JavaScript is disabled in your browser. Please enable JavaScript to view this website.
AB232989

Anti-Glycine decarboxylase antibody

Be the first to review this product! Submit a review

|

(5 Publications)

Rabbit Polyclonal Glycine decarboxylase antibody. Suitable for WB, IHC-P and reacts with Mouse, Pig, Human samples. Cited in 5 publications. Immunogen corresponding to Recombinant Fragment Protein within Human GLDC aa 50-300.

View Alternative Names

GCSP, GLDC, Glycine cleavage system P protein, Glycine decarboxylase, Glycine dehydrogenase (aminomethyl-transferring)

8 Images
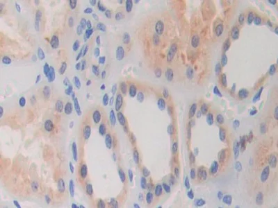
Immunohistochemistry (Formalin/PFA-fixed paraffin-embedded sections) - Anti-Glycine decarboxylase antibody (AB232989)
  • IHC-P

Supplier Data

Immunohistochemistry (Formalin/PFA-fixed paraffin-embedded sections) - Anti-Glycine decarboxylase antibody (AB232989)

Formalin-fixed, paraffin-embedded human kidney tissue stained for Glycine decarboxylase using ab232989 at 20μg/ml in immunohistochemical analysis. DAB staining.

Immunohistochemistry (Formalin/PFA-fixed paraffin-embedded sections) - Anti-Glycine decarboxylase antibody (AB232989)
  • IHC-P

Supplier Data

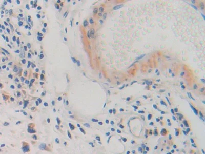
Immunohistochemistry (Formalin/PFA-fixed paraffin-embedded sections) - Anti-Glycine decarboxylase antibody (AB232989)

Formalin-fixed, paraffin-embedded human stomach tissue stained for Glycine decarboxylase using ab232989 at 20μg/ml in immunohistochemical analysis. DAB staining.

Immunohistochemistry (Formalin/PFA-fixed paraffin-embedded sections) - Anti-Glycine decarboxylase antibody (AB232989)
  • IHC-P

Supplier Data

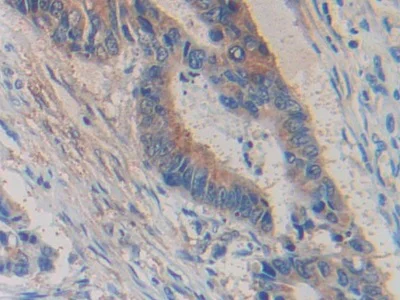
Immunohistochemistry (Formalin/PFA-fixed paraffin-embedded sections) - Anti-Glycine decarboxylase antibody (AB232989)

Formalin-fixed, paraffin-embedded human colorectal cancer tissue stained for Glycine decarboxylase using ab232989 at 20μg/ml in immunohistochemical analysis. DAB staining.

Immunohistochemistry (Formalin/PFA-fixed paraffin-embedded sections) - Anti-Glycine decarboxylase antibody (AB232989)
  • IHC-P

Supplier Data

Immunohistochemistry (Formalin/PFA-fixed paraffin-embedded sections) - Anti-Glycine decarboxylase antibody (AB232989)

Formalin-fixed, paraffin-embedded human cerebrum tissue stained for Glycine decarboxylase using ab232989 at 30μg/ml in immunohistochemical analysis. DAB staining.

Immunohistochemistry (Formalin/PFA-fixed paraffin-embedded sections) - Anti-Glycine decarboxylase antibody (AB232989)
  • IHC-P

Supplier Data

Immunohistochemistry (Formalin/PFA-fixed paraffin-embedded sections) - Anti-Glycine decarboxylase antibody (AB232989)

Formalin-fixed, paraffin-embedded human liver cancer tissue stained for Glycine decarboxylase using ab232989 at 20μg/ml in immunohistochemical analysis. DAB staining.

