JavaScript is disabled in your browser. Please enable JavaScript to view this website.
AB230422

Anti-Glycogen synthase 1/GYS1 antibody

Be the first to review this product! Submit a review

|

(1 Publication)

Rabbit Polyclonal Glycogen synthase 1/GYS1 antibody. Suitable for WB, IHC-P, ICC/IF and reacts with Human, Mouse samples. Cited in 1 publication. Immunogen corresponding to Recombinant Fragment Protein within Human GYS1 aa 450 to C-terminus.

View Alternative Names

GYS, GYS1, Glycogen synthase 1

3 Images
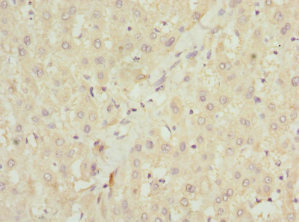
Immunohistochemistry (Formalin/PFA-fixed paraffin-embedded sections) - Anti-Glycogen synthase 1/GYS1 antibody (AB230422)
  • IHC-P

Supplier Data

Immunohistochemistry (Formalin/PFA-fixed paraffin-embedded sections) - Anti-Glycogen synthase 1/GYS1 antibody (AB230422)

Formalin-fixed, paraffin-embedded human heart tissue stained for Glycogen synthase 1/GYS1 with ab230422 at a 1/200 dilution in immunohistochemical analysis.

Immunocytochemistry/ Immunofluorescence - Anti-Glycogen synthase 1/GYS1 antibody (AB230422)
  • ICC/IF

Supplier Data

Immunocytochemistry/ Immunofluorescence - Anti-Glycogen synthase 1/GYS1 antibody (AB230422)

HeLa (Human epithelial cell line from cervix adenocarcinoma) cells stained for Glycogen synthase 1/GYS1 using ab230422 (green) at a dilution of 1/50 in ICC/IF.

Nuclear counterstain : DAPI (blue).

Western blot - Anti-Glycogen synthase 1/GYS1 antibody (AB230422)
  • WB

Supplier Data

Western blot - Anti-Glycogen synthase 1/GYS1 antibody (AB230422)

All lanes:

Western blot - Anti-Glycogen synthase 1/GYS1 antibody (ab230422) at 1/500 dilution

Lane 1:

HeLa (Human epithelial cell line from cervix adenocarcinoma) cell extracts

Lane 2:

HEK-293T (Human epithelial cell line from embryonic kidney transformed with large T antigen) cell extracts

Lane 3:

BT-474 (Human ductal breast epithelial tumor cell line) cell extracts

Lane 4:

Mouse heart extracts

Predicted band size: 84 kDa

true

Key facts

Host species

Rabbit

Clonality

Polyclonal

Isotype

IgG

Carrier free

No

Reacts with

Mouse, Human

Applications

ICC/IF, WB, IHC-P

applications

Immunogen

Recombinant Fragment Protein within Human GYS1 aa 450 to C-terminus. The exact immunogen used to generate this antibody is proprietary information.

P13807

Reactivity data

{ "title": "Reactivity Data", "filters": { "stats": ["", "Species", "Dilution Info", "Notes"], "tabs": { "all-applications": {"fullname" : "All Applications", "shortname": "All Applications"}, "WB" : {"fullname" : "Western blot", "shortname":"WB"}, "IHCP" : {"fullname" : "Immunohistochemistry (Formalin/PFA-fixed paraffin-embedded sections)", "shortname":"IHC-P"}, "ICCIF" : {"fullname" : "Immunocytochemistry/ Immunofluorescence", "shortname":"ICC/IF"} }, "product-promise": { "all": "all", "testedAndGuaranteed": "tested", "guaranteed": "expected", "predicted": "predicted", "notRecommended": "not-recommended" } }, "values": { "Human": { "WB-species-checked": "testedAndGuaranteed", "WB-species-dilution-info": "1/500 - 1/20000", "WB-species-notes": "<p></p>", "IHCP-species-checked": "testedAndGuaranteed", "IHCP-species-dilution-info": "1/200", "IHCP-species-notes": "<p></p>", "ICCIF-species-checked": "testedAndGuaranteed", "ICCIF-species-dilution-info": "1/50 - 1/100", "ICCIF-species-notes": "<p></p>" }, "Mouse": { "WB-species-checked": "testedAndGuaranteed", "WB-species-dilution-info": "1/500 - 1/20000", "WB-species-notes": "<p></p>", "IHCP-species-checked": "guaranteed", "IHCP-species-dilution-info": "", "IHCP-species-notes": "", "ICCIF-species-checked": "guaranteed", "ICCIF-species-dilution-info": "", "ICCIF-species-notes": "" }, "Rat": { "WB-species-checked": "predicted", "WB-species-dilution-info": "", "WB-species-notes": "", "IHCP-species-checked": "predicted", "IHCP-species-dilution-info": "", "IHCP-species-notes": "", "ICCIF-species-checked": "predicted", "ICCIF-species-dilution-info": "", "ICCIF-species-notes": "" } } }

