JavaScript is disabled in your browser. Please enable JavaScript to view this website.
AB248015

Anti-Glutathione Synthetase antibody [EPR6562] - BSA and Azide free

  • BOND RX™ Validated
  • RabMAb
  • Recombinant
  • KO Validated
  • What is this?

Be the first to review this product! Submit a review

|

(1 Publication)

Rabbit Recombinant Monoclonal Glutathione Synthetase antibody. Carrier free. Suitable for IHC-P, WB and reacts with Human samples. Cited in 1 publication.

View Alternative Names

Glutathione synthetase, GSH synthetase, GSH-S, Glutathione synthase, GSS

4 Images
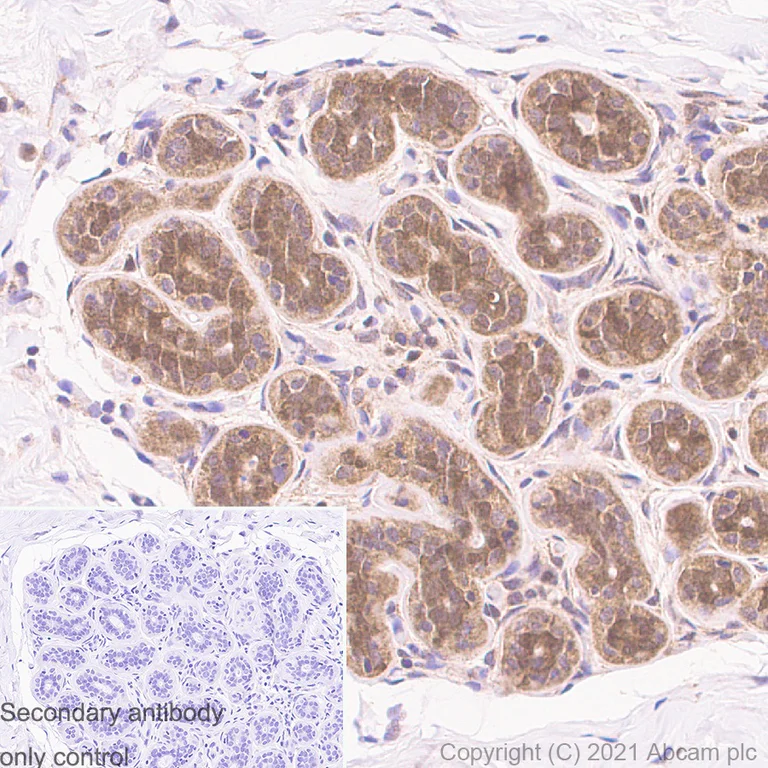
Immunohistochemistry (Formalin/PFA-fixed paraffin-embedded sections) - Anti-Glutathione Synthetase antibody [EPR6562] - BSA and Azide free (AB248015)
  • IHC-P

Lab

Immunohistochemistry (Formalin/PFA-fixed paraffin-embedded sections) - Anti-Glutathione Synthetase antibody [EPR6562] - BSA and Azide free (AB248015)

This data was developed using ab124811, the same antibody clone in a different buffer formulation.
Immunohistochemistry (Formalin/PFA-fixed paraffin-embedded sections) analysis of human breast tissue sections labeling Glutathione Synthetase with Purified ab124811 at 1 : 8000 (0.11 μg/ml). Heat mediated antigen retrieval was performed using Heat mediated antigen retrieval using Bond™ Epitope Retrieval Solution 2 (pH 9.0) . Tissue was counterstained with Hematoxylin. Rabbit specific IHC polymer detection kit HRP/DAB (ab209101) secondary antibody was used. PBS instead of the primary antibody was used as the negative control.

Immunohistochemistry (Formalin/PFA-fixed paraffin-embedded sections) - Anti-Glutathione Synthetase antibody [EPR6562] - BSA and Azide free (AB248015)
  • IHC-P

Lab

Immunohistochemistry (Formalin/PFA-fixed paraffin-embedded sections) - Anti-Glutathione Synthetase antibody [EPR6562] - BSA and Azide free (AB248015)

This data was developed using ab124811, the same antibody clone in a different buffer formulation.
Immunohistochemistry (Formalin/PFA-fixed paraffin-embedded sections) analysis of human hepatocellular carcinoma tissue sections labeling Glutathione Synthetase with Purified ab124811 at 1 : 8000 (0.11 μg/ml). Heat mediated antigen retrieval was performed using Heat mediated antigen retrieval using Bond™ Epitope Retrieval Solution 2 (pH 9.0) . Tissue was counterstained with Hematoxylin. Rabbit specific IHC polymer detection kit HRP/DAB (ab209101) secondary antibody was used. PBS instead of the primary antibody was used as the negative control.

