JavaScript is disabled in your browser. Please enable JavaScript to view this website.
AB232478

Anti-GNA13 antibody [EPR5436] - BSA and Azide free

Be the first to review this product! Submit a review

|

(1 Publication)

Rabbit Recombinant Monoclonal GNA13 antibody. Carrier free. Suitable for IHC-P, WB and reacts with Mouse, Rat, Human samples. Cited in 1 publication.

View Alternative Names

Guanine nucleotide-binding protein subunit alpha-13, G alpha-13, G-protein subunit alpha-13, GNA13

7 Images
Immunohistochemistry (Formalin/PFA-fixed paraffin-embedded sections) - Anti-GNA13 antibody [EPR5436] - BSA and Azide free (AB232478)
  • IHC-P

Supplier Data

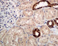
Immunohistochemistry (Formalin/PFA-fixed paraffin-embedded sections) - Anti-GNA13 antibody [EPR5436] - BSA and Azide free (AB232478)

Unpurified ab128900, at a 1/250 dilution, staining GNA13 in paraffin embedded Human kidney tissue by Immunohistochemistry.

This data was developed using the same antibody clone in a different buffer formulation containing PBS, BSA, glycerol, and sodium azide (ab128900).

Heat mediated antigen retrieval was performed with citrate buffer pH 6 before commencing with IHC staining protocol.

Immunohistochemistry (Formalin/PFA-fixed paraffin-embedded sections) - Anti-GNA13 antibody [EPR5436] - BSA and Azide free (AB232478)
  • IHC-P

Lab

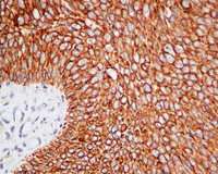
Immunohistochemistry (Formalin/PFA-fixed paraffin-embedded sections) - Anti-GNA13 antibody [EPR5436] - BSA and Azide free (AB232478)

Immunohistochemistry (Formalin/PFA-fixed paraffin-embedded sections) analysis of human bladder carcinoma tissue sections labeling GNA13 with Purified ab128900 at 1 : 1000 dilution (1.2 μg/ml). Heat mediated antigen retrieval was performed using EDTA Buffer, pH9.0. Tissue was counterstained with Hematoxylin. ImmunoHistoProbe one step HRP Polymer (ready to use) secondary antibody was used at 1 : 0 dilution. PBS instead of the primary antibody was used as the negative control.

This data was developed using the same antibody clone in a different buffer formulation containing PBS, BSA, glycerol, and sodium azide (ab128900).

Immunohistochemistry (Formalin/PFA-fixed paraffin-embedded sections) - Anti-GNA13 antibody [EPR5436] - BSA and Azide free (AB232478)
  • IHC-P

Unknown

Immunohistochemistry (Formalin/PFA-fixed paraffin-embedded sections) - Anti-GNA13 antibody [EPR5436] - BSA and Azide free (AB232478)

Unpurified ab128900, at a 1/250 dilution, staining GNA13 in paraffin embedded Human bladder carcinoma tissue by Immunohistochemistry.

This data was developed using the same antibody clone in a different buffer formulation containing PBS, BSA, glycerol, and sodium azide (ab128900).

Heat mediated antigen retrieval was performed with citrate buffer pH 6 before commencing with IHC staining protocol.

Immunohistochemistry (Formalin/PFA-fixed paraffin-embedded sections) - Anti-GNA13 antibody [EPR5436] - BSA and Azide free (AB232478)
  • IHC-P

Lab

Immunohistochemistry (Formalin/PFA-fixed paraffin-embedded sections) - Anti-GNA13 antibody [EPR5436] - BSA and Azide free (AB232478)

Immunohistochemistry (Formalin/PFA-fixed paraffin-embedded sections) analysis of rat stomach tissue sections labeling GNA13 with Purified ab128900 at 1 : 1000 dilution (1.2 μg/ml). Heat mediated antigen retrieval was performed using EDTA Buffer, pH9.0. Tissue was counterstained with Hematoxylin. ImmunoHistoProbe one step HRP Polymer (ready to use) secondary antibody was used at 1 : 0 dilution. PBS instead of the primary antibody was used as the negative control.

This data was developed using the same antibody clone in a different buffer formulation containing PBS, BSA, glycerol, and sodium azide (ab128900).

Immunohistochemistry (Formalin/PFA-fixed paraffin-embedded sections) - Anti-GNA13 antibody [EPR5436] - BSA and Azide free (AB232478)
  • IHC-P

Lab

Immunohistochemistry (Formalin/PFA-fixed paraffin-embedded sections) - Anti-GNA13 antibody [EPR5436] - BSA and Azide free (AB232478)

Immunohistochemistry (Formalin/PFA-fixed paraffin-embedded sections) analysis of mouse stomach tissue sections labeling GNA13 with Purified ab128900 at 1 : 1000 dilution (1.2 μg/ml). Heat mediated antigen retrieval was performed using EDTA Buffer, pH9.0. Tissue was counterstained with Hematoxylin. ImmunoHistoProbe one step HRP Polymer (ready to use) secondary antibody was used at 1 : 0 dilution. PBS instead of the primary antibody was used as the negative control.

