JavaScript is disabled in your browser. Please enable JavaScript to view this website.
AB244403

Anti-GNE antibody

Be the first to review this product! Submit a review

|

(1 Publication)

Rabbit Polyclonal GNE antibody. Suitable for IHC-P, WB, ICC/IF and reacts with Human samples. Cited in 1 publication. Immunogen corresponding to Recombinant Fragment Protein within Human GNE aa 250-450.

View Alternative Names

GLCNE, IBM2, GNE, Bifunctional UDP-N-acetylglucosamine 2-epimerase/N-acetylmannosamine kinase, UDP-GlcNAc-2-epimerase/ManAc kinase

3 Images
Immunocytochemistry/ Immunofluorescence - Anti-GNE antibody (AB244403)
  • ICC/IF

Unknown

Immunocytochemistry/ Immunofluorescence - Anti-GNE antibody (AB244403)

PFA-fixed, Triton X-100 permeabilized A431 (human epidermoid carcinoma cell line) cells stained for GNE (green) using ab244403 at 4 μg/ml in ICC/IF.

Immunohistochemistry (Formalin/PFA-fixed paraffin-embedded sections) - Anti-GNE antibody (AB244403)
  • IHC-P

Unknown

Immunohistochemistry (Formalin/PFA-fixed paraffin-embedded sections) - Anti-GNE antibody (AB244403)

Paraffin-embedded human liver tissue stained for GNE using ab244403 at 1/50 dilution in immunohistochemical analysis.

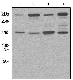
Western blot - Anti-GNE antibody (AB244403)
  • WB

Unknown

Western blot - Anti-GNE antibody (AB244403)

All lanes:

Western blot - Anti-GNE antibody (ab244403) at 0.4 µg/mL

All lanes:

A549 (Human lung carcinoma cell line) cell lysate

Predicted band size: 79 kDa

false

Key facts

Host species

Rabbit

Clonality

Polyclonal

Isotype

IgG

Carrier free

No

Reacts with

Human

Applications

IHC-P, WB, ICC/IF

applications

Immunogen

Recombinant Fragment Protein within Human GNE aa 250-450. The exact immunogen used to generate this antibody is proprietary information.

Q9Y223

Reactivity data

{ "title": "Reactivity Data", "filters": { "stats": ["", "Species", "Dilution Info", "Notes"], "tabs": { "all-applications": {"fullname" : "All Applications", "shortname": "All Applications"}, "IHCP" : {"fullname" : "Immunohistochemistry (Formalin/PFA-fixed paraffin-embedded sections)", "shortname":"IHC-P"}, "WB" : {"fullname" : "Western blot", "shortname":"WB"}, "ICCIF" : {"fullname" : "Immunocytochemistry/ Immunofluorescence", "shortname":"ICC/IF"} }, "product-promise": { "all": "all", "testedAndGuaranteed": "tested", "guaranteed": "expected", "predicted": "predicted", "notRecommended": "not-recommended" } }, "values": { "Human": { "IHCP-species-checked": "testedAndGuaranteed", "IHCP-species-dilution-info": "1/50 - 1/200", "IHCP-species-notes": "<p></p> Perform heat-mediated antigen retrieval with citrate buffer pH 6 before commencing with IHC staining protocol.", "WB-species-checked": "testedAndGuaranteed", "WB-species-dilution-info": "0.04-0.4 µg/mL", "WB-species-notes": "<p></p>", "ICCIF-species-checked": "testedAndGuaranteed", "ICCIF-species-dilution-info": "0.25-2 µg/mL", "ICCIF-species-notes": "<p>Fixation/Permeabilization: PFA/Triton X-100.</p>" }, "Mouse": { "IHCP-species-checked": "predicted", "IHCP-species-dilution-info": "", "IHCP-species-notes": "", "WB-species-checked": "predicted", "WB-species-dilution-info": "", "WB-species-notes": "", "ICCIF-species-checked": "predicted", "ICCIF-species-dilution-info": "", "ICCIF-species-notes": "" }, "Rat": { "IHCP-species-checked": "predicted", "IHCP-species-dilution-info": "", "IHCP-species-notes": "", "WB-species-checked": "predicted", "WB-species-dilution-info": "", "WB-species-notes": "", "ICCIF-species-checked": "predicted", "ICCIF-species-dilution-info": "", "ICCIF-species-notes": "" }, "Chinese hamster": { "IHCP-species-checked": "predicted", "IHCP-species-dilution-info": "", "IHCP-species-notes": "", "WB-species-checked": "predicted", "WB-species-dilution-info": "", "WB-species-notes": "", "ICCIF-species-checked": "predicted", "ICCIF-species-dilution-info": "", "ICCIF-species-notes": "" } } }

