JavaScript is disabled in your browser. Please enable JavaScript to view this website.
AB313588

Anti-GM2A antibody [EPR28371-75] - BSA and Azide free

Be the first to review this product! Submit a review

|

(0 Publication)

Rabbit Recombinant Monoclonal GM2A antibody. Carrier free. Suitable for WB, IHC-P and reacts with Human, Mouse, Rat samples.

View Alternative Names

Ganglioside GM2 activator, Cerebroside sulfate activator protein, GM2-AP, Sphingolipid activator protein 3, SAP-3, GM2A

9 Images
Immunohistochemistry (Formalin/PFA-fixed paraffin-embedded sections) - Anti-GM2A antibody [EPR28371-75] - BSA and Azide free (AB313588)
  • IHC-P

Supplier Data

Immunohistochemistry (Formalin/PFA-fixed paraffin-embedded sections) - Anti-GM2A antibody [EPR28371-75] - BSA and Azide free (AB313588)

This data was developed using ab313587, the same antibody clone in a different buffer formulation. Immunohistochemical analysis of paraffin-embedded Human skeletal muscl tissue labeling GM2A with ab313587 at 1/2000 (0.241 ug/ml) followed by a ready to use LeicaDS9800 (Bond™ Polymer Refine Detection). Negative control : no staining on human skeletal muscle. The section was incubated with ab313587 for 30 mins at room temperature.The immunostaining was performed on a Leica Biosystems BOND® RX instrument Counterstained with Hematoxylin. Secondary antibody only control : Secondary antibody is a ready to use LeicaDS9800 (Bond™ Polymer Refine Detection). Heat mediated antigen retrieval was performed with Tris-EDTA buffer (pH 9.0, Epitope Retrieval Solution2) for 20 mins

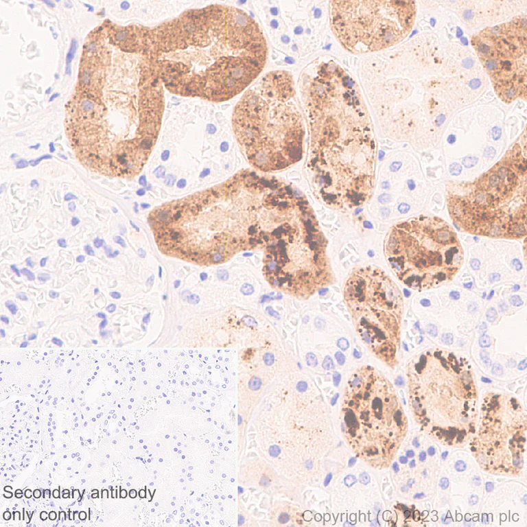
Immunohistochemistry (Formalin/PFA-fixed paraffin-embedded sections) - Anti-GM2A antibody [EPR28371-75] - BSA and Azide free (AB313588)
  • IHC-P

Supplier Data

Immunohistochemistry (Formalin/PFA-fixed paraffin-embedded sections) - Anti-GM2A antibody [EPR28371-75] - BSA and Azide free (AB313588)

This data was developed using ab313587, the same antibody clone in a different buffer formulation. Immunohistochemical analysis of paraffin-embedded Human kidney tissue labeling GM2A with ab313587 at 1/2000 (0.241 ug/ml) followed by a ready to use LeicaDS9800 (Bond™ Polymer Refine Detection). Positive staining on human kidney. The section was incubated with ab313587 for 30 mins at room temperature.The immunostaining was performed on a Leica Biosystems BOND® RX instrument Counterstained with Hematoxylin. Secondary antibody only control : Secondary antibody is a ready to use LeicaDS9800 (Bond™ Polymer Refine Detection). Heat mediated antigen retrieval was performed with Tris-EDTA buffer (pH 9.0, Epitope Retrieval Solution2) for 20 mins

Immunohistochemistry (Formalin/PFA-fixed paraffin-embedded sections) - Anti-GM2A antibody [EPR28371-75] - BSA and Azide free (AB313588)
  • IHC-P

Supplier Data

Immunohistochemistry (Formalin/PFA-fixed paraffin-embedded sections) - Anti-GM2A antibody [EPR28371-75] - BSA and Azide free (AB313588)

