JavaScript is disabled in your browser. Please enable JavaScript to view this website.
AB317134

Anti-GNAI1 + GNAI2 + GNAI3 antibody [HL2092]

Be the first to review this product! Submit a review

|

(0 Publication)

Rabbit Monoclonal GNAI1 antibody. Suitable for WB, IHC-P and reacts with Transfected cell lysate, Human, Mouse, Rat, Zebrafish samples.

View Alternative Names

Guanine nucleotide-binding protein G(i) subunit alpha-1, Adenylate cyclase-inhibiting G alpha protein, GNAI1

6 Images
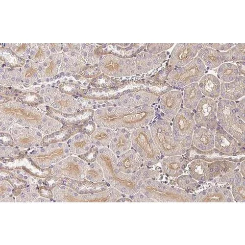
Immunohistochemistry (Formalin/PFA-fixed paraffin-embedded sections) - Anti-GNAI1 + GNAI2 + GNAI3 antibody [HL2092] (AB317134)
  • IHC-P

Supplier Data

Immunohistochemistry (Formalin/PFA-fixed paraffin-embedded sections) - Anti-GNAI1 + GNAI2 + GNAI3 antibody [HL2092] (AB317134)

ab317134 detects GNAI1 + GNAI2 + GNAI3 protein at cell membrane and cytoplasm by immunohistochemical analysis.
Sample : Paraffin-embedded mouse kidney.
GNAI1 + GNAI2 + GNAI3 stained by ab317134 diluted at 1 : 100.
Antigen Retrieval : Citrate buffer pH 6.0 15 min.

Immunohistochemistry (Formalin/PFA-fixed paraffin-embedded sections) - Anti-GNAI1 + GNAI2 + GNAI3 antibody [HL2092] (AB317134)
  • IHC-P

Supplier Data

Immunohistochemistry (Formalin/PFA-fixed paraffin-embedded sections) - Anti-GNAI1 + GNAI2 + GNAI3 antibody [HL2092] (AB317134)

ab317134 detects GNAI1 + GNAI2 + GNAI3 protein by immunohistochemical analysis.
Sample : Paraffin-embedded rat tissues.
GNAI1 + GNAI2 + GNAI3 stained by ab317134 diluted at 1 : 100.
Antigen Retrieval : Citrate buffer pH 6.0 15 min.

Western blot - Anti-GNAI1 + GNAI2 + GNAI3 antibody [HL2092] (AB317134)
  • WB

Supplier Data

Western blot - Anti-GNAI1 + GNAI2 + GNAI3 antibody [HL2092] (AB317134)

Various whole cell extracts (30 ug) were separated by 10% SDS-PAGE and the membrane was blotted with ab317134 diluted at 1 : 1000. The HRP-conjugated anti-rabbit IgG antibody was used to detect the primary antibody.

All lanes:

Western blot - Anti-GNAI1 + GNAI2 + GNAI3 antibody [HL2092] (ab317134) at 1/1000 dilution

Lane 1:

A431 whole cell extracts at 30 µg

Lane 2:

HeLa whole cell extracts at 30 µg

Secondary

All lanes:

HRP-conjugated anti-rabbit IgG antibody

false

Western blot - Anti-GNAI1 + GNAI2 + GNAI3 antibody [HL2092] (AB317134)
  • WB

Supplier Data

Western blot - Anti-GNAI1 + GNAI2 + GNAI3 antibody [HL2092] (AB317134)

Various tissue extracts (50 ug) were separated by 10% SDS-PAGE and the membrane was blotted with ab317134 diluted at 1 : 1000. The HRP-conjugated anti-rabbit IgG antibody was used to detect the primary antibody.

All lanes:

Western blot - Anti-GNAI1 + GNAI2 + GNAI3 antibody [HL2092] (ab317134) at 1/1000 dilution

Lane 1:

Mouse brain tissue extracts at 50 µg

Lane 2:

Rat brain tissue extracts at 50 µg

Secondary

All lanes:

HRP-conjugated anti-rabbit IgG antibody

false

Western blot - Anti-GNAI1 + GNAI2 + GNAI3 antibody [HL2092] (AB317134)
  • WB

Supplier Data

Western blot - Anti-GNAI1 + GNAI2 + GNAI3 antibody [HL2092] (AB317134)

Whole zebrafish extract (30 ug) was separated by 10% SDS-PAGE and the membrane was blotted with ab317134 diluted at 1 : 1000. The HRP-conjugated anti-rabbit IgG antibody was used to detect the primary antibody.