Western blot - Anti-Glycine decarboxylase antibody (AB232989)
  • WB

Supplier Data

Western blot - Anti-Glycine decarboxylase antibody (AB232989)

All lanes:

Western blot - Anti-Glycine decarboxylase antibody (ab232989) at 2 µg/mL

All lanes:

Mouse liver tissue lysate

Secondary

All lanes:

HRP-Linked Guinea pig Anti-Rabbit Ab at 1/1000 dilution

Predicted band size: 112 kDa

false

Western blot - Anti-Glycine decarboxylase antibody (AB232989)
  • WB

Supplier Data

Western blot - Anti-Glycine decarboxylase antibody (AB232989)

All lanes:

Western blot - Anti-Glycine decarboxylase antibody (ab232989) at 2 µg/mL

All lanes:

Recombinant human Glycine decarboxylase protein

Predicted band size: 112 kDa

false

Western blot - Anti-Glycine decarboxylase antibody (AB232989)
  • WB

Supplier Data

Western blot - Anti-Glycine decarboxylase antibody (AB232989)

All lanes:

Western blot - Anti-Glycine decarboxylase antibody (ab232989) at 2 µg/mL

All lanes:

Pig liver tissue lysate

Secondary

All lanes:

HRP-Linked Guinea pig Anti-Rabbit Ab at 1/1000 dilution

Predicted band size: 112 kDa

false

Key facts

Host species

Rabbit

Clonality

Polyclonal

Isotype

IgG

Carrier free

No

Reacts with

Mouse, Human, Pig

Applications

IHC-P, WB

applications

Immunogen

Recombinant Fragment Protein within Human GLDC aa 50-300. The exact immunogen used to generate this antibody is proprietary information.

P23378

Reactivity data

{ "title": "Reactivity Data", "filters": { "stats": ["", "Species", "Dilution Info", "Notes"], "tabs": { "all-applications": {"fullname" : "All Applications", "shortname": "All Applications"}, "WB" : {"fullname" : "Western blot", "shortname":"WB"}, "IHCP" : {"fullname" : "Immunohistochemistry (Formalin/PFA-fixed paraffin-embedded sections)", "shortname":"IHC-P"} }, "product-promise": { "all": "all", "testedAndGuaranteed": "tested", "guaranteed": "expected", "predicted": "predicted", "notRecommended": "not-recommended" } }, "values": { "Human": { "WB-species-checked": "testedAndGuaranteed", "WB-species-dilution-info": "0.2-2 µg/mL", "WB-species-notes": "<p></p>", "IHCP-species-checked": "testedAndGuaranteed", "IHCP-species-dilution-info": "5-20 µg/mL", "IHCP-species-notes": "<p></p>" }, "Mouse": { "WB-species-checked": "testedAndGuaranteed", "WB-species-dilution-info": "0.2-2 µg/mL", "WB-species-notes": "<p></p>", "IHCP-species-checked": "guaranteed", "IHCP-species-dilution-info": "", "IHCP-species-notes": "" }, "Pig": { "WB-species-checked": "testedAndGuaranteed", "WB-species-dilution-info": "0.2-2 µg/mL", "WB-species-notes": "<p></p>", "IHCP-species-checked": "guaranteed", "IHCP-species-dilution-info": "", "IHCP-species-notes": "" } } }

Properties and storage information

Form
Liquid
Purification technique
Affinity purification Immunogen
Purification notes
Antigen-specific affinity chromatography followed by Protein A affinity chromatography.
Storage buffer
pH: 7.4 Preservative: 0.02% Sodium azide Constituents: PBS, 55.77% Glycerol (glycerin, glycerine)
Shipped at conditions
Blue Ice
Appropriate short-term storage duration
1-2 weeks
Appropriate short-term storage conditions
+4°C
Appropriate long-term storage conditions
-20°C
Aliquoting information
Upon delivery aliquot
Storage information
Avoid freeze / thaw cycle

Supplementary information

This supplementary information is collated from multiple sources and compiled automatically.

Glycine decarboxylase also known as P-protein catalyzes the decarboxylation of glycine. This reaction releases carbon dioxide and transfers the remaining methylamine to tetrahydrofolate. Glycine decarboxylase is an essential component of the glycine cleavage system which consists of four proteins: P H T and L-proteins. The molecular mass of glycine decarboxylase is approximately 1000 kDa. This protein is mainly expressed in the mitochondria of liver and kidney cells where it plays an important role in energy metabolism.
Biological function summary

Glycine decarboxylase functions in cellular metabolism and photorespiration. It is part of the glycine cleavage system complex which is responsible for breaking down glycine into CO2 NH3 and a methylene group. The methylene group then enters the folate pool and contributes to various one-carbon metabolism pathways. This process helps regulate cellular levels of glycine and serine both important for nucleotide and protein synthesis as well as maintaining the balance of oxidative stress within cells.