This data was developed using ab313587, the same antibody clone in a different buffer formulation. Immunohistochemical analysis of paraffin-embedded Rat skeletal muscle tissue labeling GM2A with ab313587 at 1/500 (0.962 ug/ml) followed by a ready to use LeicaDS9800 (Bond™ Polymer Refine Detection). Negative control : no staining on rat skeletal muscle. The section was incubated with ab313587 for 30 mins at room temperature.The immunostaining was performed on a Leica Biosystems BOND® RX instrument Counterstained with Hematoxylin. Secondary antibody only control : Secondary antibody is a ready to use LeicaDS9800 (Bond™ Polymer Refine Detection). Heat mediated antigen retrieval was performed with Tris-EDTA buffer (pH 9.0, Epitope Retrieval Solution2) for 20 mins

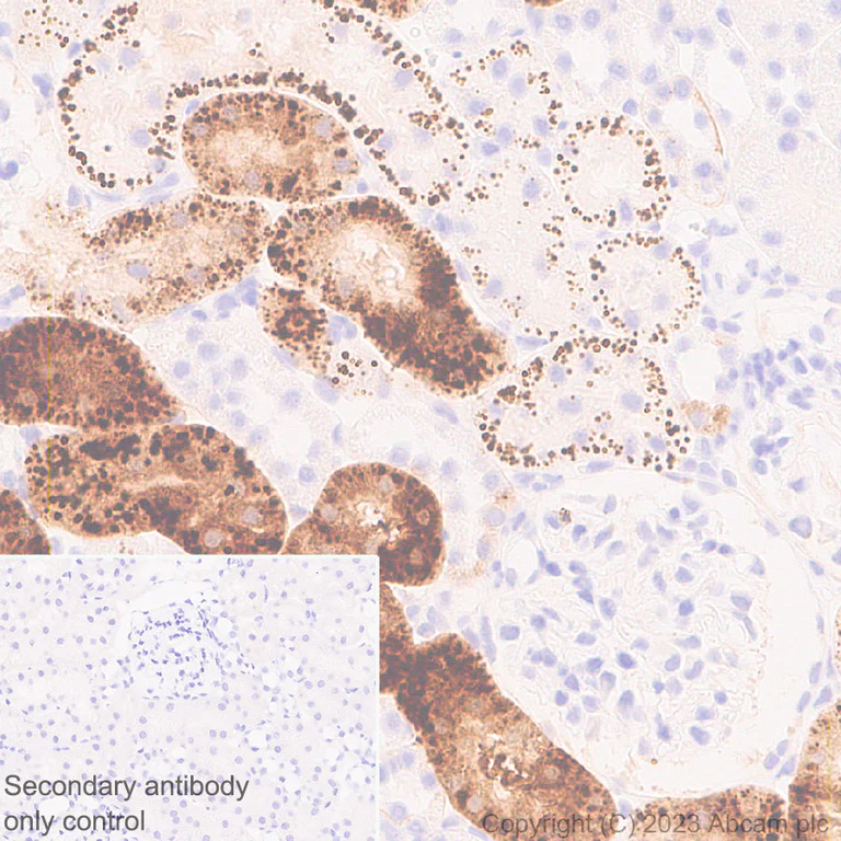
Immunohistochemistry (Formalin/PFA-fixed paraffin-embedded sections) - Anti-GM2A antibody [EPR28371-75] - BSA and Azide free (AB313588)
  • IHC-P

Supplier Data

Immunohistochemistry (Formalin/PFA-fixed paraffin-embedded sections) - Anti-GM2A antibody [EPR28371-75] - BSA and Azide free (AB313588)

This data was developed using ab313587, the same antibody clone in a different buffer formulation. Immunohistochemical analysis of paraffin-embedded Rat kidney tissue labeling GM2A with ab313587 at 1/500 (0.962 ug/ml) followed by a ready to use LeicaDS9800 (Bond™ Polymer Refine Detection). Positive staining on rat kidney (PMID : 20720524). The section was incubated with ab313587 for 30 mins at room temperature.The immunostaining was performed on a Leica Biosystems BOND® RX instrument Counterstained with Hematoxylin. Secondary antibody only control : Secondary antibody is a ready to use LeicaDS9800 (Bond™ Polymer Refine Detection). Heat mediated antigen retrieval was performed with Tris-EDTA buffer (pH 9.0, Epitope Retrieval Solution2) for 20 mins

Western blot - Anti-GM2A antibody [EPR28371-75] - BSA and Azide free (AB313588)
  • WB

Supplier Data

Western blot - Anti-GM2A antibody [EPR28371-75] - BSA and Azide free (AB313588)

Blocking and diluting buffer and concentration : 5% NFDM/TBST.

This blot was developed using a high sensitivity ECL substrate. The high-sensitivity ECL substrate used allows for the detection of proteins in the mid-femtogram range.

In Western blot, anti-GAPDH antibody (ab181602) loading control staining at 1/200000 dilution.

