JavaScript is disabled in your browser. Please enable JavaScript to view this website.
AB128900

Anti-GNA13 antibody [EPR5436]

4

(1 Review)

|

(22 Publications)

Rabbit Recombinant Monoclonal GNA13 antibody. Suitable for IHC-P, WB and reacts with Mouse, Rat, Human samples. Cited in 22 publications.

View Alternative Names

Guanine nucleotide-binding protein subunit alpha-13, G alpha-13, G-protein subunit alpha-13, GNA13

10 Images
Immunohistochemistry (Formalin/PFA-fixed paraffin-embedded sections) - Anti-GNA13 antibody [EPR5436] (AB128900)
  • IHC-P

Lab

Immunohistochemistry (Formalin/PFA-fixed paraffin-embedded sections) - Anti-GNA13 antibody [EPR5436] (AB128900)

Immunohistochemistry (Formalin/PFA-fixed paraffin-embedded sections) analysis of human bladder carcinoma tissue sections labeling GNA13 with Purified ab128900 at 1 : 1000 dilution (1.2 μg/ml). Heat mediated antigen retrieval was performed using EDTA Buffer, pH9.0. Tissue was counterstained with Hematoxylin. ImmunoHistoProbe one step HRP Polymer (ready to use) secondary antibody was used at 1 : 0 dilution. PBS instead of the primary antibody was used as the negative control.

Immunohistochemistry (Formalin/PFA-fixed paraffin-embedded sections) - Anti-GNA13 antibody [EPR5436] (AB128900)
  • IHC-P

Unknown

Immunohistochemistry (Formalin/PFA-fixed paraffin-embedded sections) - Anti-GNA13 antibody [EPR5436] (AB128900)

Unpurified ab128900, at a 1/250 dilution, staining GNA13 in paraffin embedded Human bladder carcinoma tissue by Immunohistochemistry.

Heat mediated antigen retrieval was performed with citrate buffer pH 6 before commencing with IHC staining protocol.

Immunohistochemistry (Formalin/PFA-fixed paraffin-embedded sections) - Anti-GNA13 antibody [EPR5436] (AB128900)
  • IHC-P

Unknown

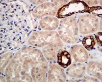
Immunohistochemistry (Formalin/PFA-fixed paraffin-embedded sections) - Anti-GNA13 antibody [EPR5436] (AB128900)

Unpurified ab128900, at a 1/250 dilution, staining GNA13 in paraffin embedded Human kidney tissue by Immunohistochemistry.

Heat mediated antigen retrieval was performed with citrate buffer pH 6 before commencing with IHC staining protocol.

Immunohistochemistry (Formalin/PFA-fixed paraffin-embedded sections) - Anti-GNA13 antibody [EPR5436] (AB128900)
  • IHC-P

Lab

Immunohistochemistry (Formalin/PFA-fixed paraffin-embedded sections) - Anti-GNA13 antibody [EPR5436] (AB128900)

Immunohistochemistry (Formalin/PFA-fixed paraffin-embedded sections) analysis of rat stomach tissue sections labeling GNA13 with Purified ab128900 at 1 : 1000 dilution (1.2 μg/ml). Heat mediated antigen retrieval was performed using EDTA Buffer, pH9.0. Tissue was counterstained with Hematoxylin. ImmunoHistoProbe one step HRP Polymer (ready to use) secondary antibody was used at 1 : 0 dilution. PBS instead of the primary antibody was used as the negative control.

Immunohistochemistry (Formalin/PFA-fixed paraffin-embedded sections) - Anti-GNA13 antibody [EPR5436] (AB128900)
  • IHC-P

Lab

Immunohistochemistry (Formalin/PFA-fixed paraffin-embedded sections) - Anti-GNA13 antibody [EPR5436] (AB128900)

Immunohistochemistry (Formalin/PFA-fixed paraffin-embedded sections) analysis of mouse stomach tissue sections labeling GNA13 with Purified ab128900 at 1 : 1000 dilution (1.2 μg/ml). Heat mediated antigen retrieval was performed using EDTA Buffer, pH9.0. Tissue was counterstained with Hematoxylin. ImmunoHistoProbe one step HRP Polymer (ready to use) secondary antibody was used at 1 : 0 dilution. PBS instead of the primary antibody was used as the negative control.

