JavaScript is disabled in your browser. Please enable JavaScript to view this website.
AB313872

Anti-Glycerol 3 Phosphate Dehydrogenase antibody [EPR25996-4] - BSA and Azide free

Be the first to review this product! Submit a review

|

(0 Publication)

Rabbit Recombinant Monoclonal GPDA antibody. Carrier free. Suitable for WB, IP, IHC-P and reacts with Human, Mouse, Rat samples.

View Alternative Names

GPD-C, GPDH-C, GPD1

11 Images
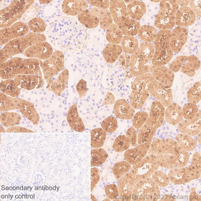
Immunohistochemistry (Formalin/PFA-fixed paraffin-embedded sections) - Anti-Glycerol 3 Phosphate Dehydrogenase antibody [EPR25996-4] - BSA and Azide free (AB313872)
  • IHC-P

Supplier Data

Immunohistochemistry (Formalin/PFA-fixed paraffin-embedded sections) - Anti-Glycerol 3 Phosphate Dehydrogenase antibody [EPR25996-4] - BSA and Azide free (AB313872)

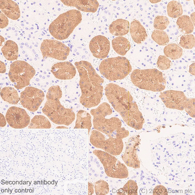
This data was developed using ab313871, the same antibody clone in a different buffer formulation. Immunohistochemical analysis of paraffin-embedded Human kidney tissue labeling Glycerol 3 Phosphate Dehydrogenase with ab313871 at 1/5000 followed by a ready to use LeicaDS9800 (Bond™ Polymer Refine Detection). Cytoplasmic and nuclear staining on human kidney tubules (PMID : 34098990). The section was incubated with ab313871 for 30 mins at room temperature.The immunostaining was performed on a Leica Biosystems BOND® RX instrument Counterstained with Hematoxylin. Secondary antibody only control : Secondary antibody is a ready to use LeicaDS9800 (Bond™ Polymer Refine Detection). Heat mediated antigen retrieval was performed with Tris-EDTA buffer (pH 9.0, Epitope Retrieval Solution2) for 20 mins

Immunohistochemistry (Formalin/PFA-fixed paraffin-embedded sections) - Anti-Glycerol 3 Phosphate Dehydrogenase antibody [EPR25996-4] - BSA and Azide free (AB313872)
  • IHC-P

Supplier Data

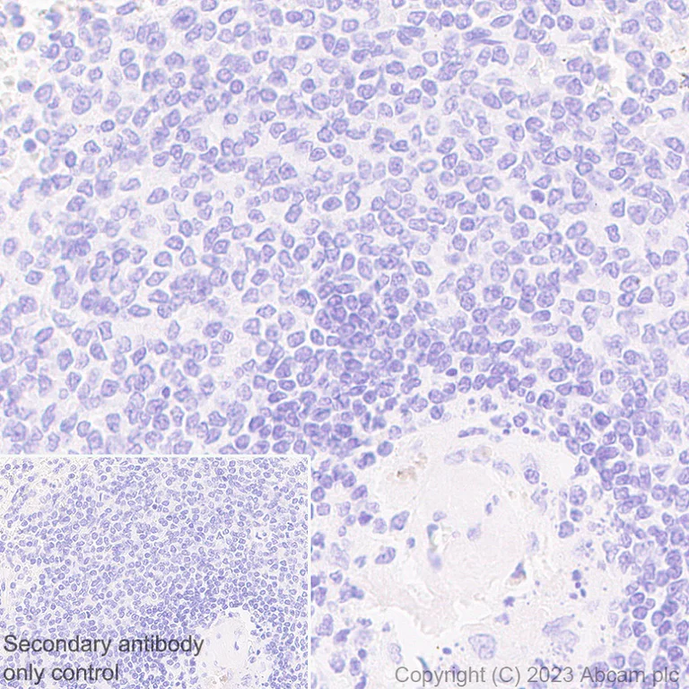
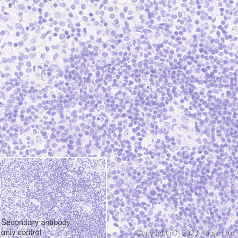
Immunohistochemistry (Formalin/PFA-fixed paraffin-embedded sections) - Anti-Glycerol 3 Phosphate Dehydrogenase antibody [EPR25996-4] - BSA and Azide free (AB313872)

