novel hepoxilin regioisomers (PubMed : 21046276).
See full target information GSTM1

Product promise

We are committed to supporting your work with high-quality reagents, and we're here for you every step of the way. In the unlikely event that one of our products does not perform as expected, you're protected by our Product Promise.
For full details, please see our Terms & Conditions

Please note: All products are 'FOR RESEARCH USE ONLY. NOT FOR USE IN DIAGNOSTIC OR THERAPEUTIC PROCEDURES'.

For licensing inquiries, please contact partnerships@abcam.com