JavaScript is disabled in your browser. Please enable JavaScript to view this website.
AB129106

Anti-glutathione S transferase Omega 1/p28 antibody [EPR8370(B)]

Be the first to review this product! Submit a review

|

(3 Publications)

Rabbit Recombinant Monoclonal glutathione S transferase Omega 1/p28 antibody. Suitable for IHC-P, WB and reacts with Human samples. Cited in 3 publications.

View Alternative Names

GSTTLP28, GSTO1, Glutathione S-transferase omega-1, GSTO-1, Glutathione S-transferase omega 1-1, Glutathione-dependent dehydroascorbate reductase, Monomethylarsonic acid reductase, S-(Phenacyl)glutathione reductase, GSTO 1-1, MMA(V) reductase, SPG-R

3 Images
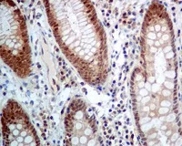
Immunohistochemistry (Formalin/PFA-fixed paraffin-embedded sections) - Anti-glutathione S transferase Omega 1/p28 antibody [EPR8370(B)] (AB129106)
  • IHC-P

Unknown

Immunohistochemistry (Formalin/PFA-fixed paraffin-embedded sections) - Anti-glutathione S transferase Omega 1/p28 antibody [EPR8370(B)] (AB129106)

ab129106 at 1/100 dilution staining glutathione S transferase Omega 1/p28 in Paraffin-embedded Human colon tissue by Immunohistochemistry.

Perform heat mediated antigen retrieval before commencing with IHC staining protocol.

Western blot - Anti-glutathione S transferase Omega 1/p28 antibody [EPR8370(B)] (AB129106)
  • WB

Lab

Western blot - Anti-glutathione S transferase Omega 1/p28 antibody [EPR8370(B)] (AB129106)

Lanes 1-4 : Merged signal (red and green). Green - ab129106 observed at 28 kDa. Red - loading control ab8245 observed at 36 kDa.

ab129106 Anti-glutathione S transferase Omega 1/p28 antibody [EPR8370(B)] was shown to specifically react with glutathione S transferase Omega 1/p28 in wild-type HEK293T cells. Loss of signal was observed when knockout cell line ab266277 (knockout cell lysate ab257982) was used. Wild-type and glutathione S transferase Omega 1/p28 knockout samples were subjected to SDS-PAGE. ab129106 and Anti-GAPDH antibody [6C5] - Loading Control (ab8245) were incubated overnight at 4°C at 1 in 1000 dilution and 1 in 20000 dilution respectively. Blots were developed with Goat anti-Rabbit IgG H&L (IRDye® 800CW) preadsorbed (ab216773) and Goat anti-Mouse IgG H&L (IRDye® 680RD) preadsorbed (ab216776) secondary antibodies at 1 in 20000 dilution for 1 hour at room temperature before imaging.

All lanes:

Western blot - Anti-glutathione S transferase Omega 1/p28 antibody [EPR8370(B)] (ab129106) at 1/1000 dilution

Lane 1:

Wild-type HEK293T cell lysate at 20 µg

Lane 2:

GSTO1 knockout HEK293T cell lysate at 20 µg

Lane 2:

Western blot - Human GSTO1 (glutathione S transferase Omega 1/p28) knockout HEK-293T cell line (<a href='/en-us/products/cell-lines/human-gsto1-glutathione-s-transferase-omega-1-p28-knockout-hek-293t-cell-line-ab266277'>ab266277</a>)

Lane 3:

Jurkat cell lysate at 20 µg

Lane 4:

BxPC-3 cell lysate at 20 µg

Secondary

All lanes:

Western blot - Goat anti-Rabbit IgG H&L (IRDye® 800CW) preadsorbed (<a href='/en-us/products/secondary-antibodies/goat-rabbit-igg-h-l-irdye-800cw-preadsorbed-ab216773'>ab216773</a>) at 1/10000 dilution

Predicted band size: 28 kDa

Observed band size: 28 kDa

false

Western blot - Anti-glutathione S transferase Omega 1/p28 antibody [EPR8370(B)] (AB129106)
  • WB

