JavaScript is disabled in your browser. Please enable JavaScript to view this website.
AB280960

Anti-GNAO1 antibody [EPR24151-69] - BSA and Azide free

Be the first to review this product! Submit a review

|

(0 Publication)

Rabbit Recombinant Monoclonal GNAO1 antibody. Carrier free. Suitable for WB, IHC-Fr, IHC-P and reacts with Mouse, Rat, Human samples.

View Alternative Names

Guanine nucleotide-binding protein G(o) subunit alpha, GNAO1

8 Images
Immunohistochemistry (Formalin/PFA-fixed paraffin-embedded sections) - Anti-GNAO1 antibody [EPR24151-69] - BSA and Azide free (AB280960)
  • IHC-P

Supplier Data

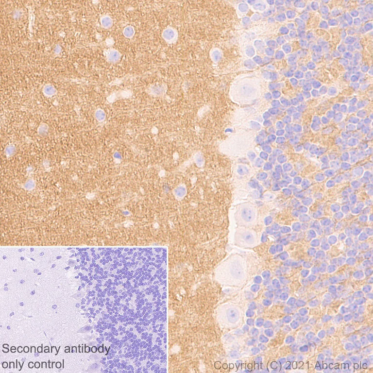
Immunohistochemistry (Formalin/PFA-fixed paraffin-embedded sections) - Anti-GNAO1 antibody [EPR24151-69] - BSA and Azide free (AB280960)

This data was developed using ab259884, the same antibody clone in a different buffer formulation.

Immunohistochemical analysis of paraffin-embedded Human cerebellum tissue labelling GNAO1 with ab259884 at 1/2000 (0.261 ug/ml) dilution followed by a ready to use Rabbit specific IHC polymer detection kit HRP/DAB (ab209101). Positive staining on human cerebellum. The section was incubated with ab259884 for 30 mins at room temperature. The immunostaining was performed on a Leica Biosystems BOND RX instrument Counterstained with Hematoxylin.

Secondary antibody only control : Secondary antibody is a ready to use Rabbit specific IHC polymer detection kit HRP/DAB (ab209101).

Heat mediated antigen retrieval with Tris-EDTA buffer (pH 9.0, epitope retrieval solution2) for 20 mins.

Immunohistochemistry (Formalin/PFA-fixed paraffin-embedded sections) - Anti-GNAO1 antibody [EPR24151-69] - BSA and Azide free (AB280960)
  • IHC-P

Supplier Data

Immunohistochemistry (Formalin/PFA-fixed paraffin-embedded sections) - Anti-GNAO1 antibody [EPR24151-69] - BSA and Azide free (AB280960)

This data was developed using ab259884, the same antibody clone in a different buffer formulation.

Immunohistochemical analysis of paraffin-embedded Mouse cerebellum tissue labelling GNAO1 with ab259884 at 1/5000 (0.104 ug/ml) dilution followed by a ready to use Rabbit specific IHC polymer detection kit HRP/DAB (ab209101). Positive staining on mouse cerebellum. The section was incubated with ab259884 for 30 mins at room temperature.The immunostaining was performed on a Leica Biosystems BOND RX instrument Counterstained with Hematoxylin.

Secondary antibody only control : Secondary antibody is a ready to use Rabbit specific IHC polymer detection kit HRP/DAB (ab209101).

Heat mediated antigen retrieval with Tris-EDTA buffer (pH 9.0, epitope retrieval solution2) for 20 mins.

Immunohistochemistry (Formalin/PFA-fixed paraffin-embedded sections) - Anti-GNAO1 antibody [EPR24151-69] - BSA and Azide free (AB280960)
  • IHC-P

Supplier Data

Immunohistochemistry (Formalin/PFA-fixed paraffin-embedded sections) - Anti-GNAO1 antibody [EPR24151-69] - BSA and Azide free (AB280960)

This data was developed using ab259884, the same antibody clone in a different buffer formulation.

Immunohistochemical analysis of paraffin-embedded Rat cerebellum tissue labelling GNAO1 with ab259884 at 1/5000 (0.104 ug/ml) dilution followed by a ready to use Rabbit specific IHC polymer detection kit HRP/DAB (ab209101). Positive staining on rat cerebellum. The section was incubated with ab259884 for 30 mins at room temperature. The immunostaining was performed on a Leica Biosystems BOND RX instrument Counterstained with Hematoxylin.

Secondary antibody only control : Secondary antibody is a ready to use Rabbit specific IHC polymer detection kit HRP/DAB (ab209101).

Heat mediated antigen retrieval with Tris-EDTA buffer (pH 9.0, epitope retrieval solution2) for 20 mins.

