JavaScript is disabled in your browser. Please enable JavaScript to view this website.
AB300512

Anti-Glycosylated Robo4 antibody [EPR26283-158] (BSA and Azide free)

Be the first to review this product! Submit a review

|

(0 Publication)

Rabbit Recombinant Monoclonal ROBO4 antibody. Carrier free. Suitable for WB, IHC-P and reacts with Mouse samples.

View Alternative Names

Roundabout homolog 4, Robo4

4 Images
Western blot - Anti-Glycosylated Robo4 antibody [EPR26283-158] (BSA and Azide free) (AB300512)
  • WB

Supplier Data

Western blot - Anti-Glycosylated Robo4 antibody [EPR26283-158] (BSA and Azide free) (AB300512)

This data was developed using ab300511, the same antibody clone in a different buffer formulation.

Blocking and diluting buffer and concentration : 5% NFDM/TBST.

This blot was developed using a high sensitivity ECL substrate. The high-sensitivity ECL substrate used allows for the detection of proteins in the mid-femtogram range.

All lanes:

Western blot - Anti-Glycosylated Robo4 antibody [EPR26283-158] (<a href='/en-us/products/primary-antibodies/glycosylated-robo4-antibody-epr26283-158-ab300511'>ab300511</a>) at 1/1000 dilution

Lane 1:

Mouse E17.5 embryo tissue lysate 20 µg

Lane 2:

Mouse E17 heart tissue lysate 20 µg

Lane 3:

Mouse kidney tissue lysate 20 µg

Lane 4:

Mouse stomach tissue lysate 20 µg

Lane 5:

Mouse spleen tissue lysate 20 µg

Secondary

All lanes:

Western blot - Goat Anti-Rabbit IgG H&L (HRP) (<a href='/en-us/products/secondary-antibodies/goat-rabbit-igg-h-l-hrp-ab97051'>ab97051</a>) at 1/100000 dilution

Observed band size: 60 kDa

true

Western blot - Anti-Glycosylated Robo4 antibody [EPR26283-158] (BSA and Azide free) (AB300512)
  • WB

Supplier Data

Western blot - Anti-Glycosylated Robo4 antibody [EPR26283-158] (BSA and Azide free) (AB300512)

This data was developed using ab300511, the same antibody clone in a different buffer formulation. Blocking Buffer and concentration : 5% NFDM/TBST

All lanes:

Western blot - Anti-Glycosylated Robo4 antibody [EPR26283-158] (<a href='/en-us/products/primary-antibodies/glycosylated-robo4-antibody-epr26283-158-ab300511'>ab300511</a>) at 1/1000 dilution

Lane 1:

Untreated bEnd.3 (mouse brain endothelioma), whole cell lysate 15 µg

Lane 2:

bEnd.3 whole cell lysate treated with Protein Deglycosylation Mix II, 15 µg

Lane 3:

Un treated mouse lu tissue lysate 15 µg

Lane 4:

Mouse lu tissue lysate treated with Protein Deglycosylation Mix II, 15 µg

Secondary

All lanes:

Western blot - Goat Anti-Rabbit IgG H&L (HRP) (<a href='/en-us/products/secondary-antibodies/goat-rabbit-igg-h-l-hrp-ab97051'>ab97051</a>) at 1/100000 dilution

Observed band size: 60 kDa,140 kDa

false

Immunohistochemistry (Formalin/PFA-fixed paraffin-embedded sections) - Anti-Glycosylated Robo4 antibody [EPR26283-158] (BSA and Azide free) (AB300512)
  • IHC-P

Supplier Data

Immunohistochemistry (Formalin/PFA-fixed paraffin-embedded sections) - Anti-Glycosylated Robo4 antibody [EPR26283-158] (BSA and Azide free) (AB300512)

This data was developed using ab300511, the same antibody clone in a different buffer formulation.Immunohistochemical analysis of paraffin-embedded Mouse lung tissue labeling glycosylated Robo4 with ab300511 at 1/50 (10.44 ug/ml) followed by a ready to use Rabbit specific IHC polymer detection kit HRP/DAB (ab209101). Positive staining on the capillaries in mouse lung.The section was incubated with ab300511 for 30 mins at room temperature.The immunostaining was performed on a Leica Biosystems BOND® RX instrument Counterstained with Hematoxylin. Secondary antibody only control : Secondary antibody is a ready to use Rabbit specific IHC polymer detection kit HRP/DAB (ab209101).Heat mediated antigen retrieval with Tris-EDTA buffer (pH 9.0, epitope retrieval solution2) for 20 mins

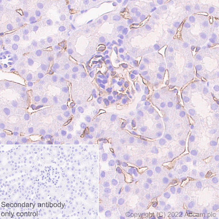
Immunohistochemistry (Formalin/PFA-fixed paraffin-embedded sections) - Anti-Glycosylated Robo4 antibody [EPR26283-158] (BSA and Azide free) (AB300512)
  • IHC-P

