JavaScript is disabled in your browser. Please enable JavaScript to view this website.
AB249914

Anti-GNAI3 antibody [EPR11900] - BSA and Azide free

Be the first to review this product! Submit a review

|

(1 Publication)

Rabbit Recombinant Monoclonal GNAI3 antibody. Carrier free. Suitable for IHC-P, WB, Flow Cyt (Intra) and reacts with Human samples. Cited in 1 publication.

View Alternative Names

Guanine nucleotide-binding protein G(i) subunit alpha-3, G(i) alpha-3, GNAI3

4 Images
Immunohistochemistry (Formalin/PFA-fixed paraffin-embedded sections) - Anti-GNAI3 antibody [EPR11900] - BSA and Azide free (AB249914)
  • IHC-P

Supplier Data

Immunohistochemistry (Formalin/PFA-fixed paraffin-embedded sections) - Anti-GNAI3 antibody [EPR11900] - BSA and Azide free (AB249914)

This data was developed using ab176339, the same antibody clone in a different buffer formulation.

Immunohistochemical analysis of paraffin-embedded Human skeletal muscle tissue labeling GNAI3 with ab176339 at 1/50 dilution.

Perform heat mediated antigen retrieval with citrate buffer pH 6 before commencing with IHC staining protocol.

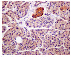
Immunohistochemistry (Formalin/PFA-fixed paraffin-embedded sections) - Anti-GNAI3 antibody [EPR11900] - BSA and Azide free (AB249914)
  • IHC-P

Supplier Data

Immunohistochemistry (Formalin/PFA-fixed paraffin-embedded sections) - Anti-GNAI3 antibody [EPR11900] - BSA and Azide free (AB249914)

This data was developed using ab176339, the same antibody clone in a different buffer formulation.

Immunohistochemical analysis of paraffin-embedded Human pancreas tissue labeling GNAI3 with ab176339 at 1/50 dilution.

Perform heat mediated antigen retrieval with citrate buffer pH 6 before commencing with IHC staining protocol.

Flow Cytometry (Intracellular) - Anti-GNAI3 antibody [EPR11900] - BSA and Azide free (AB249914)
  • Flow Cyt (Intra)

Supplier Data

Flow Cytometry (Intracellular) - Anti-GNAI3 antibody [EPR11900] - BSA and Azide free (AB249914)

This data was developed using ab176339, the same antibody clone in a different buffer formulation.

Intracellular flow cytometric analysis of permeabilized A431 cells labeling GNAI3 with ab176339 at 1/10 dilution (red) or a rabbit IgG (negative) (green).

Western blot - Anti-GNAI3 antibody [EPR11900] - BSA and Azide free (AB249914)
  • WB

Supplier Data

Western blot - Anti-GNAI3 antibody [EPR11900] - BSA and Azide free (AB249914)

This data was developed using ab176339, the same antibody clone in a different buffer formulation.

All lanes:

Western blot - Anti-GNAI3 antibody [EPR11900] (<a href='/en-us/products/primary-antibodies/gnai3-antibody-epr11900-ab176339'>ab176339</a>) at 1/1000 dilution

Lane 1:

Fetal brain lysate at 10 µg

Lane 2:

Fetal kidney lysate at 10 µg

Lane 3:

A431 cell lysate at 10 µg

Predicted band size: 41 kDa

false

Key facts

Host species

Rabbit

Clonality

Monoclonal

Clone number

EPR11900

Isotype

IgG

Carrier free

Yes

Reacts with

Human

Applications

IHC-P, Flow Cyt (Intra), WB

applications

Immunogen

The exact immunogen used to generate this antibody is proprietary information.

Specificity

The peptide immunogen shares a 94% and 93% homology with human GNAI1 and GNAI2 respectively, therefore we believe cross-reactivity is highly likely but this has not been experimentally assessed.

