JavaScript is disabled in your browser. Please enable JavaScript to view this website.
AB2479

Anti-Glycogen synthase 1/GYS1 (phospho S641) antibody

Be the first to review this product! Submit a review

|

(5 Publications)

Rabbit Polyclonal antibody. Suitable for IHC-P, WB and reacts with Human, Mouse samples. Cited in 5 publications. Immunogen corresponding to Synthetic Peptide within Human GYS1 phospho S641 aa 600-650 conjugated to Keyhole Limpet Haemocyanin.
2 Images
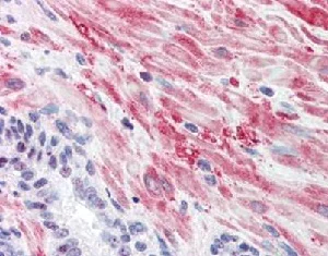
Immunohistochemistry (Formalin/PFA-fixed paraffin-embedded sections) - Anti-Glycogen synthase 1/GYS1 (phospho S641) antibody (AB2479)
  • IHC-P

Supplier Data

Immunohistochemistry (Formalin/PFA-fixed paraffin-embedded sections) - Anti-Glycogen synthase 1/GYS1 (phospho S641) antibody (AB2479)

Immunohistochemistry with Anti-Glycogen Synthase antibody Tissue : Human Prostate Fixation : formalin-fixed, paraffin-embedded tissue Antigen retrieval : heat-induced Primary antibody(ab2479) : 5 μg/ml Staining : antibody as precipitated red signal with a hematoxylin purple nuclear counterstain.

Western blot - Anti-Glycogen synthase 1/GYS1 (phospho S641) antibody (AB2479)
  • WB

Unknown

Western blot - Anti-Glycogen synthase 1/GYS1 (phospho S641) antibody (AB2479)

Rabbit polyclonal to phospho Glycogen Synthase (Ser 640) used at a 1/1000 dilution to detect human muscle GS by Western blot. Approximately 12 ul of a mouse cardiac myocyte lysate was loaded per lane on a 4-20% Criterion gel for SDS-PAGE. Samples were either mock treated (lanes 1 and 5) or insulin treated at 10 nM, 100 nM and 1 mM (lanes 2, 3 and 4 respectively) for 15' or CLA treated at 4nM, 20 nM or 100 nM (lanes 6,7 and 8 respectively) for 45'.

Goat polyclonal to rabbit IgG (HRP) (ab7090) was used as secondary antibody at 1/5000.

A 4-20% Criterion gel for SDS-PAGE was used.

All lanes:

Western blot - Anti-Glycogen synthase 1/GYS1 (phospho S641) antibody (ab2479) at 1/1000 dilution

Lanes 1 and 5:

mock treated mouse cardiac myocyte lysate at 12 µL

Lane 2:

insulin (10 nM, 15min) treated mouse cardiac myocyte lysate at 12 µL

Lane 3:

insulin (100 nM, 15min) treated mouse cardiac myocyte lysate at 12 µL

Lane 4:

insulin (1 mM, 15min) treated mouse cardiac myocyte lysate at 12 µL

Lane 6:

CLA treated (4 nM, 45min) mouse cardiac myocyte lysate at 12 µL

Lane 7:

CLA treated (20 nM, 45min) mouse cardiac myocyte lysate

Lane 8:

CLA treated (100 nM, 45min) mouse cardiac myocyte lysate

Secondary

All lanes:

Western blot - Goat Anti-Rabbit IgG H&L (HRP) preadsorbed (<a href='/en-us/products/secondary-antibodies/goat-rabbit-igg-h-l-hrp-preadsorbed-ab7090'>ab7090</a>) at 1/5000 dilution

Predicted band size: 84 kDa

false

Key facts

Host species

Rabbit

Clonality

Polyclonal

Isotype

IgG

Carrier free

No

Reacts with

Mouse, Human

Applications

IHC-P, WB

applications

Immunogen

Synthetic Peptide within Human GYS1 phospho S641 aa 600-650 conjugated to Keyhole Limpet Haemocyanin. The exact immunogen used to generate this antibody is proprietary information.

