JavaScript is disabled in your browser. Please enable JavaScript to view this website.
AB324685

Anti-Glypican 1/ GPC1 antibody [EPR30349-529]

Be the first to review this product! Submit a review

|

(0 Publication)

Rabbit Recombinant Monoclonal Glypican 1/ GPC1 antibody. Suitable for I-ELISA, ICC/IF, IHC-P, WB and reacts with Recombinant fragment - Mouse, Mouse samples.

View Alternative Names

Glypican-1

10 Images
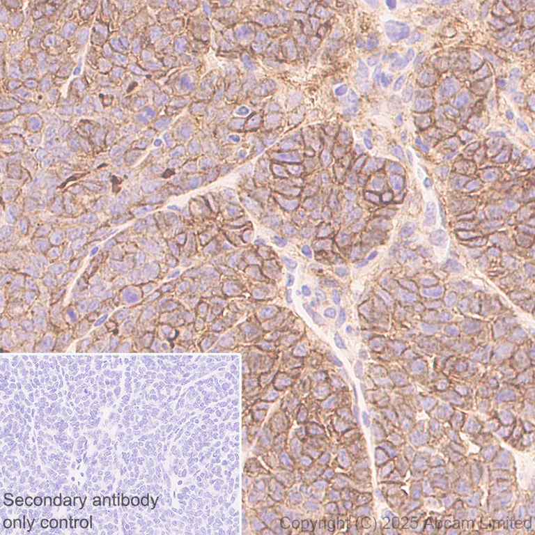
Immunohistochemistry (Formalin/PFA-fixed paraffin-embedded sections) - Anti-Glypican 1/ GPC1 antibody [EPR30349-529] (AB324685)
  • IHC-P

Supplier Data

Immunohistochemistry (Formalin/PFA-fixed paraffin-embedded sections) - Anti-Glypican 1/ GPC1 antibody [EPR30349-529] (AB324685)

Immunohistochemical analysis of paraffin-embedded Mouse pancreatic carcinoma tissue labeling Glypican 1/ GPC1 with ab324685 at 1/500 (1.008 ug/ml) dilution, followed by a ready to use LeicaDS9800 (Bond™ Polymer Refine Detection).

Positive staining on mouse pancreatic carcinoma. The primary antibody was incubated for 30 mins at room temperature.
The immunostaining was performed on a Leica Biosystems BOND® RX instrument

Counterstained with Hematoxylin.

Secondary antibody only control : Secondary antibody is a ready to use LeicaDS9800 (Bond™ Polymer Refine Detection).

Heat mediated antigen retrieval was performed with Tris-EDTA buffer (pH 9.0, Epitope Retrieval Solution2) for 20 mins

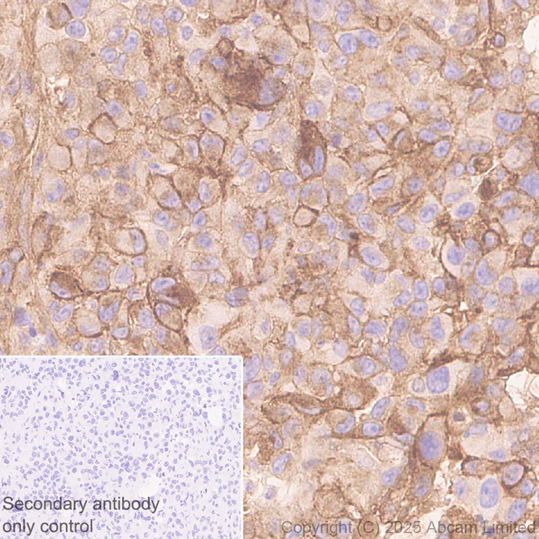
Immunohistochemistry (Formalin/PFA-fixed paraffin-embedded sections) - Anti-Glypican 1/ GPC1 antibody [EPR30349-529] (AB324685)
  • IHC-P

Supplier Data

Immunohistochemistry (Formalin/PFA-fixed paraffin-embedded sections) - Anti-Glypican 1/ GPC1 antibody [EPR30349-529] (AB324685)

Immunohistochemical analysis of paraffin-embedded Mouse squamous cell carcinoma tissue labeling Glypican 1/ GPC1 with ab324685 at 1/500 (1.008 ug/ml) dilution, followed by a ready to use LeicaDS9800 (Bond™ Polymer Refine Detection).

Positive staining on mouse squamous cell carcinoma. The primary antibody was incubated for 30 mins at room temperature.
The immunostaining was performed on a Leica Biosystems BOND® RX instrument

Counterstained with Hematoxylin.

