JavaScript is disabled in your browser. Please enable JavaScript to view this website.
AB157204

Anti-GNAI2 antibody [EPR9469]

Be the first to review this product! Submit a review

|

(11 Publications)

Rabbit Recombinant Monoclonal GNAI2 antibody. Suitable for IHC-P, WB, Flow Cyt (Intra) and reacts with Human samples. Cited in 11 publications.

View Alternative Names

GNAI2B, GNAI2, Guanine nucleotide-binding protein G(i) subunit alpha-2, Adenylate cyclase-inhibiting G alpha protein

6 Images
Immunohistochemistry (Formalin/PFA-fixed paraffin-embedded sections) - Anti-GNAI2 antibody [EPR9469] (AB157204)
  • IHC-P

Unknown

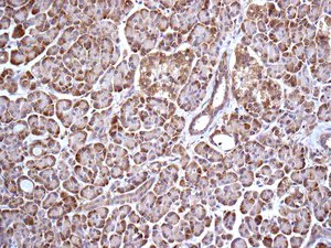
Immunohistochemistry (Formalin/PFA-fixed paraffin-embedded sections) - Anti-GNAI2 antibody [EPR9469] (AB157204)

Immunohistochemical analysis of formalin-fixed, paraffin-embedded Human pancreas tissue, labeling GNAI2 using ab157204 at a 1/50 dilution.

Perform heat mediated antigen retrieval with citrate buffer pH 6 before commencing with IHC staining protocol.

Immunohistochemistry (Formalin/PFA-fixed paraffin-embedded sections) - Anti-GNAI2 antibody [EPR9469] (AB157204)
  • IHC-P

Unknown

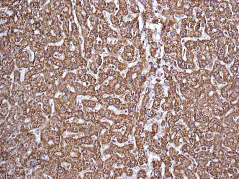
Immunohistochemistry (Formalin/PFA-fixed paraffin-embedded sections) - Anti-GNAI2 antibody [EPR9469] (AB157204)

ab157204 showing +ve staining in Human normal liver.

Perform heat mediated antigen retrieval with citrate buffer pH 6 before commencing with IHC staining protocol.

Immunohistochemistry (Formalin/PFA-fixed paraffin-embedded sections) - Anti-GNAI2 antibody [EPR9469] (AB157204)
  • IHC-P

Unknown

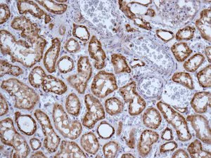
Immunohistochemistry (Formalin/PFA-fixed paraffin-embedded sections) - Anti-GNAI2 antibody [EPR9469] (AB157204)

Immunohistochemical analysis of formalin-fixed, paraffin-embedded Human kidney tissue, labeling GNAI2 using ab157204 at a 1/50 dilution.

Perform heat mediated antigen retrieval with citrate buffer pH 6 before commencing with IHC staining protocol.

Immunohistochemistry (Formalin/PFA-fixed paraffin-embedded sections) - Anti-GNAI2 antibody [EPR9469] (AB157204)
  • IHC-P

Unknown

Immunohistochemistry (Formalin/PFA-fixed paraffin-embedded sections) - Anti-GNAI2 antibody [EPR9469] (AB157204)

ab157204 showing +ve staining in Human normal brain.

Perform heat mediated antigen retrieval with citrate buffer pH 6 before commencing with IHC staining protocol.