Western blot - Anti-Glutathione Synthetase antibody [EPR6562] - BSA and Azide free (AB248015)
  • WB

Lab

Western blot - Anti-Glutathione Synthetase antibody [EPR6562] - BSA and Azide free (AB248015)

This data was developed using the same antibody clone in a different buffer formulation (ab124811).

Lanes 1- 4 : Merged signal (red and green). Green - ab124811 observed at 52 kDa. Red - Anti-GAPDH antibody [6C5] - Loading Control (ab8245) observed at 37 kDa.

ab124811 was shown to react with GSS in wild-type HEK-293T cells in western blot. Loss of signal was observed when knockout cell line ab266342 (knockout cell lysate ab257460) was used. Wild-type HEK-293T and GSS knockout HEK-293T cell lysates were subjected to SDS-PAGE. Membrane was blocked for 1 hour at room temperature in 0.1% TBST with 3% non-fat dried milk. ab124811 and Anti-GAPDH antibody [6C5] - Loading Control (ab8245) overnight at 4°C at a 1 in 10000 dilution and a 1 in 20000 dilution respectively. Blots were developed with Goat anti-Rabbit IgG H&L (IRDye®800CW) preadsorbed (ab216773) and Goat anti-Mouse IgG H&L (IRDye®680RD) preadsorbed (ab216776) secondary antibodies at 1 in 20000 dilution for 1 hour at room temperature before imaging.

All lanes:

Western blot - Anti-Glutathione Synthetase antibody [EPR6562] (<a href='/en-us/products/primary-antibodies/glutathione-synthetase-antibody-epr6562-ab124811'>ab124811</a>) at 1/10000 dilution

Lane 1:

Wild-type HEK-293T cell lysate at 20 µg

Lane 2:

GSS knockout HEK-293T cell lysate at 20 µg

Lane 2:

Western blot - Human GSS (Glutathione Synthetase) knockout HEK-293T cell line (<a href='/en-us/products/cell-lines/human-gss-glutathione-synthetase-knockout-hek-293t-cell-line-ab266342'>ab266342</a>)

Lane 3:

HeLa cell lysate at 20 µg

Lane 4:

Daudi cell lysate at 20 µg

Predicted band size: 52 kDa

Observed band size: 52 kDa

false

Western blot - Anti-Glutathione Synthetase antibody [EPR6562] - BSA and Azide free (AB248015)
  • WB

Unknown

Western blot - Anti-Glutathione Synthetase antibody [EPR6562] - BSA and Azide free (AB248015)

All lanes:

Western blot - Anti-Glutathione Synthetase antibody [EPR6562] (<a href='/en-us/products/primary-antibodies/glutathione-synthetase-antibody-epr6562-ab124811'>ab124811</a>) at 1/10000 dilution

Lane 1:

HeLa (Human cervix adenocarcinoma epithelial cell) whole cell lysate

Lane 2:

293T (Human embryonic kidney epithelial cell) whole cell lysate

Lane 3:

HT-1080 (Human fibrosarcoma epithelial cell) whole cell lysate

Secondary

All lanes:

Western blot - Goat Anti-Rabbit IgG H&L (HRP) (<a href='/en-us/products/secondary-antibodies/goat-rabbit-igg-h-l-hrp-ab97051'>ab97051</a>) at 1/20000 dilution

Predicted band size: 52 kDa

false

  • Unconjugated

    Anti-Glutathione Synthetase antibody [EPR6562]

Key facts

Host species

Rabbit

Clonality

Monoclonal

Clone number

EPR6562

Isotype

IgG

Carrier free

Yes

Reacts with

Human

Applications

WB, IHC-P

applications

Immunogen

The exact immunogen used to generate this antibody is proprietary information.

Reactivity data

{ "title": "Reactivity Data", "filters": { "stats": ["", "Species", "Dilution Info", "Notes"], "tabs": { "all-applications": {"fullname" : "All Applications", "shortname": "All Applications"}, "IHCP" : {"fullname" : "Immunohistochemistry (Formalin/PFA-fixed paraffin-embedded sections)", "shortname":"IHC-P"}, "WB" : {"fullname" : "Western blot", "shortname":"WB"} }, "product-promise": { "all": "all", "testedAndGuaranteed": "tested", "guaranteed": "expected", "predicted": "predicted", "notRecommended": "not-recommended" } }, "values": { "Human": { "IHCP-species-checked": "testedAndGuaranteed", "IHCP-species-dilution-info": "", "IHCP-species-notes": "<p>For antigen retrieval, heat up to 98 degree C, below boiling, and then let cool for 10-20 minutes.</p>", "WB-species-checked": "testedAndGuaranteed", "WB-species-dilution-info": "", "WB-species-notes": "<p></p>" } } }

Product details

ab248015 is the carrier-free version of ab124811.

