JavaScript is disabled in your browser. Please enable JavaScript to view this website.
AB248888

Anti-GNAI1 antibody [EPR9441(B)] - BSA and Azide free

Be the first to review this product! Submit a review

|

(1 Publication)

Rabbit Recombinant Monoclonal GNAI1 antibody. Carrier free. Suitable for IHC-P, WB, Flow Cyt (Intra) and reacts with Human, Mouse, Rat samples. Cited in 1 publication.

View Alternative Names

Guanine nucleotide-binding protein G(i) subunit alpha-1, Adenylate cyclase-inhibiting G alpha protein, GNAI1

4 Images
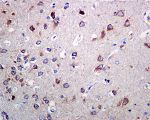
Immunohistochemistry (Formalin/PFA-fixed paraffin-embedded sections) - Anti-GNAI1 antibody [EPR9441(B)] - BSA and Azide free (AB248888)
  • IHC-P

Unknown

Immunohistochemistry (Formalin/PFA-fixed paraffin-embedded sections) - Anti-GNAI1 antibody [EPR9441(B)] - BSA and Azide free (AB248888)

This data was developed using ab140125, the same antibody clone in a different buffer formulation.

Immunohistochemical analysis of paraffin-embedded Human thyroid carcinoma tissue labelling GNAI1 with ab140125 at 1/50 dilution.

Perform heat mediated antigen retrieval before commencing with IHC staining protocol.

Immunohistochemistry (Formalin/PFA-fixed paraffin-embedded sections) - Anti-GNAI1 antibody [EPR9441(B)] - BSA and Azide free (AB248888)
  • IHC-P

Unknown

Immunohistochemistry (Formalin/PFA-fixed paraffin-embedded sections) - Anti-GNAI1 antibody [EPR9441(B)] - BSA and Azide free (AB248888)

This data was developed using ab140125, the same antibody clone in a different buffer formulation.

Immunohistochemical analysis of paraffin-embedded Human endometrial carcinoma tissue labelling GNAI1 with ab140125 at 1/50 dilution.

Perform heat mediated antigen retrieval before commencing with IHC staining protocol.

Flow Cytometry (Intracellular) - Anti-GNAI1 antibody [EPR9441(B)] - BSA and Azide free (AB248888)
  • Flow Cyt (Intra)

Unknown

Flow Cytometry (Intracellular) - Anti-GNAI1 antibody [EPR9441(B)] - BSA and Azide free (AB248888)

This data was developed using ab140125, the same antibody clone in a different buffer formulation.

Overlay histogram showing SHSY-5Y cells stained with ab140125 (red line). The cells were fixed with 4% paraformaldehyde (10 min) and then permeabilized with 0.1% PBS-Tween for 20 min. The cells were then incubated in 1x PBS / 10% normal goat serum / 0.3M glycine to block non-specific protein-protein interactions followed by the antibody (ab140125, 1/9999 dilution) for 30 min at 22°C. The secondary antibody used was Alexa Fluor® 488 goat anti-rabbit IgG (H&L) (ab150077) at 1/2000 dilution for 30 min at 22°C. Isotype control antibody (black line) was rabbit IgG (monoclonal) (0.1µg/1x106 cells) used under the same conditions. Unlabelled sample (blue line) was also used as a control. Acquisition of >5,000 events were collected using a 20mW Argon ion laser (488nm) and 525/30 bandpass filter. This antibody gave a positive signal in SHSY-5Y cells fixed with 80% methanol (5 min)/permeabilized with 0.1% PBS-Tween for 20 min used under the same conditions.

Western blot - Anti-GNAI1 antibody [EPR9441(B)] - BSA and Azide free (AB248888)
  • WB

Unknown

Western blot - Anti-GNAI1 antibody [EPR9441(B)] - BSA and Azide free (AB248888)

This data was developed using ab140125, the same antibody clone in a different buffer formulation.

All lanes:

Western blot - Anti-GNAI1 antibody [EPR9441(B)] (<a href='/en-us/products/primary-antibodies/gnai1-antibody-epr9441b-ab140125'>ab140125</a>) at 1/1000 dilution

Lane 1:

SH-SY5Y cell lysate at 10 µg

Lane 2:

U-87 MG cell lysate at 10 µg

Lane 3:

Human glioma tissue lysate at 10 µg

Lane 4:

Human fetal brain tissue lysate at 10 µg

Secondary

All lanes:

Goat anti-rabbit HRP conjugated at 1/2000 dilution

Predicted band size: 40 kDa

false

Key facts

Host species

Rabbit

Clonality

Monoclonal

Clone number

EPR9441(B)

Isotype

IgG

Carrier free

Yes

Reacts with

Human

Applications

IHC-P, WB, Flow Cyt (Intra)

applications

Immunogen

The exact immunogen used to generate this antibody is proprietary information.

