JavaScript is disabled in your browser. Please enable JavaScript to view this website.
AB249165

Anti-GNB3 antibody [EPR8862] - BSA and Azide free

Be the first to review this product! Submit a review

|

(1 Publication)

Rabbit Recombinant Monoclonal GNB3 antibody. Carrier free. Suitable for IHC-P, WB and reacts with Human samples. Cited in 1 publication.

View Alternative Names

Guanine nucleotide-binding protein G(I)/G(S)/G(T) subunit beta-3, Transducin beta chain 3, GNB3

7 Images
Immunohistochemistry (Formalin/PFA-fixed paraffin-embedded sections) - Anti-GNB3 antibody [EPR8862] - BSA and Azide free (AB249165)
  • IHC-P

Unknown

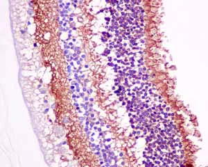
Immunohistochemistry (Formalin/PFA-fixed paraffin-embedded sections) - Anti-GNB3 antibody [EPR8862] - BSA and Azide free (AB249165)

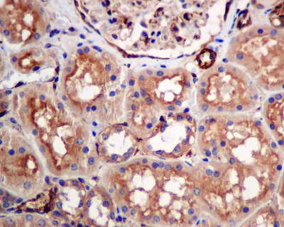
This data was developed using ab154866, the same antibody clone in a different buffer formulation.

Immunohistochemical analysis of paraffin-embedded Human kidney tissue labeling GNB3 with ab154866 at 1/50.

Perform heat mediated antigen retrieval with citrate buffer pH 6 before commencing with IHC staining protocol.

Immunohistochemistry (Formalin/PFA-fixed paraffin-embedded sections) - Anti-GNB3 antibody [EPR8862] - BSA and Azide free (AB249165)
  • IHC-P

Unknown

Immunohistochemistry (Formalin/PFA-fixed paraffin-embedded sections) - Anti-GNB3 antibody [EPR8862] - BSA and Azide free (AB249165)

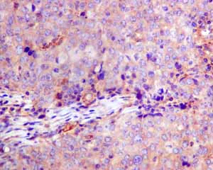
This data was developed using ab154866, the same antibody clone in a different buffer formulation.

Immunohistochemical analysis of paraffin embedded Human normal heart tissue using ab154866 showing +ve staining.

Perform heat mediated antigen retrieval with citrate buffer pH 6 before commencing with IHC staining protocol.

Immunohistochemistry (Formalin/PFA-fixed paraffin-embedded sections) - Anti-GNB3 antibody [EPR8862] - BSA and Azide free (AB249165)
  • IHC-P

Unknown

Immunohistochemistry (Formalin/PFA-fixed paraffin-embedded sections) - Anti-GNB3 antibody [EPR8862] - BSA and Azide free (AB249165)

This data was developed using ab154866, the same antibody clone in a different buffer formulation.

Immunohistochemical analysis of paraffin embedded Human thyroid gland carcinoma tissue using ab154866 showing +ve staining.

Perform heat mediated antigen retrieval with citrate buffer pH 6 before commencing with IHC staining protocol.

Immunohistochemistry (Formalin/PFA-fixed paraffin-embedded sections) - Anti-GNB3 antibody [EPR8862] - BSA and Azide free (AB249165)
  • IHC-P

Unknown

Immunohistochemistry (Formalin/PFA-fixed paraffin-embedded sections) - Anti-GNB3 antibody [EPR8862] - BSA and Azide free (AB249165)

This data was developed using ab154866, the same antibody clone in a different buffer formulation.

Immunohistochemical analysis of paraffin embedded Human normal tonsil tissue using ab154866 showing +ve staining.

Perform heat mediated antigen retrieval with citrate buffer pH 6 before commencing with IHC staining protocol.

Immunohistochemistry (Formalin/PFA-fixed paraffin-embedded sections) - Anti-GNB3 antibody [EPR8862] - BSA and Azide free (AB249165)
  • IHC-P

Unknown

Immunohistochemistry (Formalin/PFA-fixed paraffin-embedded sections) - Anti-GNB3 antibody [EPR8862] - BSA and Azide free (AB249165)

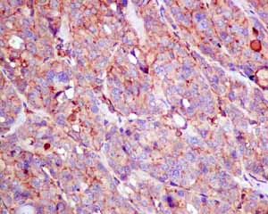
This data was developed using ab154866, the same antibody clone in a different buffer formulation.

Immunohistochemical analysis of paraffin embedded Human breast carcinoma tissue using ab154866 showing +ve staining.

Perform heat mediated antigen retrieval with citrate buffer pH 6 before commencing with IHC staining protocol.