All lanes:

Western blot - Anti-GM2A antibody [EPR28371-75] (<a href='/en-us/products/primary-antibodies/gm2a-antibody-epr28371-75-ab313587'>ab313587</a>) at 1/1000 dilution

All lanes:

Human cerebellum tissue lysate at 20 µg

Secondary

All lanes:

Western blot - Goat Anti-Rabbit IgG H&L (HRP) (<a href='/en-us/products/secondary-antibodies/goat-rabbit-igg-h-l-hrp-ab97051'>ab97051</a>) at 1/100000 dilution

Observed band size: 20 kDa

true

Exposure time: 180s

Western blot - Anti-GM2A antibody [EPR28371-75] - BSA and Azide free (AB313588)
  • WB

Supplier Data

Western blot - Anti-GM2A antibody [EPR28371-75] - BSA and Azide free (AB313588)

This data was developed using ab313587, the same antibody clone in a different buffer formulation.

Blocking and diluting buffer and concentration : 5% NFDM/TBST.

The expression profile/ molecular weight observed is consistent with what has been described in the literature (PMID : 27002480).

In Western blot, anti-GAPDH antibody (ab181602) loading control staining at 1/200000 dilution.

All lanes:

Western blot - Anti-GM2A antibody [EPR28371-75] (<a href='/en-us/products/primary-antibodies/gm2a-antibody-epr28371-75-ab313587'>ab313587</a>) at 1/1000 dilution

Lane 1:

SK-BR-3 (human breast adenocarcinoma epithelial cell) transfected with scrambled siRNA control whole cell lysate at 20 µg

Lane 2:

SK-BR-3 transfected with siRNA specifically targeti GM2A whole cell lysate at 20 µg

Secondary

All lanes:

Western blot - Goat Anti-Rabbit IgG H&L (HRP) (<a href='/en-us/products/secondary-antibodies/goat-rabbit-igg-h-l-hrp-ab97051'>ab97051</a>) at 1/100000 dilution

Observed band size: 20 kDa,21 kDa

false

Exposure time: 15s

Western blot - Anti-GM2A antibody [EPR28371-75] - BSA and Azide free (AB313588)
  • WB

Supplier Data

Western blot - Anti-GM2A antibody [EPR28371-75] - BSA and Azide free (AB313588)

This data was developed using ab313587, the same antibody clone in a different buffer formulation. Blocking and diluting buffer and concentration : 5% NFDM/TBST Low expression : skeletal muscle. In Western blot, anti-GAPDH antibody (ab181602) loading control staining at 1/200000 dilution. Exposure time : 180 seconds

All lanes:

Western blot - Anti-GM2A antibody [EPR28371-75] (<a href='/en-us/products/primary-antibodies/gm2a-antibody-epr28371-75-ab313587'>ab313587</a>) at 1/1000 dilution

Lane 1:

Human kidney tissue lysate at 20 µg

Lane 2:

Human skeletal muscle tissue lysate at 20 µg

Secondary

All lanes:

Western blot - Goat Anti-Rabbit IgG H&L (HRP) (<a href='/en-us/products/secondary-antibodies/goat-rabbit-igg-h-l-hrp-ab97051'>ab97051</a>) at 1/100000 dilution

Observed band size: 20 kDa

false

Exposure time: 180s

Western blot - Anti-GM2A antibody [EPR28371-75] - BSA and Azide free (AB313588)
  • WB

Supplier Data

Western blot - Anti-GM2A antibody [EPR28371-75] - BSA and Azide free (AB313588)

This data was developed using ab313587, the same antibody clone in a different buffer formulation.

Blocking and diluting buffer and concentration : 5% NFDM/TBST.

Low expression : MCF7 (PMID : 27002480).

The expression profile/ molecular weight observed is consistent with what has been described in the literature (PMID : 27002480).

In Western blot, anti-GAPDH antibody (ab181602) loading control staining at 1/200000 dilution.

