JavaScript is disabled in your browser. Please enable JavaScript to view this website.
AB283266

Anti-GNAS antibody [EPR24177-24]

  • BOND RX™ Validated
  • 20ul selling size
  • RabMAb
  • Recombinant
  • What is this?

Be the first to review this product! Submit a review

|

(3 Publications)

Rabbit Recombinant Monoclonal GNAS antibody. Suitable for IP, WB, IHC-P, ICC/IF and reacts with Human, Mouse, Rat samples. Cited in 3 publications.

View Alternative Names

GNAS1, GSP, GNAS, Guanine nucleotide-binding protein G(s) subunit alpha isoforms short, Adenylate cyclase-stimulating G alpha protein

9 Images
Immunohistochemistry (Formalin/PFA-fixed paraffin-embedded sections) - Anti-GNAS antibody [EPR24177-24] (AB283266)
  • IHC-P

Supplier Data

Immunohistochemistry (Formalin/PFA-fixed paraffin-embedded sections) - Anti-GNAS antibody [EPR24177-24] (AB283266)

Immunohistochemical analysis of paraffin-embedded Rat cerebrum tissue labelling GNAS with ab283266 at 1/1000 (0.473 ug/ml) followed by a ready to use LeicaDS9800 (Bond™ Polymer Refine Detection) was used. Positive staining on rat cerebrum. The section was incubated with ab283266 for 10 mins at room temperature. The immunostaining was performed on a Leica Biosystems BOND® RX instrument Counterstained with Hematoxylin.

Secondary antibody only control : Secondary antibody is a ready to use LeicaDS9800 (Bond™ Polymer Refine Detection) was used.

Heat mediated antigen retrieval with Citrate buffer (pH 6.0, epitope retrieval solution 1) for 10 mins.

Immunohistochemistry (Formalin/PFA-fixed paraffin-embedded sections) - Anti-GNAS antibody [EPR24177-24] (AB283266)
  • IHC-P

Supplier Data

Immunohistochemistry (Formalin/PFA-fixed paraffin-embedded sections) - Anti-GNAS antibody [EPR24177-24] (AB283266)

Immunohistochemical analysis of paraffin-embedded Human ovarian cancer tissue labelling GNAS with ab283266 at 1/2500 (0.189 μg/mL) followed by a ready to use LeicaDS9800 (Bond™ Polymer Refine Detection) was used. Positive staining on human ovarian cancer. The section was incubated with ab283266 for 10 mins at room temperature. The immunostaining was performed on a Leica Biosystems BOND® RX instrument Counterstained with Hematoxylin.

Secondary antibody only control : Secondary antibody is a ready to use LeicaDS9800 (Bond™ Polymer Refine Detection) was used.

Heat mediated antigen retrieval with Citrate buffer (pH 6.0, epitope retrieval solution 1) for 10 mins.

Immunocytochemistry/ Immunofluorescence - Anti-GNAS antibody [EPR24177-24] (AB283266)
  • ICC/IF

Supplier Data

Immunocytochemistry/ Immunofluorescence - Anti-GNAS antibody [EPR24177-24] (AB283266)

Immunofluorescent analysis of 4% Paraformaldehyde-fixed, 0.1% TritonX-100 permeabilized MCF7 cells labelling GNAS with ab283266 at 1/2000 (0.237 μg/mL) dilution, followed by ab150081 Goat Anti-Rabbit IgG H&L (Alexa Fluor® 488) preadsorbed antibody at 1/1000 (2 μg/mL) dilution (Green). Confocal image showing membranous staining in MCF7 cell line. ab195889 Anti-alpha Tubulin mouse monoclonal antibody - Microtubule Marker (Alexa Fluor® 594) was used to counterstain tubulin at 1/200 (2.5 μg/mL) dilution (Red). The Nuclear counterstain was DAPI (Blue).

Secondary antibody only control : Secondary antibody is ab150081 Goat Anti-Rabbit IgG H&L (Alexa Fluor® 488) preadsorbed at 1/1000 (2 μg/mL) dilution.

