JavaScript is disabled in your browser. Please enable JavaScript to view this website.
AB75825

Anti-GNAQ antibody

5

(2 Reviews)

|

(14 Publications)

Rabbit Polyclonal GNAQ antibody. Suitable for ICC/IF, WB, IHC-P, IP and reacts with Human, Mouse, Rat samples. Cited in 14 publications.

View Alternative Names

GAQ, GNAQ, Guanine nucleotide-binding protein G(q) subunit alpha, Guanine nucleotide-binding protein alpha-q

5 Images
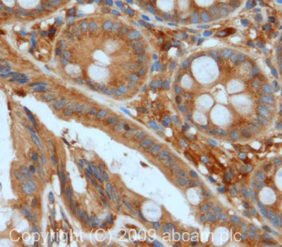
Immunohistochemistry (Formalin/PFA-fixed paraffin-embedded sections) - Anti-GNAQ antibody (AB75825)
  • IHC-P

Unknown

Immunohistochemistry (Formalin/PFA-fixed paraffin-embedded sections) - Anti-GNAQ antibody (AB75825)

IHC image of G protein alpha q staining in human colon formalin fixed paraffin embedded tissue section, performed on a Leica BondTM system using the standard protocol F. The section was pre-treated using heat mediated antigen retrieval with sodium citrate buffer (pH6, epitope retrieval solution 1) for 20 mins. The section was then incubated with ab75825, 5µg/ml, for 15 mins at room temperature and detected using an HRP conjugated compact polymer system. DAB was used as the chromogen. The section was then counterstained with haematoxylin and mounted with DPX.

Immunohistochemistry (Formalin/PFA-fixed paraffin-embedded sections) - Anti-GNAQ antibody (AB75825)
  • IHC-P

Ap21748****

Immunohistochemistry (Formalin/PFA-fixed paraffin-embedded sections) - Anti-GNAQ antibody (AB75825)

IHC image of GNAQ staining in Human normal lung formalin fixed paraffin embedded tissue section*, performed on a Leica Bond™ system using the standard protocol F. The section was pre-treated using heat mediated antigen retrieval with sodium citrate buffer (pH6, epitope retrieval solution 1) for 20 mins. The section was then incubated with ab75825, 1μg/ml, for 15 mins at room temperature and detected using an HRP conjugated compact polymer system. DAB was used as the chromogen. The section was then counterstained with haematoxylin and mounted with DPX.

For other IHC staining systems (automated and non-automated) customers should optimize variable parameters such as antigen retrieval conditions, primary antibody concentration and antibody incubation times.

*Tissue obtained from the Human Research Tissue Bank, supported by the NIHR Cambridge Biomedical Research Centre

Immunocytochemistry/ Immunofluorescence - Anti-GNAQ antibody (AB75825)
  • ICC/IF

Unknown

Immunocytochemistry/ Immunofluorescence - Anti-GNAQ antibody (AB75825)

ICC/IF image of ab75825 stained Hek293 cells. The cells were 4% paraformaldehyde fixed (10 min) and then incubated in 1%BSA / 10% normal goat serum / 0.3M glycine in 0.1% PBS-Tween for 1h to permeabilise the cells and block non-specific protein-protein interactions. The cells were then incubated with the antibody (ab75825, 5µg/ml) overnight at +4°C. The secondary antibody (green) was ab96899, DyLight® 488 goat anti-rabbit IgG (H+L) used at a 1/250 dilution for 1h. Alexa Fluor® 594 WGA was used to label plasma membranes (red) at a 1/200 dilution for 1h. DAPI was used to stain the cell nuclei (blue) at a concentration of 1.43µM. This antibody also gave a positive result in 4% paraformaldehyde fixed (10 min) HepG2 cells at 5µg/ml, and in 100% methanol fixed (5 min) Hek293, HepG2 and MCF7 cells at 5µg/ml.

