JavaScript is disabled in your browser. Please enable JavaScript to view this website.
AB247712

Anti-Glycophorin C/GPC antibody [EPR4116] - BSA and Azide free

Be the first to review this product! Submit a review

|

(1 Publication)

Rabbit Recombinant Monoclonal Glycophorin C/GPC antibody. Carrier free. Suitable for IHC-P, IP, WB, Flow Cyt (Intra) and reacts with Human samples. Cited in 1 publication.

View Alternative Names

CD236, GLPC, GPC, GYPC, Glycophorin-C, Glycoconnectin, Glycophorin-D, Glycoprotein beta, PAS-2', Sialoglycoprotein D, GPD

5 Images
Immunohistochemistry (Formalin/PFA-fixed paraffin-embedded sections) - Anti-Glycophorin C/GPC antibody [EPR4116] - BSA and Azide free (AB247712)
  • IHC-P

Lab

Immunohistochemistry (Formalin/PFA-fixed paraffin-embedded sections) - Anti-Glycophorin C/GPC antibody [EPR4116] - BSA and Azide free (AB247712)

This data was developed using ab108925, the same antibody clone in a different buffer formulation.
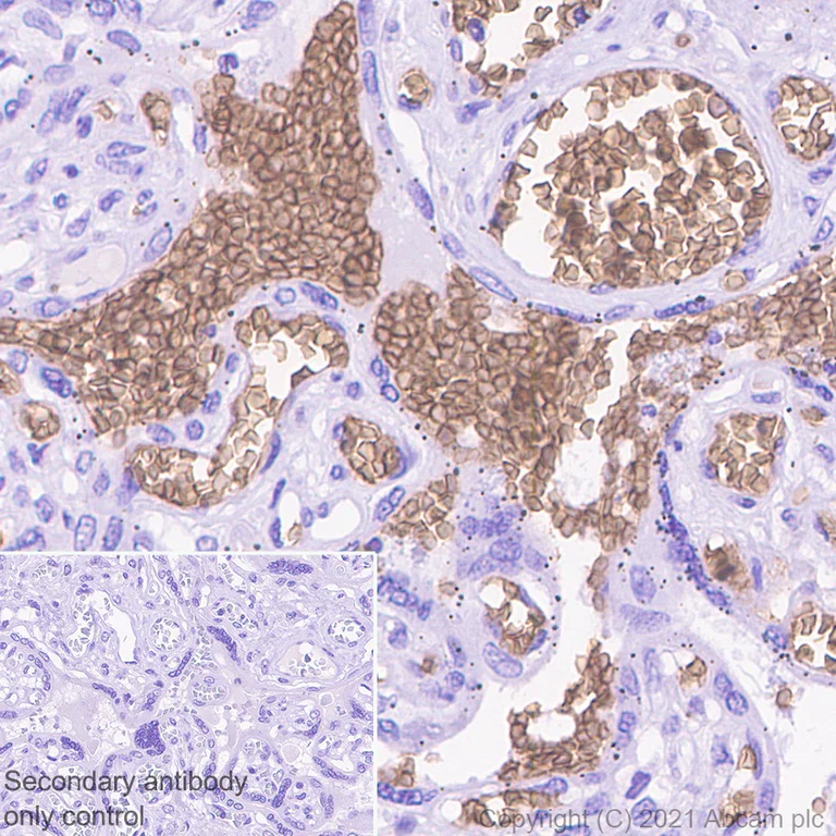
Immunohistochemistry (Formalin/PFA-fixed paraffin-embedded sections) analysis of human placenta tissue sections labeling Glycophorin C/GPC with Purified ab108925 at 1 : 1500 dilution (0.06 μg/ml). Heat mediated antigen retrieval was performed using Heat mediated antigen retrieval using Bond™ Epitope Retrieval Solution 2 (pH 9.0) . Tissue was counterstained with Hematoxylin. Rabbit specific IHC polymer detection kit HRP/DAB (ab209101) secondary antibody was used. PBS instead of the primary antibody was used as the negative control. M3

Immunohistochemistry (Formalin/PFA-fixed paraffin-embedded sections) - Anti-Glycophorin C/GPC antibody [EPR4116] - BSA and Azide free (AB247712)
  • IHC-P

Lab

Immunohistochemistry (Formalin/PFA-fixed paraffin-embedded sections) - Anti-Glycophorin C/GPC antibody [EPR4116] - BSA and Azide free (AB247712)