Western blot - Anti-GNA13 antibody [EPR5436] (AB128900)
  • WB

Lab

Western blot - Anti-GNA13 antibody [EPR5436] (AB128900)

Lanes 1 - 2 : Merged signal (red and green). Green - ab128900 observed at 45 kDa. Red - loading control ab8245 (Mouse anti-GAPDH antibody [6C5]) observed at 37 kDa.

ab128900 was shown to react with GNA13 in wild-type HeLa cells in Western blot with loss of signal observed in GNA13 knockout cell line ab264846 (GNA13 knockout cell lysate ab257451). Wild-type HeLa and GNA13 knockout cell lysates were subjected to SDS-PAGE. Membranes were blocked in 3 % milk in TBS-T (0.1 % Tween®) before incubation with ab128900 and ab8245 (Mouse anti-GAPDH antibody [6C5]) overnight at 4 °C at a 1 in 1000 dilution and a 1 in 20000 dilution respectively. Blots were incubated with Goat anti-Rabbit IgG H&L (IRDye® 800CW) preabsorbed (ab216773) and Goat anti-Mouse IgG H&L (IRDye® 680RD) preabsorbed (ab216776) secondary antibodies at 1 in 20000 dilution for 1 h at room temperature before imaging.

All lanes:

Western blot - Anti-GNA13 antibody [EPR5436] (ab128900) at 1/1000 dilution

Lane 1:

Wild-type HeLa cell lysate at 20 µg

Lane 2:

GNA13 knockout HeLa cell lysate at 20 µg

Lane 2:

Western blot - Human GNA13 knockout HeLa cell line (<a href='/en-us/products/cell-lines/human-gna13-knockout-hela-cell-line-ab264846'>ab264846</a>)

Predicted band size: 44 kDa

Observed band size: 45 kDa

false

Western blot - Anti-GNA13 antibody [EPR5436] (AB128900)
  • WB

Unknown

Western blot - Anti-GNA13 antibody [EPR5436] (AB128900)

All lanes:

Western blot - Anti-GNA13 antibody [EPR5436] (ab128900) at 1/1000 dilution

Lane 1:

Y79 cell lysate at 10 µg

Lane 2:

293T cell lysate at 10 µg

Lane 3:

HepG2 cell lysate at 10 µg

Secondary

All lanes:

Goat anti-Rabbit HRP at 1/2000 dilution

Predicted band size: 44 kDa

false

Western blot - Anti-GNA13 antibody [EPR5436] (AB128900)
  • WB

Lab

Western blot - Anti-GNA13 antibody [EPR5436] (AB128900)

Blocking and diluting buffer : 5% NFDM/TBST

All lanes:

Western blot - Anti-GNA13 antibody [EPR5436] (ab128900) at 1/5000 dilution

Lane 1:

HepG2 (Human hepatocellular carcinoma epithelial cell) whole cell lysates at 20 µg

Lane 2:

Mouse brain lysates at 20 µg

Lane 3:

Rat brain lysates at 20 µg

Secondary

All lanes:

Western blot - Goat Anti-Rabbit IgG H&L (HRP) (<a href='/en-us/products/secondary-antibodies/goat-rabbit-igg-h-l-hrp-ab97051'>ab97051</a>) at 1/20000 dilution

Predicted band size: 44 kDa

Observed band size: 44 kDa

false

Western blot - Anti-GNA13 antibody [EPR5436] (AB128900)
  • WB

Lab

Western blot - Anti-GNA13 antibody [EPR5436] (AB128900)

Blocking and dilution buffer : 5% NFDM/TBST.

All lanes:

Western blot - Anti-GNA13 antibody [EPR5436] (ab128900) at 1/5000 dilution

Lane 1:

Mouse brain tissue lysate at 20 µg

Lane 2:

Rat brain tissue lysate at 20 µg

Secondary

All lanes:

Western blot - Goat Anti-Rabbit IgG H&L (HRP) (<a href='/en-us/products/secondary-antibodies/goat-rabbit-igg-h-l-hrp-ab97051'>ab97051</a>) at 1/20000 dilution

Predicted band size: 44 kDa

Observed band size: 44 kDa

false

Exposure time: 30s

OI-RD Scanning - Anti-GNA13 antibody [EPR5436] (AB128900)
  • OI-RD Scanning

Unknown

OI-RD Scanning - Anti-GNA13 antibody [EPR5436] (AB128900)

We have systematically measured KD (the equilibrium dissociation constant between the antibody and its antigen), of more than 840 recombinant antibodies to assess not only their individual KD values but also to see the average affinity of antibody. Based on the comparison with published literature values for mouse monoclonal antibodies, Recombinant antibodies appear to be on average 1-2 order of magnitude higher affinity.