Western blot - Anti-GNAQ antibody (AB75825)
  • WB

Unknown

Western blot - Anti-GNAQ antibody (AB75825)

All lanes:

Western blot - Anti-GNAQ antibody (ab75825) at 1 µg/mL

Lane 1:

HepG2 (Human hepatocellular liver carcinoma cell line) Whole Cell Lysate at 10 µg

Lane 2:

Pancreas (Mouse) Tissue Lysate at 10 µg

Lane 3:

Kidney (Mouse) Tissue Lysate at 10 µg

Lane 4:

Liver (Rat) Tissue Lysate at 10 µg

Secondary

All lanes:

Goat polyclonal to Rabbit IgG - H&L - Pre-Adsorbed (HRP)

Predicted band size: 42 kDa

Observed band size: 42 kDa,70 kDa

true

Immunoprecipitation - Anti-GNAQ antibody (AB75825)
  • IP

Unknown

Immunoprecipitation - Anti-GNAQ antibody (AB75825)

GNAQ was immunoprecipitated using 0.5mg HepG2 whole cell extract, 5µg of Rabbit polyclonal to GNAQ and 50µl of protein G magnetic beads (+). No antibody was added to the control (-).
The antibody was incubated under agitation with Protein G beads for 10min, HepG2 whole cell extract lysate diluted in RIPA buffer was added to each sample and incubated for a further 10min under agitation.
Proteins were eluted by addition of 40µl SDS loading buffer and incubated for 10min at 70oC; 10µl of each sample was separated on a SDS PAGE gel, transferred to a nitrocellulose membrane, blocked with 5% BSA and probed with ab75825.
Secondary : Mouse monoclonal [SB62a] Secondary Antibody to Rabbit IgG light chain (HRP) (ab99697).
Band : 42kDa : GNAQ.

All lanes:

Immunoprecipitation - Anti-GNAQ antibody (ab75825)

Predicted band size: 42 kDa

false

Key facts

Host species

Rabbit

Clonality

Polyclonal

Isotype

IgG

Carrier free

No

Reacts with

Mouse, Rat, Human

Applications

ICC/IF, WB, IHC-P, IP

applications

Immunogen

The exact immunogen used to generate this antibody is proprietary information.

Specificity

The immunogen used for this product shares 66% homology with GNA11. Cross-reactivity with this protein has not been confirmed experimentally.

