JavaScript is disabled in your browser. Please enable JavaScript to view this website.
AB133592

Anti-Glutathione Synthetase antibody [EPR6563]

Be the first to review this product! Submit a review

|

(12 Publications)

Rabbit Recombinant Monoclonal Glutathione Synthetase antibody. Suitable for IHC-P, WB, Flow Cyt (Intra) and reacts with Human samples. Cited in 12 publications.

View Alternative Names

Glutathione synthetase, GSH synthetase, GSH-S, Glutathione synthase, GSS

5 Images
Flow Cytometry (Intracellular) - Anti-Glutathione Synthetase antibody [EPR6563] (AB133592)
  • Flow Cyt (Intra)

Unknown

Flow Cytometry (Intracellular) - Anti-Glutathione Synthetase antibody [EPR6563] (AB133592)

Overlay histogram showing Jurkat cells stained with ab133592 (red line). The cells were fixed with 80% methanol (5 min)/ and then permeabilized with 0.1% PBS-Tween for 20 min. The cells were then incubated in 1x PBS / 10% normal goat serum / 0.3M glycine to block non-specific protein-protein interactions followed by the antibody (ab133592, 1/1000 dilution) for 30 min at 22°C. The secondary antibody used was Alexa Fluor® 488 goat anti-rabbit IgG (H&L) (ab150077) at 1/2000 dilution for 30 min at 22°C. Isotype control antibody (black line) was rabbit IgG (monoclonal) (0.1μg/1x106 cells) used under the same conditions. Unlabelled sample (blue line) was also used as a control. Acquisition of >5,000 events were collected using a 20mW Argon ion laser (488nm) and 525/30 bandpass filter.

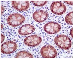
Immunohistochemistry (Formalin/PFA-fixed paraffin-embedded sections) - Anti-Glutathione Synthetase antibody [EPR6563] (AB133592)
  • IHC-P

Unknown

Immunohistochemistry (Formalin/PFA-fixed paraffin-embedded sections) - Anti-Glutathione Synthetase antibody [EPR6563] (AB133592)

Immunohistochemical analysis of paraffin-embedded Human colon tissue labelling Glutathione Synthetase with ab133592 at 1/50 dilution.

Perform heat mediated antigen retrieval with citrate buffer pH 6 before commencing with IHC staining protocol.

Western blot - Anti-Glutathione Synthetase antibody [EPR6563] (AB133592)
  • WB

Lab

Western blot - Anti-Glutathione Synthetase antibody [EPR6563] (AB133592)

Lanes 1- 4 : Merged signal (red and green). Green - ab133592 observed at 50 kDa. Red - Anti-GAPDH antibody [6C5] - Loading Control (ab8245) observed at 37 kDa.

ab133592 was shown to react with GSS in wild-type HEK-293T cells in western blot. Loss of signal was observed when knockout cell line ab266342 (knockout cell lysate ab257460) was used. Wild-type HEK-293T and GSS knockout HEK-293T cell lysates were subjected to SDS-PAGE. Membrane was blocked for 1 hour at room temperature in 0.1% TBST with 3% non-fat dried milk. ab133592 and Anti-GAPDH antibody [6C5] - Loading Control (ab8245) overnight at 4°C at a 1 in 1000 dilution and a 1 in 20000 dilution respectively. Blots were developed with Goat anti-Rabbit IgG H&L (IRDye®800CW) preadsorbed (ab216773) and Goat anti-Mouse IgG H&L (IRDye®680RD) preadsorbed (ab216776) secondary antibodies at 1 in 20000 dilution for 1 hour at room temperature before imaging.

All lanes:

Western blot - Anti-Glutathione Synthetase antibody [EPR6563] (ab133592) at 1/1000 dilution

Lane 1:

Wild-type HEK-293T cell lysate at 20 µg

Lane 2:

GSS knockout HEK-293T cell lysate at 20 µg

Lane 2:

Western blot - Human GSS (Glutathione Synthetase) knockout HEK-293T cell line (<a href='/en-us/products/cell-lines/human-gss-glutathione-synthetase-knockout-hek-293t-cell-line-ab266342'>ab266342</a>)

Lane 3:

HeLa cell lysate at 20 µg

Lane 4:

