JavaScript is disabled in your browser. Please enable JavaScript to view this website.
AB33386

Anti-Glycophorin A antibody [YTH89.1]

4

(1 Review)

|

(3 Publications)

Rat Monoclonal Glycophorin A antibody. Suitable for IHC-P and reacts with Human samples. Cited in 3 publications. Immunogen corresponding to Native Full Length Protein corresponding to Human GYPA.

View Alternative Names

CD235a, GPA, MNS, GYPA, Glycophorin-A, MN sialoglycoprotein, PAS-2, Sialoglycoprotein alpha

1 Images
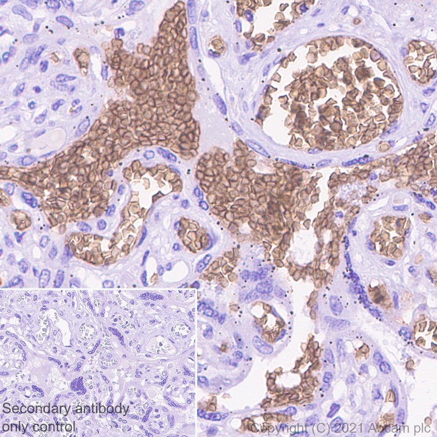
Immunohistochemistry (Formalin/PFA-fixed paraffin-embedded sections) - Anti-Glycophorin A antibody [YTH89.1] (AB33386)
  • IHC-P

Unknown

Immunohistochemistry (Formalin/PFA-fixed paraffin-embedded sections) - Anti-Glycophorin A antibody [YTH89.1] (AB33386)

ab33386 staining erythrocytes in sinusoids of human hypophysis by Immunohistochemistry, Formalin fixed Paraffin embedded tissue.

Key facts

Host species

Rat

Clonality

Monoclonal

Clone number

YTH89.1

Isotype

IgG2b

Carrier free

No

Reacts with

Human

Applications

IHC-P

applications

Immunogen

Native Full Length Protein corresponding to Human GYPA.

P02724

Reactivity data

{ "title": "Reactivity Data", "filters": { "stats": ["", "Species", "Dilution Info", "Notes"], "tabs": { "all-applications": {"fullname" : "All Applications", "shortname": "All Applications"}, "IHCP" : {"fullname" : "Immunohistochemistry (Formalin/PFA-fixed paraffin-embedded sections)", "shortname":"IHC-P"} }, "product-promise": { "all": "all", "testedAndGuaranteed": "tested", "guaranteed": "expected", "predicted": "predicted", "notRecommended": "not-recommended" } }, "values": { "Human": { "IHCP-species-checked": "testedAndGuaranteed", "IHCP-species-dilution-info": "1/100 - 1/1000", "IHCP-species-notes": "<p>This product does not require antigen retrieval using heat treatment prior to staining of paraffin sections.</p>" } } }

Properties and storage information

Form
Liquid
Purification technique
Affinity purification Protein G
Purification notes
Purified from tissue culture supernatant.
Storage buffer
Preservative: 0.09% Sodium azide Constituents: PBS
Shipped at conditions
Blue Ice
Appropriate short-term storage conditions
+4°C
Appropriate long-term storage conditions
-20°C
Aliquoting information
Upon delivery aliquot
Storage information
Avoid freeze / thaw cycle

Supplementary information

This supplementary information is collated from multiple sources and compiled automatically.

Glycophorin A also known as CD235a is a major glycoprotein of red blood cell membranes with a mass around 31 kDa. It is importantly expressed on the surface of erythrocytes. Glycophorin A plays an important role in maintaining cell membrane integrity and is associated with various antigenic sites which are important for compatibility testing. Researchers often detect Glycophorin A using antibodies such as Glycophorin A APC or Glycophorin A FITC in flow cytometry studies due to its distinct expression on red blood cells.
Biological function summary

Glycophorin A interacts with other membrane proteins to form part of the membrane's skeletal protein network. This network stabilizes the erythrocyte structure and contributes to its flexibility essential for passing through narrow capillaries. Glycophorin A does not form part of any large multiprotein complex but does interact with other glycophorins such as Glycophorin B. These interactions help to form the MN and Ss blood group antigens.

Pathways

Glycophorin A is involved in several pathways including the erythrocyte development and lipid raft pathways. These pathways are important for cell signaling and membrane transport processes. Glycophorin A's role in erythrocyte development is connected to protein 4.1R which links the membrane to the underlying cytoskeleton influencing red blood cell shape and stability. Additionally its role in lipid raft-mediated signaling intersects with proteins involved in immune response regulation.

Glycophorin A has associations with several conditions including malaria and hereditary spherocytosis. The interaction between Plasmodium falciparum and Glycophorin A contributes to the parasite's ability to invade erythrocytes indicating its relevance in malaria research. Additionally abnormalities with Glycophorin A expression or structure can lead to hereditary spherocytosis often related to a disruption in its interaction with ankyrin another structural protein. Understanding these associations helps elucidate the pathological mechanisms and potential therapeutic targets for these diseases.

Product protocols

For this product, it's our understanding that no specific protocols are required. You can visit:

Target data

Component of the ankyrin-1 complex, a multiprotein complex involved in the stability and shape of the erythrocyte membrane (PubMed : 35835865). Glycophorin A is the major intrinsic membrane protein of the erythrocyte. The N-terminal glycosylated segment, which lies outside the erythrocyte membrane, has MN blood group receptors. Appears to be important for the function of SLC4A1 and is required for high activity of SLC4A1. May be involved in translocation of SLC4A1 to the plasma membrane.. (Microbial infection) Appears to be a receptor for Hepatitis A virus (HAV).. (Microbial infection) Receptor for P.falciparum erythrocyte-binding antigen 175 (EBA-175); binding of EBA-175 is dependent on sialic acid residues of the O-linked glycans.
See full target information GYPA

Publications (3)

Recent publications for all applications. Explore the full list and refine your search

Parasitology international 63:278-84 PubMed24291603

2013

Reticulocytes from cryopreserved erythroblasts support Plasmodium vivax infection in vitro.

Applications

Unspecified application

Species

Unspecified reactive species

Tetsuya Furuya,Juliana M Sá,Chetan E Chitnis,Thomas E Wellems,Timothy T Stedman

Journal of immunology (Baltimore, Md. : 1950) 151:2124-31 PubMed7688394

1993

Biotinylation of monoclonal antibodies prevents their ability to activate the classical pathway of complement.

Applications

Unspecified application

Species

Unspecified reactive species

T S Jokiranta,S Meri

Leukemia research 12:651-7 PubMed3184981

1988

Erythromyeloid lineage fidelity is conserved in erythroleukaemia.

Applications

Unspecified application

Species

Unspecified reactive species

S Outram,J A Amess,M A Horton
View all publications

Product promise

We are committed to supporting your work with high-quality reagents, and we're here for you every step of the way. In the unlikely event that one of our products does not perform as expected, you're protected by our Product Promise.
For full details, please see our Terms & Conditions

Please note: All products are 'FOR RESEARCH USE ONLY. NOT FOR USE IN DIAGNOSTIC OR THERAPEUTIC PROCEDURES'.

For licensing inquiries, please contact partnerships@abcam.com