JavaScript is disabled in your browser. Please enable JavaScript to view this website.
AB207080

Anti-Glypican 3 antibody [EPR20569]

5

(1 Review)

|

(9 Publications)

Anti-Glypican 3 antibody [EPR20569] (ab207080) is a rabbit monoclonal antibody detecting Glypican 3 in Western Blot, Flow Cytometry (Intra), Flow Cytometry, IP, IHC-P, ICC/IF. Suitable for Human.

- Biophysical QC for unrivalled batch-batch consistency

View Alternative Names

OCI5, GPC3, Glypican-3, GTR2-2, Intestinal protein OCI-5, MXR7

8 Images
Flow Cytometry (Intracellular) - Anti-Glypican 3 antibody [EPR20569] (AB207080)
  • Flow Cyt (Intra)

Supplier Data

Flow Cytometry (Intracellular) - Anti-Glypican 3 antibody [EPR20569] (AB207080)

Left panel - Negative control : Intracellular flow cytometric analysis of 4% paraformaldehyde-fixed Raji (human Burkitt's lymphoma) cell line labeling Glypican 3with ab207080 at 1/500 dilution (red) compared with a Rabbit IgG, monoclonal [EPR25A] - Isotype Control (ab172730) (black) and an unlabeled control (cells without incubation with primary antibody and secondary antibody) (blue). Goat Anti-Rabbit IgG H&L (Alexa Fluor® 488) at 1/2000 dilution was used as the secondary antibody.

Right panel : Intracellular flow cytometric analysis of 4% paraformaldehyde-fixed HepG2 (human liver hepatocellular carcinoma cell line) cell line labeling Glypican 3with ab207080 at 1/500 dilution (red) compared with a Rabbit IgG, monoclonal [EPR25A] - Isotype Control (ab172730) (black) and an unlabeled control (cells without incubation with primary antibody and secondary antibody) (blue). Goat Anti-Rabbit IgG H&L (Alexa Fluor® 488) at 1/2000 dilution was used as the secondary antibody.

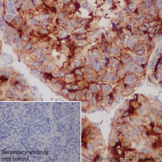
Immunohistochemistry (Formalin/PFA-fixed paraffin-embedded sections) - Anti-Glypican 3 antibody [EPR20569] (AB207080)
  • IHC-P

Supplier Data

Immunohistochemistry (Formalin/PFA-fixed paraffin-embedded sections) - Anti-Glypican 3 antibody [EPR20569] (AB207080)

Immunohistochemical analysis of paraffin-embedded human hepatocellular cancer tissue labeling Glypican 3 with ab207080 at 1/500 dilution, followed by Goat Anti-Rabbit IgG H&L (HRP) ready to use. Positive staining on human hepatocellular cancer (PMID : 12788060). Counter stained with Hematoxylin.

Secondary antibody only control : Used PBS instead of primary antibody, secondary antibody is Goat Anti-Rabbit IgG H&L (HRP) ready to use.

Perform heat mediated antigen retrieval with Tris/EDTA buffer pH 9.0 before commencing with IHC staining protocol.

Immunocytochemistry/ Immunofluorescence - Anti-Glypican 3 antibody [EPR20569] (AB207080)
  • ICC/IF

Supplier Data

Immunocytochemistry/ Immunofluorescence - Anti-Glypican 3 antibody [EPR20569] (AB207080)

Immunofluorescent analysis of 100% methanol-fixed HepG2 (human liver hepatocellular carcinoma cell line) cells labeling Glypican 3 with ab207080 at 1/500 dilution followed by Goat Anti-Rabbit IgG H&L (Alexa Fluor® 488) (ab150077) secondary antibody at 1/1000 dilution (green). Confocal image showing membranous staining on HepG2 cell line.

The nuclear counter stain is DAPI (blue). Tubulin is detected with Anti-alpha Tubulin antibody [DM1A] - Microtubule Marker (Alexa Fluor® 594) (ab195889) (red) at 1/200 dilution.

