JavaScript is disabled in your browser. Please enable JavaScript to view this website.
AB215966

Anti-GM130 antibody [EP892Y] - BSA and Azide free

Be the first to review this product! Submit a review

|

(29 Publications)

Rabbit Recombinant Monoclonal GM130 antibody. Carrier free. Suitable for IHC-P, IP, WB, ICC/IF, Flow Cyt (Intra) and reacts with Human, African green monkey, Dog samples. Cited in 29 publications.

View Alternative Names

Golgin subfamily A member 2, 130 kDa cis-Golgi matrix protein, GM130 autoantigen, Golgin-95, GM130, GOLGA2

9 Images
Immunocytochemistry/ Immunofluorescence - Anti-GM130 antibody [EP892Y] - BSA and Azide free (AB215966)
  • ICC/IF

Lab

Immunocytochemistry/ Immunofluorescence - Anti-GM130 antibody [EP892Y] - BSA and Azide free (AB215966)

ICC/IF image of unpurified ab52946 stained HeLa cells. The cells were 4% PFA fixed (10 min) and then incubated in 1% BSA / 10% normal goat serum / 0.3M glycine in 0.1% PBS-Tween for 1h to permeabilise the cells and block non-specific protein-protein interactions. The cells were then incubated with the antibody (unpurified ab52946, 1µg/ml) overnight at +4°C. The secondary antibody (green) was DyLight® 488 goat anti-rabbit IgG - H&L, pre-adsorbed (ab96899) used at a 1/250 dilution for 1h. Alexa Fluor® 594 WGA was used to label plasma membranes (red) at a 1/200 dilution for 1h. DAPI was used to stain the cell nuclei (blue) at a concentration of 1.43µM.

This data was developed using the same antibody clone in a different buffer formulation containing PBS, BSA, glycerol, and sodium azide (ab52649).

Immunocytochemistry/ Immunofluorescence - Anti-GM130 antibody [EP892Y] - BSA and Azide free (AB215966)
  • ICC/IF

AbReview16956****

Immunocytochemistry/ Immunofluorescence - Anti-GM130 antibody [EP892Y] - BSA and Azide free (AB215966)

Unpurified ab52649 staining GM130 in human ARPE-19 cells by ICC/IF (immunocytochemistry/immunofluorescence). Cells were formaldehyde fixed, permeabilized by 0.5% TX-100 and blocked with 5% serum for 20 minutes at 25°C. The sample was incubated with the primary antibody (1/500 in 1% goat serum, 0.1%TX100, 1 x PBS) for 16 hours at 4°C. An Alexa Fluor® 488-conjugated Goat anti-rabbit polyclonal (1/500) was used as the secondary.

This data was developed using the same antibody clone in a different buffer formulation containing PBS, BSA, glycerol, and sodium azide (ab52649).

This image is courtesy of an Abreview submitted by Vladimir Milenkovic.

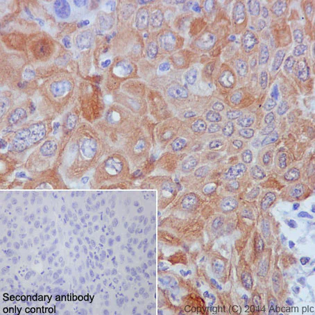
Immunohistochemistry (Formalin/PFA-fixed paraffin-embedded sections) - Anti-GM130 antibody [EP892Y] - BSA and Azide free (AB215966)
  • IHC-P

Unknown

Immunohistochemistry (Formalin/PFA-fixed paraffin-embedded sections) - Anti-GM130 antibody [EP892Y] - BSA and Azide free (AB215966)

Immunohistochemistry (Formalin/PFA-fixed paraffin-embedded sections) analysis of human cervix carcinoma tissue labelling GM130 with purified ab52649 at 1/100. Heat mediated antigen retrieval was performed using Tris/EDTA buffer pH 9. ab97051, a HRP-conjugated goat anti-rabbit IgG (H+L) was used as the secondary antibody (1/500). Negative control using PBS instead of primary antibody. Counterstained with hematoxylin.