  • Carrier free

    Anti-GNA13 antibody [EPR5436] - BSA and Azide free

Key facts

Host species

Rabbit

Clonality

Monoclonal

Clone number

EPR5436

Isotype

IgG

Carrier free

No

Reacts with

Mouse, Rat, Human

Applications

IHC-P, WB

applications

Immunogen

The exact immunogen used to generate this antibody is proprietary information.

Reactivity data

{ "title": "Reactivity Data", "filters": { "stats": ["", "Species", "Dilution Info", "Notes"], "tabs": { "all-applications": {"fullname" : "All Applications", "shortname": "All Applications"}, "IHCP" : {"fullname" : "Immunohistochemistry (Formalin/PFA-fixed paraffin-embedded sections)", "shortname":"IHC-P"}, "ICCIF" : {"fullname" : "Immunocytochemistry/ Immunofluorescence", "shortname":"ICC/IF"}, "IP" : {"fullname" : "Immunoprecipitation", "shortname":"IP"}, "FlowCyt" : {"fullname" : "Flow Cytometry", "shortname":"Flow Cyt"}, "WB" : {"fullname" : "Western blot", "shortname":"WB"} }, "product-promise": { "all": "all", "testedAndGuaranteed": "tested", "guaranteed": "expected", "predicted": "predicted", "notRecommended": "not-recommended" } }, "values": { "Human": { "IHCP-species-checked": "testedAndGuaranteed", "IHCP-species-dilution-info": "1/1000", "IHCP-species-notes": "<p><strong>For unpurified use at 1/250-1/500. </strong></p> Perform heat-mediated antigen retrieval with citrate buffer pH 6 before commencing with IHC staining protocol.", "ICCIF-species-checked": "notRecommended", "ICCIF-species-dilution-info": "", "ICCIF-species-notes": "<p></p>", "IP-species-checked": "notRecommended", "IP-species-dilution-info": "", "IP-species-notes": "<p></p>", "FlowCyt-species-checked": "notRecommended", "FlowCyt-species-dilution-info": "", "FlowCyt-species-notes": "<p></p>", "WB-species-checked": "testedAndGuaranteed", "WB-species-dilution-info": "1/1000 - 1/10000", "WB-species-notes": "<p></p>" }, "Mouse": { "IHCP-species-checked": "testedAndGuaranteed", "IHCP-species-dilution-info": "1/1000", "IHCP-species-notes": "<p><strong>For unpurified use at 1/250-1/500. </strong></p> Perform heat-mediated antigen retrieval with citrate buffer pH 6 before commencing with IHC staining protocol.", "ICCIF-species-checked": "notRecommended", "ICCIF-species-dilution-info": "", "ICCIF-species-notes": "<p></p>", "IP-species-checked": "notRecommended", "IP-species-dilution-info": "", "IP-species-notes": "<p></p>", "FlowCyt-species-checked": "notRecommended", "FlowCyt-species-dilution-info": "", "FlowCyt-species-notes": "<p></p>", "WB-species-checked": "testedAndGuaranteed", "WB-species-dilution-info": "1/1000 - 1/10000", "WB-species-notes": "<p></p>" }, "Rat": { "IHCP-species-checked": "testedAndGuaranteed", "IHCP-species-dilution-info": "1/1000", "IHCP-species-notes": "<p><strong>For unpurified use at 1/250-1/500. </strong></p> Perform heat-mediated antigen retrieval with citrate buffer pH 6 before commencing with IHC staining protocol.", "ICCIF-species-checked": "notRecommended", "ICCIF-species-dilution-info": "", "ICCIF-species-notes": "<p></p>", "IP-species-checked": "notRecommended", "IP-species-dilution-info": "", "IP-species-notes": "<p></p>", "FlowCyt-species-checked": "notRecommended", "FlowCyt-species-dilution-info": "", "FlowCyt-species-notes": "<p></p>", "WB-species-checked": "testedAndGuaranteed", "WB-species-dilution-info": "1/1000 - 1/10000", "WB-species-notes": "<p></p>" } } }

Product details

Patented technology
Our RabMAb® technology is a patented hybridoma-based technology for making rabbit monoclonal antibodies. For details on our patents, please refer to RabMAb® patents.

What are the advantages of a recombinant monoclonal antibody?
This product is a recombinant monoclonal antibody, which offers several advantages including:

  • - High batch-to-batch consistency and reproducibility
  • - Improved sensitivity and specificity
  • - Long-term security of supply
  • - Animal-free batch production

For more information, read more on recombinant antibodies.