Secondary antibody only control : Used PBS instead of primary antibody secondary antibody is Goat Anti-Rabbit IgG H&L (Alexa Fluor® 488) (ab150077) secondary antibody at 1/1000 dilution.

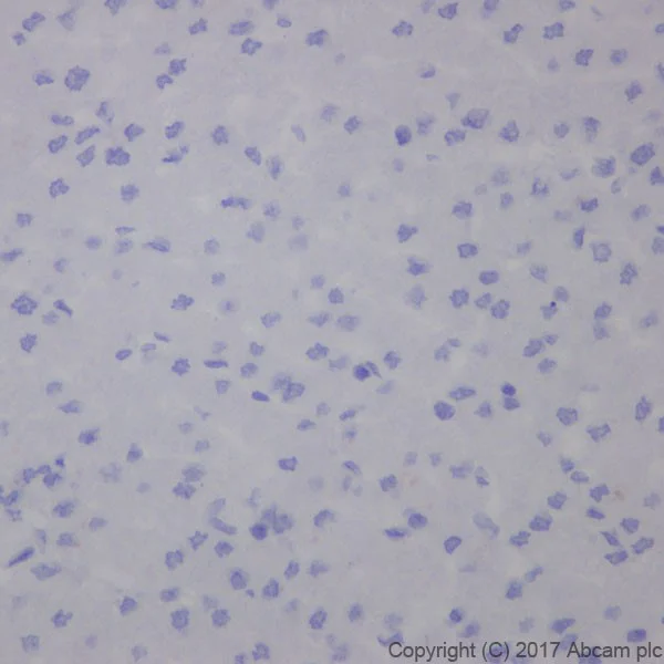
Negative control : Raji (PMID : 9371521).

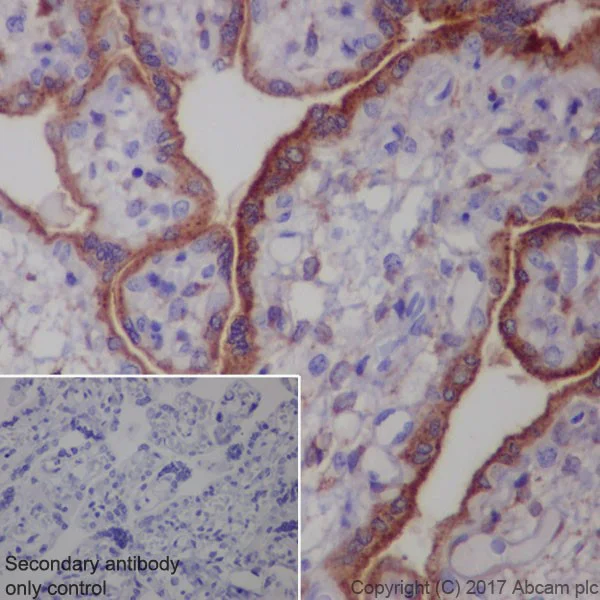
Immunohistochemistry (Formalin/PFA-fixed paraffin-embedded sections) - Anti-Glypican 3 antibody [EPR20569] (AB207080)
  • IHC-P

Supplier Data

Immunohistochemistry (Formalin/PFA-fixed paraffin-embedded sections) - Anti-Glypican 3 antibody [EPR20569] (AB207080)

Immunohistochemical analysis of paraffin-embedded human placenta tissue labeling Glypican 3 with ab207080 at 1/500 dilution, followed by Goat Anti-Rabbit IgG H&L (HRP) ready to use. Positive staining on human placenta (PMID : 12788060; PMID : 11193214). Counter stained with Hematoxylin.

Secondary antibody only control : Used PBS instead of primary antibody, secondary antibody is Goat Anti-Rabbit IgG H&L (HRP) ready to use.

Perform heat mediated antigen retrieval with Tris/EDTA buffer pH 9.0 before commencing with IHC staining protocol.