Secondary antibody only control : Secondary antibody is a ready to use LeicaDS9800 (Bond™ Polymer Refine Detection).

Heat mediated antigen retrieval was performed with Tris-EDTA buffer (pH 9.0, Epitope Retrieval Solution2) for 20 mins

Immunocytochemistry/ Immunofluorescence - Anti-Glypican 1/ GPC1 antibody [EPR30349-529] (AB324685)
  • ICC/IF

Supplier Data

Immunocytochemistry/ Immunofluorescence - Anti-Glypican 1/ GPC1 antibody [EPR30349-529] (AB324685)

Immunofluorescent analysis of 100% methanol-fixed, 0.1% TritonX-100 permeabilized B16-F10 (mouse skin melanoma cell) cells labelling Glypican 1/ GPC1 with ab324685 at 1/500 (1.008 ug/ml) dilution, followed by ab150081 Goat Anti-Rabbit IgG H&L (Alexa Fluor® 488) preadsorbed antibody at 1/ab150081 1000 2ug/ml dilution (Green).

Confocal image showing cytoplasmic staining in B16-F10 cell line (shown in green). The counterstain was observed in magenta. Nuclear DNA was labelled with DAPI (shown in blue).
Low expression : A20.
Image was taken with a confocal microscope (Leica-Microsystems, TCS SP8).

ab7291 Anti-alpha Tubulin mouse monoclonal antibody was used to counterstain tubulin at 1/ab7291 1000 1ug/ml dilution (Magenta). The Nuclear counterstain was DAPI (Blue).

Secondary antibody only control : Secondary antibody is ab150081 Goat Anti-Rabbit IgG H&L (Alexa Fluor® 488) preadsorbed at 1/ab150081 1000 2ug/ml dilution.

Immunohistochemistry (Formalin/PFA-fixed paraffin-embedded sections) - Anti-Glypican 1/ GPC1 antibody [EPR30349-529] (AB324685)
  • IHC-P

Supplier Data

Immunohistochemistry (Formalin/PFA-fixed paraffin-embedded sections) - Anti-Glypican 1/ GPC1 antibody [EPR30349-529] (AB324685)

Immunohistochemical analysis of paraffin-embedded Mouse liver tissue labeling Glypican 1/ GPC1 with ab324685 at 1/500 (1.008 ug/ml) dilution, followed by a ready to use LeicaDS9800 (Bond™ Polymer Refine Detection).

Low expression tissue : weak staining on scattered cells of mouse liver (PMID : 32228854). The primary antibody was incubated for 30 mins at room temperature.
The immunostaining was performed on a Leica Biosystems BOND® RX instrument

Counterstained with Hematoxylin.

Secondary antibody only control : Secondary antibody is a ready to use LeicaDS9800 (Bond™ Polymer Refine Detection).

Heat mediated antigen retrieval was performed with Tris-EDTA buffer (pH 9.0, Epitope Retrieval Solution2) for 20 mins

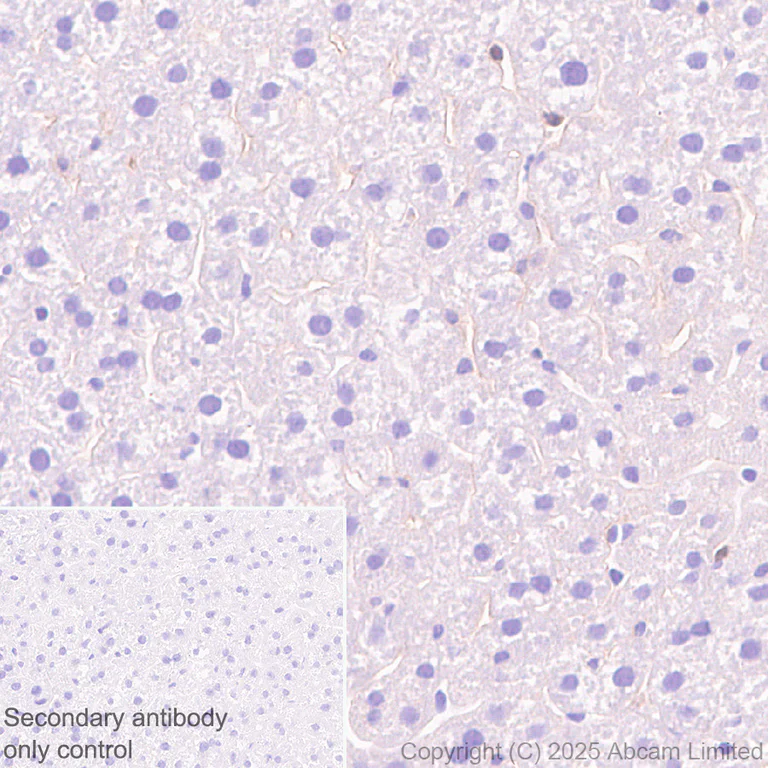
Immunohistochemistry (Formalin/PFA-fixed paraffin-embedded sections) - Anti-Glypican 1/ GPC1 antibody [EPR30349-529] (AB324685)
  • IHC-P