This data was developed using the same antibody clone in a different buffer formulation containing PBS, BSA, glycerol, and sodium azide (ab52649).

Flow Cytometry (Intracellular) - Anti-GM130 antibody [EP892Y] - BSA and Azide free (AB215966)
  • Flow Cyt (Intra)

Unknown

Flow Cytometry (Intracellular) - Anti-GM130 antibody [EP892Y] - BSA and Azide free (AB215966)

Intracellular Flow Cytometry analysis of HeLa (human cervix adenocarcinoma) cells labeling GM130 (red) with ab52649 at a 1/20 dilution. Cells were fixed with 4% paraformaldehyde and permeabilized with 90% methanol. A goat anti-rabbit IgG (Alexa Fluor® 488) (ab150077) was used as the secondary antibody at a 1/2000 dilution. Black - Rabbit monoclonal IgG (ab172730). Blue (unlabeled control) - Cells without incubation with the primary and secondary antibodies.

This data was developed using the same antibody clone in a different buffer formulation containing PBS, BSA, glycerol, and sodium azide (ab52649).

Immunocytochemistry/ Immunofluorescence - Anti-GM130 antibody [EP892Y] - BSA and Azide free (AB215966)
  • ICC/IF

Unknown

Immunocytochemistry/ Immunofluorescence - Anti-GM130 antibody [EP892Y] - BSA and Azide free (AB215966)

Immunocytochemistry/Immunofluorescence analysis of HeLa cells labelling GM130 with purified ab52649 at 1/50. Cells were fixed with 4% paraformaldehyde and permeabilized with 0.1% Triton X-100. ab150077, an Alexa Fluor® 488-conjugated goat anti-rabbit IgG (1/500) was used as the secondary antibody. DAPI (blue) was used as the nuclear counterstain. ab7291, a mouse anti-tubulin (1/1000) and ab150120, an Alexa Fluor® 594-conjugated goat anti-mouse IgG (1/500) were also used.

Control 1 : primary antibody (1/50) and secondary antibody, ab150120, an Alexa Fluor® 594-conjugated goat anti-mouse IgG (1/500).

Control 2 : ab7291 (1/1000) and secondary antibody, ab150077, an Alexa Fluor® 488-conjugated goat anti-rabbit IgG (1/500).

This data was developed using the same antibody clone in a different buffer formulation containing PBS, BSA, glycerol, and sodium azide (ab52649).

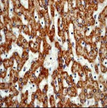
Immunohistochemistry (Formalin/PFA-fixed paraffin-embedded sections) - Anti-GM130 antibody [EP892Y] - BSA and Azide free (AB215966)
  • IHC-P

Unknown

Immunohistochemistry (Formalin/PFA-fixed paraffin-embedded sections) - Anti-GM130 antibody [EP892Y] - BSA and Azide free (AB215966)

Immunohistochemistry (Formalin/PFA-fixed paraffin-embedded sections) analysis of human liver tissue labelling GM130 with unpurified ab52649 at a dilution of 1/500.

This data was developed using the same antibody clone in a different buffer formulation containing PBS, BSA, glycerol, and sodium azide (ab52649).

Immunoprecipitation - Anti-GM130 antibody [EP892Y] - BSA and Azide free (AB215966)
  • IP

Unknown

Immunoprecipitation - Anti-GM130 antibody [EP892Y] - BSA and Azide free (AB215966)

ab52649 (purified) at 1/20 immunoprecipitating GM130 in HeLa whole cell lysate.

Lane 1 (input) : HeLa whole cell lysate (10μg)

Lane 2 (+) : ab52649 + HeLa whole cell lysate (10μg).

Lane 3 (-) : Rabbit monoclonal IgG (ab172730) instead of ab52649 in HeLa whole cell lysate.

For western blotting, VeriBlot for IP Detection Reagent (HRP) (ab131366), was used for detection at 1/1500 dilution.

Blocking buffer and concentration : 5% NFDM/TBST.

Diluting buffer and concentration : 5% NFDM /TBST.

This data was developed using the same antibody clone in a different buffer formulation containing PBS, BSA, glycerol, and sodium azide (ab52649).