Specificity

The immunogenic sequence of this antibody has 92.9% homology with GNAI3 and 64% (4 continuous residues) homology with GNAI2 which might cause cross reactivity with GNAI3 and GNAI2.

Reactivity data

{ "title": "Reactivity Data", "filters": { "stats": ["", "Species", "Dilution Info", "Notes"], "tabs": { "all-applications": {"fullname" : "All Applications", "shortname": "All Applications"}, "IHCP" : {"fullname" : "Immunohistochemistry (Formalin/PFA-fixed paraffin-embedded sections)", "shortname":"IHC-P"}, "IP" : {"fullname" : "Immunoprecipitation", "shortname":"IP"}, "WB" : {"fullname" : "Western blot", "shortname":"WB"}, "FlowCytIntra" : {"fullname" : "Flow Cytometry (Intracellular)", "shortname":"Flow Cyt (Intra)"} }, "product-promise": { "all": "all", "testedAndGuaranteed": "tested", "guaranteed": "expected", "predicted": "predicted", "notRecommended": "not-recommended" } }, "values": { "Human": { "IHCP-species-checked": "testedAndGuaranteed", "IHCP-species-dilution-info": "", "IHCP-species-notes": "<p></p>", "IP-species-checked": "notRecommended", "IP-species-dilution-info": "", "IP-species-notes": "<p></p>", "WB-species-checked": "testedAndGuaranteed", "WB-species-dilution-info": "", "WB-species-notes": "<p></p>", "FlowCytIntra-species-checked": "testedAndGuaranteed", "FlowCytIntra-species-dilution-info": "", "FlowCytIntra-species-notes": "<p></p>" }, "Mouse": { "IHCP-species-checked": "predicted", "IHCP-species-dilution-info": "", "IHCP-species-notes": "", "IP-species-checked": "notRecommended", "IP-species-dilution-info": "", "IP-species-notes": "", "WB-species-checked": "guaranteed", "WB-species-dilution-info": "", "WB-species-notes": "<p></p>", "FlowCytIntra-species-checked": "predicted", "FlowCytIntra-species-dilution-info": "", "FlowCytIntra-species-notes": "" }, "Rat": { "IHCP-species-checked": "predicted", "IHCP-species-dilution-info": "", "IHCP-species-notes": "", "IP-species-checked": "notRecommended", "IP-species-dilution-info": "", "IP-species-notes": "", "WB-species-checked": "guaranteed", "WB-species-dilution-info": "", "WB-species-notes": "<p></p>", "FlowCytIntra-species-checked": "predicted", "FlowCytIntra-species-dilution-info": "", "FlowCytIntra-species-notes": "" } } }

Product details

ab248888 is the carrier-free version of ab140125.

Patented technology
Our RabMAb® technology is a patented hybridoma-based technology for making rabbit monoclonal antibodies. For details on our patents, please refer to RabMAb® patents.

What are the advantages of a recombinant monoclonal antibody?
This product is a recombinant monoclonal antibody, which offers several advantages including:

  • - High batch-to-batch consistency and reproducibility
  • - Improved sensitivity and specificity
  • - Long-term security of supply
  • - Animal-free batch production

For more information, read more on recombinant antibodies.

Conjugation ready
Our carrier-free antibodies are typically supplied in a PBS-only formulation, purified and free of BSA, sodium azide and glycerol. This conjugation-ready format is designed for use with fluorochromes, metal isotopes, oligonucleotides, and enzymes, which makes them ideal for antibody labelling, functional and cell-based assays, flow-based assays (e.g. mass cytometry) and Multiplex Imaging applications.

Use our conjugation kits for antibody conjugates that are ready-to-use in as little as 20 minutes with 1 minute hands-on-time and 100% antibody recovery: available for fluorescent dyes, HRP, biotin and gold.

Compatibility
This product is compatible with the Maxpar® Antibody Labeling Kit from Fluidigm, without the need for antibody preparation. Maxpar® is a trademark of Fluidigm Canada Inc.