Immunohistochemistry (Formalin/PFA-fixed paraffin-embedded sections) - Anti-GNAS antibody [EPR24177-24] (AB283266)
  • IHC-P

Supplier Data

Immunohistochemistry (Formalin/PFA-fixed paraffin-embedded sections) - Anti-GNAS antibody [EPR24177-24] (AB283266)

Immunohistochemical analysis of paraffin-embedded Mouse cerebrum tissue labelling GNAS with ab283266 at 1/1000 (0.473 μg/mL) followed by a ready to use LeicaDS9800 (Bond™ Polymer Refine Detection) was used. Positive staining on mouse cerebrum. The section was incubated with ab283266 for 10 mins at room temperature. The immunostaining was performed on a Leica Biosystems BOND® RX instrument Counterstained with Hematoxylin.

Secondary antibody only control : Secondary antibody is a ready to use LeicaDS9800 (Bond™ Polymer Refine Detection) was used.

Heat mediated antigen retrieval with Citrate buffer (pH 6.0, epitope retrieval solution 1) for 10 mins.

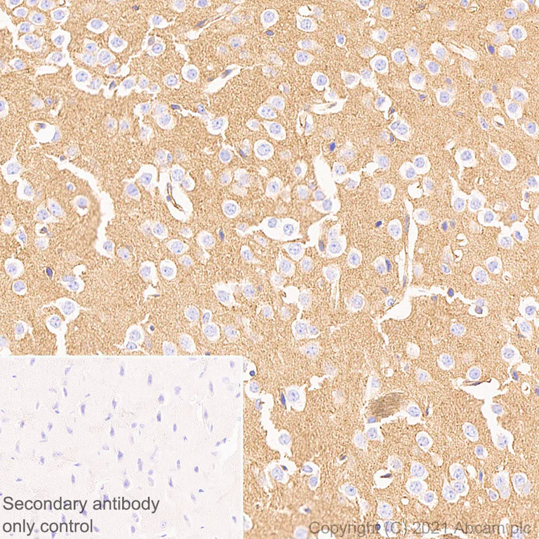
Immunohistochemistry (Formalin/PFA-fixed paraffin-embedded sections) - Anti-GNAS antibody [EPR24177-24] (AB283266)
  • IHC-P

Supplier Data

Immunohistochemistry (Formalin/PFA-fixed paraffin-embedded sections) - Anti-GNAS antibody [EPR24177-24] (AB283266)

Immunohistochemical analysis of paraffin-embedded Human cerebrum tissue labelling GNAS with ab283266 at 1/2500 (0.189 μg/mL) followed by a ready to use LeicaDS9800 (Bond™ Polymer Refine Detection) was used. Positive staining on human normal cerebrum. The section was incubated with ab283266 for 10 mins at room temperature.The immunostaining was performed on a Leica Biosystems BOND® RX instrument Counterstained with Hematoxylin.

Secondary antibody only control : Secondary antibody is a ready to use LeicaDS9800 (Bond™ Polymer Refine Detection) was used.

Heat mediated antigen retrieval with Citrate buffer (pH 6.0, epitope retrieval solution 1) for 10 mins.

Immunoprecipitation - Anti-GNAS antibody [EPR24177-24] (AB283266)
  • IP

Supplier Data

Immunoprecipitation - Anti-GNAS antibody [EPR24177-24] (AB283266)

GNAS was immunoprecipitated from 0.35 mg MCF7 (human breast adenocarcinoma epithelial cell) whole cell lysate 10 ug with ab283266 at 1/30 dilution (2 μg in 0.35mg lysates). Western blot was performed on the immunoprecipitate using ab283266 at 1/1000 dilution. VeriBlot for IP secondary antibody (HRP) (ab131366) was used at 1/5000 dilution.

Lane 1 : MCF7 (human breast adenocarcinoma epithelial cell) whole cell lysate 10 μg.

Lane 2 : ab283266 IP in MCF7 whole cell lysate.