Supplier Data

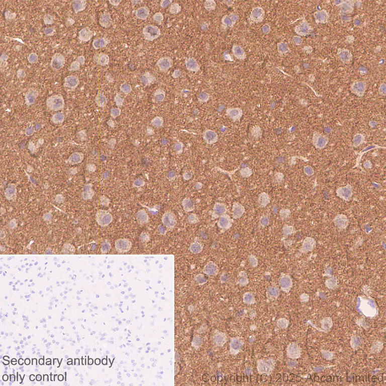
Immunohistochemistry (Formalin/PFA-fixed paraffin-embedded sections) - Anti-Glypican 1/ GPC1 antibody [EPR30349-529] (AB324685)

Immunohistochemical analysis of paraffin-embedded Mouse cerebrum tissue labeling Glypican 1/ GPC1 with ab324685 at 1/500 (1.008 ug/ml) dilution, followed by a ready to use LeicaDS9800 (Bond™ Polymer Refine Detection).

Positive staining on mouse cerebrum (PMID : 32228854). The primary antibody was incubated for 30 mins at room temperature.
The immunostaining was performed on a Leica Biosystems BOND® RX instrument

Counterstained with Hematoxylin.

Secondary antibody only control : Secondary antibody is a ready to use LeicaDS9800 (Bond™ Polymer Refine Detection).

Heat mediated antigen retrieval was performed with Tris-EDTA buffer (pH 9.0, Epitope Retrieval Solution2) for 20 mins

Immunohistochemistry (Formalin/PFA-fixed paraffin-embedded sections) - Anti-Glypican 1/ GPC1 antibody [EPR30349-529] (AB324685)
  • IHC-P

Supplier Data

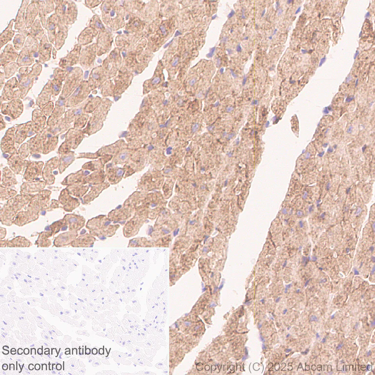
Immunohistochemistry (Formalin/PFA-fixed paraffin-embedded sections) - Anti-Glypican 1/ GPC1 antibody [EPR30349-529] (AB324685)

Immunohistochemical analysis of paraffin-embedded Mouse cardiac muscle tissue labeling Glypican 1/ GPC1 with ab324685 at 1/500 (1.008 ug/ml) dilution, followed by a ready to use LeicaDS9800 (Bond™ Polymer Refine Detection).

Positive staining on mouse cardiac muscle (PMID : 32228854). The primary antibody was incubated for 30 mins at room temperature.
The immunostaining was performed on a Leica Biosystems BOND® RX instrument

Counterstained with Hematoxylin.

Secondary antibody only control : Secondary antibody is a ready to use LeicaDS9800 (Bond™ Polymer Refine Detection).

Heat mediated antigen retrieval was performed with Tris-EDTA buffer (pH 9.0, Epitope Retrieval Solution2) for 20 mins

Indirect ELISA - Anti-Glypican 1/ GPC1 antibody [EPR30349-529] (AB324685)
  • I-ELISA

Supplier Data

Indirect ELISA - Anti-Glypican 1/ GPC1 antibody [EPR30349-529] (AB324685)

Indirect ELISA analysis of ab324685 at 1000-0 ng/ml. The Secondary antibody used was Alkaline Phosphatase-conjugated AffiniPure Goat Anti-Rabbit IgG (H+L) at 1 : 2500 dilution dilution.

Antigen : Mouse Glypican-1, Mouse Glypican-6.

Antigen concentration : 1000 ng/ml

This antibody does not cross-react with Mouse Glypican-6 by ELISA.