Immunohistochemistry (Frozen sections) - Anti-GNAO1 antibody [EPR24151-69] - BSA and Azide free (AB280960)
  • IHC-Fr

Supplier Data

Immunohistochemistry (Frozen sections) - Anti-GNAO1 antibody [EPR24151-69] - BSA and Azide free (AB280960)

This data was developed using ab259884, the same antibody clone in a different buffer formulation.

Immunohistochemical analysis of 4% PFA-fixed, 0.2% Triton X-100 permeabilized frozen rat cerebellum tissue labeling GNAO1 with ab259884 at 1/100 (5.22 ug/ml) dilution followed by ab150077 Goat Anti-Rabbit IgG H&L (Alexa Fluor® 488) at 1/1000 dilution (Green). Positive staining on rat cerebellum is observed. The nuclear counterstain was DAPI (Blue).

Secondary antibody control : Secondary antibody is ab150077 Goat Anti-Rabbit IgG H&L (Alexa Fluor® 488)at 1/1000 dilution.

Heat mediated antigen retrieval using sodium citrate buffer (10mM citrate pH 6.0 + 0.05% Tween-20).

Immunohistochemistry (Frozen sections) - Anti-GNAO1 antibody [EPR24151-69] - BSA and Azide free (AB280960)
  • IHC-Fr

Supplier Data

Immunohistochemistry (Frozen sections) - Anti-GNAO1 antibody [EPR24151-69] - BSA and Azide free (AB280960)

This data was developed using ab259884, the same antibody clone in a different buffer formulation.

Immunohistochemical analysis of 4% PFA-fixed, 0.2% Triton X-100 permeabilized frozen mouse cerebellum tissue labeling GNAO1 with ab259884 at 1/100 (5.22 ug/ml) dilution followed by ab150077 Goat Anti-Rabbit IgG H&L (Alexa Fluor® 488) at 1/1000 dilution (Green). Positive staining on mouse cerebellum is observed. The nuclear counterstain was DAPI (Blue).

Secondary antibody control : Secondary antibody is ab150077 Goat Anti-Rabbit IgG H&L (Alexa Fluor® 488)at 1/1000 dilution.

Heat mediated antigen retrieval using sodium citrate buffer (10mM citrate pH 6.0 + 0.05% Tween-20).

Western blot - Anti-GNAO1 antibody [EPR24151-69] - BSA and Azide free (AB280960)
  • WB

Lab

Western blot - Anti-GNAO1 antibody [EPR24151-69] - BSA and Azide free (AB280960)

This data was developed using ab259884, the same antibody clone in a different buffer formulation.

Blocking and diluting buffer and concentration : 5% NFDM/TBST

Samples are non-boiled as boiling may cause protein aggregates.

Exposure time : 3 minutes

All lanes:

Western blot - Anti-GNAO1 antibody [EPR24151-69] (<a href='/en-us/products/primary-antibodies/gnao1-antibody-epr24151-69-ab259884'>ab259884</a>) at 1/1000 dilution

Lane 1:

IMR-32 (human neuroblastoma neuroblast) whole cell lysate at 20 µg

Lane 2:

Neuro-2a (mouse neuroblastoma neuroblast) whole cell lysate at 20 µg

Lane 3:

NIH/3T3 (mouse embryonic fibroblast), whole cell lysate at 20 µg

Secondary

All lanes:

Western blot - Goat Anti-Rabbit IgG H&L (HRP) (<a href='/en-us/products/secondary-antibodies/goat-rabbit-igg-h-l-hrp-ab97051'>ab97051</a>) at 1/100000 dilution

Predicted band size: 40 kDa

false

Western blot - Anti-GNAO1 antibody [EPR24151-69] - BSA and Azide free (AB280960)
  • WB

Lab

Western blot - Anti-GNAO1 antibody [EPR24151-69] - BSA and Azide free (AB280960)

This data was developed using ab259884, the same antibody clone in a different buffer formulation.

Blocking and diluting buffer and concentration : 5% NFDM/TBST

Exposure time : 5.5 seconds

All lanes:

Western blot - Anti-GNAO1 antibody [EPR24151-69] (<a href='/en-us/products/primary-antibodies/gnao1-antibody-epr24151-69-ab259884'>ab259884</a>) at 1/1000 dilution

All lanes:

Human cerebellum tissue lysate at 10 µg

Secondary

All lanes:

Western blot - VeriBlot for IP Detection Reagent (HRP) (<a href='/en-us/products/reagents/veriblot-for-ip-detection-reagent-hrp-ab131366'>ab131366</a>) at 1/5000 dilution

Predicted band size: 40 kDa

false

Western blot - Anti-GNAO1 antibody [EPR24151-69] - BSA and Azide free (AB280960)
  • WB

Lab

Western blot - Anti-GNAO1 antibody [EPR24151-69] - BSA and Azide free (AB280960)

This data was developed using ab259884, the same antibody clone in a different buffer formulation.