Lane 3 : Rabbit monoclonal IgG (ab172730) instead of ab283266 in MCF7 whole cell lysate.

Blocking and dilution buffer and concentration : 5% NFDM/TBST.

Exposure time : 10 seconds.

All lanes:

Immunoprecipitation - Anti-GNAS antibody [EPR24177-24] (ab283266)

Predicted band size: 46 kDa

Observed band size: 44 kDa

false

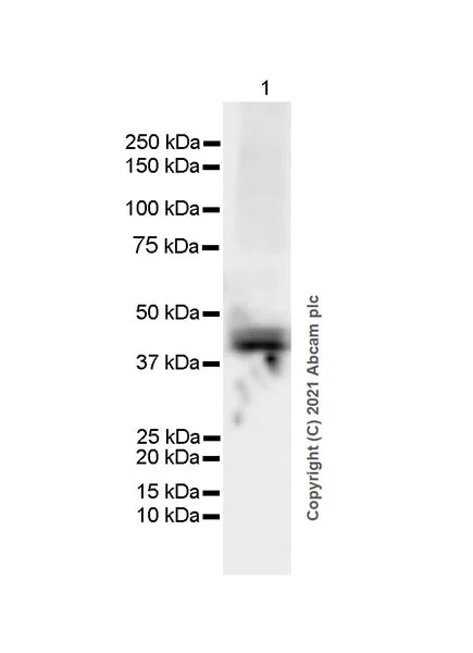
Western blot - Anti-GNAS antibody [EPR24177-24] (AB283266)
  • WB

Lab

Western blot - Anti-GNAS antibody [EPR24177-24] (AB283266)

Blocking and diluting buffer and concentration : 5% NFDM/TBST. The near two bands represent two different isoforms. The expression profile/molecular weight observed are consistent with what has been described in the literature (PMID : 3258290).

Exposure time : 15 seconds.

All lanes:

Western blot - Anti-GNAS antibody [EPR24177-24] (ab283266) at 1/1000 dilution

All lanes:

Human skeletal muscle tissue lysate at 20 µg

Secondary

All lanes:

Goat Anti-Rabbit IgG (HRP) with minimal cross-reactivity with human IgG at 1/2000 dilution

Predicted band size: 46 kDa

Observed band size: 44 kDa

false

Western blot - Anti-GNAS antibody [EPR24177-24] (AB283266)
  • WB

Lab

Western blot - Anti-GNAS antibody [EPR24177-24] (AB283266)

Blocking and diluting buffer and concentration : 5% NFDM/TBSTThe near two bands represent two different isoforms. The expression profile/molecular weight observed are consistent with what has been described in the literature (PMID : 3258290).

Exposure time : Lane 1, 3 : 37 seconds Lane 2 : 59 seconds.

All lanes:

Western blot - Anti-GNAS antibody [EPR24177-24] (ab283266) at 1/1000 dilution

Lane 1:

C6 (rat glial tumor glial cell) whole cell lysate at 20 µg

Lane 2:

RAW264.7 (mouse Abelson murine leukemia virus-induced tumor macrophage) whole cell lysate at 20 µg

Lane 3:

NIH/3T3 (mouse embryonic fibroblast) whole cell lysate at 20 µg

Secondary

All lanes:

Western blot - Goat Anti-Rabbit IgG H&L (HRP) (<a href='/en-us/products/secondary-antibodies/goat-rabbit-igg-h-l-hrp-ab97051'>ab97051</a>) at 1/100000 dilution

