JavaScript is disabled in your browser. Please enable JavaScript to view this website.
AB167155

Anti-GLYR1 antibody [EPR10077(B)]

Be the first to review this product! Submit a review

|

(1 Publication)

Rabbit Recombinant Monoclonal GLYR1 antibody. Suitable for IHC-P, WB and reacts with Mouse, Human, Rat samples. Cited in 1 publication.

View Alternative Names

HIBDL, NDF, NP60, NPAC, GLYR1, Cytokine-like nuclear factor N-PAC, 3-hydroxyisobutyrate dehydrogenase-like protein, Glyoxylate reductase 1 homolog, Nuclear protein NP60, Nuclear protein of 60 kDa, Nucleosome-destabilizing factor, Putative oxidoreductase GLYR1, hNDF

8 Images
Immunohistochemistry (Formalin/PFA-fixed paraffin-embedded sections) - Anti-GLYR1 antibody [EPR10077(B)] (AB167155)
  • IHC-P

Unknown

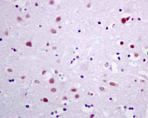
Immunohistochemistry (Formalin/PFA-fixed paraffin-embedded sections) - Anti-GLYR1 antibody [EPR10077(B)] (AB167155)

ab167155 showing +ve staining in Human normal brain.

Perform heat mediated antigen retrieval with citrate buffer pH 6 before commencing with IHC staining protocol.

Immunohistochemistry (Formalin/PFA-fixed paraffin-embedded sections) - Anti-GLYR1 antibody [EPR10077(B)] (AB167155)
  • IHC-P

Unknown

Immunohistochemistry (Formalin/PFA-fixed paraffin-embedded sections) - Anti-GLYR1 antibody [EPR10077(B)] (AB167155)

Immunohistochemical analysis of paraffin embedded Human colon tissue labeling GLYR1 with ab167155 at a 1/50 dilution.

Perform heat mediated antigen retrieval with citrate buffer pH 6 before commencing with IHC staining protocol.

Immunohistochemistry (Formalin/PFA-fixed paraffin-embedded sections) - Anti-GLYR1 antibody [EPR10077(B)] (AB167155)
  • IHC-P

Unknown

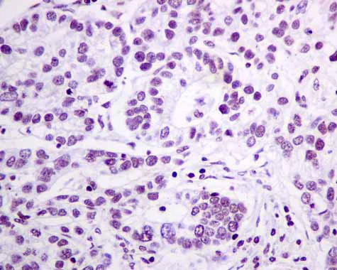
Immunohistochemistry (Formalin/PFA-fixed paraffin-embedded sections) - Anti-GLYR1 antibody [EPR10077(B)] (AB167155)

ab167155 showing +ve staining in Human ovarian carcinoma.

Perform heat mediated antigen retrieval with citrate buffer pH 6 before commencing with IHC staining protocol.

Immunohistochemistry (Formalin/PFA-fixed paraffin-embedded sections) - Anti-GLYR1 antibody [EPR10077(B)] (AB167155)
  • IHC-P

Unknown

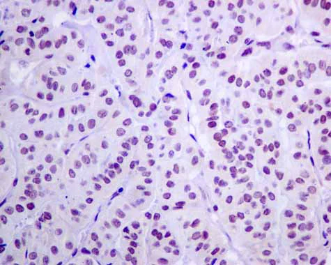
Immunohistochemistry (Formalin/PFA-fixed paraffin-embedded sections) - Anti-GLYR1 antibody [EPR10077(B)] (AB167155)

ab167155 showing +ve staining in Human normal stomach.

Perform heat mediated antigen retrieval with citrate buffer pH 6 before commencing with IHC staining protocol.

Immunohistochemistry (Formalin/PFA-fixed paraffin-embedded sections) - Anti-GLYR1 antibody [EPR10077(B)] (AB167155)
  • IHC-P

Unknown

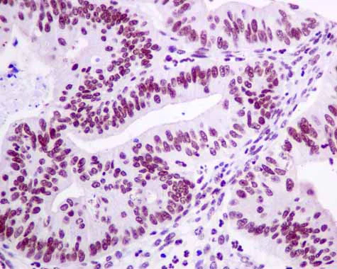
Immunohistochemistry (Formalin/PFA-fixed paraffin-embedded sections) - Anti-GLYR1 antibody [EPR10077(B)] (AB167155)

ab167155 showing +ve staining in Human thyroid gland papillary carcinoma.