This data was developed using ab108925, the same antibody clone in a different buffer formulation.
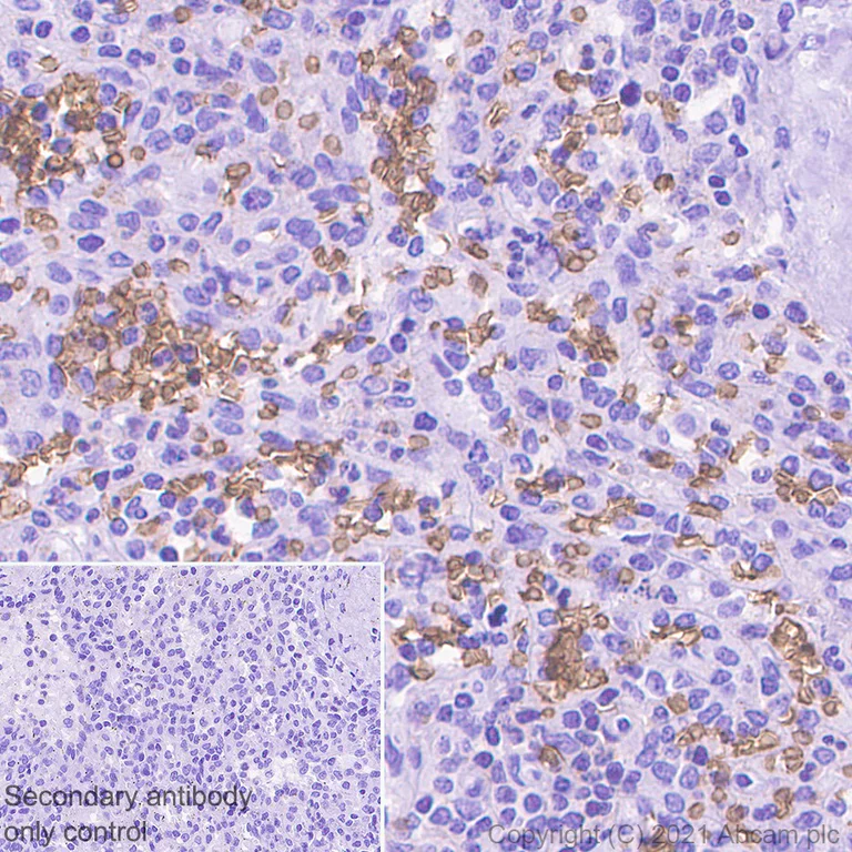
Immunohistochemistry (Formalin/PFA-fixed paraffin-embedded sections) analysis of human spleen tissue sections labeling Glycophorin C/GPC with Purified ab108925 at 1 : 1500 dilution (0.06 μg/ml). Heat mediated antigen retrieval was performed using Heat mediated antigen retrieval using Bond™ Epitope Retrieval Solution 2 (pH 9.0) . Tissue was counterstained with Hematoxylin. Rabbit specific IHC polymer detection kit HRP/DAB (ab209101) secondary antibody was used. PBS instead of the primary antibody was used as the negative control.

Flow Cytometry (Intracellular) - Anti-Glycophorin C/GPC antibody [EPR4116] - BSA and Azide free (AB247712)
  • Flow Cyt (Intra)

Lab

Flow Cytometry (Intracellular) - Anti-Glycophorin C/GPC antibody [EPR4116] - BSA and Azide free (AB247712)

This data was developed using ab108925, the same antibody clone in a different buffer formulation.

Flow Cytometry analysis of A549 (Human lung carcinoma epithelial cell, Left) / K-562 (Human chronic myelogenous leukemia lymphoblast, Right) cells labeling Glycophorin C/GPC with purified ab108925 at 1/10000 dilution (0.1 μg/mL) (Red). Cells were fixed with 4% Paraformaldehyde and permeabilised with 90% Methanol. A Goat anti rabbit IgG (Alexa Fluor® 488, ab150077) secondary antibody was used at 1/2000. Isotype control - Rabbit monoclonal IgG (Black). Unlabeled control - Cell without incubation with primary antibody and secondary antibody (Blue).
Negative control : A549.

Immunoprecipitation - Anti-Glycophorin C/GPC antibody [EPR4116] - BSA and Azide free (AB247712)
  • IP

Lab

Immunoprecipitation - Anti-Glycophorin C/GPC antibody [EPR4116] - BSA and Azide free (AB247712)

This data was developed using ab108925, the same antibody clone in a different buffer formulation.

