JavaScript is disabled in your browser. Please enable JavaScript to view this website.
AB238613

Anti-GMDS antibody

Be the first to review this product! Submit a review

|

(1 Publication)

Rabbit Polyclonal GMDS antibody. Suitable for IHC-P, ICC/IF and reacts with Human samples. Cited in 1 publication. Immunogen corresponding to Recombinant Fragment Protein within Human GDP-mannose 4,6 dehydratase aa 200-350.

View Alternative Names

GDP-D-mannose dehydratase, GMD, GMDS

2 Images
Immunocytochemistry/ Immunofluorescence - Anti-GMDS antibody (AB238613)
  • ICC/IF

Supplier Data

Immunocytochemistry/ Immunofluorescence - Anti-GMDS antibody (AB238613)

HeLa (human epithelial cell line from cervix adenocarcinoma) cells stained for GMDS (Green) using ab238613 at 1/133 dilution in ICC/IF, followed by Alexa Fluor® 488-congugated Goat Anti-Rabbit IgG (H+L) secondary antibody.

The cells were fixed in 4% formaldehyde, permeabilized using 0.2% Triton X-100 and blocked in 10% normal Goat Serum. The cells were then incubated with the antibody overnight at 4°C. The nuclear counterstain was DAPI (Blue).

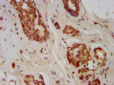
Immunohistochemistry (Formalin/PFA-fixed paraffin-embedded sections) - Anti-GMDS antibody (AB238613)
  • IHC-P

Supplier Data

Immunohistochemistry (Formalin/PFA-fixed paraffin-embedded sections) - Anti-GMDS antibody (AB238613)

Paraffin-embedded human breast cancer tissue stained for GMDS using ab238613 at 1/400 dilution in immunohistochemical analysis.

After dewaxing and hydration, antigen retrieval was mediated by high pressure in a citrate buffer (pH 6.0). Section was blocked with 10% normal goat serum 30 minutes at RT. Then primary antibody (1% BSA) was incubated at 4°C overnight. The primary is detected by a biotinylated secondary antibody and visualized using an HRP conjugated SP system.

Key facts

Host species

Rabbit

Clonality

Polyclonal

Isotype

IgG

Carrier free

No

Reacts with

Human

Applications

IHC-P, ICC/IF

applications

Immunogen

Recombinant Fragment Protein within Human GDP-mannose 4,6 dehydratase aa 200-350. The exact immunogen used to generate this antibody is proprietary information.

O60547

Reactivity data

{ "title": "Reactivity Data", "filters": { "stats": ["", "Species", "Dilution Info", "Notes"], "tabs": { "all-applications": {"fullname" : "All Applications", "shortname": "All Applications"}, "IHCP" : {"fullname" : "Immunohistochemistry (Formalin/PFA-fixed paraffin-embedded sections)", "shortname":"IHC-P"}, "ICCIF" : {"fullname" : "Immunocytochemistry/ Immunofluorescence", "shortname":"ICC/IF"} }, "product-promise": { "all": "all", "testedAndGuaranteed": "tested", "guaranteed": "expected", "predicted": "predicted", "notRecommended": "not-recommended" } }, "values": { "Human": { "IHCP-species-checked": "testedAndGuaranteed", "IHCP-species-dilution-info": "1/200 - 1/500", "IHCP-species-notes": "<p></p>", "ICCIF-species-checked": "testedAndGuaranteed", "ICCIF-species-dilution-info": "1/50 - 1/200", "ICCIF-species-notes": "<p></p>" }, "Mouse": { "IHCP-species-checked": "predicted", "IHCP-species-dilution-info": "", "IHCP-species-notes": "", "ICCIF-species-checked": "predicted", "ICCIF-species-dilution-info": "", "ICCIF-species-notes": "" }, "Chinese hamster": { "IHCP-species-checked": "predicted", "IHCP-species-dilution-info": "", "IHCP-species-notes": "", "ICCIF-species-checked": "predicted", "ICCIF-species-dilution-info": "", "ICCIF-species-notes": "" } } }