This data was developed using ab313871, the same antibody clone in a different buffer formulation. Immunohistochemical analysis of paraffin-embedded Human spleen tissue labeling Glycerol 3 Phosphate Dehydrogenase with ab313871 at 1/5000 followed by a ready to use LeicaDS9800 (Bond™ Polymer Refine Detection). Negative control : no staining on human spleen. The section was incubated with ab313871 for 30 mins at room temperature.The immunostaining was performed on a Leica Biosystems BOND® RX instrument Counterstained with Hematoxylin. Secondary antibody only control : Secondary antibody is a ready to use LeicaDS9800 (Bond™ Polymer Refine Detection). Heat mediated antigen retrieval was performed with Tris-EDTA buffer (pH 9.0, Epitope Retrieval Solution2) for 20 mins

Immunohistochemistry (Formalin/PFA-fixed paraffin-embedded sections) - Anti-Glycerol 3 Phosphate Dehydrogenase antibody [EPR25996-4] - BSA and Azide free (AB313872)
  • IHC-P

Supplier Data

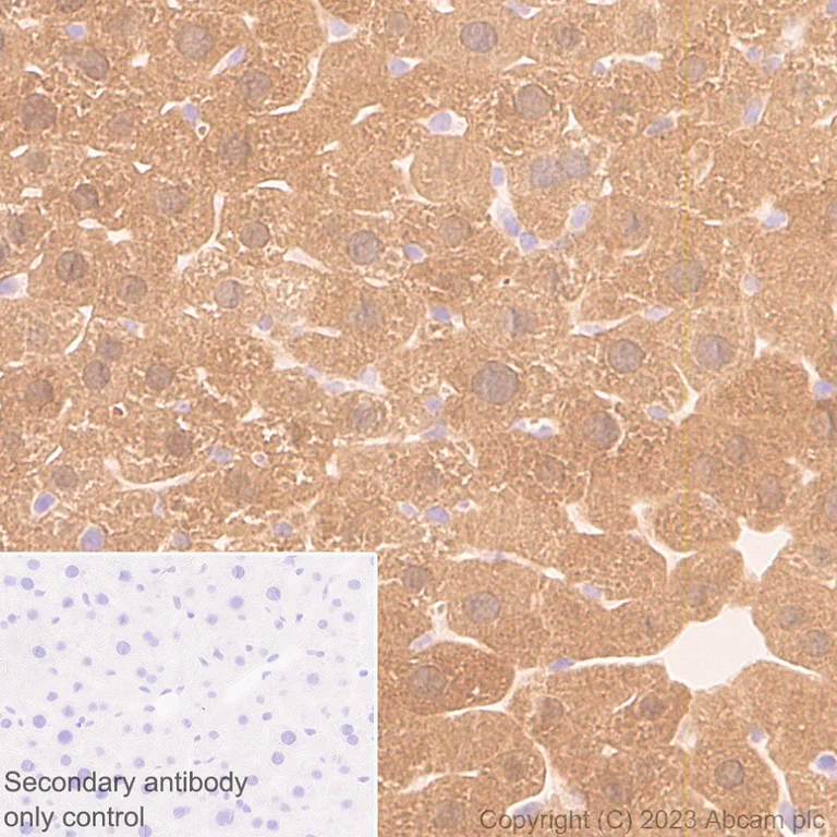
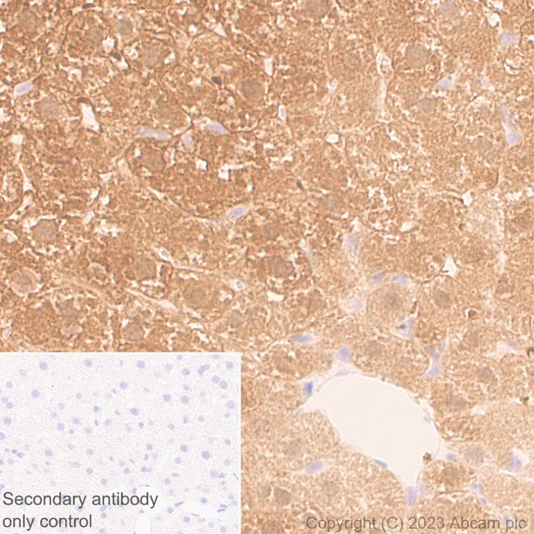
Immunohistochemistry (Formalin/PFA-fixed paraffin-embedded sections) - Anti-Glycerol 3 Phosphate Dehydrogenase antibody [EPR25996-4] - BSA and Azide free (AB313872)