Immunohistochemistry (Formalin/PFA-fixed paraffin-embedded sections) - Anti-GNB3 antibody [EPR8862] - BSA and Azide free (AB249165)
  • IHC-P

Unknown

Immunohistochemistry (Formalin/PFA-fixed paraffin-embedded sections) - Anti-GNB3 antibody [EPR8862] - BSA and Azide free (AB249165)

This data was developed using ab154866, the same antibody clone in a different buffer formulation.

Immunohistochemical analysis of paraffin embedded Human retina tissue using ab154866 showing +ve staining.

Perform heat mediated antigen retrieval with citrate buffer pH 6 before commencing with IHC staining protocol.

Western blot - Anti-GNB3 antibody [EPR8862] - BSA and Azide free (AB249165)
  • WB

Unknown

Western blot - Anti-GNB3 antibody [EPR8862] - BSA and Azide free (AB249165)

This data was developed using ab154866, the same antibody clone in a different buffer formulation.

All lanes:

Western blot - Anti-GNB3 antibody [EPR8862] (<a href='/en-us/products/primary-antibodies/gnb3-antibody-epr8862-ab154866'>ab154866</a>) at 1/1000 dilution

Lane 1:

HepG2 cell lysate at 10 µg

Lane 2:

Human fetal brain tissue lysate at 10 µg

Lane 3:

A673 cell lysate at 10 µg

Lane 4:

Human fetal lung tissue lysate at 10 µg

Predicted band size: 37 kDa

false

Key facts

Host species

Rabbit

Clonality

Monoclonal

Clone number

EPR8862

Isotype

IgG

Carrier free

Yes

Reacts with

Human

Applications

IHC-P, WB

applications

Immunogen

The exact immunogen used to generate this antibody is proprietary information.

Reactivity data

{ "title": "Reactivity Data", "filters": { "stats": ["", "Species", "Dilution Info", "Notes"], "tabs": { "all-applications": {"fullname" : "All Applications", "shortname": "All Applications"}, "IHCP" : {"fullname" : "Immunohistochemistry (Formalin/PFA-fixed paraffin-embedded sections)", "shortname":"IHC-P"}, "IP" : {"fullname" : "Immunoprecipitation", "shortname":"IP"}, "FlowCyt" : {"fullname" : "Flow Cytometry", "shortname":"Flow Cyt"}, "WB" : {"fullname" : "Western blot", "shortname":"WB"}, "ICCIF" : {"fullname" : "Immunocytochemistry/ Immunofluorescence", "shortname":"ICC/IF"} }, "product-promise": { "all": "all", "testedAndGuaranteed": "tested", "guaranteed": "expected", "predicted": "predicted", "notRecommended": "not-recommended" } }, "values": { "Human": { "IHCP-species-checked": "testedAndGuaranteed", "IHCP-species-dilution-info": "", "IHCP-species-notes": "<p></p> Perform heat-mediated antigen retrieval with citrate buffer pH 6 before commencing with IHC staining protocol.", "IP-species-checked": "notRecommended", "IP-species-dilution-info": "", "IP-species-notes": "<p></p>", "FlowCyt-species-checked": "notRecommended", "FlowCyt-species-dilution-info": "", "FlowCyt-species-notes": "<p></p>", "WB-species-checked": "testedAndGuaranteed", "WB-species-dilution-info": "", "WB-species-notes": "<p></p>", "ICCIF-species-checked": "notRecommended", "ICCIF-species-dilution-info": "", "ICCIF-species-notes": "<p></p>" }, "Mouse": { "IHCP-species-checked": "predicted", "IHCP-species-dilution-info": "", "IHCP-species-notes": "", "IP-species-checked": "notRecommended", "IP-species-dilution-info": "", "IP-species-notes": "", "FlowCyt-species-checked": "notRecommended", "FlowCyt-species-dilution-info": "", "FlowCyt-species-notes": "", "WB-species-checked": "predicted", "WB-species-dilution-info": "", "WB-species-notes": "", "ICCIF-species-checked": "notRecommended", "ICCIF-species-dilution-info": "", "ICCIF-species-notes": "" }, "Rat": { "IHCP-species-checked": "predicted", "IHCP-species-dilution-info": "", "IHCP-species-notes": "", "IP-species-checked": "notRecommended", "IP-species-dilution-info": "", "IP-species-notes": "", "FlowCyt-species-checked": "notRecommended", "FlowCyt-species-dilution-info": "", "FlowCyt-species-notes": "", "WB-species-checked": "predicted", "WB-species-dilution-info": "", "WB-species-notes": "", "ICCIF-species-checked": "notRecommended", "ICCIF-species-dilution-info": "", "ICCIF-species-notes": "" } } }

Product details

ab249165 is the carrier-free version of ab154866.