Daudi cell lysate at 20 µg

Predicted band size: 52 kDa

Observed band size: 50 kDa

false

Western blot - Anti-Glutathione Synthetase antibody [EPR6563] (AB133592)
  • WB

Unknown

Western blot - Anti-Glutathione Synthetase antibody [EPR6563] (AB133592)

All lanes:

Western blot - Anti-Glutathione Synthetase antibody [EPR6563] (ab133592) at 1/1000 dilution

Lane 1:

293T cell lysate at 10 µg

Lane 2:

HeLa cell lysate at 10 µg

Lane 3:

HT-1080 cell lysate at 10 µg

Secondary

All lanes:

HRP labelled Goat anti-Rabbit IgG at 1/2000 dilution

Predicted band size: 52 kDa

false

OI-RD Scanning - Anti-Glutathione Synthetase antibody [EPR6563] (AB133592)
  • OI-RD Scanning

Unknown

OI-RD Scanning - Anti-Glutathione Synthetase antibody [EPR6563] (AB133592)

We have systematically measured KD (the equilibrium dissociation constant between the antibody and its antigen), of more than 840 recombinant antibodies to assess not only their individual KD values but also to see the average affinity of antibody. Based on the comparison with published literature values for mouse monoclonal antibodies, Recombinant antibodies appear to be on average 1-2 order of magnitude higher affinity.

  • Carrier free

    Anti-Glutathione Synthetase antibody [EPR6563] - BSA and Azide free

Key facts

Host species

Rabbit

Clonality

Monoclonal

Clone number

EPR6563

Isotype

IgG

Carrier free

No

Reacts with

Human

Applications

WB, Flow Cyt (Intra), IHC-P

applications

Immunogen

The exact immunogen used to generate this antibody is proprietary information.

Reactivity data

{ "title": "Reactivity Data", "filters": { "stats": ["", "Species", "Dilution Info", "Notes"], "tabs": { "all-applications": {"fullname" : "All Applications", "shortname": "All Applications"}, "IHCP" : {"fullname" : "Immunohistochemistry (Formalin/PFA-fixed paraffin-embedded sections)", "shortname":"IHC-P"}, "IP" : {"fullname" : "Immunoprecipitation", "shortname":"IP"}, "WB" : {"fullname" : "Western blot", "shortname":"WB"}, "FlowCytIntra" : {"fullname" : "Flow Cytometry (Intracellular)", "shortname":"Flow Cyt (Intra)"} }, "product-promise": { "all": "all", "testedAndGuaranteed": "tested", "guaranteed": "expected", "predicted": "predicted", "notRecommended": "not-recommended" } }, "values": { "Human": { "IHCP-species-checked": "testedAndGuaranteed", "IHCP-species-dilution-info": "1/50 - 1/100", "IHCP-species-notes": "<p></p>", "IP-species-checked": "notRecommended", "IP-species-dilution-info": "", "IP-species-notes": "<p></p>", "WB-species-checked": "testedAndGuaranteed", "WB-species-dilution-info": "1/1000 - 1/10000", "WB-species-notes": "<p></p>", "FlowCytIntra-species-checked": "testedAndGuaranteed", "FlowCytIntra-species-dilution-info": "1/100 - 1/1000", "FlowCytIntra-species-notes": "<p><a href='/en-us/products/primary-antibodies/rabbit-igg-monoclonal-epr25a-isotype-control-ab172730'>ab172730</a> - Rabbit monoclonal IgG, is suitable for use as an isotype control with this antibody.</p>" }, "Mouse": { "IHCP-species-checked": "predicted", "IHCP-species-dilution-info": "", "IHCP-species-notes": "", "IP-species-checked": "notRecommended", "IP-species-dilution-info": "", "IP-species-notes": "", "WB-species-checked": "predicted", "WB-species-dilution-info": "", "WB-species-notes": "", "FlowCytIntra-species-checked": "predicted", "FlowCytIntra-species-dilution-info": "", "FlowCytIntra-species-notes": "" }, "Rat": { "IHCP-species-checked": "predicted", "IHCP-species-dilution-info": "", "IHCP-species-notes": "", "IP-species-checked": "notRecommended", "IP-species-dilution-info": "", "IP-species-notes": "", "WB-species-checked": "predicted", "WB-species-dilution-info": "", "WB-species-notes": "", "FlowCytIntra-species-checked": "predicted", "FlowCytIntra-species-dilution-info": "", "FlowCytIntra-species-notes": "" } } }

Product details

Patented technology
Our RabMAb® technology is a patented hybridoma-based technology for making rabbit monoclonal antibodies. For details on our patents, please refer to RabMAb® patents.