Flow Cytometry (Intracellular) - Anti-GNAI2 antibody [EPR9469] (AB157204)
  • Flow Cyt (Intra)

Unknown

Flow Cytometry (Intracellular) - Anti-GNAI2 antibody [EPR9469] (AB157204)

Intracellular Flow Cytometry analysis of permeabilized U937 cells labeling GNAI2 (red), using ab157204 at a 1/10 dilution, and negative control cells probed with a Rabbit IgG (green)

Western blot - Anti-GNAI2 antibody [EPR9469] (AB157204)
  • WB

Unknown

Western blot - Anti-GNAI2 antibody [EPR9469] (AB157204)

All lanes:

Western blot - Anti-GNAI2 antibody [EPR9469] (ab157204) at 1/10000 dilution

Lane 1:

fetal brain lysate at 10 µg

Lane 2:

U937 cell lysate at 10 µg

Lane 3:

U-87 MG cell lysate at 10 µg

Predicted band size: 40 kDa

false

  • HRP

    HRP Anti-GNAI2 antibody [EPR9469]

  • Carrier free

    Anti-GNAI2 antibody [EPR9469] - BSA and Azide free

Key facts

Host species

Rabbit

Clonality

Monoclonal

Clone number

EPR9469

Isotype

IgG

Carrier free

No

Reacts with

Human

Applications

Flow Cyt (Intra), IHC-P, WB

applications

Immunogen

The exact immunogen used to generate this antibody is proprietary information.

Reactivity data

{ "title": "Reactivity Data", "filters": { "stats": ["", "Species", "Dilution Info", "Notes"], "tabs": { "all-applications": {"fullname" : "All Applications", "shortname": "All Applications"}, "IHCP" : {"fullname" : "Immunohistochemistry (Formalin/PFA-fixed paraffin-embedded sections)", "shortname":"IHC-P"}, "IP" : {"fullname" : "Immunoprecipitation", "shortname":"IP"}, "WB" : {"fullname" : "Western blot", "shortname":"WB"}, "FlowCytIntra" : {"fullname" : "Flow Cytometry (Intracellular)", "shortname":"Flow Cyt (Intra)"} }, "product-promise": { "all": "all", "testedAndGuaranteed": "tested", "guaranteed": "expected", "predicted": "predicted", "notRecommended": "not-recommended" } }, "values": { "Human": { "IHCP-species-checked": "testedAndGuaranteed", "IHCP-species-dilution-info": "1/50 - 1/100", "IHCP-species-notes": "<p></p>", "IP-species-checked": "notRecommended", "IP-species-dilution-info": "", "IP-species-notes": "<p></p>", "WB-species-checked": "testedAndGuaranteed", "WB-species-dilution-info": "1/10000 - 1/50000", "WB-species-notes": "<p></p>", "FlowCytIntra-species-checked": "testedAndGuaranteed", "FlowCytIntra-species-dilution-info": "1/10 - 1/100", "FlowCytIntra-species-notes": "<p><a href='/en-us/products/primary-antibodies/rabbit-igg-monoclonal-epr25a-isotype-control-ab172730'>ab172730</a> - Rabbit monoclonal IgG, is suitable for use as an isotype control with this antibody.</p>" }, "Mouse": { "IHCP-species-checked": "predicted", "IHCP-species-dilution-info": "", "IHCP-species-notes": "", "IP-species-checked": "notRecommended", "IP-species-dilution-info": "", "IP-species-notes": "", "WB-species-checked": "predicted", "WB-species-dilution-info": "", "WB-species-notes": "", "FlowCytIntra-species-checked": "predicted", "FlowCytIntra-species-dilution-info": "", "FlowCytIntra-species-notes": "" }, "Rat": { "IHCP-species-checked": "predicted", "IHCP-species-dilution-info": "", "IHCP-species-notes": "", "IP-species-checked": "notRecommended", "IP-species-dilution-info": "", "IP-species-notes": "", "WB-species-checked": "predicted", "WB-species-dilution-info": "", "WB-species-notes": "", "FlowCytIntra-species-checked": "predicted", "FlowCytIntra-species-dilution-info": "", "FlowCytIntra-species-notes": "" } } }

Product details

Patented technology
Our RabMAb® technology is a patented hybridoma-based technology for making rabbit monoclonal antibodies. For details on our patents, please refer to RabMAb® patents.