Patented technology
Our RabMAb® technology is a patented hybridoma-based technology for making rabbit monoclonal antibodies. For details on our patents, please refer to RabMAb® patents.

What are the advantages of a recombinant monoclonal antibody?
This product is a recombinant monoclonal antibody, which offers several advantages including:

  • - High batch-to-batch consistency and reproducibility
  • - Improved sensitivity and specificity
  • - Long-term security of supply
  • - Animal-free batch production

For more information, read more on recombinant antibodies.

Conjugation ready
Our carrier-free antibodies are typically supplied in a PBS-only formulation, purified and free of BSA, sodium azide and glycerol. This conjugation-ready format is designed for use with fluorochromes, metal isotopes, oligonucleotides, and enzymes, which makes them ideal for antibody labelling, functional and cell-based assays, flow-based assays (e.g. mass cytometry) and Multiplex Imaging applications.

Use our conjugation kits for antibody conjugates that are ready-to-use in as little as 20 minutes with 1 minute hands-on-time and 100% antibody recovery: available for fluorescent dyes, HRP, biotin and gold.

Compatibility
This product is compatible with the Maxpar® Antibody Labeling Kit from Fluidigm, without the need for antibody preparation. Maxpar® is a trademark of Fluidigm Canada Inc.

Properties and storage information

Form
Liquid
Purification technique
Affinity purification Protein A
Storage buffer
pH: 7.2 - 7.4 Constituents: PBS
Shipped at conditions
Blue Ice
Appropriate short-term storage conditions
+4°C
Appropriate long-term storage conditions
+4°C
Storage information
Do Not Freeze

Supplementary information

This supplementary information is collated from multiple sources and compiled automatically.

GNB3 also known as Guanine nucleotide-binding protein G(I)/G(S)/G(T) subunit beta-3 functions as an integral component of heterotrimeric G proteins. The protein has a mass of approximately 37 kDa. GNB3 is expressed in various tissues with significant expression in the brain and heart. It forms part of the G protein complex essential for transmitting signals from many hormones neurotransmitters and other signaling factors.
Biological function summary

GNB3 interacts with alpha and gamma subunits to mediate signal transduction from G protein-coupled receptors (GPCRs). It plays a role in sensory perception neurotransmission and regulation of ion channels and certain enzymes. GNB3 is part of the G protein complex which appears critical in maintaining cellular response and adaptation to external signals. The interaction with different G protein subunits enables diverse regulatory effects on cellular functions.

Pathways

GNB3 participates in the GPCR signaling pathway and the calcium signaling pathway. It interacts with G protein alpha subunits like GNAI1 and GNAS which are key players in these pathways. GPCR signaling affects numerous physiological processes involving aspects like cellular growth development and metabolic regulation. GNB3 contributes to converting the activated receptor signal into appropriate cellular responses.

Altered GNB3 function associates with essential hypertension and obesity. Studies show connections between specific GNB3 polymorphisms and these conditions sometimes indicating variations in response to antihypertensive treatments. GNB3 interacts with components of the signal transduction pathways like the protein PLCB1 which may further elucidate its role in disease mechanisms. Understanding these interactions could enhance therapeutic strategies targeting related diseases.

Product protocols

For this product, it's our understanding that no specific protocols are required. You can visit:

Target data

Guanine nucleotide-binding proteins (G proteins) are involved as a modulator or transducer in various transmembrane signaling systems. The beta and gamma chains are required for the GTPase activity, for replacement of GDP by GTP, and for G protein-effector interaction.
See full target information Guanine nucleotide-binding protein G(I)/G(S)/G(T) subunit beta-3

Publications (1)

Recent publications for all applications. Explore the full list and refine your search

International journal of clinical and experimental 13:2973-2983 PubMed33425098

2020

Adsorption of miR-218 by lncRNA HOTAIR regulates PDE7A and affects glioma cell proliferation, invasion, and apoptosis.

Applications

Unspecified application

Species

Unspecified reactive species

Yigong Wei,Kun Zhou,Cheng Wang,Xiaolin Du,Qing Xiao,Changyi Chen
View all publications

Product promise

We are committed to supporting your work with high-quality reagents, and we're here for you every step of the way. In the unlikely event that one of our products does not perform as expected, you're protected by our Product Promise.
For full details, please see our Terms & Conditions

Please note: All products are 'FOR RESEARCH USE ONLY. NOT FOR USE IN DIAGNOSTIC OR THERAPEUTIC PROCEDURES'.

For licensing inquiries, please contact partnerships@abcam.com