Immunohistochemistry (Formalin/PFA-fixed paraffin-embedded sections) - Anti-Glypican 3 antibody [EPR20569] (AB207080)
  • IHC-P

Supplier Data

Immunohistochemistry (Formalin/PFA-fixed paraffin-embedded sections) - Anti-Glypican 3 antibody [EPR20569] (AB207080)

Immunohistochemical analysis of paraffin-embedded human liver tissue labeling Glypican 3 with ab207080 at 1/500 dilution, followed by Goat Anti-Rabbit IgG H&L (HRP) ready to use.

Negative control : No staining on human liver (PMID : 12788060).

Counter stained with Hematoxylin.

Perform heat mediated antigen retrieval with Tris/EDTA buffer pH 9.0 before commencing with IHC staining protocol.

Western blot - Anti-Glypican 3 antibody [EPR20569] (AB207080)
  • WB

Supplier Data

Western blot - Anti-Glypican 3 antibody [EPR20569] (AB207080)

Blocking/Dilution buffer : 5% NFDM/TBST.

Exposure time : Lane 1 : 3 minutes; Lane 2 : 1 minute.

The observed molecular weight is consistent with the literature (PMID : 12851874; PMID : 25553423).

All lanes:

Western blot - Anti-Glypican 3 antibody [EPR20569] (ab207080) at 1/1000 dilution

Lane 1:

Huh7 (human hepatocellular carcinoma epithelial cell line) whole cell lysate at 20 µg

Lane 2:

Human fetal liver lysate at 20 µg

Secondary

Lane 1:

Western blot - Goat Anti-Rabbit IgG H&L (HRP) (<a href='/en-us/products/secondary-antibodies/goat-rabbit-igg-h-l-hrp-ab97051'>ab97051</a>) at 1/100000 dilution

Lane 2:

Western blot - Goat Anti-Rabbit IgG H&L (HRP) (<a href='/en-us/products/secondary-antibodies/goat-rabbit-igg-h-l-hrp-ab97051'>ab97051</a>) at 1/50000 dilution

Predicted band size: 66 kDa

Observed band size: 40 kDa,70 kDa

true

Western blot - Anti-Glypican 3 antibody [EPR20569] (AB207080)
  • WB

Supplier Data

Western blot - Anti-Glypican 3 antibody [EPR20569] (AB207080)

Blocking/Dilution buffer : 5% NFDM/TBST.

The observed molecular weight is consistent with the literature (PMID : 12851874; PMID : 25553423).

All lanes:

Western blot - Anti-Glypican 3 antibody [EPR20569] (ab207080) at 1/1000 dilution

Lane 1:

HepG2 (human liver hepatocellular carcinoma cell line) whole cell lysate at 10 µg

Lane 2:

Raji (human Burkitt's lymphoma) whole cell lysate at 10 µg

Secondary

All lanes:

Western blot - Goat Anti-Rabbit IgG H&L (HRP) (<a href='/en-us/products/secondary-antibodies/goat-rabbit-igg-h-l-hrp-ab97051'>ab97051</a>) at 1/100000 dilution

Predicted band size: 66 kDa

Observed band size: 40 kDa,70 kDa

true

Exposure time: 1s

Immunoprecipitation - Anti-Glypican 3 antibody [EPR20569] (AB207080)
  • IP

Lab

Immunoprecipitation - Anti-Glypican 3 antibody [EPR20569] (AB207080)

Purified ab207080 at 1/40 dilution (2μg) immunoprecipitating Glypican 3 in HepG2 whole cell lysate.
Lane 1 (input) : HepG2 (human hepatocellular carcinoma epithelial cell), whole cell lysate 10 μg
Lane 2 (+) : ab207080 + HepG2 whole cell lysate.
Lane 3 (-) : Rabbit monoclonal IgG (ab172730) instead of ab207080 in HepG2 whole cell lysate.
VeriBlot for IP Detection Reagent (HRP) (ab131366) (1/10,000 dilution) was used for Western blotting.
Blocking Buffer and concentration : 5% NFDM/TBST.
Diluting buffer and concentration : 5% NFDM/TBST.
Observed band size : 40,70 kDa

All lanes:

Immunoprecipitation - Anti-Glypican 3 antibody [EPR20569] (ab207080)

Predicted band size: 66 kDa

false

Key facts

Host species

Rabbit

Clonality

Monoclonal

Clone number

EPR20569

Isotype

IgG

Carrier free

No

Reacts with

Human

Applications

IP, IHC-P, WB, Flow Cyt (Intra), ICC/IF

applications

Immunogen

The exact immunogen used to generate this antibody is proprietary information.

