JavaScript is disabled in your browser. Please enable JavaScript to view this website.
AB97629

Anti-GNAS antibody

3

(1 Review)

|

(2 Publications)

Rabbit Polyclonal GNAS antibody. Suitable for WB, IHC-P and reacts with Human samples. Cited in 2 publications.

View Alternative Names

GNAS1, GSP, GNAS, Guanine nucleotide-binding protein G(s) subunit alpha isoforms short, Adenylate cyclase-stimulating G alpha protein

2 Images
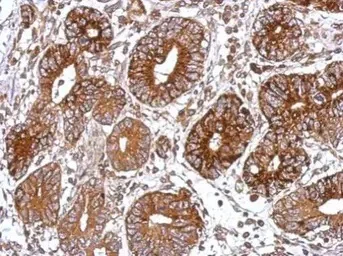
Immunohistochemistry (Formalin/PFA-fixed paraffin-embedded sections) - Anti-GNAS antibody (AB97629)
  • IHC-P

Supplier Data

Immunohistochemistry (Formalin/PFA-fixed paraffin-embedded sections) - Anti-GNAS antibody (AB97629)

Immunohistochemical analysis of paraffin-embedded human colon carcinoma, using ab97629 at a 1/500 dilution.

Antigen Retrieval : EDTA based (pH 8.0) buffer, 15min

Western blot - Anti-GNAS antibody (AB97629)
  • WB

Supplier Data

Western blot - Anti-GNAS antibody (AB97629)

Samples were separated by 10% SDS-PAGE.

All lanes:

Western blot - Anti-GNAS antibody (ab97629) at 1/5000 dilution

Lane 1:

SH-SY-5Y whole cell lysates at 30 µg

Lane 2:

A431 whole cell lysates at 30 µg

Secondary

All lanes:

HRP-conjugated anti-rabbit IgG antibody

Predicted band size: 46 kDa

false

Key facts

Host species

Rabbit

Clonality

Polyclonal

Isotype

IgG

Carrier free

No

Reacts with

Human

Applications

IHC-P, WB

applications

Immunogen

The exact immunogen used to generate this antibody is proprietary information.

Reactivity data

{ "title": "Reactivity Data", "filters": { "stats": ["", "Species", "Dilution Info", "Notes"], "tabs": { "all-applications": {"fullname" : "All Applications", "shortname": "All Applications"}, "WB" : {"fullname" : "Western blot", "shortname":"WB"}, "IHCP" : {"fullname" : "Immunohistochemistry (Formalin/PFA-fixed paraffin-embedded sections)", "shortname":"IHC-P"} }, "product-promise": { "all": "all", "testedAndGuaranteed": "tested", "guaranteed": "expected", "predicted": "predicted", "notRecommended": "not-recommended" } }, "values": { "Human": { "WB-species-checked": "testedAndGuaranteed", "WB-species-dilution-info": "1/500 - 1/3000", "WB-species-notes": "<p></p>", "IHCP-species-checked": "testedAndGuaranteed", "IHCP-species-dilution-info": "1/100 - 1/1000", "IHCP-species-notes": "<p></p>" }, "Rat": { "WB-species-checked": "predicted", "WB-species-dilution-info": "", "WB-species-notes": "", "IHCP-species-checked": "predicted", "IHCP-species-dilution-info": "", "IHCP-species-notes": "" }, "Cow": { "WB-species-checked": "predicted", "WB-species-dilution-info": "", "WB-species-notes": "", "IHCP-species-checked": "predicted", "IHCP-species-dilution-info": "", "IHCP-species-notes": "" }, "Pig": { "WB-species-checked": "predicted", "WB-species-dilution-info": "", "WB-species-notes": "", "IHCP-species-checked": "predicted", "IHCP-species-dilution-info": "", "IHCP-species-notes": "" } } }

Properties and storage information

Form
Liquid
Purification technique
Affinity purification Immunogen
Storage buffer
pH: 7 Preservative: 0.01% Thimerosal (merthiolate) Constituents: 10% Glycerol (glycerin, glycerine), 1.21% Tris, 0.75% Glycine
Shipped at conditions
Blue Ice
Appropriate short-term storage conditions
+4°C
Appropriate long-term storage conditions
-20°C
Aliquoting information
Upon delivery aliquot
Storage information
Avoid freeze / thaw cycle

Supplementary information

This supplementary information is collated from multiple sources and compiled automatically.