This data was developed using ab313871, the same antibody clone in a different buffer formulation. Immunohistochemical analysis of paraffin-embedded Human liver tissue labeling Glycerol 3 Phosphate Dehydrogenase with ab313871 at 1/5000 followed by a ready to use LeicaDS9800 (Bond™ Polymer Refine Detection). Cytoplasmic and nuclear staining on human liver. The section was incubated with ab313871 for 30 mins at room temperature.The immunostaining was performed on a Leica Biosystems BOND® RX instrument Counterstained with Hematoxylin. Secondary antibody only control : Secondary antibody is a ready to use LeicaDS9800 (Bond™ Polymer Refine Detection). Heat mediated antigen retrieval was performed with Tris-EDTA buffer (pH 9.0, Epitope Retrieval Solution2) for 20 mins

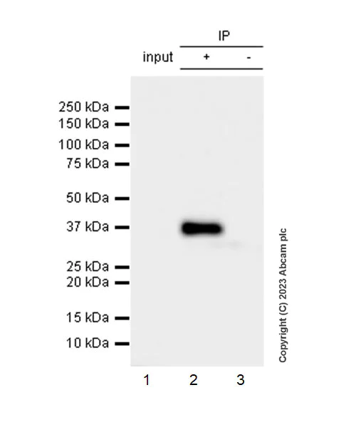
Immunoprecipitation - Anti-Glycerol 3 Phosphate Dehydrogenase antibody [EPR25996-4] - BSA and Azide free (AB313872)
  • IP

Supplier Data

Immunoprecipitation - Anti-Glycerol 3 Phosphate Dehydrogenase antibody [EPR25996-4] - BSA and Azide free (AB313872)

This data was developed using ab313871, the same antibody clone in a different buffer formulation. Glycerol 3 Phosphate Dehydrogenase was immunoprecipitated from 0.35 mg HepG2 (human hepatocellular carcinoma epithelial cell) whole cell lysate with ab313871 at 1/30 dilution (2ug in 0.35mg lysates). Western blot was performed on the immunoprecipitate using ab313871 at 1/1000 dilution. VeriBlot for IP secondary antibody(HRP)(ab131366) was used at 1/5000 dilution. Lane 1 : HepG2 (human hepatocellular carcinoma epithelial cell) whole cell lysate Lane 2 : ab313871 IP in HepG2 (human hepatocellular carcinoma epithelial cell) whole cell lysate Lane 3 : Rabbit monoclonal IgG (ab172730) instead of ab313871 in HepG2 whole cell lysate Blocking and dilution buffer and concentration : 5% NFDM/TBST. Exposure time : 15 seconds

All lanes:

Immunoprecipitation - Anti-Glycerol 3 Phosphate Dehydrogenase antibody [EPR25996-4] (<a href='/en-us/products/primary-antibodies/glycerol-3-phosphate-dehydrogenase-antibody-epr25996-4-ab313871'>ab313871</a>) at 1/30 dilution

All lanes:

HepG2 (human hepatocellular carcinoma epithelial cell) whole cell lysate

Secondary

All lanes:

Immunoprecipitation - VeriBlot for IP Detection Reagent (HRP) (<a href='/en-us/products/reagents/veriblot-for-ip-detection-reagent-hrp-ab131366'>ab131366</a>) at 1/5000 dilution

false

Exposure time: 15s

Immunohistochemistry (Formalin/PFA-fixed paraffin-embedded sections) - Anti-Glycerol 3 Phosphate Dehydrogenase antibody [EPR25996-4] - BSA and Azide free (AB313872)
  • IHC-P

Supplier Data

Immunohistochemistry (Formalin/PFA-fixed paraffin-embedded sections) - Anti-Glycerol 3 Phosphate Dehydrogenase antibody [EPR25996-4] - BSA and Azide free (AB313872)

This data was developed using ab313871, the same antibody clone in a different buffer formulation. Immunohistochemical analysis of paraffin-embedded Rat kidney tissue labeling Glycerol 3 Phosphate Dehydrogenase with ab313871 at 1/5000 followed by a ready to use LeicaDS9800 (Bond™ Polymer Refine Detection). Cytoplasmic and nuclear staining on rat kidney tubules. The section was incubated with ab313871 for 30 mins at room temperature.The immunostaining was performed on a Leica Biosystems BOND® RX instrument Counterstained with Hematoxylin. Secondary antibody only control : Secondary antibody is a ready to use LeicaDS9800 (Bond™ Polymer Refine Detection). Heat mediated antigen retrieval was performed with Tris-EDTA buffer (pH 9.0, Epitope Retrieval Solution2) for 20 mins

Immunohistochemistry (Formalin/PFA-fixed paraffin-embedded sections) - Anti-Glycerol 3 Phosphate Dehydrogenase antibody [EPR25996-4] - BSA and Azide free (AB313872)
  • IHC-P

Supplier Data

Immunohistochemistry (Formalin/PFA-fixed paraffin-embedded sections) - Anti-Glycerol 3 Phosphate Dehydrogenase antibody [EPR25996-4] - BSA and Azide free (AB313872)

This data was developed using ab313871, the same antibody clone in a different buffer formulation. Immunohistochemical analysis of paraffin-embedded Mouse kidney tissue labeling Glycerol 3 Phosphate Dehydrogenase with ab313871 at 1/5000 followed by a ready to use LeicaDS9800 (Bond™ Polymer Refine Detection). Cytoplasmic and nuclear staining on mouse kidney tubules (PMID : 6782104). The section was incubated with ab313871 for 30 mins at room temperature.The immunostaining was performed on a Leica Biosystems BOND® RX instrument Counterstained with Hematoxylin. Secondary antibody only control : Secondary antibody is a ready to use LeicaDS9800 (Bond™ Polymer Refine Detection). Heat mediated antigen retrieval was performed with Tris-EDTA buffer (pH 9.0, Epitope Retrieval Solution2) for 20 mins

Immunohistochemistry (Formalin/PFA-fixed paraffin-embedded sections) - Anti-Glycerol 3 Phosphate Dehydrogenase antibody [EPR25996-4] - BSA and Azide free (AB313872)
  • IHC-P

Supplier Data

Immunohistochemistry (Formalin/PFA-fixed paraffin-embedded sections) - Anti-Glycerol 3 Phosphate Dehydrogenase antibody [EPR25996-4] - BSA and Azide free (AB313872)