Reactivity data

{ "title": "Reactivity Data", "filters": { "stats": ["", "Species", "Dilution Info", "Notes"], "tabs": { "all-applications": {"fullname" : "All Applications", "shortname": "All Applications"}, "IHCP" : {"fullname" : "Immunohistochemistry (Formalin/PFA-fixed paraffin-embedded sections)", "shortname":"IHC-P"}, "IP" : {"fullname" : "Immunoprecipitation", "shortname":"IP"}, "WB" : {"fullname" : "Western blot", "shortname":"WB"}, "ICCIF" : {"fullname" : "Immunocytochemistry/ Immunofluorescence", "shortname":"ICC/IF"}, "FlowCytIntra" : {"fullname" : "Flow Cytometry (Intracellular)", "shortname":"Flow Cyt (Intra)"} }, "product-promise": { "all": "all", "testedAndGuaranteed": "tested", "guaranteed": "expected", "predicted": "predicted", "notRecommended": "not-recommended" } }, "values": { "Human": { "IHCP-species-checked": "testedAndGuaranteed", "IHCP-species-dilution-info": "", "IHCP-species-notes": "<p></p>", "IP-species-checked": "notRecommended", "IP-species-dilution-info": "", "IP-species-notes": "<p></p>", "WB-species-checked": "testedAndGuaranteed", "WB-species-dilution-info": "", "WB-species-notes": "<p></p>", "ICCIF-species-checked": "notRecommended", "ICCIF-species-dilution-info": "", "ICCIF-species-notes": "<p></p>", "FlowCytIntra-species-checked": "testedAndGuaranteed", "FlowCytIntra-species-dilution-info": "", "FlowCytIntra-species-notes": "<p></p>" }, "Mouse": { "IHCP-species-checked": "predicted", "IHCP-species-dilution-info": "", "IHCP-species-notes": "", "IP-species-checked": "notRecommended", "IP-species-dilution-info": "", "IP-species-notes": "", "WB-species-checked": "predicted", "WB-species-dilution-info": "", "WB-species-notes": "", "ICCIF-species-checked": "notRecommended", "ICCIF-species-dilution-info": "", "ICCIF-species-notes": "", "FlowCytIntra-species-checked": "predicted", "FlowCytIntra-species-dilution-info": "", "FlowCytIntra-species-notes": "" }, "Rat": { "IHCP-species-checked": "predicted", "IHCP-species-dilution-info": "", "IHCP-species-notes": "", "IP-species-checked": "notRecommended", "IP-species-dilution-info": "", "IP-species-notes": "", "WB-species-checked": "predicted", "WB-species-dilution-info": "", "WB-species-notes": "", "ICCIF-species-checked": "notRecommended", "ICCIF-species-dilution-info": "", "ICCIF-species-notes": "", "FlowCytIntra-species-checked": "predicted", "FlowCytIntra-species-dilution-info": "", "FlowCytIntra-species-notes": "" } } }

Product details

ab249914 is the carrier-free version of ab176339.

Patented technology
Our RabMAb® technology is a patented hybridoma-based technology for making rabbit monoclonal antibodies. For details on our patents, please refer to RabMAb® patents.

What are the advantages of a recombinant monoclonal antibody?
This product is a recombinant monoclonal antibody, which offers several advantages including:

  • - High batch-to-batch consistency and reproducibility
  • - Improved sensitivity and specificity
  • - Long-term security of supply
  • - Animal-free batch production

For more information, read more on recombinant antibodies.

Conjugation ready
Our carrier-free antibodies are typically supplied in a PBS-only formulation, purified and free of BSA, sodium azide and glycerol. This conjugation-ready format is designed for use with fluorochromes, metal isotopes, oligonucleotides, and enzymes, which makes them ideal for antibody labelling, functional and cell-based assays, flow-based assays (e.g. mass cytometry) and Multiplex Imaging applications.

Use our conjugation kits for antibody conjugates that are ready-to-use in as little as 20 minutes with 1 minute hands-on-time and 100% antibody recovery: available for fluorescent dyes, HRP, biotin and gold.

Compatibility
This product is compatible with the Maxpar® Antibody Labeling Kit from Fluidigm, without the need for antibody preparation. Maxpar® is a trademark of Fluidigm Canada Inc.