All lanes:

Immunoprecipitation - Anti-GM130 antibody [EP892Y] - cis-Golgi Marker (<a href='/en-us/products/primary-antibodies/gm130-antibody-ep892y-cis-golgi-marker-ab52649'>ab52649</a>)

Lane 1:

HeLa whole cell lysate at 10 µg

Lane 2:

<a href='/en-us/products/primary-antibodies/gm130-antibody-ep892y-cis-golgi-marker-ab52649'>ab52649</a> + HeLa whole cell lysate at 10 µg

Lane 3:

Rabbit monoclonal IgG (<a href='/en-us/products/primary-antibodies/rabbit-igg-monoclonal-epr25a-isotype-control-ab172730'>ab172730</a>) instead of <a href='/en-us/products/primary-antibodies/gm130-antibody-ep892y-cis-golgi-marker-ab52649'>ab52649</a> in HeLa whole cell lysate

Predicted band size: 113 kDa

Observed band size: 130 kDa

false

Immunocytochemistry/ Immunofluorescence - Anti-GM130 antibody [EP892Y] - BSA and Azide free (AB215966)
  • ICC/IF

AbReview45104****

Immunocytochemistry/ Immunofluorescence - Anti-GM130 antibody [EP892Y] - BSA and Azide free (AB215966)

Unpurified ab52649 staining GM130 (magenta) in monkey kidney cells by ICC/IF (Immunocytochemistry/immunofluorescence). Cells were fixed with paraformaldehyde and blocked with 3% BSA + 0.5% Triton X-100 for 45 minutes at 25°C. Samples were incubated with primary antibody (1/1500 in 3% BSA + 0.5% Triton X-100) for 45 minutes at 25°C. An Alexa Fluor® 647-conjugated donkey anti-rabbit IgG polyclonal (2 µg/ml) was used as the secondary antibody. Nuclei stained with Picogreen.

This data was developed using the same antibody clone in a different buffer formulation containing PBS, BSA, glycerol, and sodium azide (ab52649).

This image is courtesy of an Abreview submitted by Aaron Halpen.

Immunocytochemistry/ Immunofluorescence - Anti-GM130 antibody [EP892Y] - BSA and Azide free (AB215966)
  • ICC/IF

AbReview20356****

Immunocytochemistry/ Immunofluorescence - Anti-GM130 antibody [EP892Y] - BSA and Azide free (AB215966)

Unpurified ab52649 staining GM130 in Bovine brain microvascular endothelial cells by ICC/IF (Immunocytochemistry/immunofluorescence). Cells were fixed with paraformaldehyde, permeabilized with 0.1% saponin and blocked with 5% BSA for 90 minutes at 37°C. Samples were incubated with primary antibody (1/100 in 0.1% saponin + 1% BSA ) for 18 hours at 4°C. An undiluted Alexa Fluor® 568-conjugated Goat anti-rabbit IgG polyclonal was used as the secondary antibody.

This data was developed using the same antibody clone in a different buffer formulation containing PBS, BSA, glycerol, and sodium azide (ab52649).

This image is courtesy of an Abreview submitted by JL Balligand.

  • Unconjugated

    Anti-GM130 antibody [EP892Y] - cis-Golgi Marker

  • 775 Alexa Fluor® 750

    Alexa Fluor® 750 Anti-GM130 antibody [EP892Y] - cis-Golgi Marker

  • 665 Alexa Fluor® 647

    Alexa Fluor® 647 Anti-GM130 antibody [EP892Y] - cis-Golgi Marker

  • 617 Alexa Fluor® 594

    Alexa Fluor® 594 Anti-GM130 antibody [EP892Y] - cis-Golgi Marker

  • 519 Alexa Fluor® 488

    Alexa Fluor® 488 Anti-GM130 antibody [EP892Y] - cis-Golgi Marker

  • 578 PE

    PE Anti-GM130 - cis-Golgi Marker antibody [EP892Y]

  • 660 APC

    APC Anti-GM130 - cis-Golgi Marker antibody [EP892Y]

  • HRP

    HRP Anti-GM130 - cis-Golgi Marker antibody [EP892Y]