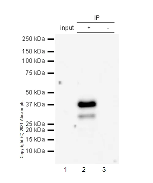
Glycophorin C/GPC was immunoprecipitated from 0.35 mg TF-1 (Human Erythroleukemia erythroblast) whole cell lysate 10 μg with 108925 at 1/50 dilution (2μg). VeriBlot for IP Detection Reagent (HRP)(ab131366) was used at 1/5000 dilution.

Lane 1 : TF-1 (Human Erythroleukemia erythroblast) whole cell lysate 10 μg

Lane 2 : ab108925 IP in TF-1 whole cell lysate

Lane 3 : Rabbit monoclonal IgG (ab172730) instead of ab108925 in TF-1 whole cell lysate

Blocking and dilution buffer and concentration : 5% NFDM/TBST.

Lower band could be N-Deglycosylated GPC. (PMID : 16461900)

All lanes:

Immunoprecipitation - Anti-Glycophorin C/GPC antibody [EPR4116] (<a href='/en-us/products/primary-antibodies/glycophorin-c-gpc-antibody-epr4116-ab108925'>ab108925</a>)

Predicted band size: 14 kDa

Observed band size: 40 kDa

false

Western blot - Anti-Glycophorin C/GPC antibody [EPR4116] - BSA and Azide free (AB247712)
  • WB

Unknown

Western blot - Anti-Glycophorin C/GPC antibody [EPR4116] - BSA and Azide free (AB247712)

All lanes:

Western blot - Anti-Glycophorin C/GPC antibody [EPR4116] (<a href='/en-us/products/primary-antibodies/glycophorin-c-gpc-antibody-epr4116-ab108925'>ab108925</a>) at 1/1000 dilution

Lane 1:

TF-1 (Human Erythroleukemia erythroblast) whole cell lysate

Lane 2:

K-562 (Human chronic myelogenous leukemia lymphoblast) whole cell lysate

Lane 3:

Human red blood lysate

Secondary

All lanes:

Goat Anti-Rabbit IgG (HRP) with minimal cross-reactivity with human IgG at 1/2000 dilution

Predicted band size: 14 kDa

false

  • Unconjugated

    Anti-Glycophorin C/GPC antibody [EPR4116]

  • 578 PE

    PE Anti-Glycophorin C/GPC antibody [EPR4116]

  • 660 APC

    APC Anti-Glycophorin C/GPC antibody [EPR4116]

Key facts

Host species

Rabbit

Clonality

Monoclonal

Clone number

EPR4116

Isotype

IgG

Carrier free

Yes

Reacts with

Human

Applications

IHC-P, IP, Flow Cyt (Intra), WB

applications

Immunogen

The exact immunogen used to generate this antibody is proprietary information.

Reactivity data

{ "title": "Reactivity Data", "filters": { "stats": ["", "Species", "Dilution Info", "Notes"], "tabs": { "all-applications": {"fullname" : "All Applications", "shortname": "All Applications"}, "IHCP" : {"fullname" : "Immunohistochemistry (Formalin/PFA-fixed paraffin-embedded sections)", "shortname":"IHC-P"}, "IP" : {"fullname" : "Immunoprecipitation", "shortname":"IP"}, "WB" : {"fullname" : "Western blot", "shortname":"WB"}, "FlowCytIntra" : {"fullname" : "Flow Cytometry (Intracellular)", "shortname":"Flow Cyt (Intra)"} }, "product-promise": { "all": "all", "testedAndGuaranteed": "tested", "guaranteed": "expected", "predicted": "predicted", "notRecommended": "not-recommended" } }, "values": { "Human": { "IHCP-species-checked": "testedAndGuaranteed", "IHCP-species-dilution-info": "", "IHCP-species-notes": "<p></p>", "IP-species-checked": "testedAndGuaranteed", "IP-species-dilution-info": "", "IP-species-notes": "<p></p>", "WB-species-checked": "testedAndGuaranteed", "WB-species-dilution-info": "", "WB-species-notes": "<p></p>", "FlowCytIntra-species-checked": "testedAndGuaranteed", "FlowCytIntra-species-dilution-info": "", "FlowCytIntra-species-notes": "<p></p>" } } }

Product details

ab247712 is the carrier-free version of ab108925.

Species reactivity
Mouse, Rat: We have preliminary internal testing data to indicate this antibody may not react with these species.
Please contact us for more information.

Patented technology
Our RabMAb® technology is a patented hybridoma-based technology for making rabbit monoclonal antibodies. For details on our patents, please refer to RabMAb® patents.

