JavaScript is disabled in your browser. Please enable JavaScript to view this website.
AB229938

Anti-GNAZ antibody

Be the first to review this product! Submit a review

|

(1 Publication)

Rabbit Polyclonal GNAZ antibody. Suitable for IHC-P, ICC/IF and reacts with Human samples. Cited in 1 publication. Immunogen corresponding to Recombinant Fragment Protein within Human Guanine nucleotide-binding protein G(z) subunit alpha aa 1-150.

View Alternative Names

Guanine nucleotide-binding protein G(z) subunit alpha, G(x) alpha chain, Gz-alpha, GNAZ

2 Images
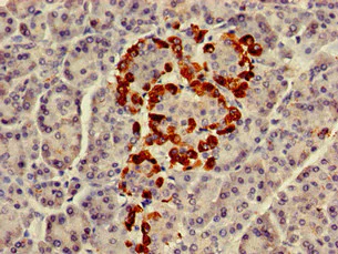
Immunohistochemistry (Formalin/PFA-fixed paraffin-embedded sections) - Anti-GNAZ antibody (AB229938)
  • IHC-P

Supplier Data

Immunohistochemistry (Formalin/PFA-fixed paraffin-embedded sections) - Anti-GNAZ antibody (AB229938)

Paraffin-embedded human pancreatic tissue stained for GNAZ using ab229938 at 1/100 dilution in immunohistochemical analysis.

Immunocytochemistry/ Immunofluorescence - Anti-GNAZ antibody (AB229938)
  • ICC/IF

Supplier Data

Immunocytochemistry/ Immunofluorescence - Anti-GNAZ antibody (AB229938)

HeLa (human epithelial cell line from cervix adenocarcinoma) cells stained for GNAZ (green) using ab229938 at 1/100 dilution in ICC/IF, followed by Alexa Fluor®488-conjugated Goat anti-Rabbit IgG (H+L).

Key facts

Host species

Rabbit

Clonality

Polyclonal

Isotype

IgG

Carrier free

No

Reacts with

Human

Applications

IHC-P, ICC/IF

applications

Immunogen

Recombinant Fragment Protein within Human Guanine nucleotide-binding protein G(z) subunit alpha aa 1-150. The exact immunogen used to generate this antibody is proprietary information.

P19086

Reactivity data

{ "title": "Reactivity Data", "filters": { "stats": ["", "Species", "Dilution Info", "Notes"], "tabs": { "all-applications": {"fullname" : "All Applications", "shortname": "All Applications"}, "IHCP" : {"fullname" : "Immunohistochemistry (Formalin/PFA-fixed paraffin-embedded sections)", "shortname":"IHC-P"}, "ICCIF" : {"fullname" : "Immunocytochemistry/ Immunofluorescence", "shortname":"ICC/IF"} }, "product-promise": { "all": "all", "testedAndGuaranteed": "tested", "guaranteed": "expected", "predicted": "predicted", "notRecommended": "not-recommended" } }, "values": { "Human": { "IHCP-species-checked": "testedAndGuaranteed", "IHCP-species-dilution-info": "1/20 - 1/200", "IHCP-species-notes": "<p></p>", "ICCIF-species-checked": "testedAndGuaranteed", "ICCIF-species-dilution-info": "1/50 - 1/200", "ICCIF-species-notes": "<p></p>" }, "Mouse": { "IHCP-species-checked": "predicted", "IHCP-species-dilution-info": "", "IHCP-species-notes": "", "ICCIF-species-checked": "predicted", "ICCIF-species-dilution-info": "", "ICCIF-species-notes": "" }, "Rat": { "IHCP-species-checked": "predicted", "IHCP-species-dilution-info": "", "IHCP-species-notes": "", "ICCIF-species-checked": "predicted", "ICCIF-species-dilution-info": "", "ICCIF-species-notes": "" } } }

Properties and storage information

Form
Liquid
Purification technique
Affinity purification Protein G
Purification notes
Purity >95%.
Storage buffer
pH: 7.4 Preservative: 0.03% Proclin 300 Constituents: PBS, 50% Glycerol (glycerin, glycerine)
Shipped at conditions
Blue Ice
Appropriate short-term storage duration
1-2 weeks
Appropriate short-term storage conditions
+4°C
Appropriate long-term storage conditions
-20°C
Aliquoting information
Upon delivery aliquot
Storage information
Avoid freeze / thaw cycle

Supplementary information

This supplementary information is collated from multiple sources and compiled automatically.

GNAZ also known as Guanine nucleotide-binding protein G(z) subunit alpha functions as a modulator or transducer in various transmembrane signaling systems. The protein plays an essential role in coupling cell surface receptors to intracellular signaling pathways. GNAZ weighs approximately 41.5 kDa and is widely expressed in human brain tissues and certain neuroendocrine tissues.
Biological function summary

GNAZ connects with receptor-mediated signal transduction aiding in neurotransmitter release and sensory perception. GNAZ functions as part of the heterotrimeric G-protein complex which includes G beta and G gamma subunits. This protein often regulates signal transduction cascades that influence cellular responses to external stimuli.

Pathways

GNAZ is closely linked to important signaling pathways such as the serotonergic signaling pathway and the phototransduction pathway. Within these pathways GNAZ interacts with kinases and ion channels influencing cellular responses and synaptic functions. GNAZ works alongside related proteins such as GNAI and GNAT contributing to the regulation of neurotransmitter systems.

GNAZ relates to neurological disorders and certain psychiatric conditions including schizophrenia and bipolar disorder. Changes in the activity or expression of GNAZ may impact neurotransmitter systems which are fundamental to these conditions. Through these disorders GNAZ connects with proteins like GNB and GNG pointing to its involvement in signal processing abnormalities that underlie these diseases.

Product protocols

For this product, it's our understanding that no specific protocols are required. You can visit:

Target data

Guanine nucleotide-binding proteins (G proteins) are involved as modulators or transducers in various transmembrane signaling systems.
See full target information Guanine nucleotide-binding protein G(z) subunit alpha

Publications (1)

Recent publications for all applications. Explore the full list and refine your search

Cell death & disease 14:760 PubMed37993451

2023

The BRD4-SRPK2-SRSF2 signal modulates the splicing efficiency of ACSL3 pre-mRNA and influences erastin-induced ferroptosis in osteosarcoma cells.

Applications

Unspecified application

Species

Unspecified reactive species

Shun-Hong Luo,Jia-Ming Tian,Yi Chu,Hong-Yi Zhu,Jiang-Dong Ni,Jun Huang
View all publications

Product promise

We are committed to supporting your work with high-quality reagents, and we're here for you every step of the way. In the unlikely event that one of our products does not perform as expected, you're protected by our Product Promise.
For full details, please see our Terms & Conditions

Please note: All products are 'FOR RESEARCH USE ONLY. NOT FOR USE IN DIAGNOSTIC OR THERAPEUTIC PROCEDURES'.

For licensing inquiries, please contact partnerships@abcam.com