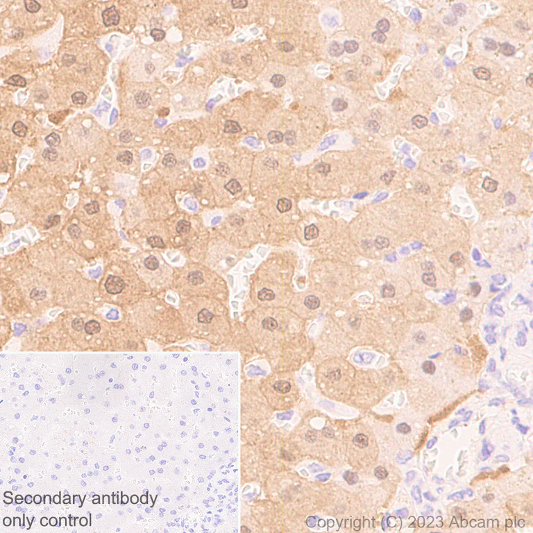
This data was developed using ab313871, the same antibody clone in a different buffer formulation. Immunohistochemical analysis of paraffin-embedded Rat liver tissue labeling Glycerol 3 Phosphate Dehydrogenase with ab313871 at 1/5000 followed by a ready to use LeicaDS9800 (Bond™ Polymer Refine Detection). Cytoplasmic and nuclear staining on rat liver. The section was incubated with ab313871 for 30 mins at room temperature.The immunostaining was performed on a Leica Biosystems BOND® RX instrument Counterstained with Hematoxylin. Secondary antibody only control : Secondary antibody is a ready to use LeicaDS9800 (Bond™ Polymer Refine Detection). Heat mediated antigen retrieval was performed with Tris-EDTA buffer (pH 9.0, Epitope Retrieval Solution2) for 20 mins

Immunohistochemistry (Formalin/PFA-fixed paraffin-embedded sections) - Anti-Glycerol 3 Phosphate Dehydrogenase antibody [EPR25996-4] - BSA and Azide free (AB313872)
  • IHC-P

Supplier Data

Immunohistochemistry (Formalin/PFA-fixed paraffin-embedded sections) - Anti-Glycerol 3 Phosphate Dehydrogenase antibody [EPR25996-4] - BSA and Azide free (AB313872)

This data was developed using ab313871, the same antibody clone in a different buffer formulation. Immunohistochemical analysis of paraffin-embedded Mouse spleen tissue labeling Glycerol 3 Phosphate Dehydrogenase with ab313871 at 1/5000 followed by a ready to use LeicaDS9800 (Bond™ Polymer Refine Detection). Negative control : no staining on mouse spleen. The section was incubated with ab313871 for 30 mins at room temperature.The immunostaining was performed on a Leica Biosystems BOND® RX instrument Counterstained with Hematoxylin. Secondary antibody only control : Secondary antibody is a ready to use LeicaDS9800 (Bond™ Polymer Refine Detection). Heat mediated antigen retrieval was performed with Tris-EDTA buffer (pH 9.0, Epitope Retrieval Solution2) for 20 mins

Immunohistochemistry (Formalin/PFA-fixed paraffin-embedded sections) - Anti-Glycerol 3 Phosphate Dehydrogenase antibody [EPR25996-4] - BSA and Azide free (AB313872)
  • IHC-P

Supplier Data

Immunohistochemistry (Formalin/PFA-fixed paraffin-embedded sections) - Anti-Glycerol 3 Phosphate Dehydrogenase antibody [EPR25996-4] - BSA and Azide free (AB313872)

This data was developed using ab313871, the same antibody clone in a different buffer formulation. Immunohistochemical analysis of paraffin-embedded Mouse liver tissue labeling Glycerol 3 Phosphate Dehydrogenase with ab313871 at 1/5000 followed by a ready to use LeicaDS9800 (Bond™ Polymer Refine Detection). Cytoplasmic and nuclear staining on mouse liver. The section was incubated with ab313871 for 30 mins at room temperature.The immunostaining was performed on a Leica Biosystems BOND® RX instrument Counterstained with Hematoxylin. Secondary antibody only control : Secondary antibody is a ready to use LeicaDS9800 (Bond™ Polymer Refine Detection). Heat mediated antigen retrieval was performed with Tris-EDTA buffer (pH 9.0, Epitope Retrieval Solution2) for 20 mins