What are the advantages of a recombinant monoclonal antibody?
This product is a recombinant monoclonal antibody, which offers several advantages including:

  • - High batch-to-batch consistency and reproducibility
  • - Improved sensitivity and specificity
  • - Long-term security of supply
  • - Animal-free batch production

For more information, read more on recombinant antibodies.

Properties and storage information

Form
Liquid
Purification technique
Affinity purification Protein A
Storage buffer
pH: 7.2 - 7.4 Preservative: 0.01% Sodium azide Constituents: PBS, 50% Tissue culture supernatant, 40% Glycerol (glycerin, glycerine), 0.05% BSA
Shipped at conditions
Blue Ice
Appropriate short-term storage conditions
+4°C
Appropriate long-term storage conditions
-20°C
Storage information
Stable for 12 months at -20°C

Supplementary information

This supplementary information is collated from multiple sources and compiled automatically.

Glutathione Synthetase (GSS) sometimes called GSS line is an enzyme that plays a central role in cellular function by catalyzing the ATP-dependent conversion of gamma-glutamylcysteine and glycine into glutathione. This enzyme has a molecular mass of about 70 kDa and exhibits high expression in the liver and red blood cells. It maintains the necessary cellular levels of glutathione a major antioxidant that protects cells from oxidative stress.
Biological function summary

GSS is responsible for the final step in glutathione biosynthesis. Acting independently GSS operates without forming a larger enzyme complex. Its enzymatic activity ensures adequate production of glutathione which regulates cellular redox homeostasis and detoxification processes. The availability of glutathione is critical for cellular respiration and immunity molecules essential for a well-functioning organism.

Pathways

The activity of GSS integrates into the gamma-glutamyl cycle and the detoxification pathway. It partners indirectly with enzymes like gamma-glutamylcysteine synthetase which precedes GSS in the glutathione biosynthesis pathway. This relationship positions GSS as an important element in sustaining normal cellular detoxification processes ensuring the neutralization of reactive oxygen species and maintaining the balance of free radicals.

Defects in GSS activity correlate with glutathione synthetase deficiency an autosomal recessive disorder that results in increased oxidative damage and metabolic acidosis. Symptoms range from hemolytic anemia to neurological complications due to impairments in oxidative stress management. The disorder links to proteins involved in antioxidant processes highlighting the importance of GSS in maintaining proper cellular function and disease prevention.

Product protocols

For this product, it's our understanding that no specific protocols are required. You can visit:

Target data

Catalyzes the production of glutathione from gamma-glutamylcysteine and glycine in an ATP-dependent manner (PubMed : 7646467, PubMed : 9215686). Glutathione (gamma-glutamylcysteinylglycine, GSH) is the most abundant intracellular thiol in living aerobic cells and is required for numerous processes including the protection of cells against oxidative damage, amino acid transport, the detoxification of foreign compounds, the maintenance of protein sulfhydryl groups in a reduced state and acts as a cofactor for a number of enzymes (PubMed : 10369661). Participates in ophthalmate biosynthesis in hepatocytes (By similarity).
See full target information Glutathione synthetase

Publications (12)

Recent publications for all applications. Explore the full list and refine your search

Investigative ophthalmology & visual science 66:60 PubMed39992672

2025

Untargeted Tear Proteomics in a Large South-Asian Cohort Reveals Inflammatory Signaling, ECM Remodeling, and Altered Metabolism in Keratoconus.

Applications

Unspecified application

Species

Unspecified reactive species

Ramaraj Kannan,Rohit Shetty,Trailokyanath Panigrahi,Siew Kwan Koh,Pooja Khamar,Vrushali Deshpande,Rudy M M A Nuijts,Marlies Gijs,Krishnatej Nishtala,Lei Zhou,Arkasubhra Ghosh

Advanced science (Weinheim, Baden-Wurttemberg, Germany) 11:e2307245 PubMed38204214

2024

De Novo Generation and Identification of Novel Compounds with Drug Efficacy Based on Machine Learning.