Reactivity data

{ "title": "Reactivity Data", "filters": { "stats": ["", "Species", "Dilution Info", "Notes"], "tabs": { "all-applications": {"fullname" : "All Applications", "shortname": "All Applications"}, "ICCIF" : {"fullname" : "Immunocytochemistry/ Immunofluorescence", "shortname":"ICC/IF"}, "WB" : {"fullname" : "Western blot", "shortname":"WB"}, "IHCP" : {"fullname" : "Immunohistochemistry (Formalin/PFA-fixed paraffin-embedded sections)", "shortname":"IHC-P"}, "IP" : {"fullname" : "Immunoprecipitation", "shortname":"IP"} }, "product-promise": { "all": "all", "testedAndGuaranteed": "tested", "guaranteed": "expected", "predicted": "predicted", "notRecommended": "not-recommended" } }, "values": { "Human": { "ICCIF-species-checked": "testedAndGuaranteed", "ICCIF-species-dilution-info": "5 µg/mL", "ICCIF-species-notes": "<p></p>", "WB-species-checked": "testedAndGuaranteed", "WB-species-dilution-info": "1 µg/mL", "WB-species-notes": "<p></p>", "IHCP-species-checked": "testedAndGuaranteed", "IHCP-species-dilution-info": "1-5 µg/mL", "IHCP-species-notes": "<p></p> Perform heat-mediated antigen retrieval before commencing with IHC staining protocol.", "IP-species-checked": "testedAndGuaranteed", "IP-species-dilution-info": "", "IP-species-notes": "<p></p>" }, "Mouse": { "ICCIF-species-checked": "guaranteed", "ICCIF-species-dilution-info": "", "ICCIF-species-notes": "", "WB-species-checked": "testedAndGuaranteed", "WB-species-dilution-info": "1 µg/mL", "WB-species-notes": "<p></p>", "IHCP-species-checked": "guaranteed", "IHCP-species-dilution-info": "", "IHCP-species-notes": "", "IP-species-checked": "guaranteed", "IP-species-dilution-info": "", "IP-species-notes": "" }, "Rat": { "ICCIF-species-checked": "guaranteed", "ICCIF-species-dilution-info": "5 µg/mL", "ICCIF-species-notes": "<p></p>", "WB-species-checked": "guaranteed", "WB-species-dilution-info": "1 µg/mL", "WB-species-notes": "<p></p>", "IHCP-species-checked": "guaranteed", "IHCP-species-dilution-info": "1-5 µg/mL", "IHCP-species-notes": "<p></p> Perform heat-mediated antigen retrieval before commencing with IHC staining protocol.", "IP-species-checked": "guaranteed", "IP-species-dilution-info": "", "IP-species-notes": "<p></p>" }, "Dog": { "ICCIF-species-checked": "predicted", "ICCIF-species-dilution-info": "", "ICCIF-species-notes": "", "WB-species-checked": "predicted", "WB-species-dilution-info": "", "WB-species-notes": "", "IHCP-species-checked": "predicted", "IHCP-species-dilution-info": "", "IHCP-species-notes": "", "IP-species-checked": "predicted", "IP-species-dilution-info": "", "IP-species-notes": "" }, "Pig": { "ICCIF-species-checked": "predicted", "ICCIF-species-dilution-info": "", "ICCIF-species-notes": "", "WB-species-checked": "predicted", "WB-species-dilution-info": "", "WB-species-notes": "", "IHCP-species-checked": "predicted", "IHCP-species-dilution-info": "", "IHCP-species-notes": "", "IP-species-checked": "predicted", "IP-species-dilution-info": "", "IP-species-notes": "" }, "Xenopus laevis": { "ICCIF-species-checked": "predicted", "ICCIF-species-dilution-info": "", "ICCIF-species-notes": "", "WB-species-checked": "predicted", "WB-species-dilution-info": "", "WB-species-notes": "", "IHCP-species-checked": "predicted", "IHCP-species-dilution-info": "", "IHCP-species-notes": "", "IP-species-checked": "predicted", "IP-species-dilution-info": "", "IP-species-notes": "" } } }

Properties and storage information

Form
Liquid
Purification technique
Affinity purification Immunogen
Storage buffer
pH: 7.4 Preservative: 0.02% Sodium azide Constituents: 98.98% PBS, 1% BSA
Shipped at conditions
Blue Ice
Appropriate short-term storage duration
1-2 weeks
Appropriate short-term storage conditions
+4°C
Appropriate long-term storage conditions
-20°C
Aliquoting information
Upon delivery aliquot
Storage information
Avoid freeze / thaw cycle

Supplementary information

This supplementary information is collated from multiple sources and compiled automatically.

GNAQ also known as Guanine nucleotide-binding protein G(q) subunit alpha plays a role in cell signaling as a modulator or transducer in various transmembrane signaling systems. With a molecular weight of approximately 42 kDa GNAQ belongs to the Gq family of G proteins. It is widely expressed in human tissues such as the brain heart and placenta. The protein's main mechanism involves binding to GTP and GDP leading it to switch between inactive GDP-bound and active GTP-bound states.
Biological function summary

GNAQ influences multiple cell processes mediating the activation of phospholipase C-beta a critical enzyme in hydrolyzing phosphatidylinositol 45-bisphosphate (PIP2) to inositol trisphosphate and diacylglycerol. This action leads to the release of calcium ions from intracellular stores. GNAQ acts as part of a heterotrimeric G protein complex which requires coordination with beta and gamma subunits to achieve full functional capability. Its activity is critical for processes like cell proliferation and differentiation.