Perform heat mediated antigen retrieval with citrate buffer pH 6 before commencing with IHC staining protocol.

Immunohistochemistry (Formalin/PFA-fixed paraffin-embedded sections) - Anti-GLYR1 antibody [EPR10077(B)] (AB167155)
  • IHC-P

Unknown

Immunohistochemistry (Formalin/PFA-fixed paraffin-embedded sections) - Anti-GLYR1 antibody [EPR10077(B)] (AB167155)

ab167155 showing +ve staining in Mouse kidney.

Perform heat mediated antigen retrieval with citrate buffer pH 6 before commencing with IHC staining protocol.

Western blot - Anti-GLYR1 antibody [EPR10077(B)] (AB167155)
  • WB

Lab

Western blot - Anti-GLYR1 antibody [EPR10077(B)] (AB167155)

Lanes 1-4 : Merged signal (red and green). Green - ab167155 observed at 61 kDa. Red - loading control ab8245 observed at 36 kDa.

ab167155 Anti-GLYR1 antibody [EPR10077(B)] was shown to specifically react with GLYR1 in wild-type HEK293T cells. Loss of signal was observed when knockout cell line ab266610 (knockout cell lysate ab257968) was used. Wild-type and GLYR1 knockout samples were subjected to SDS-PAGE. ab167155 and Anti-GAPDH antibody [6C5] - Loading Control (ab8245) were incubated overnight at 4°C at 1 in 1000 dilution and 1 in 20000 dilution respectively. Blots were developed with Goat anti-Rabbit IgG H&L (IRDye® 800CW) preadsorbed (ab216773) and Goat anti-Mouse IgG H&L (IRDye® 680RD) preadsorbed (ab216776) secondary antibodies at 1 in 20000 dilution for 1 hour at room temperature before imaging.

All lanes:

Western blot - Anti-GLYR1 antibody [EPR10077(B)] (ab167155) at 1/1000 dilution

Lane 1:

Wild-type HEK293T cell lysate at 20 µg

Lane 2:

GLYR1 knockout HEK293T cell lysate at 20 µg

Lane 2:

Western blot - Human GLYR1 knockout HEK-293T cell line (<a href='/en-us/products/cell-lines/human-glyr1-knockout-hek-293t-cell-line-ab266610'>ab266610</a>)

Lane 3:

HeLa cell lysate at 20 µg

Lane 4:

HUVEC cell lysate at 20 µg

Secondary

All lanes:

Western blot - Goat anti-Rabbit IgG H&L (IRDye® 800CW) preadsorbed (<a href='/en-us/products/secondary-antibodies/goat-rabbit-igg-h-l-irdye-800cw-preadsorbed-ab216773'>ab216773</a>) at 1/10000 dilution

Predicted band size: 61 kDa,68 kDa

Observed band size: 61 kDa

false

Western blot - Anti-GLYR1 antibody [EPR10077(B)] (AB167155)
  • WB

Unknown

Western blot - Anti-GLYR1 antibody [EPR10077(B)] (AB167155)

All lanes:

Western blot - Anti-GLYR1 antibody [EPR10077(B)] (ab167155) at 1/1000 dilution

Lane 1:

Jurkat cell lysate at 10 µg

Lane 2:

HeLa cell lysate at 10 µg

Lane 3:

K562 cell lysate at 10 µg

Predicted band size: 54 kDa,61 kDa

false

  • Carrier free

    Anti-GLYR1 antibody [EPR10077(B)] - BSA and Azide free

Key facts

Host species

Rabbit

Clonality

Monoclonal

Clone number

EPR10077(B)

Isotype

IgG

Carrier free

No

Reacts with

Mouse, Human

Applications

WB, IHC-P

applications

Immunogen

The exact immunogen used to generate this antibody is proprietary information.

