JavaScript is disabled in your browser. Please enable JavaScript to view this website.
AB95363

Anti-Glypican 3 antibody [SP86]

  • BOND RX™ Validated
  • RabMAb
  • Recombinant
  • KO Validated
  • What is this?

Be the first to review this product! Submit a review

|

(13 Publications)

Anti-Glypican 3 antibody [SP86] (ab95363) is a rabbit monoclonal antibody detecting Glypican 3 in Western Blot, Flow Cytometry, IHC-P, ICC/IF. Suitable for Human.

- KO validated for confirmed specificity
- Biophysical QC for unrivalled batch-batch consistency
- Trusted since 2010

View Alternative Names

OCI5, GPC3, Glypican-3, GTR2-2, Intestinal protein OCI-5, MXR7

9 Images
Flow Cytometry - Anti-Glypican 3 antibody [SP86] (AB95363)
  • Flow Cyt

Lab

Flow Cytometry - Anti-Glypican 3 antibody [SP86] (AB95363)

Flow cytometry overlay histogram showing left wild-type Hap1 positive cells and right negative GPC3 knockout Hap1 stained with ab95363 (red line). The cells were incubated in 1x PBS containing 10% normal goat serum to block non-specific protein-protein interaction followed by the antibody (ab95363) (1x 106 in 100μl at 5.0 μg/ml (1/396)) for 30min on ice.

The secondary antibody Goat Anti-Rabbit IgG H&L (Alexa Fluor® 488) preadsorbed was incubated at 1/4000 for 30min on ice

Isotype control antibody Recombinant Rabbit IgG, monoclonal [EPR25A] - Isotype Control (black line) was used at the same concentration and conditions as the primary antibody. Unlabelled sample was also used as a control (blue line).

Acquisition of >5000 events were collected using a 50 mW Blue laser (488nm) and 525/40 bandpass filter.

Immunohistochemistry (Formalin/PFA-fixed paraffin-embedded sections) - Anti-Glypican 3 antibody [SP86] (AB95363)
  • IHC-P

Unknown

Immunohistochemistry (Formalin/PFA-fixed paraffin-embedded sections) - Anti-Glypican 3 antibody [SP86] (AB95363)

Immunohistochemistry (Formalin/PFA-fixed paraffin-embedded sections) analysis of Human hepatocellular carcinoma tissue sections labeling Glypican 3 with ab95363 at 1 : 100 dilution (4.66 μg/ml). Heat mediated antigen retrieval with sodium citrate buffer (pH 6.0, epitope retrieval solution 1) for 10mins. Rabbit specific IHC polymer detection kit HRP/DAB (ab209101) was used as the secondary antibody. Hematoxylin was used as a counterstain. Positive staining on human hepatocellular carcinoma, performed on a Leica Biosystems BOND™ RX instrument.
The section was incubated with ab95363 for 30 mins at room temperature.

Immunocytochemistry/ Immunofluorescence - Anti-Glypican 3 antibody [SP86] (AB95363)
  • ICC/IF

Unknown

Immunocytochemistry/ Immunofluorescence - Anti-Glypican 3 antibody [SP86] (AB95363)

ICC/IF image of ab95363 stained HepG2 cells. The cells were 4% formaldehyde fixed (10 min) and then incubated in 1%BSA / 10% normal goat serum / 0.3M glycine in 0.1% PBS-Tween for 1h to permeabilise the cells and block non-specific protein-protein interactions. The cells were then incubated with the antibody ab95363 at 5μg/ml overnight at +4°C. The secondary antibody (green) was DyLight® 488 goat anti- rabbit (ab96899) IgG (H+L) used at a 1/250 dilution for 1h. Alexa Fluor® 594 WGA was used to label plasma membranes (red) at a 1/200 dilution for 1h. DAPI was used to stain the cell nuclei (blue) at a concentration of 1.43μM.

Flow Cytometry - Anti-Glypican 3 antibody [SP86] (AB95363)
  • Flow Cyt

Unknown

Flow Cytometry - Anti-Glypican 3 antibody [SP86] (AB95363)

Flow cytometry analysis of HepG2 (human hepatocellular carcinoma) labeling Glypican 3 with purified ab95363 at 1/80 dilution (5.825 μg/ml) (red). Goat anti rabbit IgG (Alexa Fluor® 488, ab150077) at 1/2000 dilution was used as a secondary antibody. Isotype control - Rabbit monoclonal IgG (ab172730) (Black). Unlableled control -Unlabelled cells (blue).