All lanes:

Western blot - Anti-GNAI1 + GNAI2 + GNAI3 antibody [HL2092] (ab317134) at 1/1000 dilution

All lanes:

Whole zebrafish extract at 30 µg

Secondary

All lanes:

HRP-conjugated anti-rabbit IgG antibody

false

Western blot - Anti-GNAI1 + GNAI2 + GNAI3 antibody [HL2092] (AB317134)
  • WB

Supplier Data

Western blot - Anti-GNAI1 + GNAI2 + GNAI3 antibody [HL2092] (AB317134)

Non-transfected (–) and transfected (+) 293T whole cell extracts (30 ug) were separated by 10% SDS-PAGE and the membrane was blotted with ab317134 diluted at 1 : 5000. The HRP-conjugated anti-rabbit IgG antibody was used to detect the primary antibody.

All lanes:

Western blot - Anti-GNAI1 + GNAI2 + GNAI3 antibody [HL2092] (ab317134) at 1/5000 dilution

Lane 1:

Non-transfected (–) 293T whole cell extracts at 30 µg

Lane 2:

DDDDK-tagged GNAI1 transfected (+) 293T whole cell extracts at 30 µg

Lane 3:

DDDDK-tagged GNAI2 transfected (+) 293T whole cell extracts at 30 µg

Lane 4:

DDDDK-tagged GNAI3 transfected (+) 293T whole cell extracts at 30 µg

Secondary

All lanes:

HRP-conjugated anti-rabbit IgG antibody

false

Key facts

Host species

Rabbit

Clonality

Monoclonal

Clone number

HL2092

Isotype

IgG

Carrier free

No

Reacts with

Human, Mouse, Rat, Zebrafish

Applications

WB, IHC-P

applications

Immunogen

The exact immunogen used to generate this antibody is proprietary information.

Reactivity data

{ "title": "Reactivity Data", "filters": { "stats": ["", "Species", "Dilution Info", "Notes"], "tabs": { "all-applications": {"fullname" : "All Applications", "shortname": "All Applications"}, "WB" : {"fullname" : "Western blot", "shortname":"WB"}, "IHCP" : {"fullname" : "Immunohistochemistry (Formalin/PFA-fixed paraffin-embedded sections)", "shortname":"IHC-P"} }, "product-promise": { "all": "all", "testedAndGuaranteed": "tested", "guaranteed": "expected", "predicted": "predicted", "notRecommended": "not-recommended" } }, "values": { "Human": { "WB-species-checked": "testedAndGuaranteed", "WB-species-dilution-info": "1/500 - 1/3000", "WB-species-notes": "<p></p>", "IHCP-species-checked": "guaranteed", "IHCP-species-dilution-info": "", "IHCP-species-notes": "" }, "Mouse": { "WB-species-checked": "testedAndGuaranteed", "WB-species-dilution-info": "1/500 - 1/3000", "WB-species-notes": "<p></p>", "IHCP-species-checked": "testedAndGuaranteed", "IHCP-species-dilution-info": "1/100", "IHCP-species-notes": "<p></p>" }, "Rat": { "WB-species-checked": "testedAndGuaranteed", "WB-species-dilution-info": "1/500 - 1/3000", "WB-species-notes": "<p></p>", "IHCP-species-checked": "testedAndGuaranteed", "IHCP-species-dilution-info": "1/100", "IHCP-species-notes": "<p></p>" }, "Transfected cell lysate": { "WB-species-checked": "testedAndGuaranteed", "WB-species-dilution-info": "1/5000", "WB-species-notes": "<p></p>", "IHCP-species-checked": "notRecommended", "IHCP-species-dilution-info": "", "IHCP-species-notes": "" }, "Zebrafish": { "WB-species-checked": "testedAndGuaranteed", "WB-species-dilution-info": "1/500 - 1/3000", "WB-species-notes": "<p></p>", "IHCP-species-checked": "guaranteed", "IHCP-species-dilution-info": "", "IHCP-species-notes": "" } } }

Properties and storage information

Form
Liquid
Storage buffer
pH: 7.4 Constituents: PBS
Shipped at conditions
Blue Ice
Appropriate short-term storage duration
1-2 weeks
Appropriate short-term storage conditions
+4°C
Appropriate long-term storage conditions
-20°C
Aliquoting information
Upon delivery aliquot
Storage information
Avoid freeze / thaw cycle

Supplementary information

This supplementary information is collated from multiple sources and compiled automatically.