Reactivity data

{ "title": "Reactivity Data", "filters": { "stats": ["", "Species", "Dilution Info", "Notes"], "tabs": { "all-applications": {"fullname" : "All Applications", "shortname": "All Applications"}, "IP" : {"fullname" : "Immunoprecipitation", "shortname":"IP"}, "WB" : {"fullname" : "Western blot", "shortname":"WB"}, "ICCIF" : {"fullname" : "Immunocytochemistry/ Immunofluorescence", "shortname":"ICC/IF"}, "FlowCytIntra" : {"fullname" : "Flow Cytometry (Intracellular)", "shortname":"Flow Cyt (Intra)"}, "IHCP" : {"fullname" : "Immunohistochemistry (Formalin/PFA-fixed paraffin-embedded sections)", "shortname":"IHC-P"} }, "product-promise": { "all": "all", "testedAndGuaranteed": "tested", "guaranteed": "expected", "predicted": "predicted", "notRecommended": "not-recommended" } }, "values": { "Human": { "IP-species-checked": "testedAndGuaranteed", "IP-species-dilution-info": "1/40", "IP-species-notes": "<p></p>", "WB-species-checked": "testedAndGuaranteed", "WB-species-dilution-info": "1/1000", "WB-species-notes": "<p></p>", "ICCIF-species-checked": "testedAndGuaranteed", "ICCIF-species-dilution-info": "1/500", "ICCIF-species-notes": "<p></p>", "FlowCytIntra-species-checked": "testedAndGuaranteed", "FlowCytIntra-species-dilution-info": "1/500", "FlowCytIntra-species-notes": "<p></p>", "IHCP-species-checked": "testedAndGuaranteed", "IHCP-species-dilution-info": "1/500", "IHCP-species-notes": "<p></p> Perform heat-mediated antigen retrieval with Tris/EDTA buffer pH 9.0 before commencing with IHC staining protocol." } } }

Product details

What is this antibody validated in?
Anti-Glypican 3 antibody [EPR20569] (ab207080) is a rabbit recombinant monoclonal antibody and is validated for use in Western Blot (WB), Flow Cytometry (Intra), Flow Cytometry (Flow Cyt), Immunoprecipitation (IP), Immunohistochemistry (IHC-P), Immunocytochemistry/immunofluorescence (ICC/IF) in Human samples.

What is the molecular weight of Glypican 3?
Anti-Glypican 3 [EPR20569] (ab207080) specifically detects a band for Glypican 3 (UniProt: P51654) at a molecular weight of 65kDa.

Trial sizes available!
Test your antibody or perform pre-screening before committing to a larger quantity. Sold in 10µl. Discover our selection of trial-size antibodies.

Other related products
We have a range of other formats of antibody clone [EPR20569] also available for your convenience: ab207080, Carrier free - ab240995

Patented technology
Our RabMAb® technology is a patented hybridoma-based technology for making rabbit monoclonal antibodies. For details on our patents, please refer to RabMAb® patents.

What are the advantages of a recombinant monoclonal antibody?
This product is a recombinant monoclonal antibody, which offers several advantages including:

  • - High batch-to-batch consistency and reproducibility
  • - Improved sensitivity and specificity
  • - Long-term security of supply
  • - Animal-free batch production

For more information, read more on recombinant antibodies.

Properties and storage information

Form
Liquid
Purification technique
Affinity purification Protein A
Storage buffer
pH: 7.2 - 7.4 Preservative: 0.01% Sodium azide Constituents: PBS, 40% Glycerol (glycerin, glycerine), 0.05% BSA
Shipped at conditions
Blue Ice
Appropriate short-term storage duration
1-2 weeks
Appropriate short-term storage conditions
+4°C
Appropriate long-term storage conditions
-20°C
Aliquoting information
Upon delivery aliquot
Storage information
Avoid freeze / thaw cycle

Supplementary information

This supplementary information is collated from multiple sources and compiled automatically.