Predicted band size: 46 kDa

Observed band size: 44 kDa

false

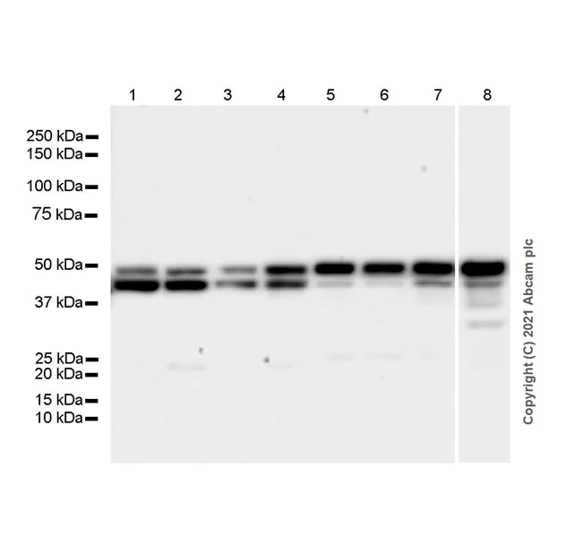
Western blot - Anti-GNAS antibody [EPR24177-24] (AB283266)
  • WB

Lab

Western blot - Anti-GNAS antibody [EPR24177-24] (AB283266)

Blocking and diluting buffer and concentration : 5% NFDM/TBST. The near two bands represent two different isoforms. The expression profile/molecular weight observed are consistent with what has been described in the literature (PMID : 3258290).

Exposure time : Lane 1-7 : 37 seconds Lane 8 : 15 seconds.

All lanes:

Western blot - Anti-GNAS antibody [EPR24177-24] (ab283266) at 1/1000 dilution

Lane 1:

MCF7 (human breast adenocarcinoma epithelial cell) whole cell lysate at 20 µg

Lane 2:

Jurkat (human T cell leukemia T lymphocyte) whole cell lysate at 20 µg

Lane 3:

HepG2 (human hepatocellar carcinoma epithelial cell) whole cell lysate 20 at 20 µg

Lane 4:

MDA-MB-231 (human breast adenocarcinoma epithelial cell) whole cell lysate at 20 µg

Lane 5:

Rat brain tissue lysate at 20 µg

Lane 6:

Rat hippocampus tissue lysate at 20 µg

Lane 7:

Mouse brain tissue lysate at 20 µg

Lane 8:

Hepa1-6 (mouse hepatoma epithelial cell) whole cell lysate at 20 µg

Secondary

Lanes 1 - 8:

Western blot - Goat Anti-Rabbit IgG H&L (HRP) (<a href='/en-us/products/secondary-antibodies/goat-rabbit-igg-h-l-hrp-ab97051'>ab97051</a>) at 1/100000 dilution

Lane 8:

Goat Anti-Rabbit IgG, (H+L), Peroxidase conjugated at 1/100000 dilution

Predicted band size: 46 kDa

Observed band size: 44 kDa

false

  • Carrier free

    Anti-GNAS antibody [EPR24177-24] - BSA and Azide free

Key facts

Host species

Rabbit

Clonality

Monoclonal

Clone number

EPR24177-24

Isotype

IgG

Carrier free

No

Reacts with

Mouse, Human, Rat

Applications

ICC/IF, IP, WB, IHC-P

applications

Immunogen

The exact immunogen used to generate this antibody is proprietary information.