GNAI3 also known as the guanine nucleotide-binding protein G(i) alpha-3 subunit is part of the heterotrimeric G protein family. Its molecular weight is approximately 41 kDa. This protein plays a role in transmitting signals from extracellular stimuli through cell-surface receptors to the intracellular signaling pathways. GNAI3 is expressed in various tissues including the brain and heart where it facilitates important cellular responses by interacting with other proteins in signaling pathways.
Biological function summary

GNAI3 contributes to inhibiting adenylate cyclase activity reducing cyclic AMP levels and therefore modulating downstream signaling events. It forms part of the heterotrimeric guanine nucleotide-binding protein complex which consists of alpha beta and gamma subunits. By interacting with this complex GNAI3 regulates processes like cell division immune response and sensory perception demonstrating its diverse functional roles within the cell.

Pathways

GNAI3 is involved in the G protein-coupled receptor (GPCR) signaling pathway which is essential for transmitting numerous extracellular signals to the inside of the cell. GNAI3 modulates signals from neurotransmitters and hormones that activate this pathway. Additionally GNAI3 interacts with other proteins such as beta-arrestins which are important for receptor desensitization and signal termination within the GPCR signaling system.

Researchers have linked GNAI3 disruptions to auriculocondylar syndrome and certain forms of cancer. In auriculocondylar syndrome mutations in GNAI3 contribute to craniofacial abnormalities. Additionally alterations in its signaling pathways might contribute to tumor progression by failing to regulate cell proliferation properly. GNAI3 interacts with proteins including RGS proteins which help in temporally regulating signal transduction showing its significance in health and disease contexts.

Product protocols

For this product, it's our understanding that no specific protocols are required. You can visit:

Target data

Guanine nucleotide-binding proteins (G proteins) function as transducers downstream of G protein-coupled receptors (GPCRs) in numerous signaling cascades (PubMed : 18434541, PubMed : 33762731, PubMed : 34239069, PubMed : 35610220, PubMed : 37935376, PubMed : 37935377, PubMed : 37963465, PubMed : 38552625, PubMed : 8774883). The alpha chain contains the guanine nucleotide binding site and alternates between an active, GTP-bound state and an inactive, GDP-bound state (PubMed : 18434541, PubMed : 8774883). Signaling by an activated GPCR promotes GDP release and GTP binding (PubMed : 18434541, PubMed : 8774883). The alpha subunit has a low GTPase activity that converts bound GTP to GDP, thereby terminating the signal (PubMed : 18434541, PubMed : 8774883). Both GDP release and GTP hydrolysis are modulated by numerous regulatory proteins (PubMed : 18434541, PubMed : 8774883). Signaling is mediated via effector proteins, such as adenylate cyclase : inhibits adenylate cyclase activity of ADCY1, ADCY5 and ADCY6, leading to decreased intracellular cAMP levels (PubMed : 8119955). The inactive GDP-bound form prevents the association of RGS14 with centrosomes and is required for the translocation of RGS14 from the cytoplasm to the plasma membrane. Required for normal cytokinesis during mitosis (PubMed : 17635935). Required for cortical dynein-dynactin complex recruitment during metaphase (PubMed : 22327364).
See full target information GNAI1

Additional targets

GNAI2,Guanine nucleotide-binding protein G(i) subunit alpha-3

Product promise

We are committed to supporting your work with high-quality reagents, and we're here for you every step of the way. In the unlikely event that one of our products does not perform as expected, you're protected by our Product Promise.
For full details, please see our Terms & Conditions

Please note: All products are 'FOR RESEARCH USE ONLY. NOT FOR USE IN DIAGNOSTIC OR THERAPEUTIC PROCEDURES'.

For licensing inquiries, please contact partnerships@abcam.com