Western blot - Anti-Glypican 1/ GPC1 antibody [EPR30349-529] (AB324685)
  • WB

Supplier Data

Western blot - Anti-Glypican 1/ GPC1 antibody [EPR30349-529] (AB324685)

Blocking and diluting buffer and concentration : 5% NFDM/TBST.

In Western blot, Anti-GAPDH antibody [EPR16891] - Loading Control (ab181602) staining at 1/200000 dilution.

All lanes:

Western blot - Anti-Glypican 1/ GPC1 antibody [EPR30349-529] (ab324685) at 1/1000 dilution

Lane 1:

B16-F10 (mouse skin melanoma cell) transfected with scrambled siRNA control whole cell lysate at 40 µg

Lane 2:

B16-F10 transfected with siRNA specifically targeting GPC1 whole cell lysate at 40 µg

Secondary

All lanes:

Western blot - Goat Anti-Rabbit IgG H&L (HRP) (<a href='/en-us/products/secondary-antibodies/goat-rabbit-igg-h-l-hrp-ab97051'>ab97051</a>) at 1/100000 dilution

Observed band size: 61 kDa,36 kDa

false

Exposure time: 180s

Western blot - Anti-Glypican 1/ GPC1 antibody [EPR30349-529] (AB324685)
  • WB

Supplier Data

Western blot - Anti-Glypican 1/ GPC1 antibody [EPR30349-529] (AB324685)

Blocking and diluting buffer and concentration : 5% NFDM/TBST.

Low expression : A20. Mouse lung, liver(PMID : 32228854, PMID : 9438425).

The molecular weight observed is consistent with what has been described in the literature PMID : 22351761.

LMW : Core GPC1 protein

HMW : Heparan sulfate substitution on the core GPC1 protein

Blot of lane 1 and lane 2 was developed using a high-sensitivity ECL substrate, allowing for the detection of proteins in the mid-femtogram range. Remaining wells were developed using the standard substrate protocol.

In Western blot, Anti-GAPDH antibody [EPR16891] - Loading Control (ab181602) staining at 1/200000 dilution.

All lanes:

Western blot - Anti-Glypican 1/ GPC1 antibody [EPR30349-529] (ab324685) at 1/1000 dilution

Lane 1:

Mouse cerebellum tissue lysate at 20 µg

Lane 2:

Mouse skin tissue lysate at 20 µg

Lane 3:

Mouse skeletal muscle tissue lysate at 20 µg

Lane 4:

Mouse heart tissue lysate at 20 µg

Lane 5:

Mouse liver tissue lysate at 20 µg

Lane 6:

Mouse lung tissue lysate at 20 µg

Lane 7:

CT26.WT (mouse colon fibroblast) whole cell lysate at 20 µg

Lane 8:

A20 (mouse reticulum sarcoma B lymphocyte) whole cell lysate at 20 µg

Secondary

All lanes:

Western blot - Goat Anti-Rabbit IgG H&L (HRP) (<a href='/en-us/products/secondary-antibodies/goat-rabbit-igg-h-l-hrp-ab97051'>ab97051</a>) at 1/100000 dilution

Observed band size: 61-300 kDa,36 kDa

true

Exposure time: 180s

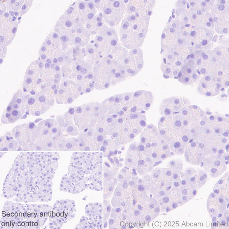
Immunohistochemistry (Formalin/PFA-fixed paraffin-embedded sections) - Anti-Glypican 1/ GPC1 antibody [EPR30349-529] (AB324685)
  • IHC-P

Supplier Data

Immunohistochemistry (Formalin/PFA-fixed paraffin-embedded sections) - Anti-Glypican 1/ GPC1 antibody [EPR30349-529] (AB324685)

Immunohistochemical analysis of paraffin-embedded Mouse pancreas tissue labeling Glypican 1/ GPC1 with ab324685 at 1/500 (1.008 ug/ml) dilution, followed by a ready to use LeicaDS9800 (Bond™ Polymer Refine Detection).

Low expression tissue : almost no staining on mouse pancreas. The primary antibody was incubated for 30 mins at room temperature.
The immunostaining was performed on a Leica Biosystems BOND® RX instrument

Counterstained with Hematoxylin.

Secondary antibody only control : Secondary antibody is a ready to use LeicaDS9800 (Bond™ Polymer Refine Detection).

Heat mediated antigen retrieval was performed with Tris-EDTA buffer (pH 9.0, Epitope Retrieval Solution2) for 20 mins

Key facts

Host species

Rabbit

Clonality

Monoclonal

Clone number

EPR30349-529

Isotype

IgG

Carrier free

No

Reacts with

Mouse

Applications

I-ELISA, IHC-P, ICC/IF, WB

applications

Immunogen

The exact immunogen used to generate this antibody is proprietary information.