This data was developed using the same antibody clone in a different buffer formulation containing PBS, BSA, glycerol, and sodium azide (ab128900).

Western blot - Anti-GNA13 antibody [EPR5436] - BSA and Azide free (AB232478)
  • WB

Lab

Western blot - Anti-GNA13 antibody [EPR5436] - BSA and Azide free (AB232478)

This data was developed using the same antibody clone in a different buffer formulation (ab128900).

Lanes 1 - 2 : Merged signal (red and green). Green - ab128900 observed at 45 kDa. Red - loading control ab8245 (Mouse anti-GAPDH antibody [6C5]) observed at 37 kDa.

ab128900 was shown to react with GNA13 in wild-type HeLa cells in Western blot with loss of signal observed in GNA13 knockout cell line ab264846 (GNA13 knockout cell lysate ab257451). Wild-type HeLa and GNA13 knockout cell lysates were subjected to SDS-PAGE. Membranes were blocked in 3 % milk in TBS-T (0.1 % Tween®) before incubation with ab128900 and ab8245 (Mouse anti-GAPDH antibody [6C5]) overnight at 4 °C at a 1 in 1000 dilution and a 1 in 20000 dilution respectively. Blots were incubated with Goat anti-Rabbit IgG H&L (IRDye® 800CW) preabsorbed (ab216773) and Goat anti-Mouse IgG H&L (IRDye® 680RD) preabsorbed (ab216776) secondary antibodies at 1 in 20000 dilution for 1 h at room temperature before imaging.

All lanes:

Western blot - Anti-GNA13 antibody [EPR5436] (<a href='/en-us/products/primary-antibodies/gna13-antibody-epr5436-ab128900'>ab128900</a>) at 1/1000 dilution

Lane 1:

Wild-type HeLa cell lysate at 20 µg

Lane 2:

GNA13 knockout HeLa cell lysate at 20 µg

Lane 2:

Western blot - Human GNA13 knockout HeLa cell line (<a href='/en-us/products/cell-lines/human-gna13-knockout-hela-cell-line-ab264846'>ab264846</a>)

Predicted band size: 44 kDa

Observed band size: 45 kDa

false

OI-RD Scanning - Anti-GNA13 antibody [EPR5436] - BSA and Azide free (AB232478)
  • OI-RD Scanning

Unknown

OI-RD Scanning - Anti-GNA13 antibody [EPR5436] - BSA and Azide free (AB232478)

We have systematically measured KD (the equilibrium dissociation constant between the antibody and its antigen), of more than 840 recombinant antibodies to assess not only their individual KD values but also to see the average affinity of antibody. Based on the comparison with published literature values for mouse monoclonal antibodies, Recombinant antibodies appear to be on average 1-2 order of magnitude higher affinity.

Key facts

Host species

Rabbit

Clonality

Monoclonal

Clone number

EPR5436

Isotype

IgG

Carrier free

Yes

Reacts with

Mouse, Rat, Human

Applications

WB, IHC-P

applications

Immunogen

The exact immunogen used to generate this antibody is proprietary information.

Reactivity data

{ "title": "Reactivity Data", "filters": { "stats": ["", "Species", "Dilution Info", "Notes"], "tabs": { "all-applications": {"fullname" : "All Applications", "shortname": "All Applications"}, "IHCP" : {"fullname" : "Immunohistochemistry (Formalin/PFA-fixed paraffin-embedded sections)", "shortname":"IHC-P"}, "WB" : {"fullname" : "Western blot", "shortname":"WB"} }, "product-promise": { "all": "all", "testedAndGuaranteed": "tested", "guaranteed": "expected", "predicted": "predicted", "notRecommended": "not-recommended" } }, "values": { "Human": { "IHCP-species-checked": "testedAndGuaranteed", "IHCP-species-dilution-info": "", "IHCP-species-notes": "<p></p>", "WB-species-checked": "testedAndGuaranteed", "WB-species-dilution-info": "", "WB-species-notes": "<p></p>" }, "Mouse": { "IHCP-species-checked": "testedAndGuaranteed", "IHCP-species-dilution-info": "", "IHCP-species-notes": "<p></p>", "WB-species-checked": "testedAndGuaranteed", "WB-species-dilution-info": "", "WB-species-notes": "<p></p>" }, "Rat": { "IHCP-species-checked": "testedAndGuaranteed", "IHCP-species-dilution-info": "", "IHCP-species-notes": "<p></p>", "WB-species-checked": "testedAndGuaranteed", "WB-species-dilution-info": "", "WB-species-notes": "<p></p>" } } }

Product details

ab232478 is the carrier-free version of ab128900.

Patented technology
Our RabMAb® technology is a patented hybridoma-based technology for making rabbit monoclonal antibodies. For details on our patents, please refer to RabMAb® patents.

What are the advantages of a recombinant monoclonal antibody?
This product is a recombinant monoclonal antibody, which offers several advantages including:

  • - High batch-to-batch consistency and reproducibility
  • - Improved sensitivity and specificity
  • - Long-term security of supply
  • - Animal-free batch production

For more information, read more on recombinant antibodies.