Reactivity data

{ "title": "Reactivity Data", "filters": { "stats": ["", "Species", "Dilution Info", "Notes"], "tabs": { "all-applications": {"fullname" : "All Applications", "shortname": "All Applications"}, "IP" : {"fullname" : "Immunoprecipitation", "shortname":"IP"}, "FlowCyt" : {"fullname" : "Flow Cytometry", "shortname":"Flow Cyt"}, "WB" : {"fullname" : "Western blot", "shortname":"WB"}, "IHCP" : {"fullname" : "Immunohistochemistry (Formalin/PFA-fixed paraffin-embedded sections)", "shortname":"IHC-P"}, "ICCIF" : {"fullname" : "Immunocytochemistry/ Immunofluorescence", "shortname":"ICC/IF"} }, "product-promise": { "all": "all", "testedAndGuaranteed": "tested", "guaranteed": "expected", "predicted": "predicted", "notRecommended": "not-recommended" } }, "values": { "Human": { "IP-species-checked": "testedAndGuaranteed", "IP-species-dilution-info": "1/30", "IP-species-notes": "<p></p>", "FlowCyt-species-checked": "notRecommended", "FlowCyt-species-dilution-info": "", "FlowCyt-species-notes": "<p></p>", "WB-species-checked": "testedAndGuaranteed", "WB-species-dilution-info": "1/1000", "WB-species-notes": "<p></p>", "IHCP-species-checked": "testedAndGuaranteed", "IHCP-species-dilution-info": "1/1000", "IHCP-species-notes": "<p>Perform heat mediated antigen retrieval with Citrate buffer (pH 6.0, epitope retrieval solution 1) for 10 mins before commencing with IHC staining protocol.</p>", "ICCIF-species-checked": "testedAndGuaranteed", "ICCIF-species-dilution-info": "1/2000", "ICCIF-species-notes": "<p></p>" }, "Mouse": { "IP-species-checked": "guaranteed", "IP-species-dilution-info": "", "IP-species-notes": "", "FlowCyt-species-checked": "notRecommended", "FlowCyt-species-dilution-info": "", "FlowCyt-species-notes": "", "WB-species-checked": "testedAndGuaranteed", "WB-species-dilution-info": "1/1000", "WB-species-notes": "<p></p>", "IHCP-species-checked": "testedAndGuaranteed", "IHCP-species-dilution-info": "1/1000", "IHCP-species-notes": "<p>Perform heat mediated antigen retrieval with Citrate buffer (pH 6.0, epitope retrieval solution 1) for 10 mins before commencing with IHC staining protocol.</p>", "ICCIF-species-checked": "guaranteed", "ICCIF-species-dilution-info": "", "ICCIF-species-notes": "" }, "Rat": { "IP-species-checked": "guaranteed", "IP-species-dilution-info": "", "IP-species-notes": "", "FlowCyt-species-checked": "notRecommended", "FlowCyt-species-dilution-info": "", "FlowCyt-species-notes": "", "WB-species-checked": "testedAndGuaranteed", "WB-species-dilution-info": "1/1000", "WB-species-notes": "<p></p>", "IHCP-species-checked": "testedAndGuaranteed", "IHCP-species-dilution-info": "1/1000", "IHCP-species-notes": "<p>Perform heat mediated antigen retrieval with Citrate buffer (pH 6.0, epitope retrieval solution 1) for 10 mins before commencing with IHC staining protocol.</p>", "ICCIF-species-checked": "guaranteed", "ICCIF-species-dilution-info": "", "ICCIF-species-notes": "" } } }

Product details

Properties and storage information

Form
Liquid
Purification technique
Affinity purification Protein A
Storage buffer
pH: 7.2 - 7.4 Preservative: 0.01% Sodium azide Constituents: 59.94% PBS, 40% Glycerol (glycerin, glycerine), 0.05% BSA
Shipped at conditions
Blue Ice
Appropriate short-term storage duration
1-2 weeks
Appropriate short-term storage conditions
+4°C
Appropriate long-term storage conditions
-20°C
Aliquoting information
Upon delivery aliquot
Storage information
Avoid freeze / thaw cycle

Supplementary information

This supplementary information is collated from multiple sources and compiled automatically.

The GNAS protein also known as GNAS complex locus or guanine nucleotide-binding protein G(s) subunit alpha (Gαs) is a highly versatile target in cellular signaling. It has a molecular mass of approximately 45 kDa. Widely expressed across various tissues including those in the brain kidneys and endocrine glands GNAS protein plays an important role in transmitting signals from receptors on cell surfaces to effector systems inside cells.
Biological function summary

GNAS protein mediates the action of hormones and neurotransmitters by activating the cyclic AMP (cAMP) signaling pathway. It forms part of the G protein complex specifically the G protein-coupled receptors (GPCRs) where it acts as the alpha subunit interacting with beta and gamma subunits. This interaction facilitates the conversion of GDP to GTP leading to downstream activation of adenylate cyclase which increases intracellular cAMP levels and triggers various cellular responses.

