JavaScript is disabled in your browser. Please enable JavaScript to view this website.
AB224246

Anti-GM2A antibody

Be the first to review this product! Submit a review

|

(1 Publication)

Rabbit Polyclonal GM2A antibody. Suitable for IHC-P, WB and reacts with Human samples. Cited in 1 publication. Immunogen corresponding to Recombinant Fragment Protein within Human Ganglioside GM2 activator aa 50 to C-terminus.

View Alternative Names

Ganglioside GM2 activator, Cerebroside sulfate activator protein, GM2-AP, Sphingolipid activator protein 3, SAP-3, GM2A

5 Images
Immunohistochemistry (Formalin/PFA-fixed paraffin-embedded sections) - Anti-GM2A antibody (AB224246)
  • IHC-P

Supplier Data

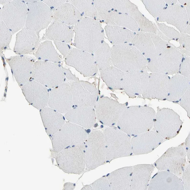
Immunohistochemistry (Formalin/PFA-fixed paraffin-embedded sections) - Anti-GM2A antibody (AB224246)

Immunohistochemical analysis of paraffin-embedded human skeletal muscle tissue staining GM2A with ab224246 at 1/200 dilution.

Immunohistochemistry (Formalin/PFA-fixed paraffin-embedded sections) - Anti-GM2A antibody (AB224246)
  • IHC-P

Supplier Data

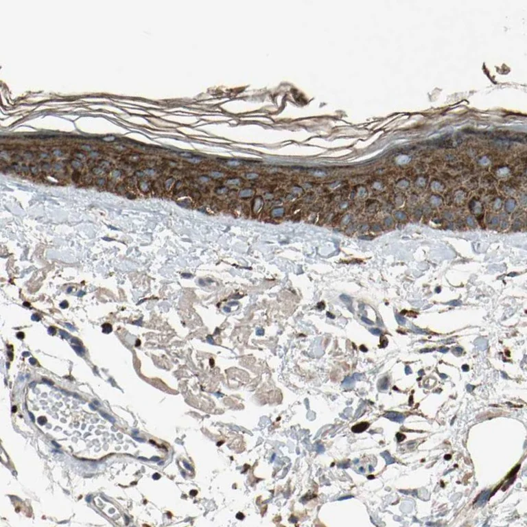
Immunohistochemistry (Formalin/PFA-fixed paraffin-embedded sections) - Anti-GM2A antibody (AB224246)

Immunohistochemical analysis of paraffin-embedded human skin tissue staining GM2A with ab224246 at 1/200 dilution.

Immunohistochemistry (Formalin/PFA-fixed paraffin-embedded sections) - Anti-GM2A antibody (AB224246)
  • IHC-P

Supplier Data

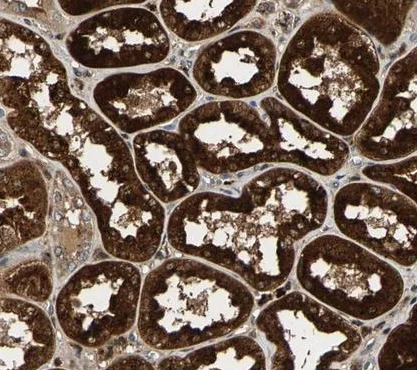
Immunohistochemistry (Formalin/PFA-fixed paraffin-embedded sections) - Anti-GM2A antibody (AB224246)

Paraffin embedded human kidney tissue stained for GM2A with ab224246 (1/200 dilution) in immunohistochemical analysis.

Western blot - Anti-GM2A antibody (AB224246)
  • WB

Supplier Data

Western blot - Anti-GM2A antibody (AB224246)

Loading control : Anti-PFN1.

All lanes:

Western blot - Anti-GM2A antibody (ab224246) at 0.4 µg/mL

Lane 1:

SK-MEL-30 cell lysates

Lane 2:

MCF-7 cell lysates

Predicted band size: 20 kDa

false

Western blot - Anti-GM2A antibody (AB224246)
  • WB

Supplier Data

Western blot - Anti-GM2A antibody (AB224246)

All lanes:

Western blot - Anti-GM2A antibody (ab224246) at 1/100 dilution

All lanes:

RT4 (human urinary bladder cancer cell line) cell lysate

Predicted band size: 20 kDa,21 kDa

false

Key facts

Host species

Rabbit

Clonality

Polyclonal

Isotype

IgG

Carrier free

No

Reacts with

Human

Applications

WB, IHC-P

applications

Immunogen

Recombinant Fragment Protein within Human Ganglioside GM2 activator aa 50 to C-terminus. The exact immunogen used to generate this antibody is proprietary information.

