JavaScript is disabled in your browser. Please enable JavaScript to view this website.
AB314028

Anti-Glycogen synthase 1/GYS1 (phospho S641) antibody [1D1]

Be the first to review this product! Submit a review

|

(0 Publication)

Rabbit Monoclonal Glycogen synthase 1/GYS1 phospho S641 antibody. Suitable for WB, ICC/IF and reacts with Human samples. Immunogen corresponding to Synthetic Peptide within Human GYS1 phospho S641.

View Alternative Names

GYS, GYS1, Glycogen synthase 1

2 Images
Immunocytochemistry/ Immunofluorescence - Anti-Glycogen synthase 1/GYS1 (phospho S641) antibody [1D1] (AB314028)
  • ICC/IF

Supplier Data

Immunocytochemistry/ Immunofluorescence - Anti-Glycogen synthase 1/GYS1 (phospho S641) antibody [1D1] (AB314028)

Immunofluorescence staining of HepG2 (Human liver hepatocellular carcinoma cell line) cells with ab314028 at 1 : 100, counter-stained with DAPI. The cells were fixed in 4% formaldehyde, permeabilized using 0.2% Triton X-100 and blocked in 10% normal Goat Serum. The cells were then incubated with the antibody overnight at 4°C. The secondary antibody was Alexa Fluor® 488-conjugated Goat Anti-Rabbit IgG (H+L).

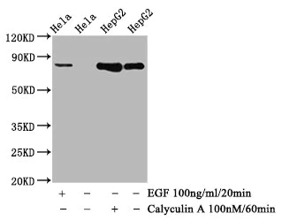
Western blot - Anti-Glycogen synthase 1/GYS1 (phospho S641) antibody [1D1] (AB314028)
  • WB

Supplier Data

Western blot - Anti-Glycogen synthase 1/GYS1 (phospho S641) antibody [1D1] (AB314028)

All lanes:

Western blot - Anti-Glycogen synthase 1/GYS1 (phospho S641) antibody [1D1] (ab314028) at 1.12 µg/mL

Lane 1:

EGF treated HeLa whole cell lysate

Lane 2:

HeLa whole cell lysate

Lane 3:

Calyculin A treated HepG2 whole cell lysate

Lane 4:

HepG2 whole cell lysate

Secondary

All lanes:

Goat polyclonal to rabbit IgG at 1/50000 dilution

Observed band size: 85 kDa

false

Key facts

Host species

Rabbit

Clonality

Monoclonal

Clone number

1D1

Isotype

IgG

Carrier free

No

Reacts with

Human

Applications

ICC/IF, WB

applications

Immunogen

Synthetic Peptide within Human GYS1 phospho S641.

P13807

Reactivity data

{ "title": "Reactivity Data", "filters": { "stats": ["", "Species", "Dilution Info", "Notes"], "tabs": { "all-applications": {"fullname" : "All Applications", "shortname": "All Applications"}, "WB" : {"fullname" : "Western blot", "shortname":"WB"}, "ICCIF" : {"fullname" : "Immunocytochemistry/ Immunofluorescence", "shortname":"ICC/IF"} }, "product-promise": { "all": "all", "testedAndGuaranteed": "tested", "guaranteed": "expected", "predicted": "predicted", "notRecommended": "not-recommended" } }, "values": { "Human": { "WB-species-checked": "testedAndGuaranteed", "WB-species-dilution-info": "1/500 - 1/5000", "WB-species-notes": "<p></p>", "ICCIF-species-checked": "testedAndGuaranteed", "ICCIF-species-dilution-info": "1/20 - 1/200", "ICCIF-species-notes": "<p></p>" } } }

Product details

What are the advantages of a recombinant monoclonal antibody?
This product is a recombinant monoclonal antibody, which offers several advantages including:

  • - High batch-to-batch consistency and reproducibility
  • - Improved sensitivity and specificity
  • - Long-term security of supply
  • - Animal-free batch production

For more information, read more on recombinant antibodies.

Properties and storage information

Form
Liquid
Purification technique
Affinity purification
Storage buffer
pH: 7.4 Preservative: 0.02% Sodium azide Constituents: PBS, 50% Glycerol (glycerin, glycerine), 0.88% Sodium chloride
Shipped at conditions
Blue Ice
Appropriate short-term storage duration
1-2 weeks
Appropriate short-term storage conditions
+4°C
Appropriate long-term storage conditions
-20°C
Aliquoting information
Upon delivery aliquot
Storage information
Avoid freeze / thaw cycle

Supplementary information

This supplementary information is collated from multiple sources and compiled automatically.

Glycogen synthase 1 (GYS1) also known as muscle glycogen synthase catalyzes the synthesis of glycogen from glucose. It adds glucose units from UDP-glucose to the non-reducing ends of glycogen chains facilitating glycogen elongation. The molecular mass of GYS1 is approximately 85 kDa. It is predominantly expressed in skeletal muscle tissue providing energy storage primarily in the form of glycogen. GYS1 is regulated through phosphorylation wherein it undergoes inactive to active conformational changes.
Biological function summary

This enzyme plays a critical role in the energy storage mechanism of muscle tissues. GYS1 functions as a part of the glycogen synthase complex interacting with various glycogen-associated proteins to modulate its activity. These interactions control the enzyme's affinity for its substrate and its susceptibility to regulatory signals like phosphorylation affecting glycogen synthesis efficiency. Through its activity GYS1 ensures a readily available reserve of glucose in muscle tissues for rapid energy production when required.

Pathways

Glycogen synthase 1 is a central component of the glycogen metabolism pathway. It acts alongside other enzymes such as glycogen phosphorylase which catalyzes glycogen breakdown. The balance between GYS1 and glycogen phosphorylase determines the rate of glycogen turnover within cells. GYS1 is further regulated by the insulin signaling pathway where insulin promotes glycogen synthesis by altering GYS1 activity alongside proteins like AKT influencing glucose homeostasis and energy management in tissues.

Dysregulation of GYS1 activity often associates with glycogen storage diseases notably Type 0 where deficiencies in glycogen storage lead to episodes of low blood sugar and reduced exercise capacity. Furthermore aberrations in GYS1 function contribute to insulin resistance and Type 2 diabetes conditions linked with impaired glucose metabolism. Altered GYS1 activity impacts proteins like glycogen phosphorylase affecting overall glycogen metabolism balance and contributing to metabolic disorders.

Product protocols

For this product, it's our understanding that no specific protocols are required. You can visit:

Target data

Glycogen synthase participates in the glycogen biosynthetic process along with glycogenin and glycogen branching enzyme. Extends the primer composed of a few glucose units formed by glycogenin by adding new glucose units to it. In this context, glycogen synthase transfers the glycosyl residue from UDP-Glc to the non-reducing end of alpha-1,4-glucan.
See full target information GYS1 phospho S641

Product promise

We are committed to supporting your work with high-quality reagents, and we're here for you every step of the way. In the unlikely event that one of our products does not perform as expected, you're protected by our Product Promise.
For full details, please see our Terms & Conditions

Please note: All products are 'FOR RESEARCH USE ONLY. NOT FOR USE IN DIAGNOSTIC OR THERAPEUTIC PROCEDURES'.

For licensing inquiries, please contact partnerships@abcam.com