  • 565 Alexa Fluor® 555

    Alexa Fluor® 555 Anti-GM130 antibody [EP892Y] - cis-Golgi Marker

  • 603 Alexa Fluor® 568

    Alexa Fluor® 568 Anti-GM130 antibody [EP892Y] - cis-Golgi Marker

Key facts

Host species

Rabbit

Clonality

Monoclonal

Clone number

EP892Y

Isotype

IgG

Carrier free

Yes

Reacts with

Human, African green monkey, Dog

Applications

Flow Cyt (Intra), ICC/IF, WB, IP, IHC-P

applications

Immunogen

The exact immunogen used to generate this antibody is proprietary information.

Specificity

Mouse and rat cell lines pc12, 3t3, raw 264.7 were tested positive in WB. However, brain, kidney, spleen and heart were negative from the two species.

Reactivity data

{ "title": "Reactivity Data", "filters": { "stats": ["", "Species", "Dilution Info", "Notes"], "tabs": { "all-applications": {"fullname" : "All Applications", "shortname": "All Applications"}, "IHCP" : {"fullname" : "Immunohistochemistry (Formalin/PFA-fixed paraffin-embedded sections)", "shortname":"IHC-P"}, "IP" : {"fullname" : "Immunoprecipitation", "shortname":"IP"}, "WB" : {"fullname" : "Western blot", "shortname":"WB"}, "ICCIF" : {"fullname" : "Immunocytochemistry/ Immunofluorescence", "shortname":"ICC/IF"}, "FlowCytIntra" : {"fullname" : "Flow Cytometry (Intracellular)", "shortname":"Flow Cyt (Intra)"} }, "product-promise": { "all": "all", "testedAndGuaranteed": "tested", "guaranteed": "expected", "predicted": "predicted", "notRecommended": "not-recommended" } }, "values": { "Human": { "IHCP-species-checked": "testedAndGuaranteed", "IHCP-species-dilution-info": "", "IHCP-species-notes": "<p>Overnight incubation is recommended.</p>", "IP-species-checked": "testedAndGuaranteed", "IP-species-dilution-info": "", "IP-species-notes": "<p></p>", "WB-species-checked": "guaranteed", "WB-species-dilution-info": "", "WB-species-notes": "<p></p>", "ICCIF-species-checked": "testedAndGuaranteed", "ICCIF-species-dilution-info": "", "ICCIF-species-notes": "<p>PFA fixation should be most suitable.</p>", "FlowCytIntra-species-checked": "testedAndGuaranteed", "FlowCytIntra-species-dilution-info": "", "FlowCytIntra-species-notes": "<p></p>" }, "Mouse": { "IHCP-species-checked": "notRecommended", "IHCP-species-dilution-info": "", "IHCP-species-notes": "<p>Overnight incubation is recommended.</p>", "IP-species-checked": "notRecommended", "IP-species-dilution-info": "", "IP-species-notes": "<p></p>", "WB-species-checked": "notRecommended", "WB-species-dilution-info": "", "WB-species-notes": "<p></p>", "ICCIF-species-checked": "notRecommended", "ICCIF-species-dilution-info": "", "ICCIF-species-notes": "<p>PFA fixation should be most suitable.</p>", "FlowCytIntra-species-checked": "notRecommended", "FlowCytIntra-species-dilution-info": "", "FlowCytIntra-species-notes": "<p></p>" }, "Rat": { "IHCP-species-checked": "notRecommended", "IHCP-species-dilution-info": "", "IHCP-species-notes": "<p>Overnight incubation is recommended.</p>", "IP-species-checked": "notRecommended", "IP-species-dilution-info": "", "IP-species-notes": "<p></p>", "WB-species-checked": "notRecommended", "WB-species-dilution-info": "", "WB-species-notes": "<p></p>", "ICCIF-species-checked": "notRecommended", "ICCIF-species-dilution-info": "", "ICCIF-species-notes": "<p>PFA fixation should be most suitable.</p>", "FlowCytIntra-species-checked": "notRecommended", "FlowCytIntra-species-dilution-info": "", "FlowCytIntra-species-notes": "<p></p>" }, "African green monkey": { "IHCP-species-checked": "guaranteed", "IHCP-species-dilution-info": "", "IHCP-species-notes": "", "IP-species-checked": "guaranteed", "IP-species-dilution-info": "", "IP-species-notes": "", "WB-species-checked": "testedAndGuaranteed", "WB-species-dilution-info": "", "WB-species-notes": "<p></p>", "ICCIF-species-checked": "guaranteed", "ICCIF-species-dilution-info": "", "ICCIF-species-notes": "", "FlowCytIntra-species-checked": "guaranteed", "FlowCytIntra-species-dilution-info": "", "FlowCytIntra-species-notes": "" }, "Cow": { "IHCP-species-checked": "notRecommended", "IHCP-species-dilution-info": "", "IHCP-species-notes": "", "IP-species-checked": "notRecommended", "IP-species-dilution-info": "", "IP-species-notes": "", "WB-species-checked": "notRecommended", "WB-species-dilution-info": "", "WB-species-notes": "", "ICCIF-species-checked": "notRecommended", "ICCIF-species-dilution-info": "", "ICCIF-species-notes": "", "FlowCytIntra-species-checked": "notRecommended", "FlowCytIntra-species-dilution-info": "", "FlowCytIntra-species-notes": "" }, "Dog": { "IHCP-species-checked": "notRecommended", "IHCP-species-dilution-info": "", "IHCP-species-notes": "", "IP-species-checked": "notRecommended", "IP-species-dilution-info": "", "IP-species-notes": "", "WB-species-checked": "guaranteed", "WB-species-dilution-info": "", "WB-species-notes": "<p></p>", "ICCIF-species-checked": "notRecommended", "ICCIF-species-dilution-info": "", "ICCIF-species-notes": "", "FlowCytIntra-species-checked": "notRecommended", "FlowCytIntra-species-dilution-info": "", "FlowCytIntra-species-notes": "" }, "Monkey": { "IHCP-species-checked": "notRecommended", "IHCP-species-dilution-info": "", "IHCP-species-notes": "", "IP-species-checked": "notRecommended", "IP-species-dilution-info": "", "IP-species-notes": "", "WB-species-checked": "notRecommended", "WB-species-dilution-info": "", "WB-species-notes": "", "ICCIF-species-checked": "notRecommended", "ICCIF-species-dilution-info": "", "ICCIF-species-notes": "", "FlowCytIntra-species-checked": "notRecommended", "FlowCytIntra-species-dilution-info": "", "FlowCytIntra-species-notes": "" } } }

