JavaScript is disabled in your browser. Please enable JavaScript to view this website.
AB236617

Anti-GNA12 antibody

Be the first to review this product! Submit a review

|

(2 Publications)

Rabbit Polyclonal GNA12 antibody. Suitable for WB, IHC-P, ICC/IF and reacts with Human samples. Cited in 2 publications. Immunogen corresponding to Recombinant Fragment Protein within Human Guanine nucleotide-binding protein subunit alpha-12 aa 100-300.

View Alternative Names

Guanine nucleotide-binding protein subunit alpha-12, G alpha-12, G-protein subunit alpha-12, GNA12

4 Images
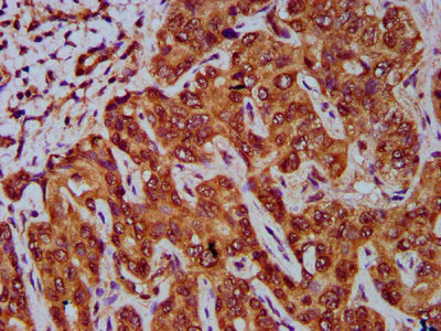
Immunohistochemistry (Formalin/PFA-fixed paraffin-embedded sections) - Anti-GNA12 antibody (AB236617)
  • IHC-P

Supplier Data

Immunohistochemistry (Formalin/PFA-fixed paraffin-embedded sections) - Anti-GNA12 antibody (AB236617)

Paraffin-embedded human liver cancer tissue stained for GNA12 with ab236617 at a 1/400 dilution in immunohistochemical analysis.

After dewaxing and hydration, antigen retrieval was mediated by high pressure in a citrate buffer (pH 6.0). Section was blocked with 10% normal goat serum 30 minutes at RT. Then primary antibody (1% BSA) was incubated at 4°C overnight. The primary is detected by a biotinylated secondary antibody and visualized using an HRP conjugated SP system.

Immunocytochemistry/ Immunofluorescence - Anti-GNA12 antibody (AB236617)
  • ICC/IF

Supplier Data

Immunocytochemistry/ Immunofluorescence - Anti-GNA12 antibody (AB236617)

HeLa (Human epithelial cell line from cervix adenocarcinoma) cells stained for GNA12 using ab236617 at a dilution of 1/133 in ICC/IF.
The cells were fixed in 4% formaldehyde, permeabilized using 0.2% Triton X-100 and blocked in 10% normal goat serum. The cells were then incubated with the primary antibody overnight at 4°C. Secondary used is an Alexa-Fluor®488-conjugated Goat Anti-Rabbit IgG (H+L).

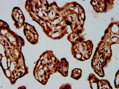
Immunohistochemistry (Formalin/PFA-fixed paraffin-embedded sections) - Anti-GNA12 antibody (AB236617)
  • IHC-P

Supplier Data

Immunohistochemistry (Formalin/PFA-fixed paraffin-embedded sections) - Anti-GNA12 antibody (AB236617)

Paraffin-embedded human placenta tissue stained for GNA12 with ab236617 at a 1/400 dilution in immunohistochemical analysis.

After dewaxing and hydration, antigen retrieval was mediated by high pressure in a citrate buffer (pH 6.0). Section was blocked with 10% normal goat serum 30 minutes at RT. Then primary antibody (1% BSA) was incubated at 4°C overnight. The primary is detected by a biotinylated secondary antibody and visualized using an HRP conjugated SP system.

Western blot - Anti-GNA12 antibody (AB236617)
  • WB

Supplier Data

Western blot - Anti-GNA12 antibody (AB236617)

All lanes:

Western blot - Anti-GNA12 antibody (ab236617) at 1/500 dilution

Lane 1:

HeLa (Human epithelial cell line from cervix adenocarcinoma) whole cell lysate

Lane 2:

MCF7 (Human breast adenocarcinoma cell line) whole cell lysate

Lane 3:

HepG2 (Human liver hepatocellular carcinoma cell line) whole cell lysate

Lane 4:

A549 (Human lung carcinoma cell line) whole cell lysate

Secondary

All lanes:

Goat polyclonal to rabbit IgG at 1/50000 dilution

Predicted band size: 44 kDa

false

Key facts

Host species

Rabbit

Clonality

Polyclonal

Isotype

IgG

Carrier free

No

Reacts with

Human

Applications

IHC-P, WB, ICC/IF

applications

Immunogen

Recombinant Fragment Protein within Human Guanine nucleotide-binding protein subunit alpha-12 aa 100-300. The exact immunogen used to generate this antibody is proprietary information.

Q03113

Reactivity data

{ "title": "Reactivity Data", "filters": { "stats": ["", "Species", "Dilution Info", "Notes"], "tabs": { "all-applications": {"fullname" : "All Applications", "shortname": "All Applications"}, "WB" : {"fullname" : "Western blot", "shortname":"WB"}, "IHCP" : {"fullname" : "Immunohistochemistry (Formalin/PFA-fixed paraffin-embedded sections)", "shortname":"IHC-P"}, "ICCIF" : {"fullname" : "Immunocytochemistry/ Immunofluorescence", "shortname":"ICC/IF"} }, "product-promise": { "all": "all", "testedAndGuaranteed": "tested", "guaranteed": "expected", "predicted": "predicted", "notRecommended": "not-recommended" } }, "values": { "Human": { "WB-species-checked": "testedAndGuaranteed", "WB-species-dilution-info": "1/500 - 1/5000", "WB-species-notes": "<p></p>", "IHCP-species-checked": "testedAndGuaranteed", "IHCP-species-dilution-info": "1/200 - 1/500", "IHCP-species-notes": "<p></p>", "ICCIF-species-checked": "testedAndGuaranteed", "ICCIF-species-dilution-info": "1/50 - 1/200", "ICCIF-species-notes": "<p></p>" } } }