Pathways

GNAS protein is pivotal in the cAMP signaling pathway and the MAPK/ERK pathway. Within these pathways it works closely with adenylate cyclase enzymes which further influence numerous physiological processes such as metabolism and cell growth. The protein’s activity also interlinks with other G proteins contributing to a wide range of cellular reactions and feedback mechanisms.

Mutations or dysregulation of the GNAS gene are associated with McCune-Albright syndrome and pseudohypoparathyroidism type 1a. McCune-Albright syndrome arises from somatic mutations in the GNAS gene that result in constitutively active Gαs protein leading to abnormal cellular proliferation. In pseudohypoparathyroidism the loss of GNAS protein function disrupts normal hormonal signaling causing resistance to parathyroid hormone (PTH) which impacts calcium and phosphate regulation in the body. The involvement of GNAS protein in these conditions highlights its key role in signal transduction and endocrine regulation.

Product protocols

For this product, it's our understanding that no specific protocols are required. You can visit:

Target data

Guanine nucleotide-binding proteins (G proteins) function as transducers in numerous signaling pathways controlled by G protein-coupled receptors (GPCRs) (PubMed : 12391161, PubMed : 17110384, PubMed : 21488135, PubMed : 26206488, PubMed : 8702665, PubMed : 10200251). The alpha chain contains the guanine nucleotide binding site and alternates between an active, GTP-bound state and an inactive, GDP-bound state (PubMed : 12391161, PubMed : 17110384, PubMed : 10200251). Signaling by an activated GPCR promotes GDP release and GTP binding (PubMed : 12391161, PubMed : 17110384, PubMed : 10200251). The alpha subunit has a low GTPase activity that converts bound GTP to GDP, thereby terminating the signal (PubMed : 12391161, PubMed : 17110384, PubMed : 10200251). Both GDP release and GTP hydrolysis are modulated by numerous regulatory proteins (PubMed : 12391161, PubMed : 17110384, PubMed : 10200251). Signaling involves the activation of adenylyl cyclases, resulting in increased levels of the signaling molecule cAMP (PubMed : 17110384, PubMed : 26206488, PubMed : 26206488, PubMed : 8702665). Functions downstream of beta-adrenergic receptors (PubMed : 21488135). Stimulates the Ras signaling pathway via RAPGEF2 (PubMed : 12391161).
See full target information GNAS

Publications (3)

Recent publications for all applications. Explore the full list and refine your search

Medicine 102:e32862 PubMed36749274

2023

Urinary insulin signaling pathway related proteins may serve as potential biomarkers for monitoring diabetes mellitus without hypertension and hyperlipidemia.

Applications

Unspecified application

Species

Unspecified reactive species

Man Zhao,Qian Meng,Man Zhang

International journal of molecular sciences 23: PubMed35743302

2022

Dysregulation of the Enteric Nervous System in the Mid Colon of Complement Component 3 Knockout Mice with Constipation Phenotypes.

Applications

Unspecified application

Species

Unspecified reactive species

Yun Ju Choi,Hee Jin Song,Ji Eun Kim,Su Jin Lee,You Jeong Jin,Yu Jeong Roh,Ayun Seol,Hye Sung Kim,Dae Youn Hwang

International journal of nanomedicine 17:1549-1566 PubMed35401001

2022

Pseudoephedrine Nanoparticles Alleviate Adriamycin-Induced Reproductive Toxicity Through the GnRhR Signaling Pathway.

Applications

Unspecified application

Species

Unspecified reactive species

Yang Fu,Peipei Yuan,Yajuan Zheng,Yaxin Wei,Liyuan Gao,Yuan Ruan,Yi Chen,Panying Li,Weisheng Feng,Xiaoke Zheng
View all publications

Product promise

We are committed to supporting your work with high-quality reagents, and we're here for you every step of the way. In the unlikely event that one of our products does not perform as expected, you're protected by our Product Promise.
For full details, please see our Terms & Conditions

Please note: All products are 'FOR RESEARCH USE ONLY. NOT FOR USE IN DIAGNOSTIC OR THERAPEUTIC PROCEDURES'.

For licensing inquiries, please contact partnerships@abcam.com