Product details

ab215966 is the carrier-free version of ab52649.

Patented technology
Our RabMAb® technology is a patented hybridoma-based technology for making rabbit monoclonal antibodies. For details on our patents, please refer to RabMAb® patents.

What are the advantages of a recombinant monoclonal antibody?
This product is a recombinant monoclonal antibody, which offers several advantages including:

  • - High batch-to-batch consistency and reproducibility
  • - Improved sensitivity and specificity
  • - Long-term security of supply
  • - Animal-free batch production

For more information, read more on recombinant antibodies.

Conjugation ready
Our carrier-free antibodies are typically supplied in a PBS-only formulation, purified and free of BSA, sodium azide and glycerol. This conjugation-ready format is designed for use with fluorochromes, metal isotopes, oligonucleotides, and enzymes, which makes them ideal for antibody labelling, functional and cell-based assays, flow-based assays (e.g. mass cytometry) and Multiplex Imaging applications.

Use our conjugation kits for antibody conjugates that are ready-to-use in as little as 20 minutes with 1 minute hands-on-time and 100% antibody recovery: available for fluorescent dyes, HRP, biotin and gold.

Compatibility
This product is compatible with the Maxpar® Antibody Labeling Kit from Fluidigm, without the need for antibody preparation. Maxpar® is a trademark of Fluidigm Canada Inc.

Properties and storage information

Form
Liquid
Purification technique
Affinity purification Protein A
Storage buffer
pH: 7.2 - 7.4 Constituents: PBS
Shipped at conditions
Blue Ice
Appropriate short-term storage conditions
+4°C
Appropriate long-term storage conditions
+4°C
Storage information
Do Not Freeze

Supplementary information

This supplementary information is collated from multiple sources and compiled automatically.