Properties and storage information

Form
Liquid
Purification technique
Affinity purification Protein A
Storage buffer
pH: 7.2 - 7.4 Constituents: PBS
Shipped at conditions
Blue Ice
Appropriate short-term storage conditions
+4°C
Appropriate long-term storage conditions
+4°C
Storage information
Do Not Freeze

Supplementary information

This supplementary information is collated from multiple sources and compiled automatically.

GNAI3 also known as the guanine nucleotide-binding protein G(i) alpha-3 subunit is part of the heterotrimeric G protein family. Its molecular weight is approximately 41 kDa. This protein plays a role in transmitting signals from extracellular stimuli through cell-surface receptors to the intracellular signaling pathways. GNAI3 is expressed in various tissues including the brain and heart where it facilitates important cellular responses by interacting with other proteins in signaling pathways.
Biological function summary

GNAI3 contributes to inhibiting adenylate cyclase activity reducing cyclic AMP levels and therefore modulating downstream signaling events. It forms part of the heterotrimeric guanine nucleotide-binding protein complex which consists of alpha beta and gamma subunits. By interacting with this complex GNAI3 regulates processes like cell division immune response and sensory perception demonstrating its diverse functional roles within the cell.

Pathways

GNAI3 is involved in the G protein-coupled receptor (GPCR) signaling pathway which is essential for transmitting numerous extracellular signals to the inside of the cell. GNAI3 modulates signals from neurotransmitters and hormones that activate this pathway. Additionally GNAI3 interacts with other proteins such as beta-arrestins which are important for receptor desensitization and signal termination within the GPCR signaling system.

Researchers have linked GNAI3 disruptions to auriculocondylar syndrome and certain forms of cancer. In auriculocondylar syndrome mutations in GNAI3 contribute to craniofacial abnormalities. Additionally alterations in its signaling pathways might contribute to tumor progression by failing to regulate cell proliferation properly. GNAI3 interacts with proteins including RGS proteins which help in temporally regulating signal transduction showing its significance in health and disease contexts.

Product protocols

For this product, it's our understanding that no specific protocols are required. You can visit:

Target data

Heterotrimeric guanine nucleotide-binding proteins (G proteins) function as transducers downstream of G protein-coupled receptors (GPCRs) in numerous signaling cascades. The alpha chain contains the guanine nucleotide binding site and alternates between an active, GTP-bound state and an inactive, GDP-bound state. Signaling by an activated GPCR promotes GDP release and GTP binding. The alpha subunit has a low GTPase activity that converts bound GTP to GDP, thereby terminating the signal. Both GDP release and GTP hydrolysis are modulated by numerous regulatory proteins (PubMed : 18434541, PubMed : 19478087, PubMed : 8774883). Signaling is mediated via effector proteins, such as adenylate cyclase. Inhibits adenylate cyclase activity, leading to decreased intracellular cAMP levels (PubMed : 19478087). Stimulates the activity of receptor-regulated K(+) channels (PubMed : 2535845). The active GTP-bound form prevents the association of RGS14 with centrosomes and is required for the translocation of RGS14 from the cytoplasm to the plasma membrane. May play a role in cell division (PubMed : 17635935).
See full target information Guanine nucleotide-binding protein G(i) subunit alpha-3

Publications (1)

Recent publications for all applications. Explore the full list and refine your search

Frontiers in cell and developmental biology 9:775642 PubMed35004677

2021

HIF-1α Induces HECTD2 Up-Regulation and Aggravates the Malignant Progression of Renal Cell Cancer Repressing miR-320a.

Applications

Unspecified application

Species

Unspecified reactive species

Dong Lv,Taimin Shen,Juncheng Yao,Qi Yang,Ying Xiang,Zhiwei Ma
View all publications

Product promise

We are committed to supporting your work with high-quality reagents, and we're here for you every step of the way. In the unlikely event that one of our products does not perform as expected, you're protected by our Product Promise.
For full details, please see our Terms & Conditions

Please note: All products are 'FOR RESEARCH USE ONLY. NOT FOR USE IN DIAGNOSTIC OR THERAPEUTIC PROCEDURES'.

For licensing inquiries, please contact partnerships@abcam.com