JavaScript is disabled in your browser. Please enable JavaScript to view this website.
AB255687

Anti-Glypican 1/ GPC1 antibody [EPR22580-72] - BSA and Azide free

Be the first to review this product! Submit a review

|

(1 Publication)

Rabbit Recombinant Monoclonal Glypican 1/ GPC1 antibody. Carrier free. Suitable for IP, WB, IHC-P and reacts with Human samples. Cited in 1 publication.

View Alternative Names

Glypican-1, GPC1

4 Images
Immunohistochemistry (Formalin/PFA-fixed paraffin-embedded sections) - Anti-Glypican 1/ GPC1 antibody [EPR22580-72] - BSA and Azide free (AB255687)
  • IHC-P

Unknown

Immunohistochemistry (Formalin/PFA-fixed paraffin-embedded sections) - Anti-Glypican 1/ GPC1 antibody [EPR22580-72] - BSA and Azide free (AB255687)

Immunohistochemical analysis of paraffin-embedded esophagus lung carcinoma tissue labeling Glypican 1/ GPC1 with ab255600 at 1/500 dilution, followed by Rabbit specific IHC polymer detection kit HRP/DAB (ab209101). Positive staining on esophagus carcinoma (PMID : 28445969) is observed. Counter stained with hematoxylin.

Secondary antibody only control : Used PBS instead of primary antibody, secondary antibody is Rabbit specific IHC polymer detection kit HRP/DAB (ab209101).

Heat mediated antigen retrieval with Tris-EDTA buffer (pH 9.0, epitope retrieval solution 2) for 20 mins.

The section was incubated with ab255600 for 30 mins at RT.

The immunostaining was performed on a Leica Biosystems BOND® RX instrument.

This data was developed using the same antibody clone in a different buffer formulation containing PBS, BSA, glycerol, and sodium azide (ab255600).

Immunohistochemistry (Formalin/PFA-fixed paraffin-embedded sections) - Anti-Glypican 1/ GPC1 antibody [EPR22580-72] - BSA and Azide free (AB255687)
  • IHC-P

Unknown

Immunohistochemistry (Formalin/PFA-fixed paraffin-embedded sections) - Anti-Glypican 1/ GPC1 antibody [EPR22580-72] - BSA and Azide free (AB255687)

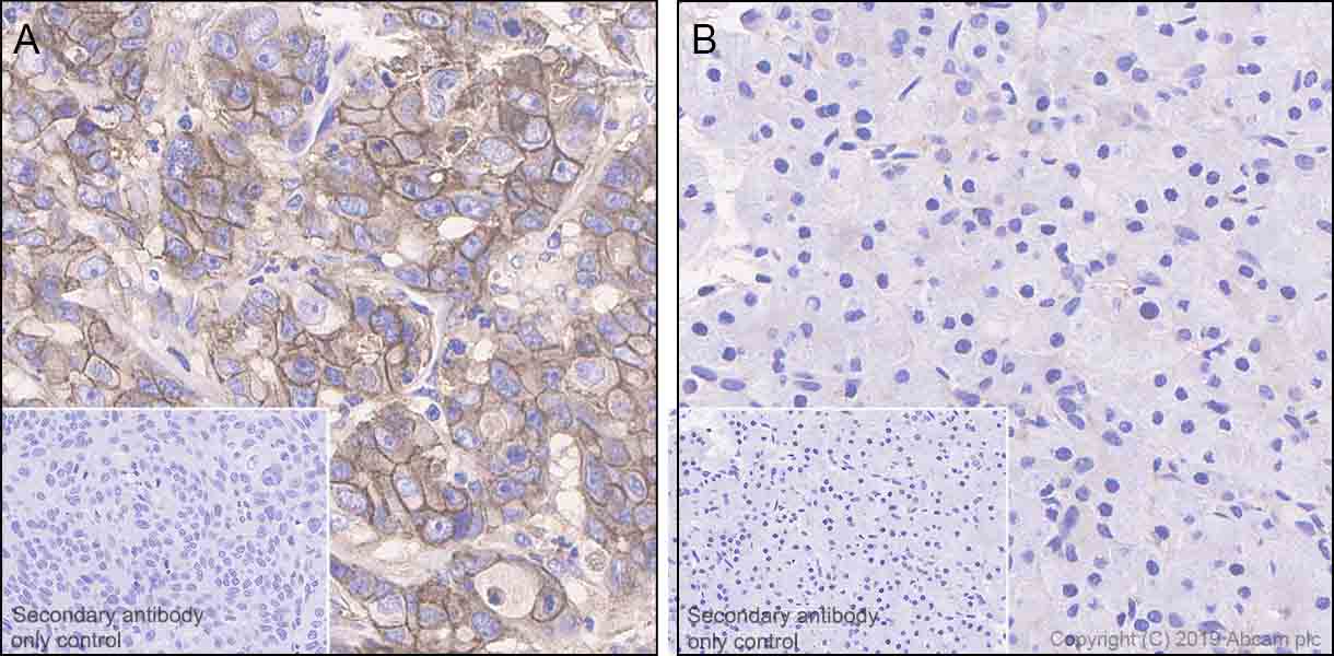
Immunohistochemical analysis of paraffin-embedded human lung carcinoma tissue (A) and the paired adjacent lung tissue (B) labeling Glypican 1/ GPC1 with ab255600 at 1/500 dilution, followed by Rabbit specific IHC polymer detection kit HRP/DAB (ab209101). Positive staining on human lung carcinoma (panel A) and the paired adjacent lung (panel B) was barely stained (PMID : 29785020) is observed. Counter stained with hematoxylin.