GM130 also known as Golgi matrix protein 130 kDa or GM-130 plays an important role in the organization of the Golgi apparatus. The GM130 protein is vital for maintaining the structure of the Golgi serving as a Golgi marker for researchers. Its molecular weight is approximately 130 kDa. You will commonly find GM130 expressed in cells localizing to the cis-Golgi network. As a Golgi marker it serves as an indication of the integrity and positioning of the Golgi apparatus in the cell.
Biological function summary

GM130 serves as a structural component within the Golgi matrix. It interacts with other proteins such as GRASP65 to form a complex which is essential for Golgi stacking and maintenance of Golgi architecture. This interaction helps regulate transport processes inside cells. GM130 proteins help formation of mini-stacks and transitioning of vesicles. In cells GM130 plays a significant role to maintain efficient protein trafficking through the Golgi network.

Pathways

GM130 interacts with proteins like Rab1 during the vesicular transport pathway. It plays a part in the transport of proteins from the endoplasmic reticulum to the Golgi apparatus. Another related pathway involves SNARE proteins whereby GM130 contributes to membrane docking and fusion events. Through these interactions GM130 modulates the fidelity and specificity of molecular cargo transport within the cell.

GM130 has a connection to neurodegenerative diseases such as frontotemporal dementia. Disruption in GM130 proteins affects Golgi structure and function potentially leading to protein trafficking defects associated with the disorder. GM130 also relates to Alzheimer's disease through its interaction with tau protein. Alterations in GM130's function can influence tau pathology contributing to disease progression.

Product protocols

For this product, it's our understanding that no specific protocols are required. You can visit:

Target data

Peripheral membrane component of the cis-Golgi stack that acts as a membrane skeleton that maintains the structure of the Golgi apparatus, and as a vesicle thether that facilitates vesicle fusion to the Golgi membrane (Probable) (PubMed : 16489344). Required for normal protein transport from the endoplasmic reticulum to the Golgi apparatus and the cell membrane (By similarity). Together with p115/USO1 and STX5, involved in vesicle tethering and fusion at the cis-Golgi membrane to maintain the stacked and inter-connected structure of the Golgi apparatus. Plays a central role in mitotic Golgi disassembly : phosphorylation at Ser-37 by CDK1 at the onset of mitosis inhibits the interaction with p115/USO1, preventing tethering of COPI vesicles and thereby inhibiting transport through the Golgi apparatus during mitosis (By similarity). Also plays a key role in spindle pole assembly and centrosome organization (PubMed : 26165940). Promotes the mitotic spindle pole assembly by activating the spindle assembly factor TPX2 to nucleate microtubules around the Golgi and capture them to couple mitotic membranes to the spindle : upon phosphorylation at the onset of mitosis, GOLGA2 interacts with importin-alpha via the nuclear localization signal region, leading to recruit importin-alpha to the Golgi membranes and liberate the spindle assembly factor TPX2 from importin-alpha. TPX2 then activates AURKA kinase and stimulates local microtubule nucleation. Upon filament assembly, nascent microtubules are further captured by GOLGA2, thus linking Golgi membranes to the spindle (PubMed : 19242490, PubMed : 26165940). Regulates the meiotic spindle pole assembly, probably via the same mechanism (By similarity). Also regulates the centrosome organization (PubMed : 18045989, PubMed : 19109421). Also required for the Golgi ribbon formation and glycosylation of membrane and secretory proteins (PubMed : 16489344, PubMed : 17314401).
See full target information Golgin subfamily A member 2

Publications (29)

Recent publications for all applications. Explore the full list and refine your search

The FEBS journal 290:3966-3982 PubMed36802168

2023

Spatial position is a key determinant of N-glycan functionality of the scavenger receptor cysteine-rich domain of human hepsin.