Properties and storage information

Form
Liquid
Purification technique
Affinity purification Protein A
Storage buffer
pH: 7.2 - 7.4 Preservative: 0.01% Sodium azide Constituents: PBS, 40% Glycerol (glycerin, glycerine), 0.05% BSA
Shipped at conditions
Blue Ice
Appropriate short-term storage duration
1-2 weeks
Appropriate short-term storage conditions
+4°C
Appropriate long-term storage conditions
-20°C
Aliquoting information
Upon delivery aliquot
Storage information
Avoid freeze / thaw cycle|Stable for 12 months at -20°C

Supplementary information

This supplementary information is collated from multiple sources and compiled automatically.

GNA13 also known as Gα13 is a member of the G12 family of G proteins. It has a molecular mass of approximately 44 kDa and functions as a guanine nucleotide-binding protein. This protein is important in transmitting signals from G protein-coupled receptors (GPCRs) to intracellular signaling pathways. GNA13 is widely expressed in various tissues including endothelial cells smooth muscle cells and the brain. The signaling capability of GNA13 is based on its ability to bind GTP and GDP functioning through a cycle of activation and inactivation.
Biological function summary

The role of G protein subunit GNA13 involves participating in critical cellular functions such as cytoskeletal reorganization cell migration and proliferation. It is an integral part of the G12/G13 subunits` complex which plays a role in controlling cell dynamics and morphology. Through these activities GNA13 contributes to the regulation of processes like embryonic development and tissue repair. Additionally it influences cell behavior through the RhoA pathway affecting actin cytoskeleton and cell shape changes.

Pathways

GNA13 interacts with a variety of important signaling systems. One primary pathway where GNA13 is active is the Rho signaling pathway where it activates RhoA leading to changes in the actin cytoskeleton. This pathway is necessary for cellular processes like adhesion and motility. Additionally GNA13 participates in the mitogen-activated protein kinase (MAPK) pathway influencing cellular proliferation. Through these pathways GNA13 is related to proteins such as RhoGEFs which act as guanine nucleotide exchange factors and MAPKs essential in transmitting mitogenic signals.

GNA13 has implications in cancer development and cardiovascular diseases. Its role in Rho signaling and cell motility can contribute to tumor progression and metastasis with alterations in its function linked to various cancers. Additionally in cardiovascular health GNA13's influence on vascular smooth muscle contraction can relate to conditions such as hypertension. Projecting its influence through RhoA GNA13's malfunction connects it to pathological changes within these disease contexts.

Product protocols

For this product, it's our understanding that no specific protocols are required. You can visit:

Target data

Guanine nucleotide-binding proteins (G proteins) are involved as modulators or transducers in various transmembrane signaling systems (PubMed : 15240885, PubMed : 16705036, PubMed : 16787920, PubMed : 27084452). Activates effector molecule RhoA by binding and activating RhoGEFs (ARHGEF1/p115RhoGEF, ARHGEF11/PDZ-RhoGEF and ARHGEF12/LARG) (PubMed : 12515866, PubMed : 15240885). GNA13-dependent Rho signaling subsequently regulates transcription factor AP-1 (activating protein-1) (By similarity). Promotes tumor cell invasion and metastasis by activating RhoA/ROCK signaling pathway (PubMed : 16705036, PubMed : 16787920, PubMed : 27084452). Inhibits CDH1-mediated cell adhesion in process independent from Rho activation (PubMed : 11976333).
See full target information Guanine nucleotide-binding protein subunit alpha-13

Publications (22)

Recent publications for all applications. Explore the full list and refine your search

Nature communications 16:1751 PubMed39966435

2025

A postzygotic GNA13 variant upregulates the RHOA/ROCK pathway and alters melanocyte function in a mosaic skin hypopigmentation syndrome.

Applications

Unspecified application

Species

Unspecified reactive species

Rana El Masri,Alberto Iannuzzo,Paul Kuentz,Rachida Tacine,Marie Vincent,Sébastien Barbarot,Fanny Morice-Picard,Franck Boralevi,Naia Oillarburu,Juliette Mazereeuw-Hautier,Yannis Duffourd,Laurence Faivre,Arthur Sorlin,Pierre Vabres,Jérôme Delon

The Journal of biological chemistry 301:108136 PubMed39730062

2024

Receptor-independent regulation of Gα13 by alpha-1-antitrypsin C-terminal peptides.

Applications

Unspecified application

Species

Unspecified reactive species

Yonghak Park,Shigeyuki Matsumoto,Kosuke Ogata,Biao Ma,Ryo Kanada,Yuta Isaka,Norihito Arichi,Xiaowen Liang,Ritsuko Maki,Tohru Kozasa,Yasushi Okuno,Hiroaki Ohno,Yasushi Ishihama,Fumiko Toyoshima

Cell 185:1974-1985.e12 PubMed35512704

2022

Systematic discovery of mutation-directed neo-protein-protein interactions in cancer.