P17900

Reactivity data

{ "title": "Reactivity Data", "filters": { "stats": ["", "Species", "Dilution Info", "Notes"], "tabs": { "all-applications": {"fullname" : "All Applications", "shortname": "All Applications"}, "IHCP" : {"fullname" : "Immunohistochemistry (Formalin/PFA-fixed paraffin-embedded sections)", "shortname":"IHC-P"}, "WB" : {"fullname" : "Western blot", "shortname":"WB"} }, "product-promise": { "all": "all", "testedAndGuaranteed": "tested", "guaranteed": "expected", "predicted": "predicted", "notRecommended": "not-recommended" } }, "values": { "Human": { "IHCP-species-checked": "testedAndGuaranteed", "IHCP-species-dilution-info": "1/200 - 1/500", "IHCP-species-notes": "<p></p> Perform heat-mediated antigen retrieval with citrate buffer pH 6 before commencing with IHC staining protocol.", "WB-species-checked": "testedAndGuaranteed", "WB-species-dilution-info": "0.04-0.4 µg/mL", "WB-species-notes": "<p></p>" }, "Cynomolgus monkey": { "IHCP-species-checked": "predicted", "IHCP-species-dilution-info": "", "IHCP-species-notes": "", "WB-species-checked": "predicted", "WB-species-dilution-info": "", "WB-species-notes": "" } } }

Properties and storage information

Form
Liquid
Purification technique
Affinity purification Immunogen
Storage buffer
pH: 7.2 Preservative: 0.02% Sodium azide Constituents: PBS, 40% Glycerol (glycerin, glycerine)
Shipped at conditions
Blue Ice
Appropriate short-term storage duration
1-2 weeks
Appropriate short-term storage conditions
+4°C
Appropriate long-term storage conditions
-20°C
Aliquoting information
Upon delivery aliquot
Storage information
Avoid freeze / thaw cycle

Supplementary information

This supplementary information is collated from multiple sources and compiled automatically.

The human GM2A also known as GM2 activator protein functions mechanically as a lysosomal lipid transfer protein. It possesses a mass of approximately 23 kDa. It is expressed mainly in the tissues that have a high lysosomal activity like the brain. It binds specific glycolipids such as GM2 ganglioside facilitating their interaction with enzymatic components in the lysosome.
Biological function summary

The GM2A protein belongs to a family of proteins that assist in the degradation of complex lipids. It is an essential component of the ganglioside degradation process where it acts as a cofactor rather than being part of any complex. GM2A helps transfer lipids to enzymes such as β-hexosaminidase A ensuring proper breakdown and recycling of gangliosides particularly in neuronal tissues.

Pathways

GM2A plays an important role in the lysosomal degradation pathway specifically involving lipid metabolism. The degradation of gangliosides utilizes GM2A to facilitate interaction between GM2 ganglioside and proteins such as β-hexosaminidase A a necessary step in breaking down these complex lipids. Another significant pathway relates to its role in maintaining the balance of sphingolipid metabolism highlighting its collaboration with enzymes involved in this process.

Impaired activity or mutation in GM2A can lead to lipid storage diseases notably Tay-Sachs disease. Errors in GM2A disrupt the breakdown of gangliosides resulting in harmful accumulation within lysosomes. This dysfunction also involves the β-hexosaminidase A enzyme reinforcing the link between these proteins in the pathological buildup of gangliosides associated with Tay-Sachs disease.

Product protocols

For this product, it's our understanding that no specific protocols are required. You can visit:

Target data

The large binding pocket can accommodate several single chain phospholipids and fatty acids, GM2A also exhibits some calcium-independent phospholipase activity (By similarity). Binds gangliosides and stimulates ganglioside GM2 degradation. It stimulates only the breakdown of ganglioside GM2 and glycolipid GA2 by beta-hexosaminidase A. It extracts single GM2 molecules from membranes and presents them in soluble form to beta-hexosaminidase A for cleavage of N-acetyl-D-galactosamine and conversion to GM3 (By similarity). Has cholesterol transfer activity (PubMed : 17552909).
See full target information Ganglioside GM2 activator

Publications (1)

Recent publications for all applications. Explore the full list and refine your search

Nature communications 12:5772 PubMed34599178

2021

Ring finger protein 213 assembles into a sensor for ISGylated proteins with antimicrobial activity.

Applications

Unspecified application

Species

Unspecified reactive species

Fabien Thery,Lia Martina,Caroline Asselman,Yifeng Zhang,Madeleine Vessely,Heidi Repo,Koen Sedeyn,George D Moschonas,Clara Bredow,Qi Wen Teo,Jingshu Zhang,Kevin Leandro,Denzel Eggermont,Delphine De Sutter,Katie Boucher,Tino Hochepied,Nele Festjens,Nico Callewaert,Xavier Saelens,Bart Dermaut,Klaus-Peter Knobeloch,Antje Beling,Sumana Sanyal,Lilliana Radoshevich,Sven Eyckerman,Francis Impens
View all publications

Product promise

We are committed to supporting your work with high-quality reagents, and we're here for you every step of the way. In the unlikely event that one of our products does not perform as expected, you're protected by our Product Promise.
For full details, please see our Terms & Conditions

Please note: All products are 'FOR RESEARCH USE ONLY. NOT FOR USE IN DIAGNOSTIC OR THERAPEUTIC PROCEDURES'.

For licensing inquiries, please contact partnerships@abcam.com