Properties and storage information

Form
Liquid
Purification technique
Affinity purification Protein G
Purification notes
Purity >95%
Storage buffer
pH: 7.4 Preservative: 0.03% Proclin 300 Constituents: PBS, 50% Glycerol (glycerin, glycerine)
Shipped at conditions
Blue Ice
Appropriate short-term storage duration
1-2 weeks
Appropriate short-term storage conditions
+4°C
Appropriate long-term storage conditions
-20°C
Aliquoting information
Upon delivery aliquot
Storage information
Avoid freeze / thaw cycle

Supplementary information

This supplementary information is collated from multiple sources and compiled automatically.

The GMDS protein also known as GDP-mannose 46-dehydratase plays an important role in catalyzing the conversion of GDP-mannose to GDP-4-keto-6-deoxymannose one step in the biosynthesis of GDP-fucose. It has an approximate mass of 39 kDa and predominantly expresses in the liver kidneys and certain immune cells. The GMDS enzyme operates in the cytosol contributing to cellular metabolism and energy balance providing substrates necessary for further enzymatic conversions.
Biological function summary

GMDS contributes significantly to the fucosylation process a modification critical for the functioning of various glycoproteins and glycolipids. It participates in the synthesis of fucose which serves as a substrate for fucosyltransferases in glycan decorations. The enzymatic activity of GMDS occurs as part of a greater network within the cytosol although it does not directly involve multi-protein complexes. Its product GDP-fucose plays a role in cell-cell interaction and communication emphasizing GMDS's importance in cell biology and molecular signaling.

Pathways

GMDS contributes to the fucose biosynthesis pathway and indirectly affects the Leloir pathway of galactose metabolism due to interconnected metabolic pools. Through its product GDP-fucose GMDS links to proteins such as fucosyltransferases which incorporate fucose into glycan structures. The availability of fucose also affects signaling pathways involving Notch receptor activation influencing cellular differentiation and growth making GMDS an essential player in glycan-related signal transduction.

GMDS alterations have connections with immunodeficiencies and various cancer types. Deficiencies in GMDS can lead to Congenital Disorder of Glycosylation Type Iic where improper glycosylation affects immune cell functions and fucosylation imbalance links to increased tumor progression and metastasis through altered cell surface glycan structures. In the context of these disorders GMDS influences proteins such as alpha-13-fucosyltransferases with fucose content affecting functional glycan patterns on cells demonstrating its importance in pathophysiology related to glycosylation disorders.

Product protocols

For this product, it's our understanding that no specific protocols are required. You can visit:

Target data

Catalyzes the conversion of GDP-D-mannose to GDP-4-dehydro-6-deoxy-D-mannose.
See full target information GDP-mannose 4,6 dehydratase

Publications (1)

Recent publications for all applications. Explore the full list and refine your search

Advanced science (Weinheim, Baden-Wurttemberg, Germany) 11:e2403517 PubMed39119937

2024

Creatine Promotes Endometriosis by Inducing Ferroptosis Resistance via Suppression of PrP.

Applications

Unspecified application

Species

Unspecified reactive species

Siman Chen,Xiaoqian Ma,Yukai Liu,Zhiqi Zhong,Chunyan Wei,Mingqing Li,Xiaoyong Zhu
View all publications

Product promise

We are committed to supporting your work with high-quality reagents, and we're here for you every step of the way. In the unlikely event that one of our products does not perform as expected, you're protected by our Product Promise.
For full details, please see our Terms & Conditions

Please note: All products are 'FOR RESEARCH USE ONLY. NOT FOR USE IN DIAGNOSTIC OR THERAPEUTIC PROCEDURES'.

For licensing inquiries, please contact partnerships@abcam.com