Applications

Unspecified application

Species

Unspecified reactive species

Xiulei Mo,Qiankun Niu,Andrey A Ivanov,Yiu Huen Tsang,Cong Tang,Changfa Shu,Qianjin Li,Kun Qian,Alafate Wahafu,Sean P Doyle,Danielle Cicka,Xuan Yang,Dacheng Fan,Matthew A Reyna,Lee A D Cooper,Carlos S Moreno,Wei Zhou,Taofeek K Owonikoko,Sagar Lonial,Fadlo R Khuri,Yuhong Du,Suresh S Ramalingam,Gordon B Mills,Haian Fu

Nature communications 13:487 PubMed35078997

2022

Heterotrimeric Gq proteins act as a switch for GRK5/6 selectivity underlying β-arrestin transducer bias.

Applications

Unspecified application

Species

Unspecified reactive species

Kouki Kawakami,Masataka Yanagawa,Suzune Hiratsuka,Misaki Yoshida,Yuki Ono,Michio Hiroshima,Masahiro Ueda,Junken Aoki,Yasushi Sako,Asuka Inoue

Molecules (Basel, Switzerland) 26: PubMed34885790

2021

Laxative Effects of Phlorotannins Derived from on Loperamide-Induced Constipation in SD Rats.

Applications

Unspecified application

Species

Unspecified reactive species

Ji-Eun Kim,Yun-Ju Choi,Su-Jin Lee,Jeong-Eun Gong,You-Jung Jin,So-Hae Park,Hee-Seob Lee,Young-Whan Choi,Jin-Tae Hong,Dae-Youn Hwang

Science advances 7:eabj6895 PubMed34788088

2021

Discovery of anti-inflammatory physiological peptides that promote tissue repair by reinforcing epithelial barrier formation.

Applications

Unspecified application

Species

Unspecified reactive species

Yukako Oda,Chisato Takahashi,Shota Harada,Shun Nakamura,Daxiao Sun,Kazumi Kiso,Yuko Urata,Hitoshi Miyachi,Yoshinori Fujiyoshi,Alf Honigmann,Seiichi Uchida,Yasushi Ishihama,Fumiko Toyoshima

Aging 13:14940-14967 PubMed34031265

2021

Identification of key transcriptome biomarkers based on a vital gene module associated with pathological changes in Alzheimer's disease.

Applications

Unspecified application

Species

Unspecified reactive species

Tong Zhang,Yang Shen,Yiqing Guo,Junyan Yao

PloS one 16:e0246363 PubMed33626068

2021

Antioxidant activity and laxative effects of tannin-enriched extract of Ecklonia cava in loperamide-induced constipation of SD rats.

Applications

Unspecified application

Species

Unspecified reactive species

Ji Eun Kim,Yun Ju Choi,Su Jin Lee,Jeong Eun Gong,Young Ju Lee,Ji Eun Sung,Young Suk Jung,Hee Seob Lee,Jin Tae Hong,Dae Youn Hwang

Cell death & disease 12:54 PubMed33423045

2021

GNA13 regulates BCL2 expression and the sensitivity of GCB-DLBCL cells to BCL2 inhibitors in a palmitoylation-dependent manner.

Applications

Unspecified application

Species

Unspecified reactive species

Zhizhou Xia,Xiuli Zhang,Ping Liu,Ruihong Zhang,Zhangsen Huang,Donghe Li,Xinhua Xiao,Min Wu,Nannan Ning,Qianqian Zhang,Jianmin Zhang,Mingzhu Liu,Bo Jiao,Ruibao Ren

Breast cancer research : BCR 22:105 PubMed33023655

2020

Trastuzumab-induced upregulation of a protein set in extracellular vesicles emitted by ErbB2-positive breast cancer cells correlates with their trastuzumab sensitivity.

Applications

Unspecified application

Species

Unspecified reactive species

Arik Drucker,Byong Hoon Yoo,Iman Aftab Khan,Dongsic Choi,Laura Montermini,Xiaoyang Liu,Sanja Jovanovic,Tallal Younis,Kirill V Rosen
View all publications

Product promise

We are committed to supporting your work with high-quality reagents, and we're here for you every step of the way. In the unlikely event that one of our products does not perform as expected, you're protected by our Product Promise.
For full details, please see our Terms & Conditions

Please note: All products are 'FOR RESEARCH USE ONLY. NOT FOR USE IN DIAGNOSTIC OR THERAPEUTIC PROCEDURES'.

For licensing inquiries, please contact partnerships@abcam.com