Applications

Unspecified application

Species

Unspecified reactive species

Shijin Sun,Kaixuan Hu,Lina Wang,Meng Liu,Yikai Zhang,Ningzheng Dong,Qingyu Wu

The Journal of biological chemistry 298:102643 PubMed36309092

2022

Transmembrane serine protease TMPRSS2 implicated in SARS-CoV-2 infection is autoactivated intracellularly and requires N-glycosylation for regulation.

Applications

Unspecified application

Species

Unspecified reactive species

Yikai Zhang,Shijin Sun,Chunyu Du,Kaixuan Hu,Ce Zhang,Meng Liu,Qingyu Wu,Ningzheng Dong

Frontiers in cell and developmental biology 8:582723 PubMed33585440

2021

Exosomal Long Non-coding RNA HOTTIP Increases Resistance of Colorectal Cancer Cells to Mitomycin via Impairing MiR-214-Mediated Degradation of KPNA3.

Applications

Unspecified application

Species

Unspecified reactive species

Xijuan Chen,Yingqiang Liu,Qinglan Zhang,Baoxing Liu,Yan Cheng,Yonglei Zhang,Yanan Sun,Junqi Liu,Hong Gen

Oncotarget 7:12235-53 PubMed26934330

2016

A bovine herpesvirus 1 pUL51 deletion mutant shows impaired viral growth in vitro and reduced virulence in rabbits.

Applications

Unspecified application

Species

Unspecified reactive species

Sohail Raza,Mingliang Deng,Farzana Shahin,Kui Yang,Changmin Hu,Yingyu Chen,Huanchun Chen,Aizhen Guo

Proceedings of the National Academy of Sciences of 113:1931-6 PubMed26839413

2016

α-Synuclein-induced lysosomal dysfunction occurs through disruptions in protein trafficking in human midbrain synucleinopathy models.

Applications

Unspecified application

Species

Unspecified reactive species

Joseph R Mazzulli,Friederike Zunke,Ole Isacson,Lorenz Studer,Dimitri Krainc

Journal of lipid research 56:1625-32 PubMed26108224

2015

Site-1 protease-activated formation of lysosomal targeting motifs is independent of the lipogenic transcription control.

Applications

Unspecified application

Species

Mouse

Sarah Klünder,Jörg Heeren,Sandra Markmann,René Santer,Thomas Braulke,Sandra Pohl

Cell communication and signaling : CCS 13:16 PubMed25889640

2015

Small heat shock protein 20 (Hsp20) facilitates nuclear import of protein kinase D 1 (PKD1) during cardiac hypertrophy.

Applications

Unspecified application

Species

Unspecified reactive species

Yuan Yan Sin,Tamara P Martin,Lauren Wills,Susan Currie,George S Baillie

BMC genetics 15:135 PubMed25476608

2014

Targeted disruption of Tbc1d20 with zinc-finger nucleases causes cataracts and testicular abnormalities in mice.

Applications

Unspecified application

Species

Unspecified reactive species

Anna Kyunglim Park,Ryan P Liegel,Adam Ronchetti,Allison D Ebert,Aron Geurts,Duska J Sidjanin

Physiological reports 2: PubMed25413317

2014

Epithelial sodium channel abundance is decreased by an unfolded protein response induced by hyperosmolality.

Applications

WB, ICC/IF

Species

Mouse, Mouse

Gilles Crambert,Thomas Ernandez,Christine Lamouroux,Isabelle Roth,Eva Dizin,Pierre-Yves Martin,Eric Féraille,Udo Hasler

Science (New York, N.Y.) 346:1256898 PubMed25359980

2014

Membrane trafficking. The specificity of vesicle traffic to the Golgi is encoded in the golgin coiled-coil proteins.

Applications

Unspecified application

Species

Unspecified reactive species

Mie Wong,Sean Munro
View all publications

Product promise

We are committed to supporting your work with high-quality reagents, and we're here for you every step of the way. In the unlikely event that one of our products does not perform as expected, you're protected by our Product Promise.
For full details, please see our Terms & Conditions

Please note: All products are 'FOR RESEARCH USE ONLY. NOT FOR USE IN DIAGNOSTIC OR THERAPEUTIC PROCEDURES'.

For licensing inquiries, please contact partnerships@abcam.com