P13807

Specificity

Phospho Glycogen Synthase pS641 antibody is directed against human muscle glycogen synthase. This phospho specific polyclonal antibody is specific for phosphorylated pS641 of human muscle glycogen synthase. Reactivity with non-phosphorylated human muscle glycogen synthase is less than 1% by ELISA.  Cross reactivity with muscle glycogen synthase occurs in mouse tissue. Reactivity with muscle glycogen synthase from other sources has not been determined.

Reactivity data

{ "title": "Reactivity Data", "filters": { "stats": ["", "Species", "Dilution Info", "Notes"], "tabs": { "all-applications": {"fullname" : "All Applications", "shortname": "All Applications"}, "IHCP" : {"fullname" : "Immunohistochemistry (Formalin/PFA-fixed paraffin-embedded sections)", "shortname":"IHC-P"}, "WB" : {"fullname" : "Western blot", "shortname":"WB"} }, "product-promise": { "all": "all", "testedAndGuaranteed": "tested", "guaranteed": "expected", "predicted": "predicted", "notRecommended": "not-recommended" } }, "values": { "Human": { "IHCP-species-checked": "testedAndGuaranteed", "IHCP-species-dilution-info": "1/1000 - 1/5000", "IHCP-species-notes": "<p></p> Perform heat-mediated antigen retrieval before commencing with IHC staining protocol.", "WB-species-checked": "guaranteed", "WB-species-dilution-info": "", "WB-species-notes": "" }, "Mouse": { "IHCP-species-checked": "guaranteed", "IHCP-species-dilution-info": "", "IHCP-species-notes": "", "WB-species-checked": "testedAndGuaranteed", "WB-species-dilution-info": "1/1000 - 1/10000", "WB-species-notes": "<p>Although not tested, this antibody is likely functional in Immunohistochemistry and Immunoprecipitation.</p>" } } }

Product details

Human muscle glycogen synthase (GYS1) is responsible for the biosynthesis of glycogen from phosphorylated glucose units. Mammalian liver and muscle contain GS consisting of four subunits with a total molecular weight of 360,000. GS is subject to regulation through both allosteric and covalent modification and occurs in two forms: the phosphorylated inactive form, and the dephosphorylated active form. GYS1 is inactivated by the serine/threonine kinase called glycogen synthase kinase-3b that mainly functions to phosphorylate muscle glycogen synthase. This antibody is specific for the phosphorylated form of GYS1 at Ser 640. Phosphorylation of GYS1 at S640 has been associated with Antiphospholipid Antibody Syndrome.

Properties and storage information

Form
Liquid
Purification technique
Affinity purification Immunogen
Purification notes
This antibody was affinity purified from monospecific antiserum by immunoaffinity purification. Antiserum was first purified against the phosphorylated form of the immunizing peptide. The resultant affinity purified antibody was then cross-adsorbed against the non-phosphorylated form of the immunizing peptide.
Storage buffer
pH: 7.2 Preservative: 0.01% Sodium azide Constituents: 0.88% Sodium chloride, 0.424% Potassium phosphate solution
Shipped at conditions
Blue Ice
Appropriate short-term storage duration
1-2 weeks
Appropriate short-term storage conditions
+4°C
Appropriate long-term storage conditions
-20°C
Aliquoting information
Upon delivery aliquot
Storage information
Avoid freeze / thaw cycle

Supplementary information

This supplementary information is collated from multiple sources and compiled automatically.

Glycogen synthase 1 (GYS1) also known as muscle glycogen synthase catalyzes the synthesis of glycogen from glucose. It adds glucose units from UDP-glucose to the non-reducing ends of glycogen chains facilitating glycogen elongation. The molecular mass of GYS1 is approximately 85 kDa. It is predominantly expressed in skeletal muscle tissue providing energy storage primarily in the form of glycogen. GYS1 is regulated through phosphorylation wherein it undergoes inactive to active conformational changes.
Biological function summary

This enzyme plays a critical role in the energy storage mechanism of muscle tissues. GYS1 functions as a part of the glycogen synthase complex interacting with various glycogen-associated proteins to modulate its activity. These interactions control the enzyme's affinity for its substrate and its susceptibility to regulatory signals like phosphorylation affecting glycogen synthesis efficiency. Through its activity GYS1 ensures a readily available reserve of glucose in muscle tissues for rapid energy production when required.