Reactivity data

{ "title": "Reactivity Data", "filters": { "stats": ["", "Species", "Dilution Info", "Notes"], "tabs": { "all-applications": {"fullname" : "All Applications", "shortname": "All Applications"}, "IHCP" : {"fullname" : "Immunohistochemistry (Formalin/PFA-fixed paraffin-embedded sections)", "shortname":"IHC-P"}, "IP" : {"fullname" : "Immunoprecipitation", "shortname":"IP"}, "FlowCyt" : {"fullname" : "Flow Cytometry", "shortname":"Flow Cyt"}, "WB" : {"fullname" : "Western blot", "shortname":"WB"}, "ICCIF" : {"fullname" : "Immunocytochemistry/ Immunofluorescence", "shortname":"ICC/IF"} }, "product-promise": { "all": "all", "testedAndGuaranteed": "tested", "guaranteed": "expected", "predicted": "predicted", "notRecommended": "not-recommended" } }, "values": { "Human": { "IHCP-species-checked": "testedAndGuaranteed", "IHCP-species-dilution-info": "1/50 - 1/100", "IHCP-species-notes": "<p></p>", "IP-species-checked": "notRecommended", "IP-species-dilution-info": "", "IP-species-notes": "<p></p>", "FlowCyt-species-checked": "notRecommended", "FlowCyt-species-dilution-info": "", "FlowCyt-species-notes": "<p></p>", "WB-species-checked": "testedAndGuaranteed", "WB-species-dilution-info": "1/1000 - 1/10000", "WB-species-notes": "<p></p>", "ICCIF-species-checked": "notRecommended", "ICCIF-species-dilution-info": "", "ICCIF-species-notes": "<p></p>" }, "Mouse": { "IHCP-species-checked": "testedAndGuaranteed", "IHCP-species-dilution-info": "1/50 - 1/100", "IHCP-species-notes": "<p></p>", "IP-species-checked": "notRecommended", "IP-species-dilution-info": "", "IP-species-notes": "<p></p>", "FlowCyt-species-checked": "notRecommended", "FlowCyt-species-dilution-info": "", "FlowCyt-species-notes": "<p></p>", "WB-species-checked": "guaranteed", "WB-species-dilution-info": "", "WB-species-notes": "", "ICCIF-species-checked": "notRecommended", "ICCIF-species-dilution-info": "", "ICCIF-species-notes": "<p></p>" }, "Rat": { "IHCP-species-checked": "predicted", "IHCP-species-dilution-info": "", "IHCP-species-notes": "", "IP-species-checked": "notRecommended", "IP-species-dilution-info": "", "IP-species-notes": "", "FlowCyt-species-checked": "notRecommended", "FlowCyt-species-dilution-info": "", "FlowCyt-species-notes": "", "WB-species-checked": "guaranteed", "WB-species-dilution-info": "", "WB-species-notes": "<p></p>", "ICCIF-species-checked": "notRecommended", "ICCIF-species-dilution-info": "", "ICCIF-species-notes": "" } } }

Product details

Patented technology
Our RabMAb® technology is a patented hybridoma-based technology for making rabbit monoclonal antibodies. For details on our patents, please refer to RabMAb® patents.

What are the advantages of a recombinant monoclonal antibody?
This product is a recombinant monoclonal antibody, which offers several advantages including:

  • - High batch-to-batch consistency and reproducibility
  • - Improved sensitivity and specificity
  • - Long-term security of supply
  • - Animal-free batch production

For more information, read more on recombinant antibodies.

Properties and storage information

Form
Liquid
Purification technique
Affinity purification Protein A
Storage buffer
pH: 7.2 - 7.4 Preservative: 0.01% Sodium azide Constituents: PBS, 50% Tissue culture supernatant, 40% Glycerol (glycerin, glycerine), 0.05% BSA
Shipped at conditions
Blue Ice
Appropriate short-term storage conditions
+4°C
Appropriate long-term storage conditions
-20°C
Aliquoting information
Upon delivery aliquot
Storage information
Avoid freeze / thaw cycle

Supplementary information

This supplementary information is collated from multiple sources and compiled automatically.