Supplier Data

Immunohistochemistry (Formalin/PFA-fixed paraffin-embedded sections) - Anti-Glycosylated Robo4 antibody [EPR26283-158] (BSA and Azide free) (AB300512)

This data was developed using ab300511, the same antibody clone in a different buffer formulation.Immunohistochemical analysis of paraffin-embedded Mouse kidney tissue labeling glycosylated Robo4 with ab300511 at 1/50 (10.44 ug/ml) followed by a ready to use Rabbit specific IHC polymer detection kit HRP/DAB (ab209101). Positive staining on blood vessels in mouse kidney.The section was incubated with ab300511 for 30 mins at room temperature.The immunostaining was performed on a Leica Biosystems BOND® RX instrument Counterstained with Hematoxylin. Secondary antibody only control : Secondary antibody is a ready to use Rabbit specific IHC polymer detection kit HRP/DAB (ab209101).Heat mediated antigen retrieval with Tris-EDTA buffer (pH 9.0, epitope retrieval solution2) for 20 mins

  • Unconjugated

    Anti-Glycosylated Robo4 antibody [EPR26283-158]

Key facts

Host species

Rabbit

Clonality

Monoclonal

Clone number

EPR26283-158

Isotype

IgG

Carrier free

Yes

Reacts with

Mouse

Applications

WB, IHC-P

applications

Immunogen

The exact immunogen used to generate this antibody is proprietary information.

Specificity

Robo4 is a glycoprotein and can be deglycosylated by Protein Deglycosylation MIX II (PMID: 19139490). This antibody does not recognize the deglycosylated form of Robo4. See WB image for details.

Reactivity data

{ "title": "Reactivity Data", "filters": { "stats": ["", "Species", "Dilution Info", "Notes"], "tabs": { "all-applications": {"fullname" : "All Applications", "shortname": "All Applications"}, "WB" : {"fullname" : "Western blot", "shortname":"WB"}, "IHCP" : {"fullname" : "Immunohistochemistry (Formalin/PFA-fixed paraffin-embedded sections)", "shortname":"IHC-P"}, "IHCFr" : {"fullname" : "Immunohistochemistry (Frozen sections)", "shortname":"IHC-Fr"}, "ICCIF" : {"fullname" : "Immunocytochemistry/ Immunofluorescence", "shortname":"ICC/IF"}, "IP" : {"fullname" : "Immunoprecipitation", "shortname":"IP"}, "FlowCytIntra" : {"fullname" : "Flow Cytometry (Intracellular)", "shortname":"Flow Cyt (Intra)"} }, "product-promise": { "all": "all", "testedAndGuaranteed": "tested", "guaranteed": "expected", "predicted": "predicted", "notRecommended": "not-recommended" } }, "values": { "Human": { "WB-species-checked": "notRecommended", "WB-species-dilution-info": "", "WB-species-notes": "<p></p>", "IHCP-species-checked": "notRecommended", "IHCP-species-dilution-info": "", "IHCP-species-notes": "<p></p>", "IHCFr-species-checked": "notRecommended", "IHCFr-species-dilution-info": "", "IHCFr-species-notes": "", "ICCIF-species-checked": "notRecommended", "ICCIF-species-dilution-info": "", "ICCIF-species-notes": "", "IP-species-checked": "notRecommended", "IP-species-dilution-info": "", "IP-species-notes": "", "FlowCytIntra-species-checked": "notRecommended", "FlowCytIntra-species-dilution-info": "", "FlowCytIntra-species-notes": "" }, "Mouse": { "WB-species-checked": "testedAndGuaranteed", "WB-species-dilution-info": "", "WB-species-notes": "<p></p>", "IHCP-species-checked": "testedAndGuaranteed", "IHCP-species-dilution-info": "", "IHCP-species-notes": "<p></p>", "IHCFr-species-checked": "notRecommended", "IHCFr-species-dilution-info": "", "IHCFr-species-notes": "<p></p>", "ICCIF-species-checked": "notRecommended", "ICCIF-species-dilution-info": "", "ICCIF-species-notes": "<p></p>", "IP-species-checked": "notRecommended", "IP-species-dilution-info": "", "IP-species-notes": "<p></p>", "FlowCytIntra-species-checked": "notRecommended", "FlowCytIntra-species-dilution-info": "", "FlowCytIntra-species-notes": "<p></p>" }, "Rat": { "WB-species-checked": "notRecommended", "WB-species-dilution-info": "", "WB-species-notes": "<p></p>", "IHCP-species-checked": "notRecommended", "IHCP-species-dilution-info": "", "IHCP-species-notes": "<p></p>", "IHCFr-species-checked": "notRecommended", "IHCFr-species-dilution-info": "", "IHCFr-species-notes": "", "ICCIF-species-checked": "notRecommended", "ICCIF-species-dilution-info": "", "ICCIF-species-notes": "", "IP-species-checked": "notRecommended", "IP-species-dilution-info": "", "IP-species-notes": "", "FlowCytIntra-species-checked": "notRecommended", "FlowCytIntra-species-dilution-info": "", "FlowCytIntra-species-notes": "" } } }

You may be interested in:

AB282879

Human ROBO4 ELISA Kit

0

0 Reviews

View product

We recommend this product because it’s often used in the same experiment or related research.