Glypican 3 also known as GPC3 is a cell surface heparan sulfate proteoglycan with a core protein mass of approximately 70 kDa. This target is anchored to the external cell membrane through a glycosylphosphatidylinositol (GPI) anchor. Glypican 3 is expressed mainly in tissues such as the liver and kidneys and plays a role in modulating cell growth and development. In research studies it is often studied in various species including in the mouse and cynomolgus monkey models where it's referred to as mouse glypican 3 and cynomolgus glypican 3 respectively.
Biological function summary

Glypican 3 is involved in the modulation of signaling pathways that control cell proliferation and differentiation. It does not function as an isolated element; it has a role as part of a complex network that interacts with growth factors morphogens and other proteoglycans. Glypican 3 assists in the regulation of important biological events by influencing the accessibility and activity of signaling molecules on the cell surface. Its heparan sulfate chains interact with multiple proteins modifying their function and availability.

Pathways

Glypican 3 plays a significant part in the Wnt and Hedgehog signaling pathways. In the Wnt pathway it regulates the distribution and gradient formation of Wnt proteins which are essential for proper embryonic development. In the Hedgehog pathway glypican 3 modulates the distribution and activity of Hedgehog proteins important for tissue patterning and organogenesis. Other proteins closely related to glypican 3 in these pathways include those from the frizzled family in the Wnt pathway and Patched proteins in the Hedgehog pathway.

Glypican 3 has a strong connection to hepatocellular carcinoma (HCC) and Simpson-Golabi-Behmel syndrome (SGBS). In HCC increased expression of glypican 3 is often observed which associates it with tumor growth and proliferation. It functions alongside other oncogenic factors like alpha-fetoprotein (AFP) which is another marker for liver cancer. In SGBS mutations in the GPC3 gene result in defects in cellular signaling pathways leading to developmental abnormalities. This syndrome highlights the impact of glypican 3 on growth regulation and its interactions with insulin-like growth factors (IGFs).

Product protocols

For this product, it's our understanding that no specific protocols are required. You can visit:

Target data

Cell surface proteoglycan (PubMed : 14610063). Negatively regulates the hedgehog signaling pathway when attached via the GPI-anchor to the cell surface by competing with the hedgehog receptor PTC1 for binding to hedgehog proteins (By similarity). Binding to the hedgehog protein SHH triggers internalization of the complex by endocytosis and its subsequent lysosomal degradation (By similarity). Positively regulates the canonical Wnt signaling pathway by binding to the Wnt receptor Frizzled and stimulating the binding of the Frizzled receptor to Wnt ligands (PubMed : 16227623, PubMed : 24496449). Positively regulates the non-canonical Wnt signaling pathway (By similarity). Binds to CD81 which decreases the availability of free CD81 for binding to the transcriptional repressor HHEX, resulting in nuclear translocation of HHEX and transcriptional repression (By similarity). Inhibits the dipeptidyl peptidase activity of DPP4 (PubMed : 17549790). Plays a role in limb patterning and skeletal development by controlling the cellular response to BMP4 (By similarity). Modulates the effects of growth factors BMP2, BMP7 and FGF7 on renal branching morphogenesis (By similarity). Required for coronary vascular development (By similarity). Plays a role in regulating cell movements during gastrulation (By similarity).
See full target information GPC3

Publications (9)

Recent publications for all applications. Explore the full list and refine your search

Discover oncology 16:1350 PubMed40670689

2025

GPC3: a novel mutated gene in pleuropulmonary blastoma.

Applications

Unspecified application

Species

Unspecified reactive species

Jiahang Zeng,Xinying Wang,Yingyi Xu,Qinglin Yang,Junzheng Peng,Fenghua Wang,Jue Tang,Dongmei Huang,Jiachi Liao,Yunyu He,Lin Huang,Jianhua Liang,Le Li,Zefeng Lin

Pediatric blood & cancer 71:e30774 PubMed37990130

2023

EZH2 is a key component of hepatoblastoma tumor cell growth.