Immunocytochemistry/ Immunofluorescence - Anti-Glypican 3 antibody [SP86] (AB95363)
  • ICC/IF

Unknown

Immunocytochemistry/ Immunofluorescence - Anti-Glypican 3 antibody [SP86] (AB95363)

Immunocytochemistry/ Immunofluorescence analysis of HepG2 (human hepatocellular carcinoma epithelial cell) cells labeling Glypican 3 with purified ab95363 at 1/200 (2.3 μg/ml). Cells were fixed in 100% Methanol and permeabilized with None. Cells were counterstained with ab195889 Anti-alpha Tubulin antibody [DM1A] - Microtubule Marker (Alexa Fluor® 594) 1/200 (2.5 μg/ml). Goat anti rabbit IgG (Alexa Fluor® 488, ab150077) was used as the secondary antibody at 1/1000 (2 μg/ml) dilution. DAPI was used as nuclear counterstain. PBS instead of the primary antibody was used as the secondary antibody only control.

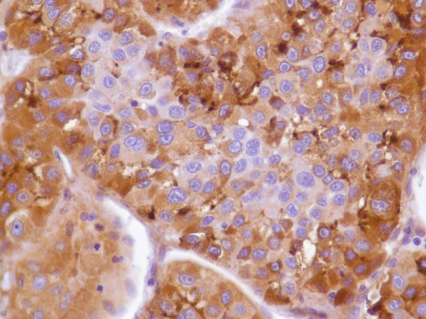
Immunohistochemistry (Formalin/PFA-fixed paraffin-embedded sections) - Anti-Glypican 3 antibody [SP86] (AB95363)
  • IHC-P

Unknown

Immunohistochemistry (Formalin/PFA-fixed paraffin-embedded sections) - Anti-Glypican 3 antibody [SP86] (AB95363)

ab95363, at 1/100 dilution, staining Glypican 3 in formalin-fixed, paraffin-embedded Human liver cancer tissue by Immunohistochemistry.

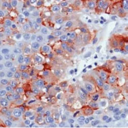
Immunohistochemistry (Formalin/PFA-fixed paraffin-embedded sections) - Anti-Glypican 3 antibody [SP86] (AB95363)
  • IHC-P

Unknown

Immunohistochemistry (Formalin/PFA-fixed paraffin-embedded sections) - Anti-Glypican 3 antibody [SP86] (AB95363)

Immunohistochemical staining of human liver hepatocellular carcinoma with ab95363.

Flow Cytometry - Anti-Glypican 3 antibody [SP86] (AB95363)
  • Flow Cyt

Unknown

Flow Cytometry - Anti-Glypican 3 antibody [SP86] (AB95363)

Flow cytometric analysis of rabbit anti-Glypican 3 (SP86) antibody ab98363 (1/100) in HEPG2 cellls (green) compared to negative control of rabbit IgG (blue).

Western blot - Anti-Glypican 3 antibody [SP86] (AB95363)
  • WB

Supplier Data

Western blot - Anti-Glypican 3 antibody [SP86] (AB95363)

Lane 1 : Wild-type HAP1 whole cell lysate (20 μg)
Lane 2 : GPC3 knockout HAP1 whole cell lysate (20 μg)
Lane 3 : HepG2 whole cell lysate (20 μg)

Lanes 1 - 3 : Merged signal (red and green). Green - ab95363 observed at 70 kDa. Red - loading control, ab130007, observed at 125kDa.

ab95363 was shown to specifically react with Glypican 3 in wild-type HAP1 cells as signal was lost in GPC3 knockout cells. Wild-type and GPC3 knockout samples were subjected to SDS-PAGE. ab95363 and ab130007 (Mouse anti-vinculin loading control) were incubated overnight at 4°C at 1/1000 and 1/20000 dilution respectively. Blots were developed with Goat anti-Rabbit IgG H&L (IRDye® 800CW) preabsorbed ab216773 and Goat anti-Mouse IgG H&L (IRDye® 680RD) preabsorbed ab216776 secondary antibodies at 1/10000 dilution for 1 hour at room temperature before imaging.

All lanes:

Western blot - Anti-Glypican 3 antibody [SP86] (ab95363)

Predicted band size: 66 kDa

false

  • 665 Alexa Fluor® 647

    Alexa Fluor® 647 Anti-Glypican 3 antibody [SP86]

  • Carrier free

    Anti-Glypican 3 antibody [SP86] - BSA and Azide free

  • 578 PE

    PE Anti-Glypican 3 antibody [SP86]

  • 519 Alexa Fluor® 488

    Alexa Fluor® 488 Anti-Glypican 3 antibody [SP86]

Key facts

Host species

Rabbit

Clonality

Monoclonal

Clone number

SP86

Isotype

IgG

Carrier free

No

Reacts with

Human

Applications

WB, ICC/IF, IHC-P, Flow Cyt

applications

Immunogen

The exact immunogen used to generate this antibody is proprietary information.