The GNAS protein also known as GNAS complex locus or guanine nucleotide-binding protein G(s) subunit alpha (Gαs) is a highly versatile target in cellular signaling. It has a molecular mass of approximately 45 kDa. Widely expressed across various tissues including those in the brain kidneys and endocrine glands GNAS protein plays an important role in transmitting signals from receptors on cell surfaces to effector systems inside cells.
Biological function summary

GNAS protein mediates the action of hormones and neurotransmitters by activating the cyclic AMP (cAMP) signaling pathway. It forms part of the G protein complex specifically the G protein-coupled receptors (GPCRs) where it acts as the alpha subunit interacting with beta and gamma subunits. This interaction facilitates the conversion of GDP to GTP leading to downstream activation of adenylate cyclase which increases intracellular cAMP levels and triggers various cellular responses.

Pathways

GNAS protein is pivotal in the cAMP signaling pathway and the MAPK/ERK pathway. Within these pathways it works closely with adenylate cyclase enzymes which further influence numerous physiological processes such as metabolism and cell growth. The protein’s activity also interlinks with other G proteins contributing to a wide range of cellular reactions and feedback mechanisms.

Mutations or dysregulation of the GNAS gene are associated with McCune-Albright syndrome and pseudohypoparathyroidism type 1a. McCune-Albright syndrome arises from somatic mutations in the GNAS gene that result in constitutively active Gαs protein leading to abnormal cellular proliferation. In pseudohypoparathyroidism the loss of GNAS protein function disrupts normal hormonal signaling causing resistance to parathyroid hormone (PTH) which impacts calcium and phosphate regulation in the body. The involvement of GNAS protein in these conditions highlights its key role in signal transduction and endocrine regulation.

Product protocols

For this product, it's our understanding that no specific protocols are required. You can visit:

Target data

Guanine nucleotide-binding proteins (G proteins) function as transducers in numerous signaling pathways controlled by G protein-coupled receptors (GPCRs) (PubMed : 12391161, PubMed : 17110384, PubMed : 21488135, PubMed : 26206488, PubMed : 8702665, PubMed : 10200251). The alpha chain contains the guanine nucleotide binding site and alternates between an active, GTP-bound state and an inactive, GDP-bound state (PubMed : 12391161, PubMed : 17110384, PubMed : 10200251). Signaling by an activated GPCR promotes GDP release and GTP binding (PubMed : 12391161, PubMed : 17110384, PubMed : 10200251). The alpha subunit has a low GTPase activity that converts bound GTP to GDP, thereby terminating the signal (PubMed : 12391161, PubMed : 17110384, PubMed : 10200251). Both GDP release and GTP hydrolysis are modulated by numerous regulatory proteins (PubMed : 12391161, PubMed : 17110384, PubMed : 10200251). Signaling involves the activation of adenylyl cyclases, resulting in increased levels of the signaling molecule cAMP (PubMed : 17110384, PubMed : 26206488, PubMed : 26206488, PubMed : 8702665). Functions downstream of beta-adrenergic receptors (PubMed : 21488135). Stimulates the Ras signaling pathway via RAPGEF2 (PubMed : 12391161).
See full target information GNAS

Publications (2)

Recent publications for all applications. Explore the full list and refine your search

International journal of molecular sciences 25: PubMed39684386

2024

Knockdown Induces Obesity and AHO Features in Early Zebrafish Larvae.

Applications

Unspecified application

Species

Unspecified reactive species

Alaa Abbas,Ayat S Hammad,Zain Z Zakaria,Maha Al-Asmakh,Khalid Hussain,Mashael Al-Shafai

Infection and immunity 86: PubMed29311246

2018

Candida albicans β-Glucan-Containing Particles Increase HO-1 Expression in Oral Keratinocytes via a Reactive Oxygen Species/p38 Mitogen-Activated Protein Kinase/Nrf2 Pathway.

Applications

Unspecified application

Species

Unspecified reactive species

Yoko Ishida,Kouji Ohta,Takako Naruse,Hiroki Kato,Akiko Fukui,Hideo Shigeishi,Hiromi Nishi,Kei Tobiume,Masaaki Takechi
View all publications

Product promise

We are committed to supporting your work with high-quality reagents, and we're here for you every step of the way. In the unlikely event that one of our products does not perform as expected, you're protected by our Product Promise.
For full details, please see our Terms & Conditions

Please note: All products are 'FOR RESEARCH USE ONLY. NOT FOR USE IN DIAGNOSTIC OR THERAPEUTIC PROCEDURES'.

For licensing inquiries, please contact partnerships@abcam.com