Pathways

GNAQ notably participates in the phosphoinositide signaling pathway and calcium signaling pathway. In the phosphoinositide signaling pathway GNAQ facilitates the link between G protein-coupled receptors (GPCRs) and downstream effectors such as phospholipase C-beta. Its activity couples with proteins like GNA11 another member of the Gq family which often shares overlapping functions and roles within these pathways. The calcium signaling pathway involves GNAQ-induced release of calcium ions contributing to various cellular events.

GNAQ mutations link to uveal melanoma and Sturge-Weber syndrome. Studies show that these mutations activate the MAPK pathway independently promoting uncontrolled cell growth seen in uveal melanoma. GNA11 closely related to GNAQ also frequently undergoes similar mutations in uveal melanoma. In Sturge-Weber syndrome mutation of GNAQ leads to abnormal capillary growth and neurological issues evidencing its pathogenic role in vascular malformations.

Product protocols

For this product, it's our understanding that no specific protocols are required. You can visit:

Target data

Guanine nucleotide-binding proteins (G proteins) function as transducers downstream of G protein-coupled receptors (GPCRs) in numerous signaling cascades (PubMed : 37991948). The alpha chain contains the guanine nucleotide binding site and alternates between an active, GTP-bound state and an inactive, GDP-bound state (PubMed : 37991948). Signaling by an activated GPCR promotes GDP release and GTP binding (PubMed : 37991948). The alpha subunit has a low GTPase activity that converts bound GTP to GDP, thereby terminating the signal (PubMed : 37991948). Both GDP release and GTP hydrolysis are modulated by numerous regulatory proteins (PubMed : 37991948). Signaling is mediated via phospholipase C-beta-dependent inositol lipid hydrolysis for signal propagation : activates phospholipase C-beta : following GPCR activation, GNAQ activates PLC-beta (PLCB1, PLCB2, PLCB3 or PLCB4), leading to production of diacylglycerol (DAG) and inositol 1,4,5-trisphosphate (IP3) (PubMed : 37991948). Required for platelet activation (By similarity). Regulates B-cell selection and survival and is required to prevent B-cell-dependent autoimmunity (By similarity). Regulates chemotaxis of BM-derived neutrophils and dendritic cells (in vitro) (By similarity). Transduces FFAR4 signaling in response to long-chain fatty acids (LCFAs) (PubMed : 27852822). Together with GNA11, required for heart development (By similarity).
See full target information GNAQ

Publications (14)

Recent publications for all applications. Explore the full list and refine your search

iScience 27:110350 PubMed39108722

2024

Heterozygous Gnaq deficiency enhances Ifi202b/IFI16 and NF-κB activation in endothelial cells and exacerbates lupus nephritis pathology.

Applications

Unspecified application

Species

Unspecified reactive species

Lu Zhang,Yan He,Mengqin Zhang,Jimin Zhang,Wuwei Zhuang,Yuechi Sun,Xing Chen,Hangzhou Fu,Xuanli Tang,Guixiu Shi

International journal of molecular sciences 23: PubMed36430902

2022

Gαq Is the Specific Mediator of PAR-1 Transactivation of Kinase Receptors in Vascular Smooth Muscle Cells.

Applications

Unspecified application

Species

Unspecified reactive species

Danielle Kamato,Mai Gabr,Hirushi Kumarapperuma,Zheng J Chia,Wenhua Zheng,Suowen Xu,Narin Osman,Peter J Little

Cancer science 113:2288-2296 PubMed35293080

2022

GNAQ T96S mutation abrogates the ability of wild-type GNAQ to induce apoptosis by phosphorylating annexin A2 in natural killer/T cell lymphoma.

Applications

Unspecified application

Species

Unspecified reactive species

Wugan Zhao,Min Zhang,Guannan Wang,Enjie Liu,Guozhong Jiang,Yanping Zhang,Dandan Zhang,Xiangyu Jian,Haiyu Zhao,Chongli Zhang,Wencai Li

Cell reports 31:107524 PubMed32320669

2020

Beta-Catenin Causes Adrenal Hyperplasia by Blocking Zonal Transdifferentiation.