Blocking and diluting buffer and concentration : 5% NFDM/TBST

This blot was developed using a higher sensitivity ECL.

Samples are non-boiled as boiling may cause protein aggregates.

The MW observed is consistent with the literature (PMID : 14519434).

Exposure time : 7.75 seconds

All lanes:

Western blot - Anti-GNAO1 antibody [EPR24151-69] (<a href='/en-us/products/primary-antibodies/gnao1-antibody-epr24151-69-ab259884'>ab259884</a>) at 1/1000 dilution

Lane 1:

Mouse brain tissue lysate at 20 µg

Lane 2:

Mouse cerebellum tissue lysate at 20 µg

Lane 3:

Mouse hippocampus tissue lysate at 20 µg

Lane 4:

Mouse heart tissue lysate at 20 µg

Lane 5:

Rat brain tissue lysate at 20 µg

Lane 6:

Rat heart tissue lysate at 20 µg

Secondary

All lanes:

Western blot - Goat Anti-Rabbit IgG H&L (HRP) (<a href='/en-us/products/secondary-antibodies/goat-rabbit-igg-h-l-hrp-ab97051'>ab97051</a>) at 1/100000 dilution

Predicted band size: 40 kDa

false

Key facts

Host species

Rabbit

Clonality

Monoclonal

Clone number

EPR24151-69

Isotype

IgG

Carrier free

Yes

Reacts with

Mouse, Rat, Human

Applications

IHC-P, IHC-Fr, WB

applications

Immunogen

The exact immunogen used to generate this antibody is proprietary information.

Reactivity data

{ "title": "Reactivity Data", "filters": { "stats": ["", "Species", "Dilution Info", "Notes"], "tabs": { "all-applications": {"fullname" : "All Applications", "shortname": "All Applications"}, "WB" : {"fullname" : "Western blot", "shortname":"WB"}, "IHCFr" : {"fullname" : "Immunohistochemistry (Frozen sections)", "shortname":"IHC-Fr"}, "IHCP" : {"fullname" : "Immunohistochemistry (Formalin/PFA-fixed paraffin-embedded sections)", "shortname":"IHC-P"}, "ICCIF" : {"fullname" : "Immunocytochemistry/ Immunofluorescence", "shortname":"ICC/IF"}, "FlowCyt" : {"fullname" : "Flow Cytometry", "shortname":"Flow Cyt"}, "IP" : {"fullname" : "Immunoprecipitation", "shortname":"IP"} }, "product-promise": { "all": "all", "testedAndGuaranteed": "tested", "guaranteed": "expected", "predicted": "predicted", "notRecommended": "not-recommended" } }, "values": { "Human": { "WB-species-checked": "testedAndGuaranteed", "WB-species-dilution-info": "", "WB-species-notes": "<p></p>", "IHCFr-species-checked": "guaranteed", "IHCFr-species-dilution-info": "", "IHCFr-species-notes": "", "IHCP-species-checked": "testedAndGuaranteed", "IHCP-species-dilution-info": "", "IHCP-species-notes": "<p></p>", "ICCIF-species-checked": "notRecommended", "ICCIF-species-dilution-info": "", "ICCIF-species-notes": "<p></p>", "FlowCyt-species-checked": "notRecommended", "FlowCyt-species-dilution-info": "", "FlowCyt-species-notes": "<p></p>", "IP-species-checked": "notRecommended", "IP-species-dilution-info": "", "IP-species-notes": "<p></p>" }, "Mouse": { "WB-species-checked": "testedAndGuaranteed", "WB-species-dilution-info": "", "WB-species-notes": "<p></p>", "IHCFr-species-checked": "testedAndGuaranteed", "IHCFr-species-dilution-info": "", "IHCFr-species-notes": "<p></p>", "IHCP-species-checked": "testedAndGuaranteed", "IHCP-species-dilution-info": "", "IHCP-species-notes": "<p></p>", "ICCIF-species-checked": "notRecommended", "ICCIF-species-dilution-info": "", "ICCIF-species-notes": "<p></p>", "FlowCyt-species-checked": "notRecommended", "FlowCyt-species-dilution-info": "", "FlowCyt-species-notes": "<p></p>", "IP-species-checked": "notRecommended", "IP-species-dilution-info": "", "IP-species-notes": "<p></p>" }, "Rat": { "WB-species-checked": "testedAndGuaranteed", "WB-species-dilution-info": "", "WB-species-notes": "<p></p>", "IHCFr-species-checked": "testedAndGuaranteed", "IHCFr-species-dilution-info": "", "IHCFr-species-notes": "<p></p>", "IHCP-species-checked": "testedAndGuaranteed", "IHCP-species-dilution-info": "", "IHCP-species-notes": "<p></p>", "ICCIF-species-checked": "notRecommended", "ICCIF-species-dilution-info": "", "ICCIF-species-notes": "", "FlowCyt-species-checked": "notRecommended", "FlowCyt-species-dilution-info": "", "FlowCyt-species-notes": "", "IP-species-checked": "notRecommended", "IP-species-dilution-info": "", "IP-species-notes": "" } } }

Product details

ab280960 is the carrier-free version of ab259884.