What are the advantages of a recombinant monoclonal antibody?
This product is a recombinant monoclonal antibody, which offers several advantages including:

  • - High batch-to-batch consistency and reproducibility
  • - Improved sensitivity and specificity
  • - Long-term security of supply
  • - Animal-free batch production

For more information, read more on recombinant antibodies.

Properties and storage information

Form
Liquid
Purification technique
Affinity purification Protein A
Storage buffer
pH: 7.2 - 7.4 Preservative: 0.01% Sodium azide Constituents: PBS, 50% Tissue culture supernatant, 40% Glycerol (glycerin, glycerine), 0.05% BSA
Shipped at conditions
Blue Ice
Appropriate short-term storage conditions
+4°C
Appropriate long-term storage conditions
-20°C

Supplementary information

This supplementary information is collated from multiple sources and compiled automatically.

GNAI2 also known as Gi2 alpha-subunit is a G protein subunit encoded by the GNAI2 gene. It has a molecular weight of approximately 40 kDa. It influences intracellular signaling pathways by inhibiting adenylyl cyclase and decreasing the levels of cyclic AMP (cAMP) within the cell. GNAI2 is found in a variety of tissues with high expression in the brain heart and lymphoid tissues. This wide expression pattern shows its importance in different physiological processes across various organs.
Biological function summary

GNAI2 functions as part of heterotrimeric G protein complexes. It couples with receptors on the cell surface transmitting signals from activated receptors to downstream effectors. GNAI2 binds with GDP in its inactive state and exchanges it for GTP upon receptor activation which causes the dissociation of the G protein into G alpha and G beta-gamma subunits continuing the signaling cascade. GNAI2 contributes to the modulation of processes such as neurotransmission immune responses and cell proliferation.

Pathways

GNAI2 plays an important role in the MAPK/ERK pathway and the PI3K/Akt signaling pathway. It interacts with various receptors and proteins to regulate cellular responses to external stimuli. For instance through the MAPK/ERK pathway GNAI2 influences gene expression and cell division while in the PI3K/Akt pathway it plays a role in cell survival and apoptosis. Its interaction with proteins like G-beta and G-gamma subunits emphasizes its integrative function in coordinating signal transduction.

GNAI2 has links to certain types of cancer and autoimmune diseases. Mutations or dysregulations in GNAI2 expression can influence cancer progression through abnormal cell signaling pathways. Additionally in autoimmune disorders aberrations in GNAI2 signaling can disrupt immune responses contributing to the pathology of diseases like systemic lupus erythematosus. GNAI2 interacts with proteins like adenylyl cyclase and specific receptor proteins which are important for maintaining normal cellular signaling and their dysregulation can lead to disease.

Product protocols

For this product, it's our understanding that no specific protocols are required. You can visit:

Target data

Guanine nucleotide-binding proteins (G proteins) are involved as modulators or transducers in various transmembrane signaling systems. The G(i) proteins are involved in hormonal regulation of adenylate cyclase : they inhibit the cyclase in response to beta-adrenergic stimuli. May play a role in cell division.. Isoform sGi2. Regulates the cell surface density of dopamine receptors DRD2 by sequestrating them as an intracellular pool.
See full target information GNAI2

Publications (11)

Recent publications for all applications. Explore the full list and refine your search

Scientific reports 15:10769 PubMed40155684

2025

Transcriptional signature of rapidly responding NK cells reveals S1P5 and CXCR4 as anti-tumor response disruptors.

Applications

Unspecified application

Species

Unspecified reactive species

Marta Puig-Gámez,Martijn Van Attekum,Theodor Theis,Alec Dick,John E Park

Nucleic acids research 53: PubMed39883012

2025

RNA G-quadruplex structure-based PROTACs for targeted DHX36 protein degradation and gene activity modulation in mammalian cells.