Western blot - Anti-Glycerol 3 Phosphate Dehydrogenase antibody [EPR25996-4] - BSA and Azide free (AB313872)
  • WB

Supplier Data

Western blot - Anti-Glycerol 3 Phosphate Dehydrogenase antibody [EPR25996-4] - BSA and Azide free (AB313872)

This data was developed using ab313871, the same antibody clone in a different buffer formulation.

Blocking and diluting buffer and concentration : 5% NFDM/TBST

Low expression : MCF7 and SK-BR-3.

In Western blot, Anti-GAPDH antibody [EPR16891] (ab181602) staining at 1/10000 dilution.

All lanes:

Western blot - Anti-Glycerol 3 Phosphate Dehydrogenase antibody [EPR25996-4] (<a href='/en-us/products/primary-antibodies/glycerol-3-phosphate-dehydrogenase-antibody-epr25996-4-ab313871'>ab313871</a>) at 1/1000 dilution

Lane 1:

HepG2 (human hepatocellar carcinoma epithelial cell) whole cell lysate at 20 µg

Lane 2:

MCF7 (human breast adenocarcinoma epithelial cell) whole cell lysate at 20 µg

Lane 3:

SK-BR-3 (human breast adenocarcinoma epithelial cell) whole cell lysate at 20 µg

Lane 4:

Human skeletal muscle cytoplasma tissue lysate at 20 µg

Lane 5:

human liver tissue lysate at 20 µg

Lane 6:

Mouse liver tissue lysate at 20 µg

Lane 7:

Rat liver tissue lysate at 20 µg

Secondary

All lanes:

Western blot - Goat Anti-Rabbit IgG H&L (HRP) (<a href='/en-us/products/secondary-antibodies/goat-rabbit-igg-h-l-hrp-ab97051'>ab97051</a>) at 1/20000 dilution

Observed band size: 35 kDa

false

Exposure time: 15s

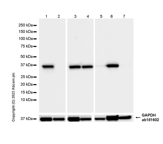
Western blot - Anti-Glycerol 3 Phosphate Dehydrogenase antibody [EPR25996-4] - BSA and Azide free (AB313872)
  • WB

Supplier Data

Western blot - Anti-Glycerol 3 Phosphate Dehydrogenase antibody [EPR25996-4] - BSA and Azide free (AB313872)

This data was developed using ab313871, the same antibody clone in a different buffer formulation. Blocking and diluting buffer and concentration : 5% NFDM/TBST Negative control : spleen. In Western blot, Anti-GAPDH antibody [EPR16891] - Loading Control (ab181602) staining at 1/200000 dilution. Exposure time : 1 seconds

All lanes:

Western blot - Anti-Glycerol 3 Phosphate Dehydrogenase antibody [EPR25996-4] (<a href='/en-us/products/primary-antibodies/glycerol-3-phosphate-dehydrogenase-antibody-epr25996-4-ab313871'>ab313871</a>) at 1/1000 dilution

Lane 1:

Human skeletal muscle tissue lysate at 20 µg

Lane 2:

Human spleen tissue lysate at 20 µg

Lane 3:

Mouse skeletal muscle tissue lysate at 20 µg

Lane 4:

Mouse liver tissue lysate at 20 µg

Lane 5:

Mouse spleen tissue lysate at 20 µg

Lane 6:

Rat skeletal muscle tissue lysate at 20 µg

Lane 7:

Rat spleen tissue lysate at 20 µg

Secondary

All lanes:

Goat Anti-Rabbit IgG (HRP) with minimal cross-reactivity with human IgG at 1/2000 dilution

Observed band size: 35 kDa

false

Exposure time: 1s

  • Unconjugated

    Anti-Glycerol 3 Phosphate Dehydrogenase antibody [EPR25996-4]

Key facts

Host species

Rabbit

Clonality

Monoclonal

Clone number

EPR25996-4

Isotype

IgG

Carrier free

Yes

Reacts with

Human, Mouse, Rat

Applications

IP, WB, IHC-P

applications

Immunogen

The exact immunogen used to generate this antibody is proprietary information.

Reactivity data

{ "title": "Reactivity Data", "filters": { "stats": ["", "Species", "Dilution Info", "Notes"], "tabs": { "all-applications": {"fullname" : "All Applications", "shortname": "All Applications"}, "WB" : {"fullname" : "Western blot", "shortname":"WB"}, "IP" : {"fullname" : "Immunoprecipitation", "shortname":"IP"}, "IHCP" : {"fullname" : "Immunohistochemistry (Formalin/PFA-fixed paraffin-embedded sections)", "shortname":"IHC-P"}, "FlowCytIntra" : {"fullname" : "Flow Cytometry (Intracellular)", "shortname":"Flow Cyt (Intra)"}, "ICCIF" : {"fullname" : "Immunocytochemistry/ Immunofluorescence", "shortname":"ICC/IF"} }, "product-promise": { "all": "all", "testedAndGuaranteed": "tested", "guaranteed": "expected", "predicted": "predicted", "notRecommended": "not-recommended" } }, "values": { "Human": { "WB-species-checked": "testedAndGuaranteed", "WB-species-dilution-info": "", "WB-species-notes": "<p></p>", "IP-species-checked": "testedAndGuaranteed", "IP-species-dilution-info": "", "IP-species-notes": "<p></p>", "IHCP-species-checked": "testedAndGuaranteed", "IHCP-species-dilution-info": "", "IHCP-species-notes": "<p></p>", "FlowCytIntra-species-checked": "notRecommended", "FlowCytIntra-species-dilution-info": "", "FlowCytIntra-species-notes": "<p></p>", "ICCIF-species-checked": "notRecommended", "ICCIF-species-dilution-info": "", "ICCIF-species-notes": "<p></p>" }, "Mouse": { "WB-species-checked": "testedAndGuaranteed", "WB-species-dilution-info": "", "WB-species-notes": "<p></p>", "IP-species-checked": "guaranteed", "IP-species-dilution-info": "", "IP-species-notes": "", "IHCP-species-checked": "testedAndGuaranteed", "IHCP-species-dilution-info": "", "IHCP-species-notes": "<p></p>", "FlowCytIntra-species-checked": "notRecommended", "FlowCytIntra-species-dilution-info": "", "FlowCytIntra-species-notes": "", "ICCIF-species-checked": "notRecommended", "ICCIF-species-dilution-info": "", "ICCIF-species-notes": "<p></p>" }, "Rat": { "WB-species-checked": "testedAndGuaranteed", "WB-species-dilution-info": "", "WB-species-notes": "<p></p>", "IP-species-checked": "guaranteed", "IP-species-dilution-info": "", "IP-species-notes": "", "IHCP-species-checked": "testedAndGuaranteed", "IHCP-species-dilution-info": "", "IHCP-species-notes": "<p></p>", "FlowCytIntra-species-checked": "notRecommended", "FlowCytIntra-species-dilution-info": "", "FlowCytIntra-species-notes": "", "ICCIF-species-checked": "notRecommended", "ICCIF-species-dilution-info": "", "ICCIF-species-notes": "" } } }

Product details

ab313872 is the carrier-free version of ab313871.

Patented technology
Our RabMAb® technology is a patented hybridoma-based technology for making rabbit monoclonal antibodies. For details on our patents, please refer to RabMAb® patents.