Patented technology
Our RabMAb® technology is a patented hybridoma-based technology for making rabbit monoclonal antibodies. For details on our patents, please refer to RabMAb® patents.

What are the advantages of a recombinant monoclonal antibody?
This product is a recombinant monoclonal antibody, which offers several advantages including:

  • - High batch-to-batch consistency and reproducibility
  • - Improved sensitivity and specificity
  • - Long-term security of supply
  • - Animal-free batch production

For more information, read more on recombinant antibodies.

Conjugation ready
Our carrier-free antibodies are typically supplied in a PBS-only formulation, purified and free of BSA, sodium azide and glycerol. This conjugation-ready format is designed for use with fluorochromes, metal isotopes, oligonucleotides, and enzymes, which makes them ideal for antibody labelling, functional and cell-based assays, flow-based assays (e.g. mass cytometry) and Multiplex Imaging applications.

Use our conjugation kits for antibody conjugates that are ready-to-use in as little as 20 minutes with 1 minute hands-on-time and 100% antibody recovery: available for fluorescent dyes, HRP, biotin and gold.

Compatibility
This product is compatible with the Maxpar® Antibody Labeling Kit from Fluidigm, without the need for antibody preparation. Maxpar® is a trademark of Fluidigm Canada Inc.

Properties and storage information

Form
Liquid
Purification technique
Affinity purification Protein A
Storage buffer
Constituents: PBS
Shipped at conditions
Blue Ice
Appropriate short-term storage conditions
+4°C
Appropriate long-term storage conditions
+4°C

Supplementary information

This supplementary information is collated from multiple sources and compiled automatically.

GNAO1 also known as Guanine nucleotide-binding protein G(o) subunit alpha acts mechanically as part of the signaling processes within cells. It is a G protein alpha subunit that weighs around 41 kDa. The protein is widely expressed in neurons particularly affecting neurotransmitter signal transduction in brain regions like the cortex and hippocampus. GNAO1 is a part of the heterotrimeric G protein family that transduces signals from receptors on the cell surface to internal effectors playing a central role in signal processing.
Biological function summary

GNAO1 regulates the activity of various downstream effectors contributing to multiple cellular responses. It partners with beta and gamma subunits in forming a heterotrimeric G protein complex. The GNAO1's impact includes modulating neurotransmitter release influencing neuronal excitability and controlling other cellular processes like gene transcription. This protein's involvement in these processes highlights its necessity for normal neurological function and synaptic signaling.

Pathways

GNAO1 engages in critical molecular pathways such as the G protein-coupled receptor (GPCR) signaling pathway and the MAPK signaling pathway. It acts in concert with proteins like GNAI1 and GNB1 within these pathways contributing to a variety of cellular responses by transmitting signals received from extracellular ligands to initiate intracellular actions. GNAO1's activity in these pathways ensures proper signaling cascade required for normal cellular responses.

Mutations or dysfunctions of GNAO1 can lead to neurological conditions such as epileptic encephalopathy and movement disorders like dystonia. It relates closely to disorders through its interaction with proteins like GNB1 which also influence similar neurological diseases. These associations underline GNAO1's significance in maintaining neurological health shedding light on potential therapeutic targets for related disorders.

Product protocols

For this product, it's our understanding that no specific protocols are required. You can visit:

Target data

Guanine nucleotide-binding proteins (G proteins) function as transducers downstream of G protein-coupled receptors (GPCRs) in numerous signaling cascades (PubMed : 29925951). The alpha chain contains the guanine nucleotide binding site and alternates between an active, GTP-bound state and an inactive, GDP-bound state (By similarity). Signaling by an activated GPCR promotes GDP release and GTP binding (By similarity). The alpha subunit has a low GTPase activity that converts bound GTP to GDP, thereby terminating the signal (By similarity). Both GDP release and GTP hydrolysis are modulated by numerous regulatory proteins (By similarity). Signaling is mediated via effector proteins, such as adenylate cyclase (By similarity). Inhibits adenylate cyclase activity, leading to decreased intracellular cAMP levels (By similarity).
See full target information GNAO1

Product promise

We are committed to supporting your work with high-quality reagents, and we're here for you every step of the way. In the unlikely event that one of our products does not perform as expected, you're protected by our Product Promise.
For full details, please see our Terms & Conditions

Please note: All products are 'FOR RESEARCH USE ONLY. NOT FOR USE IN DIAGNOSTIC OR THERAPEUTIC PROCEDURES'.

For licensing inquiries, please contact partnerships@abcam.com