Conjugation ready
Our carrier-free antibodies are typically supplied in a PBS-only formulation, purified and free of BSA, sodium azide and glycerol. This conjugation-ready format is designed for use with fluorochromes, metal isotopes, oligonucleotides, and enzymes, which makes them ideal for antibody labelling, functional and cell-based assays, flow-based assays (e.g. mass cytometry) and Multiplex Imaging applications.

Use our conjugation kits for antibody conjugates that are ready-to-use in as little as 20 minutes with 1 minute hands-on-time and 100% antibody recovery: available for fluorescent dyes, HRP, biotin and gold.

Compatibility
This product is compatible with the Maxpar® Antibody Labeling Kit from Fluidigm, without the need for antibody preparation. Maxpar® is a trademark of Fluidigm Canada Inc.

Properties and storage information

Form
Liquid
Purification technique
Affinity purification Protein A
Storage buffer
pH: 7.2 - 7.4 Constituents: PBS
Shipped at conditions
Blue Ice
Appropriate short-term storage conditions
+4°C
Appropriate long-term storage conditions
+4°C
Storage information
Do Not Freeze

Supplementary information

This supplementary information is collated from multiple sources and compiled automatically.

GNA13 also known as Gα13 is a member of the G12 family of G proteins. It has a molecular mass of approximately 44 kDa and functions as a guanine nucleotide-binding protein. This protein is important in transmitting signals from G protein-coupled receptors (GPCRs) to intracellular signaling pathways. GNA13 is widely expressed in various tissues including endothelial cells smooth muscle cells and the brain. The signaling capability of GNA13 is based on its ability to bind GTP and GDP functioning through a cycle of activation and inactivation.
Biological function summary

The role of G protein subunit GNA13 involves participating in critical cellular functions such as cytoskeletal reorganization cell migration and proliferation. It is an integral part of the G12/G13 subunits` complex which plays a role in controlling cell dynamics and morphology. Through these activities GNA13 contributes to the regulation of processes like embryonic development and tissue repair. Additionally it influences cell behavior through the RhoA pathway affecting actin cytoskeleton and cell shape changes.

Pathways

GNA13 interacts with a variety of important signaling systems. One primary pathway where GNA13 is active is the Rho signaling pathway where it activates RhoA leading to changes in the actin cytoskeleton. This pathway is necessary for cellular processes like adhesion and motility. Additionally GNA13 participates in the mitogen-activated protein kinase (MAPK) pathway influencing cellular proliferation. Through these pathways GNA13 is related to proteins such as RhoGEFs which act as guanine nucleotide exchange factors and MAPKs essential in transmitting mitogenic signals.

GNA13 has implications in cancer development and cardiovascular diseases. Its role in Rho signaling and cell motility can contribute to tumor progression and metastasis with alterations in its function linked to various cancers. Additionally in cardiovascular health GNA13's influence on vascular smooth muscle contraction can relate to conditions such as hypertension. Projecting its influence through RhoA GNA13's malfunction connects it to pathological changes within these disease contexts.

Product protocols

For this product, it's our understanding that no specific protocols are required. You can visit:

Target data

Guanine nucleotide-binding proteins (G proteins) are involved as modulators or transducers in various transmembrane signaling systems (PubMed : 15240885, PubMed : 16705036, PubMed : 16787920, PubMed : 27084452). Activates effector molecule RhoA by binding and activating RhoGEFs (ARHGEF1/p115RhoGEF, ARHGEF11/PDZ-RhoGEF and ARHGEF12/LARG) (PubMed : 12515866, PubMed : 15240885). GNA13-dependent Rho signaling subsequently regulates transcription factor AP-1 (activating protein-1) (By similarity). Promotes tumor cell invasion and metastasis by activating RhoA/ROCK signaling pathway (PubMed : 16705036, PubMed : 16787920, PubMed : 27084452). Inhibits CDH1-mediated cell adhesion in process independent from Rho activation (PubMed : 11976333).
See full target information Guanine nucleotide-binding protein subunit alpha-13

Publications (1)

Recent publications for all applications. Explore the full list and refine your search

Open medicine (Warsaw, Poland) 17:2062-2071 PubMed36568515

2022

MGST1 alleviates the oxidative stress of trophoblast cells induced by hypoxia/reoxygenation and promotes cell proliferation, migration, and invasion by activating the PI3K/AKT/mTOR pathway.

Applications

Unspecified application

Species

Unspecified reactive species

Hu Dai,Xianmei Lu
View all publications

Product promise

We are committed to supporting your work with high-quality reagents, and we're here for you every step of the way. In the unlikely event that one of our products does not perform as expected, you're protected by our Product Promise.
For full details, please see our Terms & Conditions

Please note: All products are 'FOR RESEARCH USE ONLY. NOT FOR USE IN DIAGNOSTIC OR THERAPEUTIC PROCEDURES'.

For licensing inquiries, please contact partnerships@abcam.com