Applications

Unspecified application

Species

Unspecified reactive species

Dakuo He,Qing Liu,Yan Mi,Qingqi Meng,Libin Xu,Chunyu Hou,Jinpeng Wang,Ning Li,Yang Liu,Huifang Chai,Yanqiu Yang,Jingyu Liu,Lihui Wang,Yue Hou

Antioxidants (Basel, Switzerland) 11: PubMed35453462

2022

P2X7 Receptor Augments LPS-Induced Nitrosative Stress by Regulating Nrf2 and GSH Levels in the Mouse Hippocampus.

Applications

Unspecified application

Species

Unspecified reactive species

Duk-Shin Lee,Ji-Eun Kim

Nanomaterials (Basel, Switzerland) 12: PubMed35009966

2021

Evaluation of the Safety and Toxicity of the Original Copper Nanocomposite Based on Poly-N-vinylimidazole.

Applications

Unspecified application

Species

Unspecified reactive species

Irina A Shurygina,Galina F Prozorova,Irina S Trukhan,Svetlana A Korzhova,Nataliya N Dremina,Artem I Emel'yanov,Olesya V Say,Nadezhda P Kuznetsova,Alexander S Pozdnyakov,Michael G Shurygin

eLife 10: PubMed34825649

2021

Metabolomic profiling reveals a differential role for hippocampal glutathione reductase in infantile memory formation.

Applications

Unspecified application

Species

Unspecified reactive species

Benjamin Bessières,Emmanuel Cruz,Cristina M Alberini

The Journal of biological chemistry 296:100169 PubMed33298526

2020

Nrf2 is activated by disruption of mitochondrial thiol homeostasis but not by enhanced mitochondrial superoxide production.

Applications

Unspecified application

Species

Unspecified reactive species

Filip Cvetko,Stuart T Caldwell,Maureen Higgins,Takafumi Suzuki,Masayuki Yamamoto,Hiran A Prag,Richard C Hartley,Albena T Dinkova-Kostova,Michael P Murphy

Biochimica et biophysica acta. Molecular basis of 1866:165895 PubMed32681864

2020

S-adenosyl-L-methionine (SAMe) halts the autoimmune response in patients with primary biliary cholangitis (PBC) via antioxidant and S-glutathionylation processes in cholangiocytes.

Applications

Unspecified application

Species

Unspecified reactive species

E Kilanczyk,J M Banales,E Wunsch,O Barbier,M A Avila,J M Mato,M Milkiewicz,P Milkiewicz

Cells 9: PubMed32316268

2020

Deletion of P2X7 Receptor Decreases Basal Glutathione Level by Changing Glutamate-Glutamine Cycle and Neutral Amino Acid Transporters.

Applications

Unspecified application

Species

Unspecified reactive species

Hana Park,Ji-Eun Kim

Pediatric pulmonology 54:1060-1077 PubMed30848059

2019

Mouse genetic background impacts susceptibility to hyperoxia-driven perturbations to lung maturation.

Applications

Unspecified application

Species

Unspecified reactive species

Jennifer Tiono,David E Surate Solaligue,Ivana Mižíková,Claudio Nardiello,István Vadász,Eva Böttcher-Friebertshäuser,Harald Ehrhardt,Susanne Herold,Werner Seeger,Rory E Morty

Biology of reproduction 100:1090-1107 PubMed30418487

2018

Depletion of thiols leads to redox deregulation, production of 4-hydroxinonenal and sperm senescence: a possible role for GSH regulation in spermatozoa†.

Applications

Unspecified application

Species

Unspecified reactive species

Cristina Ortega-Ferrusola,Patricia Martin Muñoz,Jose Manuel Ortiz-Rodriguez,Luis Anel-López,Carolina Balao da Silva,Mercedes Álvarez,Paulino de Paz,Jose Antonio Tapia,Luis Anel,Antonio Silva-Rodríguez,Robert J Aitken,M Cruz Gil,Zamira Gibb,Fernando J Peña
View all publications

Product promise

We are committed to supporting your work with high-quality reagents, and we're here for you every step of the way. In the unlikely event that one of our products does not perform as expected, you're protected by our Product Promise.
For full details, please see our Terms & Conditions

Please note: All products are 'FOR RESEARCH USE ONLY. NOT FOR USE IN DIAGNOSTIC OR THERAPEUTIC PROCEDURES'.

For licensing inquiries, please contact partnerships@abcam.com