What are the advantages of a recombinant monoclonal antibody?
This product is a recombinant monoclonal antibody, which offers several advantages including:

  • - High batch-to-batch consistency and reproducibility
  • - Improved sensitivity and specificity
  • - Long-term security of supply
  • - Animal-free batch production

For more information, read more on recombinant antibodies.

Conjugation ready
Our carrier-free antibodies are typically supplied in a PBS-only formulation, purified and free of BSA, sodium azide and glycerol. This conjugation-ready format is designed for use with fluorochromes, metal isotopes, oligonucleotides, and enzymes, which makes them ideal for antibody labelling, functional and cell-based assays, flow-based assays (e.g. mass cytometry) and Multiplex Imaging applications.

Use our conjugation kits for antibody conjugates that are ready-to-use in as little as 20 minutes with 1 minute hands-on-time and 100% antibody recovery: available for fluorescent dyes, HRP, biotin and gold.

Compatibility
This product is compatible with the Maxpar® Antibody Labeling Kit from Fluidigm, without the need for antibody preparation. Maxpar® is a trademark of Fluidigm Canada Inc.

Properties and storage information

Form
Liquid
Purification technique
Affinity purification
Storage buffer
pH: 7.2 - 7.4 Constituents: PBS
Shipped at conditions
Blue Ice
Appropriate short-term storage conditions
+4°C
Appropriate long-term storage conditions
+4°C
Storage information
Do Not Freeze

Supplementary information

This supplementary information is collated from multiple sources and compiled automatically.

Glycophorin C also known as GPC is a membrane glycoprotein with a molecular mass of approximately 32 kDa. GPC is recognized by other names such as Glycophorin A-like and it is a significant component of the erythrocyte membrane. Researchers frequently refer to glycophorin C by its common abbreviation GPC. GPC expression occurs specifically in red blood cells where it plays a role in maintaining the cell structure and integrity by forming part of the interface between the cell membrane and the cytoskeleton.
Biological function summary

Glycophorin C modulates red blood cell characteristics by interacting with band 4.1 protein complex. The protein participates in the regulation of cell shape and mechanical flexibility which are important for the red blood cells to flow through capillaries effectively. This process involves interactions with spectrin and actin within the cytoskeleton underpinning the cellular architecture. The protein's function as an anchor for the band 4.1 complex links it with other glycophorins such as Glycophorin A.

Pathways

GPC integrates into erythrocyte membrane-associated pathways supporting membrane stability. It is key to the cytoskeleton-membrane linkage pathway where it interacts with proteins like spectrin and actin. Aimed at preserving the biconcave shape of erythrocytes these interactions enhance membrane elasticity and durability ensuring proper red blood cell function in the circulation. Additionally its association with the protein Rh-linked ankyrin connects GPC with pathways involving erythrocyte ion transport processes.

GPC plays a notable role in elliptocytosis and malaria. Elliptocytosis arises from mutations affecting GPC and other erythrocyte proteins such as band 4.1 leading to elongated and dysfunctional erythrocytes. Individuals with altered GPC expression show increased susceptibility or resistance to malaria caused by the Plasmodium parasite’s interaction with erythrocyte membrane proteins. Glycophorin C therefore remains an important focus of study for understanding the molecular basis of these conditions and designing therapeutic interventions.

Product protocols

For this product, it's our understanding that no specific protocols are required. You can visit:

Target data

This protein is a minor sialoglycoprotein in human erythrocyte membranes. The blood group Gerbich antigens and receptors for Plasmodium falciparum merozoites are most likely located within the extracellular domain. Glycophorin-C plays an important role in regulating the stability of red cells.
See full target information GYPC

Publications (1)

Recent publications for all applications. Explore the full list and refine your search

Oncology letters 26:409 PubMed37600337

2023

Renal epithelioid angiomyolipoma: A case report.

Applications

Unspecified application

Species

Unspecified reactive species

Hongyun Li,Xuebei Zhang,Qingli Zhao,Jin Wang,Xiaoqing Yang,Shengliang Huang
View all publications

Product promise

We are committed to supporting your work with high-quality reagents, and we're here for you every step of the way. In the unlikely event that one of our products does not perform as expected, you're protected by our Product Promise.
For full details, please see our Terms & Conditions

Please note: All products are 'FOR RESEARCH USE ONLY. NOT FOR USE IN DIAGNOSTIC OR THERAPEUTIC PROCEDURES'.

For licensing inquiries, please contact partnerships@abcam.com