GLYR1 also known as glyoxylate reductase 1 homolog or NP60 is a 62 kDa protein. It is an NAD(P)H-dependent oxidoreductase and binds specifically to histones modifying their methylation status. GLYR1 shows expression in various tissues with higher levels noted in the kidney and liver. It plays a role in chromatin remodeling indicating its involvement in gene expression regulation.
Biological function summary

GLYR1 influences chromatin structure by regulating histone H3 lysine 36 trimethylation (H3K36me3). It interacts with lysine-specific demethylase 1 (LSD1) and partners within chromatin-modifying complexes. Through these interactions GLYR1 can impact transcriptional repression and activation. Its activity shows specific importance in controlling gene expression related to cell growth and differentiation.

Pathways

GLYR1 interacts with components of the MAPK signaling pathway and the histone modification pathway. It works alongside proteins like LSD1 and histone deacetylases (HDACs) to modulate transcriptional outcomes. These interactions provide evidence of its role in transmitting extracellular signals to the nucleus ultimately influencing gene expression patterns.

Research links GLYR1 to cancer progression and inflammatory responses. Its overexpression or dysregulation has associations with tumors where alteration of histone marks leads to aberrant gene expression. GLYR1 also connects with proteins like HDACs in these diseases contributing to the modulation of cell cycle and apoptosis which are critical for cancer development.

Product protocols

For this product, it's our understanding that no specific protocols are required. You can visit:

Target data

Cytokine-like nuclear factor with chromatin gene reader activity involved in chromatin modification and regulation of gene expression (PubMed : 23260659, PubMed : 30970244). Acts as a nucleosome-destabilizing factor that is recruited to genes during transcriptional activation (PubMed : 29759984, PubMed : 30970244). Recognizes and binds histone H3 without a preference for specific epigenetic markers and also binds DNA (PubMed : 20850016, PubMed : 30970244). Interacts with KDM1B and promotes its histone demethylase activity by facilitating the capture of H3 tails, they form a multifunctional enzyme complex that modifies transcribed chromatin and facilitates Pol II transcription through nucleosomes (PubMed : 23260659, PubMed : 29759984, PubMed : 30970244). Stimulates the acetylation of 'Lys-56' of nucleosomal histone H3 (H3K56ac) by EP300 (PubMed : 29759984). With GATA4, co-binds a defined set of heart development genes and coregulates their expression during cardiomyocyte differentiation (PubMed : 35182466). Regulates p38 MAP kinase activity by mediating stress activation of MAPK14/p38alpha and specifically regulating MAPK14 signaling (PubMed : 16352664). Indirectly promotes phosphorylation of MAPK14 and activation of ATF2 (PubMed : 16352664). The phosphorylation of MAPK14 requires upstream activity of MAP2K4 and MAP2K6 (PubMed : 16352664).
See full target information GLYR1

Publications (1)

Recent publications for all applications. Explore the full list and refine your search

Scientific reports 15:32734 PubMed40993169

2025

Diesel particulate matter-induced proteomic changes in three-dimensional spheroids derived from human primary cells of various tissue origins.

Applications

Unspecified application

Species

Unspecified reactive species

Yoon Jin Cho,Hae Dong Jeong,Young June Jeon,Soobin Choi,Ji Hyun Back,Ji Hun Wi,Yae Eun Park,Seung-Hee Gwak,Mi Jung Ji,Hyun-Mee Park,Hyuk Jeong,So Yeon Kim,Ji Eun Lee
View all publications

Product promise

We are committed to supporting your work with high-quality reagents, and we're here for you every step of the way. In the unlikely event that one of our products does not perform as expected, you're protected by our Product Promise.
For full details, please see our Terms & Conditions

Please note: All products are 'FOR RESEARCH USE ONLY. NOT FOR USE IN DIAGNOSTIC OR THERAPEUTIC PROCEDURES'.

For licensing inquiries, please contact partnerships@abcam.com