Reactivity data

{ "title": "Reactivity Data", "filters": { "stats": ["", "Species", "Dilution Info", "Notes"], "tabs": { "all-applications": {"fullname" : "All Applications", "shortname": "All Applications"}, "FlowCyt" : {"fullname" : "Flow Cytometry", "shortname":"Flow Cyt"}, "WB" : {"fullname" : "Western blot", "shortname":"WB"}, "IHCP" : {"fullname" : "Immunohistochemistry (Formalin/PFA-fixed paraffin-embedded sections)", "shortname":"IHC-P"}, "ICCIF" : {"fullname" : "Immunocytochemistry/ Immunofluorescence", "shortname":"ICC/IF"} }, "product-promise": { "all": "all", "testedAndGuaranteed": "tested", "guaranteed": "expected", "predicted": "predicted", "notRecommended": "not-recommended" } }, "values": { "Human": { "FlowCyt-species-checked": "testedAndGuaranteed", "FlowCyt-species-dilution-info": "1/80", "FlowCyt-species-notes": "<p><a href='/en-us/products/primary-antibodies/rabbit-igg-monoclonal-epr25a-isotype-control-ab172730'>ab172730</a> - Rabbit monoclonal IgG, is suitable for use as an isotype control with this antibody.</p>", "WB-species-checked": "testedAndGuaranteed", "WB-species-dilution-info": "", "WB-species-notes": "<p></p>", "IHCP-species-checked": "testedAndGuaranteed", "IHCP-species-dilution-info": "1/100", "IHCP-species-notes": "<p>Perform heat mediated antigen retrieval (boil tissue section in 10mM citrate buffer, pH 6.0 for 10 min followed by cooling at RT for 20 min).</p>", "ICCIF-species-checked": "testedAndGuaranteed", "ICCIF-species-dilution-info": "1/200", "ICCIF-species-notes": "<p></p>" } } }

Product details

What is this antibody validated in?
Anti-Glypican 3 antibody [SP86] (ab95363) is a rabbit recombinant monoclonal antibody and is validated for use in Western Blot (WB), Flow Cytometry (Flow Cyt), Immunohistochemistry (IHC-P), Immunocytochemistry/immunofluorescence (ICC/IF) in Human samples.

What is the molecular weight of Glypican 3?
Anti-Glypican 3 [SP86] (ab95363) specifically detects a band for Glypican 3 (UniProt: P51654) at a molecular weight of 66kDa.

Collaboration
Anti-Glypican 3 [SP86] (ab95363) is a clone from the portfolio of Spring Bioscience (Roche) SP clones which have been optimised for immunohistochemistry (IHC).

Specificity confirmed
The specificity of Anti-Glypican 3 antibody [SP86] (ab95363) has been confirmed by Western blot testing in GPC3 Knockout HAP1 cells.

Other related products
We have a range of other formats of antibody clone [SP86] also available for your convenience: ab95363, Carrier free - ab238804, Alexa Fluor® 647 - ab282189, PE - ab303587, Alexa Fluor® 488 - ab314880

Patented technology
Our RabMAb® technology is a patented hybridoma-based technology for making rabbit monoclonal antibodies. For details on our patents, please refer to RabMAb® patents.

What are the advantages of a recombinant monoclonal antibody?
This product is a recombinant monoclonal antibody, which offers several advantages including:

  • - High batch-to-batch consistency and reproducibility
  • - Improved sensitivity and specificity
  • - Long-term security of supply
  • - Animal-free batch production

For more information, read more on recombinant antibodies.

Properties and storage information

Form
Liquid
Purification technique
Affinity purification Protein A
Storage buffer
pH: 7.2 - 7.4 Preservative: 0.1% Sodium azide Constituents: PBS, 1% BSA
Shipped at conditions
Blue Ice
Appropriate short-term storage conditions
+4°C
Appropriate long-term storage conditions
-20°C
Aliquoting information
Upon delivery aliquot
Storage information
Avoid freeze / thaw cycle

Supplementary information

This supplementary information is collated from multiple sources and compiled automatically.