Applications

Unspecified application

Species

Unspecified reactive species

Kun Zhang,Qichang Nie,Maolin Li,Xiaona Chen,Liting Zhong,Tianle Dai,Xiaofan Guo,Haizhou Zhao,Terrence Chi-Kong Lau,Huating Wang,Shuo-Bin Chen,Chun Kit Kwok

Animals : an open access journal from MDPI 13: PubMed37370413

2023

Does the Environmental Air Impact the Condition of the Vomeronasal Organ? A Mouse Model for Intensive Farming.

Applications

Unspecified application

Species

Unspecified reactive species

Violaine Mechin,Patrick Pageat,Marion Boutry,Eva Teruel,Céline Portalier,Pietro Asproni

Communications biology 5:411 PubMed35505181

2022

Mapping transgene insertion sites reveals the α-Cre transgene expression in both developing retina and olfactory neurons.

Applications

Unspecified application

Species

Unspecified reactive species

Yimeng Fan,Wenyue Chen,Ran Wei,Wei Qiang,Joel D Pearson,Tao Yu,Rod Bremner,Danian Chen

Nature communications 12:5043 PubMed34413292

2021

Translational control by DHX36 binding to 5'UTR G-quadruplex is essential for muscle stem-cell regenerative functions.

Applications

Unspecified application

Species

Unspecified reactive species

Xiaona Chen,Jie Yuan,Guang Xue,Silvia Campanario,Di Wang,Wen Wang,Xi Mou,Shiau Wei Liew,Mubarak Ishaq Umar,Joan Isern,Yu Zhao,Liangqiang He,Yuying Li,Christopher J Mann,Xiaohua Yu,Lei Wang,Eusebio Perdiguero,Wei Chen,Yuanchao Xue,Yoshikuni Nagamine,Chun Kit Kwok,Hao Sun,Pura Muñoz-Cánoves,Huating Wang

Journal of neurochemistry 159:156-171 PubMed34309872

2021

Sex and brain region-specific regulation of serotonin transporter activity in synaptosomes in guanine nucleotide-binding protein G(q) alpha knockout mice.

Applications

Unspecified application

Species

Unspecified reactive species

Jana Haase,Aimée K C Jones,Conor J Mc Veigh,Eric Brown,Gerard Clarke,Gudrun Ahnert-Hilger

Animals : an open access journal from MDPI 11: PubMed33922332

2021

Histological and Immunohistochemical Characterization of Vomeronasal Organ Aging in Mice.

Applications

Unspecified application

Species

Unspecified reactive species

Violaine Mechin,Patrick Pageat,Eva Teruel,Pietro Asproni

Cancers 12: PubMed32575572

2020

Small Molecule Inhibitors Targeting Gα2 Protein Attenuate Migration of Cancer Cells.

Applications

Unspecified application

Species

Unspecified reactive species

Silvia Caggia,Subhasish Tapadar,Bocheng Wu,Smrruthi V Venugopal,Autumn S Garrett,Aditi Kumar,Janae S Stiffend,John S Davis,Adegboyega K Oyelere,Shafiq A Khan

Frontiers in pharmacology 11:703 PubMed32536864

2020

SNHG1 Inhibits ox-LDL-Induced Inflammatory Response and Apoptosis of HUVECs Up-Regulating GNAI2 and PCBP1.

Applications

Unspecified application

Species

Unspecified reactive species

Yuan Lu,Jue Xi,Yao Zhang,Wensu Chen,Fengyun Zhang,Chenzong Li,Zhirong Wang

eLife 7: PubMed30526853

2018

Molecular basis of signaling specificity between GIRK channels and GPCRs.

Applications

Unspecified application

Species

Unspecified reactive species

Kouki K Touhara,Roderick MacKinnon
View all publications

Product promise

We are committed to supporting your work with high-quality reagents, and we're here for you every step of the way. In the unlikely event that one of our products does not perform as expected, you're protected by our Product Promise.
For full details, please see our Terms & Conditions

Please note: All products are 'FOR RESEARCH USE ONLY. NOT FOR USE IN DIAGNOSTIC OR THERAPEUTIC PROCEDURES'.

For licensing inquiries, please contact partnerships@abcam.com