Applications

Unspecified application

Species

Unspecified reactive species

Emanuele Pignatti,Sining Leng,Yixing Yuchi,Kleiton S Borges,Nick A Guagliardo,Manasvi S Shah,Gerard Ruiz-Babot,Dulanjalee Kariyawasam,Makoto Mark Taketo,Ji Miao,Paula Q Barrett,Diana L Carlone,David T Breault

Nature communications 11:1680 PubMed32245949

2020

β-Catenin and FGFR2 regulate postnatal rosette-based adrenocortical morphogenesis.

Applications

Unspecified application

Species

Unspecified reactive species

Sining Leng,Emanuele Pignatti,Radhika S Khetani,Manasvi S Shah,Simiao Xu,Ji Miao,Makoto M Taketo,Felix Beuschlein,Paula Q Barrett,Diana L Carlone,David T Breault

Genes to cells : devoted to molecular & cellular mechanisms 25:215-225 PubMed31989708

2020

OPN4 belongs to the photosensitive system of the human skin.

Applications

Unspecified application

Species

Unspecified reactive species

Junya Kusumoto,Makoto Takeo,Kazunobu Hashikawa,Takahide Komori,Takashi Tsuji,Hiroto Terashi,Shunsuke Sakakibara

Cell reports 30:1260-1270.e5 PubMed31995763

2020

Quantitative and Dynamic Catalogs of Proteins Released during Apoptotic and Necroptotic Cell Death.

Applications

Unspecified application

Species

Unspecified reactive species

Maria C Tanzer,Annika Frauenstein,Che A Stafford,Kshiti Phulphagar,Matthias Mann,Felix Meissner

American journal of physiology. Regulatory, integrative and comparative physiology 318:R38-R48 PubMed31596114

2019

Evidence that hindbrain astrocytes in the rat detect low glucose with a glucose transporter 2-phospholipase C-calcium release mechanism.

Applications

Unspecified application

Species

Unspecified reactive species

Richard C Rogers,Susan J Burke,J Jason Collier,Sue Ritter,Gerlinda E Hermann

Nature communications 10:4209 PubMed31527657

2019

Recurrent GNAQ mutation encoding T96S in natural killer/T cell lymphoma.

Applications

Unspecified application

Species

Unspecified reactive species

Zhaoming Li,Xudong Zhang,Weili Xue,Yanjie Zhang,Chaoping Li,Yue Song,Mei Mei,Lisha Lu,Yingjun Wang,Zhiyuan Zhou,Mengyuan Jin,Yangyang Bian,Lei Zhang,Xinhua Wang,Ling Li,Xin Li,Xiaorui Fu,Zhenchang Sun,Jingjing Wu,Feifei Nan,Yu Chang,Jiaqin Yan,Hui Yu,Xiaoyan Feng,Guannan Wang,Dandan Zhang,Xuefei Fu,Yuan Zhang,Ken H Young,Wencai Li,Mingzhi Zhang

Vascular medicine (London, England) 24:72-75 PubMed30112971

2018

Gαq and hyper-phosphorylated ERK expression in Sturge-Weber syndrome leptomeningeal blood vessel endothelial cells.

Applications

Unspecified application

Species

Unspecified reactive species

Rebecca J Wellman,Su Bin Cho,Pratibha Singh,Miriya Tune,Carlos A Pardo,Anne M Comi
View all publications

Product promise

We are committed to supporting your work with high-quality reagents, and we're here for you every step of the way. In the unlikely event that one of our products does not perform as expected, you're protected by our Product Promise.
For full details, please see our Terms & Conditions

Please note: All products are 'FOR RESEARCH USE ONLY. NOT FOR USE IN DIAGNOSTIC OR THERAPEUTIC PROCEDURES'.

For licensing inquiries, please contact partnerships@abcam.com