Secondary antibody only control : Used PBS instead of primary antibody, secondary antibody is Rabbit specific IHC polymer detection kit HRP/DAB (ab209101).

Heat mediated antigen retrieval with Tris-EDTA buffer (pH 9.0, epitope retrieval solution 2) for 20 mins.

The section was incubated with ab255600 for 30 mins at RT.

The immunostaining was performed on a Leica Biosystems BOND® RX instrument.

This data was developed using the same antibody clone in a different buffer formulation containing PBS, BSA, glycerol, and sodium azide (ab255600).

Immunohistochemistry (Formalin/PFA-fixed paraffin-embedded sections) - Anti-Glypican 1/ GPC1 antibody [EPR22580-72] - BSA and Azide free (AB255687)
  • IHC-P

Unknown

Immunohistochemistry (Formalin/PFA-fixed paraffin-embedded sections) - Anti-Glypican 1/ GPC1 antibody [EPR22580-72] - BSA and Azide free (AB255687)

Immunohistochemical analysis of paraffin-embedded human pancreatic carcinoma tissue (A) and the paired adjacent pancreas tissue (B) labeling Glypican 1/ GPC1 with ab255600 at 1/500 dilution, followed by Rabbit specific IHC polymer detection kit HRP/DAB (ab209101). Cytoplasmic and membranous staining on human pancreatic carcinoma (panel A) and no staining on the paired adjacent pancreas (panel B, PMID : 28440066) is observed. Counter stained with hematoxylin.

Secondary antibody only control : Used PBS instead of primary antibody, secondary antibody is Rabbit specific IHC polymer detection kit HRP/DAB (ab209101).

Heat mediated antigen retrieval with Tris-EDTA buffer (pH 9.0, epitope retrieval solution 2) for 20 mins.

The section was incubated with ab255600 for 30 mins at RT.

The immunostaining was performed on a Leica Biosystems BOND® RX instrument.

This data was developed using the same antibody clone in a different buffer formulation containing PBS, BSA, glycerol, and sodium azide (ab255600).

Immunoprecipitation - Anti-Glypican 1/ GPC1 antibody [EPR22580-72] - BSA and Azide free (AB255687)
  • IP

Unknown

Immunoprecipitation - Anti-Glypican 1/ GPC1 antibody [EPR22580-72] - BSA and Azide free (AB255687)

Glypican 1/ GPC1 was immunoprecipitated from 0.35 mg DU 145 (human prostate carcinoma cell line) whole cell lysate 10μg with ab255600 at 1/30 dilution (2μg in 0.35mg lysates). Western blot was performed on the immunoprecipitate using ab255600 1/1000 dilution (0.65 μg/ml). VeriBlot for IP Detection Reagent (HRP) (ab131366) was used as the secondary antibody at 1/5000 dilution.