All lanes:

Western blot - Anti-GM2A antibody [EPR28371-75] (<a href='/en-us/products/primary-antibodies/gm2a-antibody-epr28371-75-ab313587'>ab313587</a>) at 1/1000 dilution

Lane 1:

SK-BR-3 (human breast adenocarcinoma epithelial cell) whole cell lysate at 20 µg

Lane 2:

MCF7 (human breast adenocarcinoma epithelial cell) whole cell lysate at 20 µg

Secondary

All lanes:

Western blot - Goat Anti-Rabbit IgG H&L (HRP) (<a href='/en-us/products/secondary-antibodies/goat-rabbit-igg-h-l-hrp-ab97051'>ab97051</a>) at 1/100000 dilution

Observed band size: 20 kDa,21 kDa

false

Exposure time: 26s

Western blot - Anti-GM2A antibody [EPR28371-75] - BSA and Azide free (AB313588)
  • WB

Supplier Data

Western blot - Anti-GM2A antibody [EPR28371-75] - BSA and Azide free (AB313588)

This data was developed using ab313587, the same antibody clone in a different buffer formulation. Blocking and diluting buffer and concentration : 5% NFDM/TBST Low expression : skeletal muscle. In Western blot, anti-GAPDH antibody (ab181602) loading control staining at 1/200000 dilution. Exposure time : 15 seconds

All lanes:

Western blot - Anti-GM2A antibody [EPR28371-75] (<a href='/en-us/products/primary-antibodies/gm2a-antibody-epr28371-75-ab313587'>ab313587</a>) at 1/1000 dilution

Lane 1:

Mouse kidney tissue lysate at 20 µg

Lane 2:

Mouse skeletal muscle tissue lysate at 20 µg

Lane 3:

Rat kidney tissue lysate at 20 µg

Lane 4:

Rat skeletal muscle tissue lysate at 20 µg

Secondary

All lanes:

Western blot - Goat Anti-Rabbit IgG H&L (HRP) (<a href='/en-us/products/secondary-antibodies/goat-rabbit-igg-h-l-hrp-ab97051'>ab97051</a>) at 1/100000 dilution

Observed band size: 20 kDa

false

Exposure time: 15s

Key facts

Host species

Rabbit

Clonality

Monoclonal

Clone number

EPR28371-75

Isotype

IgG

Carrier free

Yes

Reacts with

Human, Mouse, Rat

Applications

IHC-P, WB

applications

Immunogen

The exact immunogen used to generate this antibody is proprietary information.

Specificity

Unsuitable for mouse IHC-P.

Reactivity data

{ "title": "Reactivity Data", "filters": { "stats": ["", "Species", "Dilution Info", "Notes"], "tabs": { "all-applications": {"fullname" : "All Applications", "shortname": "All Applications"}, "WB" : {"fullname" : "Western blot", "shortname":"WB"}, "IHCP" : {"fullname" : "Immunohistochemistry (Formalin/PFA-fixed paraffin-embedded sections)", "shortname":"IHC-P"}, "ICCIF" : {"fullname" : "Immunocytochemistry/ Immunofluorescence", "shortname":"ICC/IF"}, "FlowCytIntra" : {"fullname" : "Flow Cytometry (Intracellular)", "shortname":"Flow Cyt (Intra)"}, "IP" : {"fullname" : "Immunoprecipitation", "shortname":"IP"} }, "product-promise": { "all": "all", "testedAndGuaranteed": "tested", "guaranteed": "expected", "predicted": "predicted", "notRecommended": "not-recommended" } }, "values": { "Human": { "WB-species-checked": "testedAndGuaranteed", "WB-species-dilution-info": "", "WB-species-notes": "<p></p>", "IHCP-species-checked": "testedAndGuaranteed", "IHCP-species-dilution-info": "", "IHCP-species-notes": "<p></p>", "ICCIF-species-checked": "notRecommended", "ICCIF-species-dilution-info": "", "ICCIF-species-notes": "<p></p>", "FlowCytIntra-species-checked": "notRecommended", "FlowCytIntra-species-dilution-info": "", "FlowCytIntra-species-notes": "<p></p>", "IP-species-checked": "notRecommended", "IP-species-dilution-info": "", "IP-species-notes": "<p></p>" }, "Mouse": { "WB-species-checked": "testedAndGuaranteed", "WB-species-dilution-info": "", "WB-species-notes": "<p></p>", "IHCP-species-checked": "notRecommended", "IHCP-species-dilution-info": "", "IHCP-species-notes": "<p></p>", "ICCIF-species-checked": "notRecommended", "ICCIF-species-dilution-info": "", "ICCIF-species-notes": "", "FlowCytIntra-species-checked": "notRecommended", "FlowCytIntra-species-dilution-info": "", "FlowCytIntra-species-notes": "", "IP-species-checked": "notRecommended", "IP-species-dilution-info": "", "IP-species-notes": "" }, "Rat": { "WB-species-checked": "testedAndGuaranteed", "WB-species-dilution-info": "", "WB-species-notes": "<p></p>", "IHCP-species-checked": "testedAndGuaranteed", "IHCP-species-dilution-info": "", "IHCP-species-notes": "<p></p>", "ICCIF-species-checked": "notRecommended", "ICCIF-species-dilution-info": "", "ICCIF-species-notes": "", "FlowCytIntra-species-checked": "notRecommended", "FlowCytIntra-species-dilution-info": "", "FlowCytIntra-species-notes": "", "IP-species-checked": "notRecommended", "IP-species-dilution-info": "", "IP-species-notes": "" } } }

Product details

Patented technology
Our RabMAb® technology is a patented hybridoma-based technology for making rabbit monoclonal antibodies. For details on our patents, please refer to RabMAb® patents.