Applications

Unspecified application

Species

Unspecified reactive species

Kathryn Glaser,Emily J Schepers,Harrison M Zwolshen,Charissa M Lake,Nikolai A Timchenko,Rebekah A Karns,Stefano Cairo,James I Geller,Gregory M Tiao,Alexander J Bondoc

Advanced science (Weinheim, Baden-Wurttemberg, Germany) 10:e2206798 PubMed37330650

2023

Donafenib and GSK-J4 Synergistically Induce Ferroptosis in Liver Cancer by Upregulating HMOX1 Expression.

Applications

Unspecified application

Species

Unspecified reactive species

Chenyang Zheng,Bo Zhang,Yunyun Li,Kejia Liu,Wei Wei,Shuhang Liang,Hongrui Guo,Kun Ma,Yao Liu,Jiabei Wang,Lianxin Liu

Cancer science 113:3618-3632 PubMed35946078

2022

Frequently expressed glypican-3 as a promising novel therapeutic target for osteosarcomas.

Applications

Unspecified application

Species

Unspecified reactive species

Jun-Hua Nie,Tao Yang,Hong Li,Sheng Li,Ting-Ting Li,Hai-Shan Ye,Meng-Di Lu,Xiao Chu,Guo-Qing Zhong,Jie-Long Zhou,Mo-Li Wu,Yu Zhang,Jia Liu

Frontiers in cell and developmental biology 10:810687 PubMed35223840

2022

Spatial Multiomics Analysis Reveals Only Minor Genetic and Epigenetic Changes in Human Liver Cancer Stem-Like Cells Compared With Other Tumor Parenchymal Cells.

Applications

Unspecified application

Species

Unspecified reactive species

Dan Liu,Hong Li,Hui Dong,Mincheng Qu,Liguang Yang,Lina Chen,Yixue Li,Hongyang Wang,Yufei He

Communications biology 4:1049 PubMed34497364

2021

Identification of distinct tumor cell populations and key genetic mechanisms through single cell sequencing in hepatoblastoma.

Applications

Unspecified application

Species

Unspecified reactive species

Alexander Bondoc,Kathryn Glaser,Kang Jin,Charissa Lake,Stefano Cairo,James Geller,Gregory Tiao,Bruce Aronow

Cell death & disease 12:492 PubMed33990545

2021

Therapeutic potential of targeting membrane-spanning proteoglycan SDC4 in hepatocellular carcinoma.

Applications

Unspecified application

Species

Unspecified reactive species

Heng Yang,Yang Liu,Mei-Mei Zhao,Qiang Guo,Xi-Kang Zheng,Dan Liu,Ke-Wu Zeng,Peng-Fei Tu

Biophysical journal 120:1288-1300 PubMed33640380

2021

DNA length tunes the fluidity of DNA-based condensates.

Applications

Unspecified application

Species

Unspecified reactive species

Fernando Muzzopappa,Maud Hertzog,Fabian Erdel

International journal of oncology 55:243-256 PubMed31115570

2019

Establishment and characterization of a novel cell line (cc‑006cpm8) of moderately/poorly differentiated colorectal adenocarcinoma derived from a primary tumor of a patient.

Applications

Unspecified application

Species

Unspecified reactive species

Xia Chu,Yiqi Xue,Xinying Huo,Jingsun Wei,Yuetong Chen,Rongbo Han,Hong Chen,Xinyu Su,Honghong Zhang,Yang Gong,Jinfei Chen
View all publications

Product promise

We are committed to supporting your work with high-quality reagents, and we're here for you every step of the way. In the unlikely event that one of our products does not perform as expected, you're protected by our Product Promise.
For full details, please see our Terms & Conditions

Please note: All products are 'FOR RESEARCH USE ONLY. NOT FOR USE IN DIAGNOSTIC OR THERAPEUTIC PROCEDURES'.

For licensing inquiries, please contact partnerships@abcam.com