Pathways

Glycogen synthase 1 is a central component of the glycogen metabolism pathway. It acts alongside other enzymes such as glycogen phosphorylase which catalyzes glycogen breakdown. The balance between GYS1 and glycogen phosphorylase determines the rate of glycogen turnover within cells. GYS1 is further regulated by the insulin signaling pathway where insulin promotes glycogen synthesis by altering GYS1 activity alongside proteins like AKT influencing glucose homeostasis and energy management in tissues.

Dysregulation of GYS1 activity often associates with glycogen storage diseases notably Type 0 where deficiencies in glycogen storage lead to episodes of low blood sugar and reduced exercise capacity. Furthermore aberrations in GYS1 function contribute to insulin resistance and Type 2 diabetes conditions linked with impaired glucose metabolism. Altered GYS1 activity impacts proteins like glycogen phosphorylase affecting overall glycogen metabolism balance and contributing to metabolic disorders.

Product protocols

For this product, it's our understanding that no specific protocols are required. You can visit:

Target data

Publications (5)

Recent publications for all applications. Explore the full list and refine your search

Frontiers in endocrinology 11:561 PubMed32922365

2020

High-Intensity Interval Training Restores Glycolipid Metabolism and Mitochondrial Function in Skeletal Muscle of Mice With Type 2 Diabetes.

Applications

Unspecified application

Species

Unspecified reactive species

Lifang Zheng,Zhijian Rao,Yifan Guo,Peijie Chen,Weihua Xiao

PloS one 7:e46885 PubMed23056511

2012

The JNK- and AKT/GSK3β- signaling pathways converge to regulate Puma induction and neuronal apoptosis induced by trophic factor deprivation.

Applications

Unspecified application

Species

Unspecified reactive species

Kristin K Ambacher,Kristen B Pitzul,Meera Karajgikar,Alison Hamilton,Stephen S Ferguson,Sean P Cregan

Nature medicine 18:774-82 PubMed22504483

2012

Adora2b-elicited Per2 stabilization promotes a HIF-dependent metabolic switch crucial for myocardial adaptation to ischemia.

Applications

Unspecified application

Species

Unspecified reactive species

Tobias Eckle,Katherine Hartmann,Stephanie Bonney,Susan Reithel,Michel Mittelbronn,Lori A Walker,Brian D Lowes,Jun Han,Christoph H Borchers,Peter M Buttrick,Douglas J Kominsky,Sean P Colgan,Holger K Eltzschig

Endocrinology 148:3887-99 PubMed17525126

2007

Somatostatin receptor subtype-2-deficient mice with diet-induced obesity have hyperglycemia, nonfasting hyperglucagonemia, and decreased hepatic glycogen deposition.

Applications

Unspecified application

Species

Unspecified reactive species

Vandana Singh,Carsten Grötzinger,Krzysztof W Nowak,Sylvia Zacharias,Eva Göncz,Gesine Pless,Igor M Sauer,Ines Eichhorn,Brigitte Pfeiffer-Guglielmi,Bernd Hamprecht,Bertram Wiedenmann,Ursula Plöckinger,Mathias Z Strowski

Medical science monitor : international medical jo 11:BR439-48 PubMed16319780

2005

Diazoxide attenuates insulin secretion and hepatic lipogenesis in zucker diabetic fatty rats.

Applications

Unspecified application

Species

Unspecified reactive species

Ramin Alemzadeh,Kathryn Tushaus
View all publications

Product promise

We are committed to supporting your work with high-quality reagents, and we're here for you every step of the way. In the unlikely event that one of our products does not perform as expected, you're protected by our Product Promise.
For full details, please see our Terms & Conditions

Please note: All products are 'FOR RESEARCH USE ONLY. NOT FOR USE IN DIAGNOSTIC OR THERAPEUTIC PROCEDURES'.

For licensing inquiries, please contact partnerships@abcam.com