JavaScript is disabled in your browser. Please enable JavaScript to view this website.
AB272565

Anti-Glyt1A antibody

0

(1 Review)

|

(1 Publication)

Rabbit Polyclonal Glyt1A antibody. Suitable for IHC-P, ICC/IF and reacts with Human samples. Cited in 1 publication. Immunogen corresponding to Recombinant Fragment Protein within Human SLC6A9 aa 200-300.

View Alternative Names

Sodium- and chloride-dependent glycine transporter 1, GlyT-1, GlyT1, Solute carrier family 6 member 9, SLC6A9

2 Images
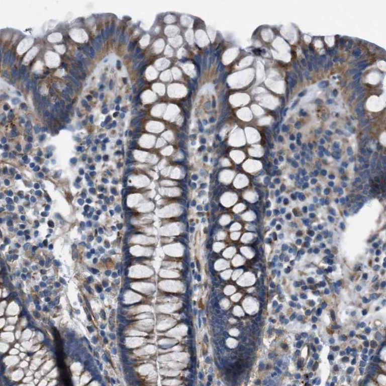
Immunohistochemistry (Formalin/PFA-fixed paraffin-embedded sections) - Anti-Glyt1A antibody (AB272565)
  • IHC-P

Unknown

Immunohistochemistry (Formalin/PFA-fixed paraffin-embedded sections) - Anti-Glyt1A antibody (AB272565)

Paraffin-embedded formalin-fixed Human colon tissue stained for Glyt1A using ab272565 at 1/200 in immunohistochemical analysis.

Immunocytochemistry/ Immunofluorescence - Anti-Glyt1A antibody (AB272565)
  • ICC/IF

Unknown

Immunocytochemistry/ Immunofluorescence - Anti-Glyt1A antibody (AB272565)

PFA fixed, Triton X-100 permeablized human cell line U-251 MG labeling Glyt1A (green) using ab272565 at 2 ug/ml in ICC/IF analysis.

Key facts

Host species

Rabbit

Clonality

Polyclonal

Isotype

IgG

Carrier free

No

Reacts with

Human

Applications

IHC-P, ICC/IF

applications

Immunogen

Recombinant Fragment Protein within Human SLC6A9 aa 200-300. The exact immunogen used to generate this antibody is proprietary information.

P48067

Reactivity data

{ "title": "Reactivity Data", "filters": { "stats": ["", "Species", "Dilution Info", "Notes"], "tabs": { "all-applications": {"fullname" : "All Applications", "shortname": "All Applications"}, "IHCP" : {"fullname" : "Immunohistochemistry (Formalin/PFA-fixed paraffin-embedded sections)", "shortname":"IHC-P"}, "ICCIF" : {"fullname" : "Immunocytochemistry/ Immunofluorescence", "shortname":"ICC/IF"} }, "product-promise": { "all": "all", "testedAndGuaranteed": "tested", "guaranteed": "expected", "predicted": "predicted", "notRecommended": "not-recommended" } }, "values": { "Human": { "IHCP-species-checked": "testedAndGuaranteed", "IHCP-species-dilution-info": "1/50 - 1/200", "IHCP-species-notes": "<p></p> Perform heat-mediated antigen retrieval with citrate buffer pH 6 before commencing with IHC staining protocol.", "ICCIF-species-checked": "testedAndGuaranteed", "ICCIF-species-dilution-info": "0.25-2 µg/mL", "ICCIF-species-notes": "<p></p>" }, "Mouse": { "IHCP-species-checked": "predicted", "IHCP-species-dilution-info": "", "IHCP-species-notes": "", "ICCIF-species-checked": "predicted", "ICCIF-species-dilution-info": "", "ICCIF-species-notes": "" } } }

Properties and storage information

Form
Liquid
Purification technique
Affinity purification Immunogen
Storage buffer
pH: 7.2 Preservative: 0.02% Sodium azide Constituents: PBS, 40% Glycerol (glycerin, glycerine)
Shipped at conditions
Blue Ice
Appropriate short-term storage duration
1-2 weeks
Appropriate short-term storage conditions
+4°C
Appropriate long-term storage conditions
-20°C
Aliquoting information
Upon delivery aliquot
Storage information
Avoid freeze / thaw cycle

Supplementary information

This supplementary information is collated from multiple sources and compiled automatically.

Glyt1A also known as Glycine Transporter 1 or SLC6A9 functions mechanically by mediating the reuptake of glycine in synaptic clefts. This transport process plays a significant role in regulating glycine levels within the central nervous system. Glyt1A exhibits a molecular mass of approximately 70 kDa. Expression of Glyt1A is noted in both the central nervous system and various peripheral tissues. The distribution pattern supports its involvement in neurotransmission and glycine modulation in different tissue types.
Biological function summary

Glyt1A contributes to regulating neurotransmitter balance by removing excess glycine from synaptic spaces. By doing so it ensures proper synaptic functioning and neurotransmission. Glyt1A can form part of larger transporter complexes that modulate synaptic activities and neurotransmitter levels. Its function is tightly linked with its ability to transport glycine which influences N-methyl-D-aspartate (NMDA) receptor activity due to the co-agonist role of glycine in NMDA receptor activation.

Pathways

Glyt1A plays a part in neurotransmission pathways particularly impacting glutamatergic signaling. The transporter regulates glycine concentration which affects NMDA receptor activity an important receptor in excitatory neurotransmission and synaptic plasticity. Its activity is closely associated with proteins involved in the glutamatergic pathway such as NMDA receptors and other neurotransmitter transporters including the GLT-1 glutamate transporter.

Glyt1A associates with neurological disorders like schizophrenia and glycine encephalopathy. In schizophrenia altered glycine transport can affect NMDA receptor functionality influencing symptoms and disease progression. Glyt1A interacts with NMDA receptor pathways which link to the pathophysiology of schizophrenia. In glycine encephalopathy also known as non-ketotic hyperglycinemia the dysregulation of glycine transport leads to toxic levels of glycine impacting neurological development and function.

Product protocols

For this product, it's our understanding that no specific protocols are required. You can visit:

Target data

Sodium- and chloride-dependent glycine transporter (PubMed : 8183239). Essential for regulating glycine concentrations at inhibitory glycinergic synapses.. Isoform GlyT-1B. Sodium- and chloride-dependent glycine transporter.. Isoform GlyT-1C. Sodium- and chloride-dependent glycine transporter.
See full target information SLC6A9

Publications (1)

Recent publications for all applications. Explore the full list and refine your search

Histology and histopathology 37:461-474 PubMed35060113

2022

Lidocaine represses the malignant behavior of lung carcinoma cells via the circ_PDZD8/miR-516b-5p/GOLT1A axis.

Applications

Unspecified application

Species

Unspecified reactive species

Huafen Zi,Li Chen,Qian Ruan
View all publications

Product promise

We are committed to supporting your work with high-quality reagents, and we're here for you every step of the way. In the unlikely event that one of our products does not perform as expected, you're protected by our Product Promise.
For full details, please see our Terms & Conditions

Please note: All products are 'FOR RESEARCH USE ONLY. NOT FOR USE IN DIAGNOSTIC OR THERAPEUTIC PROCEDURES'.

For licensing inquiries, please contact partnerships@abcam.com