Patented technology
Our RabMAb® technology is a patented hybridoma-based technology for making rabbit monoclonal antibodies. For details on our patents, please refer to RabMAb® patents.

What are the advantages of a recombinant monoclonal antibody?
This product is a recombinant monoclonal antibody, which offers several advantages including:

  • - High batch-to-batch consistency and reproducibility
  • - Improved sensitivity and specificity
  • - Long-term security of supply
  • - Animal-free batch production

For more information, read more on recombinant antibodies.

Conjugation ready
Our carrier-free antibodies are typically supplied in a PBS-only formulation, purified and free of BSA, sodium azide and glycerol. This conjugation-ready format is designed for use with fluorochromes, metal isotopes, oligonucleotides, and enzymes, which makes them ideal for antibody labelling, functional and cell-based assays, flow-based assays (e.g. mass cytometry) and Multiplex Imaging applications.

Use our conjugation kits for antibody conjugates that are ready-to-use in as little as 20 minutes with 1 minute hands-on-time and 100% antibody recovery: available for fluorescent dyes, HRP, biotin and gold.

Compatibility
This product is compatible with the Maxpar® Antibody Labeling Kit from Fluidigm, without the need for antibody preparation. Maxpar® is a trademark of Fluidigm Canada Inc.

Properties and storage information

Form
Liquid
Purification technique
Affinity purification Protein A
Storage buffer
pH: 7.2 - 7.4 Constituents: PBS
Shipped at conditions
Blue Ice
Appropriate short-term storage conditions
+4°C
Appropriate long-term storage conditions
+4°C
Storage information
Do Not Freeze

Supplementary information

This supplementary information is collated from multiple sources and compiled automatically.

Glutathione Synthetase (GSS) sometimes called GSS line is an enzyme that plays a central role in cellular function by catalyzing the ATP-dependent conversion of gamma-glutamylcysteine and glycine into glutathione. This enzyme has a molecular mass of about 70 kDa and exhibits high expression in the liver and red blood cells. It maintains the necessary cellular levels of glutathione a major antioxidant that protects cells from oxidative stress.
Biological function summary

GSS is responsible for the final step in glutathione biosynthesis. Acting independently GSS operates without forming a larger enzyme complex. Its enzymatic activity ensures adequate production of glutathione which regulates cellular redox homeostasis and detoxification processes. The availability of glutathione is critical for cellular respiration and immunity molecules essential for a well-functioning organism.

Pathways

The activity of GSS integrates into the gamma-glutamyl cycle and the detoxification pathway. It partners indirectly with enzymes like gamma-glutamylcysteine synthetase which precedes GSS in the glutathione biosynthesis pathway. This relationship positions GSS as an important element in sustaining normal cellular detoxification processes ensuring the neutralization of reactive oxygen species and maintaining the balance of free radicals.

Defects in GSS activity correlate with glutathione synthetase deficiency an autosomal recessive disorder that results in increased oxidative damage and metabolic acidosis. Symptoms range from hemolytic anemia to neurological complications due to impairments in oxidative stress management. The disorder links to proteins involved in antioxidant processes highlighting the importance of GSS in maintaining proper cellular function and disease prevention.

Product protocols

For this product, it's our understanding that no specific protocols are required. You can visit:

Target data

Catalyzes the production of glutathione from gamma-glutamylcysteine and glycine in an ATP-dependent manner (PubMed : 7646467, PubMed : 9215686). Glutathione (gamma-glutamylcysteinylglycine, GSH) is the most abundant intracellular thiol in living aerobic cells and is required for numerous processes including the protection of cells against oxidative damage, amino acid transport, the detoxification of foreign compounds, the maintenance of protein sulfhydryl groups in a reduced state and acts as a cofactor for a number of enzymes (PubMed : 10369661). Participates in ophthalmate biosynthesis in hepatocytes (By similarity).
See full target information Glutathione synthetase

Publications (1)

Recent publications for all applications. Explore the full list and refine your search

Journal of virology 97:e0190722 PubMed36946735

2023

Characterization of the Impact of Merkel Cell Polyomavirus-Induced Interferon Signaling on Viral Infection.

Applications

Unspecified application

Species

Unspecified reactive species

Ranran Wang,June F Yang,Taylor E Senay,Wei Liu,Jianxin You
View all publications

Product promise

We are committed to supporting your work with high-quality reagents, and we're here for you every step of the way. In the unlikely event that one of our products does not perform as expected, you're protected by our Product Promise.
For full details, please see our Terms & Conditions

Please note: All products are 'FOR RESEARCH USE ONLY. NOT FOR USE IN DIAGNOSTIC OR THERAPEUTIC PROCEDURES'.

For licensing inquiries, please contact partnerships@abcam.com