Glypican 3 also known as GPC3 is a cell surface heparan sulfate proteoglycan with a core protein mass of approximately 70 kDa. This target is anchored to the external cell membrane through a glycosylphosphatidylinositol (GPI) anchor. Glypican 3 is expressed mainly in tissues such as the liver and kidneys and plays a role in modulating cell growth and development. In research studies it is often studied in various species including in the mouse and cynomolgus monkey models where it's referred to as mouse glypican 3 and cynomolgus glypican 3 respectively.
Biological function summary

Glypican 3 is involved in the modulation of signaling pathways that control cell proliferation and differentiation. It does not function as an isolated element; it has a role as part of a complex network that interacts with growth factors morphogens and other proteoglycans. Glypican 3 assists in the regulation of important biological events by influencing the accessibility and activity of signaling molecules on the cell surface. Its heparan sulfate chains interact with multiple proteins modifying their function and availability.

Pathways

Glypican 3 plays a significant part in the Wnt and Hedgehog signaling pathways. In the Wnt pathway it regulates the distribution and gradient formation of Wnt proteins which are essential for proper embryonic development. In the Hedgehog pathway glypican 3 modulates the distribution and activity of Hedgehog proteins important for tissue patterning and organogenesis. Other proteins closely related to glypican 3 in these pathways include those from the frizzled family in the Wnt pathway and Patched proteins in the Hedgehog pathway.

Glypican 3 has a strong connection to hepatocellular carcinoma (HCC) and Simpson-Golabi-Behmel syndrome (SGBS). In HCC increased expression of glypican 3 is often observed which associates it with tumor growth and proliferation. It functions alongside other oncogenic factors like alpha-fetoprotein (AFP) which is another marker for liver cancer. In SGBS mutations in the GPC3 gene result in defects in cellular signaling pathways leading to developmental abnormalities. This syndrome highlights the impact of glypican 3 on growth regulation and its interactions with insulin-like growth factors (IGFs).

Product protocols

For this product, it's our understanding that no specific protocols are required. You can visit:

Target data

Cell surface proteoglycan (PubMed : 14610063). Negatively regulates the hedgehog signaling pathway when attached via the GPI-anchor to the cell surface by competing with the hedgehog receptor PTC1 for binding to hedgehog proteins (By similarity). Binding to the hedgehog protein SHH triggers internalization of the complex by endocytosis and its subsequent lysosomal degradation (By similarity). Positively regulates the canonical Wnt signaling pathway by binding to the Wnt receptor Frizzled and stimulating the binding of the Frizzled receptor to Wnt ligands (PubMed : 16227623, PubMed : 24496449). Positively regulates the non-canonical Wnt signaling pathway (By similarity). Binds to CD81 which decreases the availability of free CD81 for binding to the transcriptional repressor HHEX, resulting in nuclear translocation of HHEX and transcriptional repression (By similarity). Inhibits the dipeptidyl peptidase activity of DPP4 (PubMed : 17549790). Plays a role in limb patterning and skeletal development by controlling the cellular response to BMP4 (By similarity). Modulates the effects of growth factors BMP2, BMP7 and FGF7 on renal branching morphogenesis (By similarity). Required for coronary vascular development (By similarity). Plays a role in regulating cell movements during gastrulation (By similarity).
See full target information GPC3

Publications (13)

Recent publications for all applications. Explore the full list and refine your search

Biochemistry and biophysics reports 43:102140 PubMed40688491

2025

Development of a novel anti-human glypican 5 monoclonal antibody (GMab-1) for multiple applications.

Applications

Unspecified application

Species

Unspecified reactive species

Yu Kaneko,Tomohiro Tanaka,Shiori Fujisawa,Guanjie Li,Hiroyuki Satofuka,Mika K Kaneko,Hiroyuki Suzuki,Yukinari Kato

Hepatology forum 6:99-104 PubMed40686594

2025

Predicting hepatocellular carcinoma development in advanced fibrosis or cirrhosis due to chronic hepatitis B: The role of glypican-3, heat shock protein 70, CD34, and glutamine synthetase.

Applications

Unspecified application

Species

Unspecified reactive species

Yusuf Ozturk,Tugrul Purnak,Halis Simsek,Cenk Sokmensuer

JCI insight 10: PubMed39998891

2025

Atypical memory B cells acquire Breg phenotypes in hepatocellular carcinoma.