Lane 1 : DU 145 (human prostate carcinoma cell line) whole cell lysate 10μg

Lane 2 : ab255600 IP in DU 145 whole cell lysate

Lane 3 : Rabbit monoclonal IgG (ab172730) instead of ab255600 in DU 145 whole cell lysate.

Blocking and dilution buffer and concentration : 5% NFDM/TBST.

Exposure time : 75 seconds.

This data was developed using the same antibody clone in a different buffer formulation containing PBS, BSA, glycerol, and sodium azide (ab255600).

All lanes:

Immunoprecipitation - Anti-Glypican 1/ GPC1 antibody [EPR22580-72] (<a href='/en-us/products/primary-antibodies/glypican-1-gpc1-antibody-epr22580-72-ab255600'>ab255600</a>)

Predicted band size: 61 kDa

Observed band size: 60 kDa

false

Key facts

Host species

Rabbit

Clonality

Monoclonal

Clone number

EPR22580-72

Isotype

IgG

Carrier free

Yes

Reacts with

Human

Applications

IP, WB, IHC-P

applications

Immunogen

The exact immunogen used to generate this antibody is proprietary information.

Reactivity data

{ "title": "Reactivity Data", "filters": { "stats": ["", "Species", "Dilution Info", "Notes"], "tabs": { "all-applications": {"fullname" : "All Applications", "shortname": "All Applications"}, "IP" : {"fullname" : "Immunoprecipitation", "shortname":"IP"}, "FlowCyt" : {"fullname" : "Flow Cytometry", "shortname":"Flow Cyt"}, "WB" : {"fullname" : "Western blot", "shortname":"WB"}, "ICCIF" : {"fullname" : "Immunocytochemistry/ Immunofluorescence", "shortname":"ICC/IF"}, "IHCP" : {"fullname" : "Immunohistochemistry (Formalin/PFA-fixed paraffin-embedded sections)", "shortname":"IHC-P"} }, "product-promise": { "all": "all", "testedAndGuaranteed": "tested", "guaranteed": "expected", "predicted": "predicted", "notRecommended": "not-recommended" } }, "values": { "Human": { "IP-species-checked": "testedAndGuaranteed", "IP-species-dilution-info": "", "IP-species-notes": "<p></p>", "FlowCyt-species-checked": "notRecommended", "FlowCyt-species-dilution-info": "", "FlowCyt-species-notes": "<p></p>", "WB-species-checked": "testedAndGuaranteed", "WB-species-dilution-info": "", "WB-species-notes": "<p></p>", "ICCIF-species-checked": "notRecommended", "ICCIF-species-dilution-info": "", "ICCIF-species-notes": "<p></p>", "IHCP-species-checked": "testedAndGuaranteed", "IHCP-species-dilution-info": "", "IHCP-species-notes": "<p></p>" }, "Mouse": { "IP-species-checked": "notRecommended", "IP-species-dilution-info": "", "IP-species-notes": "", "FlowCyt-species-checked": "notRecommended", "FlowCyt-species-dilution-info": "", "FlowCyt-species-notes": "", "WB-species-checked": "notRecommended", "WB-species-dilution-info": "", "WB-species-notes": "<p></p>", "ICCIF-species-checked": "notRecommended", "ICCIF-species-dilution-info": "", "ICCIF-species-notes": "<p></p>", "IHCP-species-checked": "notRecommended", "IHCP-species-dilution-info": "", "IHCP-species-notes": "" } } }

Product details

ab255687 is the carrier-free version of ab255600.

Patented technology
Our RabMAb® technology is a patented hybridoma-based technology for making rabbit monoclonal antibodies. For details on our patents, please refer to RabMAb® patents.

What are the advantages of a recombinant monoclonal antibody?
This product is a recombinant monoclonal antibody, which offers several advantages including:

  • - High batch-to-batch consistency and reproducibility
  • - Improved sensitivity and specificity
  • - Long-term security of supply
  • - Animal-free batch production

For more information, read more on recombinant antibodies.

Conjugation ready
Our carrier-free antibodies are typically supplied in a PBS-only formulation, purified and free of BSA, sodium azide and glycerol. This conjugation-ready format is designed for use with fluorochromes, metal isotopes, oligonucleotides, and enzymes, which makes them ideal for antibody labelling, functional and cell-based assays, flow-based assays (e.g. mass cytometry) and Multiplex Imaging applications.