Pathways

Glycine decarboxylase plays an important role in the folate and photorespiratory pathways. In the folate pathway interactions with serine hydroxymethyltransferase allow for the conversion of serine to glycine and the transfer of one-carbon units needed for nucleic acid synthesis. In the photorespiratory pathway its activity helps recycle 2-phosphoglycolate in plant mitochondria minimizing energy loss. The protein dihydrolipoamide dehydrogenase part of the same enzyme complex assists in maintaining the cycle of oxidation and reduction necessary for these functions.

Glycine decarboxylase dysfunction associates with nonketotic hyperglycinemia and certain liver diseases. In nonketotic hyperglycinemia defective glycine cleavage leads to excess glycine accumulation causing neurological symptoms such as seizures and developmental delays. Liver diseases linked to abnormal glycine metabolism can arise from impaired liver enzyme activities including those involving glycine decarboxylase. Another related protein AMT (aminomethyltransferase) also contributes to such conditions when mutations affect the glycine cleavage system.

Product protocols

For this product, it's our understanding that no specific protocols are required. You can visit:

Target data

The glycine cleavage system catalyzes the degradation of glycine. The P protein (GLDC) binds the alpha-amino group of glycine through its pyridoxal phosphate cofactor; CO(2) is released and the remaining methylamine moiety is then transferred to the lipoamide cofactor of the H protein (GCSH).
See full target information GLDC

Publications (5)

Recent publications for all applications. Explore the full list and refine your search

International journal of clinical oncology 29:771-779 PubMed38600426

2024

Progressive changes in the protein expression profile of alveolar septa in early-stage lung adenocarcinoma.

Applications

Unspecified application

Species

Unspecified reactive species

Toru Kimura,Takashi Akazawa,Yu Mizote,Harumi Nakamura,Miki Sakaue,Tomohiro Maniwa,Yasushi Shintani,Keiichiro Honma,Hideaki Tahara,Jiro Okami

Cell death & disease 14:525 PubMed37582769

2023

Methionine orchestrates the metabolism vulnerability in cisplatin resistant bladder cancer microenvironment.

Applications

Unspecified application

Species

Unspecified reactive species

Chen Yang,Yuxi Ou,Quan Zhou,Yingchun Liang,Weijian Li,Yiling Chen,Wensun Chen,Siqi Wu,Yifan Chen,Xiyu Dai,Xinan Chen,Tian Chen,Shengming Jin,Yufei Liu,Limin Zhang,Shenghua Liu,Yun Hu,Lujia Zou,Shanhua Mao,Haowen Jiang

Cellular and molecular life sciences : CMLS 79:375 PubMed35727412

2022

Mitochondrial FAD shortage in SLC25A32 deficiency affects folate-mediated one-carbon metabolism.

Applications

Unspecified application

Species

Unspecified reactive species

Min-Zhi Peng,Yong-Xian Shao,Xiu-Zhen Li,Kang-Di Zhang,Yan-Na Cai,Yun-Ting Lin,Min-Yan Jiang,Zong-Cai Liu,Xue-Ying Su,Wen Zhang,Xiao-Ling Jiang,Li Liu

Oncology letters 19:2846-2860 PubMed32218839

2020

Identification of hub genes associated with outcome of clear cell renal cell carcinoma.

Applications

Unspecified application

Species

Unspecified reactive species

Rengui Li,Lei Wang,Xiao Wang,Rong-Xin Geng,Ning Li,Xiu-Heng Liu

Molecular medicine reports 18:2293-2299 PubMed29956770

2018

Serum glycine dehydrogenase is associated with increased risk of lung cancer and promotes malignant transformation by regulating DNA methyltransferases expression.

Applications

Unspecified application

Species

Unspecified reactive species

Hai-Yan Wei,Rui Feng,Hua Shao,Bin Feng,Hong-Qiang Liu,Jin-Long Men,Wei Zou
View all publications

Product promise

We are committed to supporting your work with high-quality reagents, and we're here for you every step of the way. In the unlikely event that one of our products does not perform as expected, you're protected by our Product Promise.
For full details, please see our Terms & Conditions

Please note: All products are 'FOR RESEARCH USE ONLY. NOT FOR USE IN DIAGNOSTIC OR THERAPEUTIC PROCEDURES'.

For licensing inquiries, please contact partnerships@abcam.com