Applications

Unspecified application

Species

Unspecified reactive species

Shi Yong Neo,Timothy Wai Ho Shuen,Shruti Khare,Joni Chong,Maichan Lau,Niranjan Shirgaonkar,Levene Chua,Junzhe Zhao,Keene Lee,Charmaine Tan,Rebecca Ba,Janice Lim,Joelle Chua,Hui Shi Cheong,Hui Min Chai,Chung Yip Chan,Alexander Yaw Fui Chung,Peng Chung Cheow,Prema Raj Jeyaraj,Jin Yao Teo,Ye Xin Koh,Aik Yong Chok,Pierce Kah Hoe Chow,Brian Goh,Wei Keat Wan,Wei Qiang Leow,Tracy Jie Zhen Loh,Po Yin Tang,Jayanthi Karunanithi,Nye Thane Ngo,Tony Kiat Hon Lim,Shengli Xu,Ramanuj Dasgupta,Han Chong Toh,Kong-Peng Lam

Cell division 20:1 PubMed39825314

2025

Interaction of STIL with FOXM1 regulates SF3A3 transcription in the hepatocellular carcinoma development.

Applications

Unspecified application

Species

Unspecified reactive species

Haijun Zhang,Lin Zhang,Ziqi Wu

Frontiers in oncology 14:1518010 PubMed39777330

2025

Prediction of prognosis, immunogenicity and efficacy of immunotherapy based on cholesterol metabolism in gastric cancer.

Applications

Unspecified application

Species

Unspecified reactive species

Chengjun Zhu,Mengpei Yan,Zhijun Zhang,Yikai Shen,Wangwen Wang,Zetian Chen,Changsheng Cai,Hongda Liu,Zekuan Xu,Zheng Li

Journal for immunotherapy of cancer 12: PubMed39043602

2024

rhIL-7-hyFc, a long-acting interleukin-7, improves efficacy of CAR-T cell therapy in solid tumors.

Applications

Unspecified application

Species

Unspecified reactive species

Dan Li,Tianyuzhou Liang,Laura E Hutchins,Alexandra A Wolfarth,Sara Ferrando-Martinez,Byung Ha Lee,Mitchell Ho

Asian Pacific journal of cancer prevention : APJCP 24:3221-3227 PubMed37774075

2023

Interpretation of Farnesoid X Receptor Immunohistochemical Expression in Discriminating Hepatocellular Carcinoma from Its Non-Neoplastic Mimics as an Adjunct to Glypican 3.

Applications

Unspecified application

Species

Unspecified reactive species

Doaa E A Salama,Lobna Sadek Shash,Marwa Mosaad Shakweer,Rania Rifat Abdel-Maqsoud,Amany Ibrahim Ahmed Abosaif,Shimaa Abdelraouf Elgohary

EMBO reports 23:e54275 PubMed35437924

2022

Transforming primary human hepatocytes into hepatocellular carcinoma with genetically defined factors.

Applications

Unspecified application

Species

Unspecified reactive species

Zhiwu Jiang,Lin Cheng,Zhiping Wu,Linfu Zhou,Haitao Wang,Qilan Hong,Qiting Wu,Youguo Long,Yunlin Huang,Gaoqi Xu,Yao Yao,Zhaoyang Tang,Zhenfeng Zhang,Lili Yang,Wei Luo,Jie Yang,Likun Gong,Pentao Liu,Xinwen Chen,Shuzhong Cui,Qi Zhang,Yinxiong Li,Peng Li

Aging 14:1879-1890 PubMed35202002

2022

Galectin-9 expression predicts poor prognosis in hepatitis B virus-associated hepatocellular carcinoma.

Applications

Unspecified application

Species

Unspecified reactive species

Jianhua Jiao,Dian Jiao,Fa Yang,Jingliang Zhang,Yu Li,Donghui Han,Keying Zhang,Yingmei Wang,Rui Zhang,An-Gang Yang,Anhui Wang,Weihong Wen,Weijun Qin

Journal of medicinal chemistry 64:15639-15650 PubMed34590489

2021

Multi-Modal Imaging Probe for Glypican-3 Overexpressed in Orthotopic Hepatocellular Carcinoma.

Applications

Unspecified application

Species

Unspecified reactive species

Shuo Feng,Xiaoqing Meng,Zhao Li,Tse-Shao Chang,Xiaoli Wu,Juan Zhou,Bishnu Joshi,Eun-Young Choi,Lili Zhao,Jiye Zhu,Thomas D Wang
View all publications

Product promise

We are committed to supporting your work with high-quality reagents, and we're here for you every step of the way. In the unlikely event that one of our products does not perform as expected, you're protected by our Product Promise.
For full details, please see our Terms & Conditions

Please note: All products are 'FOR RESEARCH USE ONLY. NOT FOR USE IN DIAGNOSTIC OR THERAPEUTIC PROCEDURES'.

For licensing inquiries, please contact partnerships@abcam.com