Use our conjugation kits for antibody conjugates that are ready-to-use in as little as 20 minutes with 1 minute hands-on-time and 100% antibody recovery: available for fluorescent dyes, HRP, biotin and gold.

Compatibility
This product is compatible with the Maxpar® Antibody Labeling Kit from Fluidigm, without the need for antibody preparation. Maxpar® is a trademark of Fluidigm Canada Inc.

Properties and storage information

Form
Liquid
Purification technique
Affinity purification Protein A
Storage buffer
pH: 7.2 - 7.4 Constituents: PBS
Shipped at conditions
Blue Ice
Appropriate short-term storage conditions
+4°C
Appropriate long-term storage conditions
+4°C
Storage information
Do Not Freeze

Supplementary information

This supplementary information is collated from multiple sources and compiled automatically.

Glypican 1 (GPC1) also known as glypican-1 is a heparan sulfate proteoglycan anchored to the cell membrane via a glycosylphosphatidylinositol (GPI) anchor. This protein belongs to the glypican family and has an approximate mass of 60 to 70 kDa. GPC1 is found mainly on the surface of cells in the central nervous system as well as in muscle tissues and certain epithelial cells. Its structure facilitates interaction with cell surface receptors and extracellular matrix components playing an important role in cellular communication and signaling processes.
Biological function summary

GPC1 influences the regulation of growth factors and morphogens and it has a significant role in the cell division and growth processes. It is not recognized as part of any larger protein complex but interacts with diverse ligand molecules. Researchers identify GPC1 as an important facilitator of fibroblast growth factors (FGF) and sonic hedgehog (Shh) signaling. Its interaction with molecular partners helps to regulate developmental signals important for proper cellular function and organ development.

Pathways

The contributions of GPC1 are observed in the hedgehog signaling pathway and fibroblast growth factor signaling. GPC1's interaction within the hedgehog pathway is critical for organizing cellular growth and differentiation while its involvement in the FGF pathway supports angiogenesis and wound healing. GPC1 coordinates with other glypican family members and related proteins like FGFR1 to mediate these signaling processes effectively.

Researchers have linked GPC1 with cancer progression and neurodegenerative diseases. Abnormal GPC1 expression is often noted in pancreatic cancer influencing tumor growth and metastasis through its modulation of growth factor signaling. Moreover its role in neurodegenerative conditions such as Alzheimer's disease establishes connections with amyloid-beta peptides and tau proteins contributing to disease pathogenesis. These associations make GPC1 an intriguing target for therapeutic intervention and a focus for ongoing medical research.

Product protocols

For this product, it's our understanding that no specific protocols are required. You can visit:

Target data

Cell surface proteoglycan that bears heparan sulfate. Binds, via the heparan sulfate side chains, alpha-4 (V) collagen and participates in Schwann cell myelination (By similarity). May act as a catalyst in increasing the rate of conversion of prion protein PRPN(C) to PRNP(Sc) via associating (via the heparan sulfate side chains) with both forms of PRPN, targeting them to lipid rafts and facilitating their interaction. Required for proper skeletal muscle differentiation by sequestering FGF2 in lipid rafts preventing its binding to receptors (FGFRs) and inhibiting the FGF-mediated signaling.
See full target information GPC1

Publications (1)

Recent publications for all applications. Explore the full list and refine your search

iScience 27:110784 PubMed39391723

2024

GATA-4 overexpressing BMSC-derived exosomes suppress H/R-induced cardiomyocyte ferroptosis.

Applications

Unspecified application

Species

Unspecified reactive species

Zhiyuan Xiao,Si Li,Xinxin Wu,Xinhao Chen,Dan Yan,Jigang He
View all publications

Product promise

We are committed to supporting your work with high-quality reagents, and we're here for you every step of the way. In the unlikely event that one of our products does not perform as expected, you're protected by our Product Promise.
For full details, please see our Terms & Conditions

Please note: All products are 'FOR RESEARCH USE ONLY. NOT FOR USE IN DIAGNOSTIC OR THERAPEUTIC PROCEDURES'.

For licensing inquiries, please contact partnerships@abcam.com