What are the advantages of a recombinant monoclonal antibody?
This product is a recombinant monoclonal antibody, which offers several advantages including:

  • - High batch-to-batch consistency and reproducibility
  • - Improved sensitivity and specificity
  • - Long-term security of supply
  • - Animal-free batch production

For more information, read more on recombinant antibodies.

Conjugation ready
Our carrier-free antibodies are typically supplied in a PBS-only formulation, purified and free of BSA, sodium azide and glycerol. This conjugation-ready format is designed for use with fluorochromes, metal isotopes, oligonucleotides, and enzymes, which makes them ideal for antibody labelling, functional and cell-based assays, flow-based assays (e.g. mass cytometry) and Multiplex Imaging applications.

Use our conjugation kits for antibody conjugates that are ready-to-use in as little as 20 minutes with 1 minute hands-on-time and 100% antibody recovery: available for fluorescent dyes, HRP, biotin and gold.

Compatibility
This product is compatible with the Maxpar® Antibody Labeling Kit from Fluidigm, without the need for antibody preparation. Maxpar® is a trademark of Fluidigm Canada Inc.

Properties and storage information

Form
Liquid
Purification technique
Affinity purification Protein A
Storage buffer
pH: 7.2 - 7.4 Constituents: PBS
Shipped at conditions
Blue Ice
Appropriate short-term storage conditions
+4°C
Appropriate long-term storage conditions
+4°C

Supplementary information

This supplementary information is collated from multiple sources and compiled automatically.

Glycerol 3-Phosphate Dehydrogenase (G3PDH) also known as G3P dehydrogenase and glycerol-3-phosphate dehydrogenase plays a mechanical role in the reversible redox conversion of dihydroxyacetone phosphate (DHAP) to glycerol 3-phosphate. The enzyme typically weighs around 40-50 kDa although the exact mass depends on isoform. G3PDH is expressed in various tissues with significant presence in the brain liver and skeletal muscle reflecting its involvement in energy metabolism. The mitochondrial and cytosolic forms add to its versatility in cellular compartments.
Biological function summary

This enzyme is critical for lipid and carbohydrate metabolism engaging extensively in energy homeostasis. G3PDH exists as part of a complex to facilitate its role in mitochondrial electron transport. It acts as a shuttle transferring electrons from cytosolic NADH into the mitochondria. This electron transport is essential for synthesizing ATP thereby linking metabolic pathways within cells.

Pathways

Glycerol-3-phosphate dehydrogenase participates actively in the glycerol phosphate shuttle and lipid biosynthesis pathways. It pairs functionally with its partner the mitochondrial glycerol 3-phosphate dehydrogenase (mG3PDH) to support efficient energy production and lipid storage. Additionally this enzyme relates closely to proteins like NADH dehydrogenase playing a role in electron transport chains in mitochondria critical for bioenergetics.

G3PDH has connections to metabolic conditions such as obesity and diabetes. Impaired function of this enzyme can lead to disruptions in metabolic pathways which can contribute to these diseases. It also holds significance in cancer metabolism with altered expression of G3PDH seen in various tumors. The enzyme's relation to proteins like mG3PDH highlights its role in metabolic syndrome and associated pathologies.

Product protocols

For this product, it's our understanding that no specific protocols are required. You can visit:

Target data

Has glycerol-3-phosphate dehydrogenase activity.
See full target information Glycerol-3-phosphate dehydrogenase [NAD(+)], cytoplasmic

Product promise

We are committed to supporting your work with high-quality reagents, and we're here for you every step of the way. In the unlikely event that one of our products does not perform as expected, you're protected by our Product Promise.
For full details, please see our Terms & Conditions

Please note: All products are 'FOR RESEARCH USE ONLY. NOT FOR USE IN DIAGNOSTIC OR THERAPEUTIC PROCEDURES'.

For licensing inquiries, please contact partnerships@abcam.com