Unknown

Western blot - Anti-glutathione S transferase Omega 1/p28 antibody [EPR8370(B)] (AB129106)

All lanes:

Western blot - Anti-glutathione S transferase Omega 1/p28 antibody [EPR8370(B)] (ab129106) at 1/1000 dilution

Lane 1:

Human fetal liver lysate at 10 µg

Lane 2:

BxPC3 lysate at 10 µg

Lane 3:

HepG2 lysate at 10 µg

Lane 4:

HeLa lysate at 10 µg

Secondary

All lanes:

Goat anti-Rabbit HRP at 1/2000 dilution

Predicted band size: 28 kDa

false

  • Carrier free

    Anti-glutathione S transferase Omega 1/p28 antibody [EPR8370(B)] - BSA and Azide free

Key facts

Host species

Rabbit

Clonality

Monoclonal

Clone number

EPR8370(B)

Isotype

IgG

Carrier free

No

Reacts with

Human

Applications

WB, IHC-P

applications

Immunogen

The exact immunogen used to generate this antibody is proprietary information.

Reactivity data

{ "title": "Reactivity Data", "filters": { "stats": ["", "Species", "Dilution Info", "Notes"], "tabs": { "all-applications": {"fullname" : "All Applications", "shortname": "All Applications"}, "IHCP" : {"fullname" : "Immunohistochemistry (Formalin/PFA-fixed paraffin-embedded sections)", "shortname":"IHC-P"}, "IP" : {"fullname" : "Immunoprecipitation", "shortname":"IP"}, "FlowCyt" : {"fullname" : "Flow Cytometry", "shortname":"Flow Cyt"}, "WB" : {"fullname" : "Western blot", "shortname":"WB"} }, "product-promise": { "all": "all", "testedAndGuaranteed": "tested", "guaranteed": "expected", "predicted": "predicted", "notRecommended": "not-recommended" } }, "values": { "Human": { "IHCP-species-checked": "testedAndGuaranteed", "IHCP-species-dilution-info": "1/100 - 1/250", "IHCP-species-notes": "<p></p>", "IP-species-checked": "notRecommended", "IP-species-dilution-info": "", "IP-species-notes": "<p></p>", "FlowCyt-species-checked": "notRecommended", "FlowCyt-species-dilution-info": "", "FlowCyt-species-notes": "<p></p>", "WB-species-checked": "testedAndGuaranteed", "WB-species-dilution-info": "1/1000 - 1/10000", "WB-species-notes": "<p></p>" }, "Rat": { "IHCP-species-checked": "predicted", "IHCP-species-dilution-info": "", "IHCP-species-notes": "", "IP-species-checked": "notRecommended", "IP-species-dilution-info": "", "IP-species-notes": "", "FlowCyt-species-checked": "notRecommended", "FlowCyt-species-dilution-info": "", "FlowCyt-species-notes": "", "WB-species-checked": "predicted", "WB-species-dilution-info": "", "WB-species-notes": "" } } }

Product details

Species reactivity
Mouse: We have preliminary internal testing data to indicate this antibody may not react with this species.
Please contact us for more information.

Patented technology
Our RabMAb® technology is a patented hybridoma-based technology for making rabbit monoclonal antibodies. For details on our patents, please refer to RabMAb® patents.

What are the advantages of a recombinant monoclonal antibody?
This product is a recombinant monoclonal antibody, which offers several advantages including:

  • - High batch-to-batch consistency and reproducibility
  • - Improved sensitivity and specificity
  • - Long-term security of supply
  • - Animal-free batch production

For more information, read more on recombinant antibodies.

Properties and storage information

Form
Liquid
Purification technique
Affinity purification Protein A
Storage buffer
pH: 7.2 - 7.4 Preservative: 0.01% Sodium azide Constituents: PBS, 50% Tissue culture supernatant, 40% Glycerol (glycerin, glycerine), 0.05% BSA
Shipped at conditions
Blue Ice
Appropriate short-term storage conditions
+4°C
Appropriate long-term storage conditions
-20°C
Storage information
Stable for 12 months at -20°C

Supplementary information

This supplementary information is collated from multiple sources and compiled automatically.