We advise that you always check the datasheet to ensure it fits your experiments, or contact ourtechnical teamfor help.

Product details

Want a custom formulation?
This antibody clone is manufactured by Abcam. If you require a custom buffer formulation or conjugation for your experiments, please contact orders@abcam.com

Patented technology
Our RabMAb® technology is a patented hybridoma-based technology for making rabbit monoclonal antibodies. For details on our patents, please refer to RabMAb® patents.

What are the advantages of a recombinant monoclonal antibody?
This product is a recombinant monoclonal antibody, which offers several advantages including:

  • - High batch-to-batch consistency and reproducibility
  • - Improved sensitivity and specificity
  • - Long-term security of supply
  • - Animal-free batch production

For more information, read more on recombinant antibodies.

Conjugation ready
Our carrier-free antibodies are typically supplied in a PBS-only formulation, purified and free of BSA, sodium azide and glycerol. This conjugation-ready format is designed for use with fluorochromes, metal isotopes, oligonucleotides, and enzymes, which makes them ideal for antibody labelling, functional and cell-based assays, flow-based assays (e.g. mass cytometry) and Multiplex Imaging applications.

Use our conjugation kits for antibody conjugates that are ready-to-use in as little as 20 minutes with 1 minute hands-on-time and 100% antibody recovery: available for fluorescent dyes, HRP, biotin and gold.

Compatibility
This product is compatible with the Maxpar® Antibody Labeling Kit from Fluidigm, without the need for antibody preparation. Maxpar® is a trademark of Fluidigm Canada Inc.

Properties and storage information

Form
Liquid
Purification technique
Affinity purification Protein A
Storage buffer
pH: 7.2 - 7.4 Constituents: 100% PBS
Shipped at conditions
Blue Ice
Appropriate short-term storage conditions
+4°C
Appropriate long-term storage conditions
+4°C

Supplementary information

This supplementary information is collated from multiple sources and compiled automatically.

Glycosylated Robo4 also known as Roundabout homolog 4 or Magic Roundabout is a transmembrane receptor with a molecular mass of approximately 100 kDa. This protein is predominantly expressed in the endothelial cells of blood vessels. Glycosylation plays a role in its function and stability. Robo4's principal function is to mediate cellular communication and contribute to the regulation of angiogenesis by interacting with other proteins and extracellular matrices.
Biological function summary

Glycosylated Robo4 regulates endothelial cell migration and vessel stability. It is not part of a large complex but collaborates with other proteins to maintain balanced blood vessel growth and repair. This activity provides a means for the vascular system to respond appropriately to cues for new vasculature or stabilize existing vessels in reaction to physiological demands.

Pathways

Glycosylated Robo4 interacts within the angiogenesis signaling pathway and the Slit-Robo signaling pathway. Within these pathways Robo4 associates with proteins like Slit2 and recruits downstream signaling partners to mediate endothelial integrity and angiogenic responses. Its role ensures that both new vessel formation and remodeling of existing vessels are tightly regulated preventing abnormal sprouting or regression.

Glycosylated Robo4 shows connections to pathologies such as cancer and diabetic retinopathy. In the context of cancer Robo4's interaction with Slit2 and other signaling proteins affects tumor angiogenesis by preventing excessive vessel growth that tumors could exploit for nutrition and spread. Similarly in diabetic retinopathy dysregulation of Robo4 activity can result in aberrant vessel formation in the retina leading to vision complications.

Product protocols

For this product, it's our understanding that no specific protocols are required. You can visit:

Target data

Receptor for Slit proteins, at least for SLIT2, and seems to be involved in angiogenesis and vascular patterning. May mediate the inhibition of primary endothelial cell migration by Slit proteins. Involved in the maintenance of endothelial barrier organization and function (By similarity).
See full target information Robo4

Product promise

We are committed to supporting your work with high-quality reagents, and we're here for you every step of the way. In the unlikely event that one of our products does not perform as expected, you're protected by our Product Promise.
For full details, please see our Terms & Conditions

Please note: All products are 'FOR RESEARCH USE ONLY. NOT FOR USE IN DIAGNOSTIC OR THERAPEUTIC PROCEDURES'.

For licensing inquiries, please contact partnerships@abcam.com