Properties and storage information

Form
Liquid
Purification technique
Affinity purification Protein A
Storage buffer
pH: 7.2 - 7.4 Constituents: PBS
Shipped at conditions
Blue Ice
Appropriate short-term storage conditions
+4°C
Appropriate long-term storage conditions
+4°C
Storage information
Do Not Freeze

Supplementary information

This supplementary information is collated from multiple sources and compiled automatically.

The protein GNAI1 also known as G protein subunit alpha i1 is part of the G-protein family that plays an important role in signal transduction. GNAI1 has a molecular mass of approximately 40 kDa. It is mainly expressed in neuronal tissues where it interacts with receptors to regulate intracellular signaling pathways. This protein operates by inhibiting adenylate cyclase activity which reduces the production of cyclic AMP (cAMP) in response to extracellular signals.
Biological function summary

GNAI1 acts by interfering with signal transmission across membranes. It is part of the heterotrimeric G-protein complex which is essential for many signaling processes. This complex responds to activation by G-protein-coupled receptors (GPCRs) and modulates various downstream effectors essentially affecting numerous physiological processes like neurotransmission and hormone signaling.

Pathways

GNAI1 plays a significant role in the cyclic AMP (cAMP) signaling pathway and the neuroactive ligand-receptor interaction pathway. In the cAMP pathway GNAI1 associates with receptors like dopamine and serotonin receptors helping to regulate neuronal response and neurotransmitter release. This activity involves interactions with related proteins such as GNB1 and GNG2 which form the beta and gamma subunits of the heterotrimeric G-protein complex.

GNAI1 relates to neuropathic conditions such as epilepsy and depression. Alterations in GNAI1 function can disrupt normal signaling contributing to these disorders. The protein interacts with other proteins in the signaling cascade such as RGS proteins which can affect its function in disease states. Researchers continue to explore how modifications or mutations in GNAI1 might offer potential therapeutic targets for these and similar disorders.

Product protocols

For this product, it's our understanding that no specific protocols are required. You can visit:

Target data

Guanine nucleotide-binding proteins (G proteins) function as transducers downstream of G protein-coupled receptors (GPCRs) in numerous signaling cascades (PubMed : 18434541, PubMed : 33762731, PubMed : 34239069, PubMed : 35610220, PubMed : 37935376, PubMed : 37935377, PubMed : 37963465, PubMed : 38552625, PubMed : 8774883). The alpha chain contains the guanine nucleotide binding site and alternates between an active, GTP-bound state and an inactive, GDP-bound state (PubMed : 18434541, PubMed : 8774883). Signaling by an activated GPCR promotes GDP release and GTP binding (PubMed : 18434541, PubMed : 8774883). The alpha subunit has a low GTPase activity that converts bound GTP to GDP, thereby terminating the signal (PubMed : 18434541, PubMed : 8774883). Both GDP release and GTP hydrolysis are modulated by numerous regulatory proteins (PubMed : 18434541, PubMed : 8774883). Signaling is mediated via effector proteins, such as adenylate cyclase : inhibits adenylate cyclase activity of ADCY1, ADCY5 and ADCY6, leading to decreased intracellular cAMP levels (PubMed : 8119955). The inactive GDP-bound form prevents the association of RGS14 with centrosomes and is required for the translocation of RGS14 from the cytoplasm to the plasma membrane. Required for normal cytokinesis during mitosis (PubMed : 17635935). Required for cortical dynein-dynactin complex recruitment during metaphase (PubMed : 22327364).
See full target information GNAI1

Publications (1)

Recent publications for all applications. Explore the full list and refine your search

Journal of personalized medicine 12: PubMed35207643

2022

Detyrosinated α-Tubulin, Vimentin and PD-L1 in Circulating Tumor Cells (CTCs) Isolated from Non-Small Cell Lung Cancer (NSCLC) Patients.

Applications

Unspecified application

Species

Unspecified reactive species

Spyridoula D Katsarou,Ippokratis Messaritakis,Anastasia Voumvouraki,Stavros Kakavogiannis,Athanasios Κotsakis,Saad Alkahtani,Christos Stournaras,Stuart S Martin,Vassilis Georgoulias,Galatea Kallergi
View all publications

Product promise

We are committed to supporting your work with high-quality reagents, and we're here for you every step of the way. In the unlikely event that one of our products does not perform as expected, you're protected by our Product Promise.
For full details, please see our Terms & Conditions

Please note: All products are 'FOR RESEARCH USE ONLY. NOT FOR USE IN DIAGNOSTIC OR THERAPEUTIC PROCEDURES'.

For licensing inquiries, please contact partnerships@abcam.com