Properties and storage information

Form
Liquid
Purification technique
Affinity purification Immunogen
Storage buffer
pH: 7.2 Preservative: 0.02% Sodium azide Constituents: PBS, 40% Glycerol (glycerin, glycerine)
Shipped at conditions
Blue Ice
Appropriate short-term storage duration
1-2 weeks
Appropriate short-term storage conditions
+4°C
Appropriate long-term storage conditions
-20°C
Aliquoting information
Upon delivery aliquot
Storage information
Avoid freeze / thaw cycle

Supplementary information

This supplementary information is collated from multiple sources and compiled automatically.

GNE also called glucosamine (UDP-N-acetyl)-2-epimerase/N-acetylmannosamine kinase is a bifunctional enzyme with a mass of approximately 82 kDa. This enzyme catalyzes the first two steps in sialic acid biosynthesis. GNE expression occurs in many tissues highest in liver and kidney and also in heart muscle and brain. Its bifunctional nature arises from two domain activities that facilitate the essential conversion of UDP-N-acetylglucosamine to N-acetylneuraminic acid a precursor for sialic acids.
Biological function summary

Glucosamine (UDP-N-acetyl)-2-epimerase/N-acetylmannosamine kinase acts as an important enzyme in sialic acid production acting alone and not part of a larger enzymatic complex. Sialic acids are terminal sugars on glycoproteins and glycolipids influencing cell-cell interaction signaling and stability. The enzyme's function affects cell surface structures impacting processes like cell migration and immune response.

Pathways

The enzyme GNE plays an important role in the sialylation pathway affecting various biological systems. This pathway involves the modification of glycoproteins and glycolipids critical for maintaining cellular communication. UDP-N-acetylglucosamine and N-acetylneuraminic acid are intermediates in pathways that also involve proteins like CMP-sialic acid transporter which mediates the transport of sialic acids into the Golgi apparatus for post-translational modification processes.

Defects in GNE are linked to conditions such as hereditary inclusion body myopathy (HIBM) an autosomal recessive muscle-wasting disorder. Another associated condition is sialuria a rare metabolic disorder tied to excessive levels of sialic acid. In HIBM mutations affect the enzyme’s kinase activity leading to reduced sialylation of glycoproteins. Research shows a relationship between GNE and proteins like sialin whose function as a transporter can impact the pathological manifestation of these disorders.

Product protocols

For this product, it's our understanding that no specific protocols are required. You can visit:

Target data

Bifunctional enzyme that possesses both UDP-N-acetylglucosamine 2-epimerase and N-acetylmannosamine kinase activities, and serves as the initiator of the biosynthetic pathway leading to the production of N-acetylneuraminic acid (NeuAc), a critical precursor in the synthesis of sialic acids. By catalyzing this pivotal and rate-limiting step in sialic acid biosynthesis, this enzyme assumes a pivotal role in governing the regulation of cell surface sialylation, playing a role in embryonic angiogenesis (PubMed : 10334995, PubMed : 11326336, PubMed : 14707127, PubMed : 16503651, PubMed : 2808337, PubMed : 38237079). Sialic acids represent a category of negatively charged sugars that reside on the surface of cells as terminal components of glycoconjugates and mediate important functions in various cellular processes, including cell adhesion, signal transduction, and cellular recognition (PubMed : 10334995, PubMed : 14707127).
See full target information GNE

Publications (1)

Recent publications for all applications. Explore the full list and refine your search

Regenerative therapy 22:19-29 PubMed36582605

2022

Cancer stem cell-like cells-derived exosomal lncRNA promotes biological characteristics in thyroid cancer via miR-122-5p/P4HA1 axis.

Applications

Unspecified application

Species

Unspecified reactive species

Qinghua Wu,Yonggang He,Xin Liu,Fangxiu Luo,Yimei Jiang,Ming Xiang,Ren Zhao
View all publications

Product promise

We are committed to supporting your work with high-quality reagents, and we're here for you every step of the way. In the unlikely event that one of our products does not perform as expected, you're protected by our Product Promise.
For full details, please see our Terms & Conditions

Please note: All products are 'FOR RESEARCH USE ONLY. NOT FOR USE IN DIAGNOSTIC OR THERAPEUTIC PROCEDURES'.

For licensing inquiries, please contact partnerships@abcam.com