Glutathione S-transferase Omega 1 also known as GSTO1 or p28 is an enzyme that plays an important role in detoxification processes. It belongs to the omega class of glutathione S-transferases and has a molecular mass of approximately 28 kDa. This enzyme is expressed in various human tissues including the liver kidney and brain where it performs important metabolic functions. GSTO1 is not only involved in catalyzing the reduction of hydroxyecdysone metabolites such as ecdysterone (20-hydroxyecdysone) but also participates in modulating cellular responses to oxidative stress.
Biological function summary

GSTO1 is part of a complex network of proteins involved in protecting cells from oxidative damage. This enzyme takes part in antioxidant defense by catalyzing the conjugation of glutathione with harmful compounds facilitating their elimination. As a part of detoxification processes GSTO1 assists in maintaining cellular redox balance. Such activities are essential for several physiological functions including the metabolism of steroid compounds which can relate to ecdysteroid steroid activity. Its activity influences not only metabolic stability but also cell survival and integrity.

Pathways

GSTO1 functions in significant signaling pathways particularly in glutathione metabolism and stress response pathways. It interacts with proteins such as glutaredoxins and thioredoxins playing a role in regulating redox-sensitive signaling. Through its involvement in glutathione pathways GSTO1 helps mitigate damage from reactive oxygen species (ROS) and supports cellular repair mechanisms. Its actions link it with the broader antioxidant networks that maintain cellular homeostasis and modulate stress-induced pathways.

GSTO1 has connections to neurological and inflammatory conditions. For instance alterations in GSTO1 expression have been associated with Alzheimer's disease where oxidative stress plays a pivotal role. Similarly it seems implicated in inflammatory disorders due to its capacity to modulate inflammatory responses. Dysfunctional GSTO1 activity can result in an imbalance in oxidative stress pathways linking it with disease-related proteins like amyloid beta in neurodegenerative diseases and inflammatory cytokines in immune-related disorders.

Product protocols

For this product, it's our understanding that no specific protocols are required. You can visit:

Target data

Exhibits glutathione-dependent thiol transferase and dehydroascorbate reductase activities. Has S-(phenacyl)glutathione reductase activity. Has also glutathione S-transferase activity. Participates in the biotransformation of inorganic arsenic and reduces monomethylarsonic acid (MMA) and dimethylarsonic acid.
See full target information GSTO1

Publications (3)

Recent publications for all applications. Explore the full list and refine your search

Cancer research 82:3486-3498 PubMed35916672

2022

Selenium Modulates Cancer Cell Response to Pharmacologic Ascorbate.

Applications

Unspecified application

Species

Unspecified reactive species

Connor S R Jankowski,Joshua D Rabinowitz

Molecular medicine reports 23: PubMed33236161

2020

Glutathione S‑transferase ω 1 promotes the proliferation, migration and invasion, and inhibits the apoptosis of non‑small cell lung cancer cells, via the JAK/STAT3 signaling pathway.

Applications

Unspecified application

Species

Unspecified reactive species

Kai Wang,Fu-Lian Zhang,Wei Jia

Xenobiotica; the fate of foreign compounds in biological systems 48:867-881 PubMed28882082

2017

Changes in hepatic phase I and phase II biotransformation enzyme expression and glutathione levels following atrazine exposure in female rats.

Applications

Unspecified application

Species

Unspecified reactive species

Arthur D Zimmerman,Charles B Breckenridge,Kun D Yi,Pragati Sawhney Coder,Desiree Wanders,Robert L Judd,Chad D Foradori
View all publications

Product promise

We are committed to supporting your work with high-quality reagents, and we're here for you every step of the way. In the unlikely event that one of our products does not perform as expected, you're protected by our Product Promise.
For full details, please see our Terms & Conditions

Please note: All products are 'FOR RESEARCH USE ONLY. NOT FOR USE IN DIAGNOSTIC OR THERAPEUTIC PROCEDURES'.

For licensing inquiries, please contact partnerships@abcam.com