What are the advantages of a recombinant monoclonal antibody?
This product is a recombinant monoclonal antibody, which offers several advantages including:

  • - High batch-to-batch consistency and reproducibility
  • - Improved sensitivity and specificity
  • - Long-term security of supply
  • - Animal-free batch production

For more information, read more on recombinant antibodies.

Conjugation ready
Our carrier-free antibodies are typically supplied in a PBS-only formulation, purified and free of BSA, sodium azide and glycerol. This conjugation-ready format is designed for use with fluorochromes, metal isotopes, oligonucleotides, and enzymes, which makes them ideal for antibody labelling, functional and cell-based assays, flow-based assays (e.g. mass cytometry) and Multiplex Imaging applications.

Use our conjugation kits for antibody conjugates that are ready-to-use in as little as 20 minutes with 1 minute hands-on-time and 100% antibody recovery: available for fluorescent dyes, HRP, biotin and gold.

Compatibility
This product is compatible with the Maxpar® Antibody Labeling Kit from Fluidigm, without the need for antibody preparation. Maxpar® is a trademark of Fluidigm Canada Inc.

Properties and storage information

Form
Liquid
Purification technique
Affinity purification Protein A
Storage buffer
pH: 7.2 - 7.4 Constituents: PBS
Shipped at conditions
Blue Ice
Appropriate short-term storage conditions
+4°C
Appropriate long-term storage conditions
+4°C

Supplementary information

This supplementary information is collated from multiple sources and compiled automatically.

The human GM2A also known as GM2 activator protein functions mechanically as a lysosomal lipid transfer protein. It possesses a mass of approximately 23 kDa. It is expressed mainly in the tissues that have a high lysosomal activity like the brain. It binds specific glycolipids such as GM2 ganglioside facilitating their interaction with enzymatic components in the lysosome.
Biological function summary

The GM2A protein belongs to a family of proteins that assist in the degradation of complex lipids. It is an essential component of the ganglioside degradation process where it acts as a cofactor rather than being part of any complex. GM2A helps transfer lipids to enzymes such as β-hexosaminidase A ensuring proper breakdown and recycling of gangliosides particularly in neuronal tissues.

Pathways

GM2A plays an important role in the lysosomal degradation pathway specifically involving lipid metabolism. The degradation of gangliosides utilizes GM2A to facilitate interaction between GM2 ganglioside and proteins such as β-hexosaminidase A a necessary step in breaking down these complex lipids. Another significant pathway relates to its role in maintaining the balance of sphingolipid metabolism highlighting its collaboration with enzymes involved in this process.

Impaired activity or mutation in GM2A can lead to lipid storage diseases notably Tay-Sachs disease. Errors in GM2A disrupt the breakdown of gangliosides resulting in harmful accumulation within lysosomes. This dysfunction also involves the β-hexosaminidase A enzyme reinforcing the link between these proteins in the pathological buildup of gangliosides associated with Tay-Sachs disease.

Product protocols

For this product, it's our understanding that no specific protocols are required. You can visit:

Target data

The large binding pocket can accommodate several single chain phospholipids and fatty acids, GM2A also exhibits some calcium-independent phospholipase activity (By similarity). Binds gangliosides and stimulates ganglioside GM2 degradation. It stimulates only the breakdown of ganglioside GM2 and glycolipid GA2 by beta-hexosaminidase A. It extracts single GM2 molecules from membranes and presents them in soluble form to beta-hexosaminidase A for cleavage of N-acetyl-D-galactosamine and conversion to GM3 (By similarity). Has cholesterol transfer activity (PubMed : 17552909).
See full target information Ganglioside GM2 activator

Product promise

We are committed to supporting your work with high-quality reagents, and we're here for you every step of the way. In the unlikely event that one of our products does not perform as expected, you're protected by our Product Promise.
For full details, please see our Terms & Conditions

Please note: All products are 'FOR RESEARCH USE ONLY. NOT FOR USE IN DIAGNOSTIC OR THERAPEUTIC PROCEDURES'.

For licensing inquiries, please contact partnerships@abcam.com