Properties and storage information

Form
Liquid
Purification technique
Affinity purification Protein G
Purification notes
Purity >95%.
Storage buffer
pH: 7.4 Preservative: 0.03% Proclin 300 Constituents: PBS, 50% Glycerol (glycerin, glycerine)
Shipped at conditions
Blue Ice
Appropriate short-term storage duration
1-2 weeks
Appropriate short-term storage conditions
+4°C
Appropriate long-term storage conditions
-20°C
Aliquoting information
Upon delivery aliquot
Storage information
Avoid freeze / thaw cycle

Supplementary information

This supplementary information is collated from multiple sources and compiled automatically.

GNA12 also known as Gα12 is a member of the G protein family. This protein roughly weighs 44 kDa. It is part of the larger family of heterotrimeric G proteins which consist of alpha beta and gamma subunits. GNA12 is present in various tissues throughout the body including the heart lungs and thymus. GNA12 plays a mechanical role by acting as a molecular switch inside cells transmitting signals from activated receptors to target molecules which changes their activity.
Biological function summary

GNA12 regulates cell signaling processes involving growth differentiation and movement. It operates within the G12/G13 class of G protein signaling pathways and sometimes it works forming a complex with other proteins. It has been implicated in cellular interactions with the cytoskeleton and affects the organization of actin filaments. These actions influence the control of cell shape and motility suggesting a role in cellular migration and adhesion phenomena.

Pathways

GNA12 participates in the Rho family of GTPases signaling pathway and the MAPK/ERK pathway both important for cellular response and adaptation. Within these pathways GNA12 activates the Rho guanine nucleotide exchange factors which then influences Rho-dependent processes. It also interacts with other proteins such as GNA13 and RHOA linking it to signal transduction mechanisms that modulate various cellular outcomes including growth and differentiation.

GNA12 links to cancer and pulmonary hypertension. Its role in cancer relates to its influence on cell migration and invasion which are processes involved in cancer metastasis. Studies have shown that changes in GNA12's function can contribute to oncogenic transformation. In pulmonary hypertension altered GNA12 signaling may disrupt normal vascular smooth muscle function contributing to disease progression. The protein connects with RhoA and MAPK/ERK pathway components in these contexts indicating its involvement in the pathology of these disorders.

Product protocols

For this product, it's our understanding that no specific protocols are required. You can visit:

Target data

Guanine nucleotide-binding proteins (G proteins) are involved as modulators or transducers in various transmembrane signaling systems (PubMed : 12515866, PubMed : 15240885, PubMed : 15525651, PubMed : 16705036, PubMed : 16787920, PubMed : 17565996, PubMed : 22609986, PubMed : 23762476, PubMed : 27084452). Activates effector molecule RhoA by binding and activating RhoGEFs (ARHGEF12/LARG) (PubMed : 12515866, PubMed : 15240885, PubMed : 16202387). GNA12-dependent Rho signaling subsequently regulates transcription factor AP-1 (activating protein-1) (By similarity). GNA12-dependent Rho signaling also regulates protein phosphatese 2A activation causing dephosphorylation of its target proteins (PubMed : 15525651, PubMed : 17565996). Promotes tumor cell invasion and metastasis by activating RhoA/ROCK signaling pathway and up-regulating pro-inflammatory cytokine production (PubMed : 16705036, PubMed : 16787920, PubMed : 23762476, PubMed : 27084452). Inhibits CDH1-mediated cell adhesion in process independent from Rho activation (PubMed : 11976333, PubMed : 16787920). Together with NAPA promotes CDH5 localization to plasma membrane (PubMed : 15980433). May play a role in the control of cell migration through the TOR signaling cascade (PubMed : 22609986).
See full target information Guanine nucleotide-binding protein subunit alpha-12

Publications (2)

Recent publications for all applications. Explore the full list and refine your search

Iranian journal of public health 53:208-218 PubMed38694857

2024

MiR-103a-3p Promotes Tumorigenesis of Breast Cancer by Targeting ETNK1.

Applications

Unspecified application

Species

Unspecified reactive species

Lei Li,Aifeng Qiu,Yuhua Shi

Developmental cell 47:439-452.e6 PubMed30318244

2018

A Mechanosensitive RhoA Pathway that Protects Epithelia against Acute Tensile Stress.

Applications

Unspecified application

Species

Unspecified reactive species

Bipul R Acharya,Alexander Nestor-Bergmann,Xuan Liang,Shafali Gupta,Kinga Duszyc,Estelle Gauquelin,Guillermo A Gomez,Srikanth Budnar,Philippe Marcq,Oliver E Jensen,Zev Bryant,Alpha S Yap
View all publications

Product promise

We are committed to supporting your work with high-quality reagents, and we're here for you every step of the way. In the unlikely event that one of our products does not perform as expected, you're protected by our Product Promise.
For full details, please see our Terms & Conditions

Please note: All products are 'FOR RESEARCH USE ONLY. NOT FOR USE IN DIAGNOSTIC OR THERAPEUTIC PROCEDURES'.

For licensing inquiries, please contact partnerships@abcam.com