Properties and storage information

Form
Liquid
Purification technique
Affinity purification
Storage buffer
pH: 7.3 Preservative: 0.02% Sodium azide Constituents: PBS
Shipped at conditions
Blue Ice
Appropriate short-term storage duration
1-2 weeks
Appropriate short-term storage conditions
+4°C
Appropriate long-term storage conditions
-20°C
Aliquoting information
Upon delivery aliquot
Storage information
Avoid freeze / thaw cycle

Supplementary information

This supplementary information is collated from multiple sources and compiled automatically.

Glycogen synthase 1 (GYS1) also known as muscle glycogen synthase catalyzes the synthesis of glycogen from glucose. It adds glucose units from UDP-glucose to the non-reducing ends of glycogen chains facilitating glycogen elongation. The molecular mass of GYS1 is approximately 85 kDa. It is predominantly expressed in skeletal muscle tissue providing energy storage primarily in the form of glycogen. GYS1 is regulated through phosphorylation wherein it undergoes inactive to active conformational changes.
Biological function summary

This enzyme plays a critical role in the energy storage mechanism of muscle tissues. GYS1 functions as a part of the glycogen synthase complex interacting with various glycogen-associated proteins to modulate its activity. These interactions control the enzyme's affinity for its substrate and its susceptibility to regulatory signals like phosphorylation affecting glycogen synthesis efficiency. Through its activity GYS1 ensures a readily available reserve of glucose in muscle tissues for rapid energy production when required.

Pathways

Glycogen synthase 1 is a central component of the glycogen metabolism pathway. It acts alongside other enzymes such as glycogen phosphorylase which catalyzes glycogen breakdown. The balance between GYS1 and glycogen phosphorylase determines the rate of glycogen turnover within cells. GYS1 is further regulated by the insulin signaling pathway where insulin promotes glycogen synthesis by altering GYS1 activity alongside proteins like AKT influencing glucose homeostasis and energy management in tissues.

Dysregulation of GYS1 activity often associates with glycogen storage diseases notably Type 0 where deficiencies in glycogen storage lead to episodes of low blood sugar and reduced exercise capacity. Furthermore aberrations in GYS1 function contribute to insulin resistance and Type 2 diabetes conditions linked with impaired glucose metabolism. Altered GYS1 activity impacts proteins like glycogen phosphorylase affecting overall glycogen metabolism balance and contributing to metabolic disorders.

Product protocols

For this product, it's our understanding that no specific protocols are required. You can visit:

Target data

Glycogen synthase participates in the glycogen biosynthetic process along with glycogenin and glycogen branching enzyme. Extends the primer composed of a few glucose units formed by glycogenin by adding new glucose units to it. In this context, glycogen synthase transfers the glycosyl residue from UDP-Glc to the non-reducing end of alpha-1,4-glucan.
See full target information GYS1

Publications (1)

Recent publications for all applications. Explore the full list and refine your search

BMC cancer 25:32 PubMed39773456

2025

PRAF2 as a novel biomarker for breast cancer with machine learning and experimentation validation.

Applications

Unspecified application

Species

Unspecified reactive species

Zheng Wang,Zilin Bi,Hongguang Bo,Junyi Xu,Rui Sha,Zhaocai Yin,Changsheng Yu,Yufa Xu,Xiaomeng Shi,Wenbo Song,Bin Chen,Yabing Wang,Qian Zhang,Jianping Chen
View all publications

Product promise

We are committed to supporting your work with high-quality reagents, and we're here for you every step of the way. In the unlikely event that one of our products does not perform as expected, you're protected by our Product Promise.
For full details, please see our Terms & Conditions

Please note: All products are 'FOR RESEARCH USE ONLY. NOT FOR USE IN DIAGNOSTIC OR THERAPEUTIC PROCEDURES'.

For licensing inquiries, please contact partnerships@abcam.com