Reactivity data

{ "title": "Reactivity Data", "filters": { "stats": ["", "Species", "Dilution Info", "Notes"], "tabs": { "all-applications": {"fullname" : "All Applications", "shortname": "All Applications"}, "IELISA" : {"fullname" : "Indirect ELISA", "shortname":"I-ELISA"}, "ICCIF" : {"fullname" : "Immunocytochemistry/ Immunofluorescence", "shortname":"ICC/IF"}, "IHCP" : {"fullname" : "Immunohistochemistry (Formalin/PFA-fixed paraffin-embedded sections)", "shortname":"IHC-P"}, "WB" : {"fullname" : "Western blot", "shortname":"WB"} }, "product-promise": { "all": "all", "testedAndGuaranteed": "tested", "guaranteed": "expected", "predicted": "predicted", "notRecommended": "not-recommended" } }, "values": { "Mouse": { "IELISA-species-checked": "guaranteed", "IELISA-species-dilution-info": "", "IELISA-species-notes": "", "ICCIF-species-checked": "testedAndGuaranteed", "ICCIF-species-dilution-info": "1/500", "ICCIF-species-notes": "<p></p>", "IHCP-species-checked": "testedAndGuaranteed", "IHCP-species-dilution-info": "1/500", "IHCP-species-notes": "<p></p> Perform heat-mediated antigen retrieval with Tris/EDTA buffer pH 9.0 before commencing with IHC staining protocol.", "WB-species-checked": "testedAndGuaranteed", "WB-species-dilution-info": "1/1000", "WB-species-notes": "<p></p>" }, "Recombinant fragment - Mouse": { "IELISA-species-checked": "testedAndGuaranteed", "IELISA-species-dilution-info": "1000 ng/mL", "IELISA-species-notes": "<p></p>", "ICCIF-species-checked": "notRecommended", "ICCIF-species-dilution-info": "", "ICCIF-species-notes": "", "IHCP-species-checked": "notRecommended", "IHCP-species-dilution-info": "", "IHCP-species-notes": "", "WB-species-checked": "notRecommended", "WB-species-dilution-info": "", "WB-species-notes": "" } } }

Product details

Patented technology
Our RabMAb® technology is a patented hybridoma-based technology for making rabbit monoclonal antibodies. For details on our patents, please refer to RabMAb® patents.

What are the advantages of a recombinant monoclonal antibody?
This product is a recombinant monoclonal antibody, which offers several advantages including:

  • - High batch-to-batch consistency and reproducibility
  • - Improved sensitivity and specificity
  • - Long-term security of supply
  • - Animal-free batch production

For more information, read more on recombinant antibodies.

Properties and storage information

Form
Liquid
Purification technique
Affinity purification Protein A
Storage buffer
pH: 7.2 - 7.4 Preservative: 0.01% Sodium azide Constituents: PBS, 40% Glycerol (glycerin, glycerine), 0.05% BSA
Shipped at conditions
Blue Ice
Appropriate short-term storage duration
1-2 weeks
Appropriate short-term storage conditions
+4°C
Appropriate long-term storage conditions
-20°C
Aliquoting information
Upon delivery aliquot
Storage information
Avoid freeze / thaw cycle

Product protocols

For this product, it's our understanding that no specific protocols are required. You can visit:

Target data

Cell surface proteoglycan that bears heparan sulfate. Binds, via the heparan sulfate side chains, alpha-4 (V) collagen and participates in Schwann cell myelination (By similarity). May act as a catalyst in increasing the rate of conversion of prion protein PRPN(C) to PRNP(Sc) via associating (via the heparan sulfate side chains) with both forms of PRPN, targeting them to lipid rafts and facilitating their interaction. Required for proper skeletal muscle differentiation by sequestering FGF2 in lipid rafts preventing its binding to receptors (FGFRs) and inhibiting the FGF-mediated signaling. Binds Cu(2+) or Zn(2+) ions.
See full target information Gpc1

Product promise

We are committed to supporting your work with high-quality reagents, and we're here for you every step of the way. In the unlikely event that one of our products does not perform as expected, you're protected by our Product Promise.
For full details, please see our Terms & Conditions

Please note: All products are 'FOR RESEARCH USE ONLY. NOT FOR USE IN DIAGNOSTIC OR THERAPEUTIC PROCEDURES'.

For licensing inquiries, please contact partnerships@abcam.com