JavaScript is disabled in your browser. Please enable JavaScript to view this website.
AB198225

Anti-GNG2 antibody

Be the first to review this product! Submit a review

|

(3 Publications)

Rabbit Polyclonal GNG2 antibody. Suitable for WB, IHC-P and reacts with Mouse, Human samples. Cited in 3 publications. Immunogen corresponding to Recombinant Full Length Protein corresponding to Human GNG2.

View Alternative Names

Guanine nucleotide-binding protein G(I)/G(S)/G(O) subunit gamma-2, G gamma-I, GNG2

2 Images
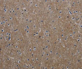
Immunohistochemistry (Formalin/PFA-fixed paraffin-embedded sections) - Anti-GNG2 antibody (AB198225)
  • IHC-P

Supplier Data

Immunohistochemistry (Formalin/PFA-fixed paraffin-embedded sections) - Anti-GNG2 antibody (AB198225)

Immunohistochemical analysis of paraffin-embedded Human brain tissue labeling GNG2 with ab198225 at 1/60 dilution.

Western blot - Anti-GNG2 antibody (AB198225)
  • WB

Supplier Data

Western blot - Anti-GNG2 antibody (AB198225)

Gel : 10% SDS-PAGE

All lanes:

Western blot - Anti-GNG2 antibody (ab198225) at 1/300 dilution

All lanes:

Mouse paranephros tissue lysate at 40 µg

Predicted band size: 8 kDa

true

Exposure time: 5min

Key facts

Host species

Rabbit

Clonality

Polyclonal

Isotype

IgG

Carrier free

No

Reacts with

Mouse, Human

Applications

IHC-P, WB

applications

Immunogen

Recombinant Full Length Protein corresponding to Human GNG2.

P59768

Reactivity data

{ "title": "Reactivity Data", "filters": { "stats": ["", "Species", "Dilution Info", "Notes"], "tabs": { "all-applications": {"fullname" : "All Applications", "shortname": "All Applications"}, "WB" : {"fullname" : "Western blot", "shortname":"WB"}, "IHCP" : {"fullname" : "Immunohistochemistry (Formalin/PFA-fixed paraffin-embedded sections)", "shortname":"IHC-P"} }, "product-promise": { "all": "all", "testedAndGuaranteed": "tested", "guaranteed": "expected", "predicted": "predicted", "notRecommended": "not-recommended" } }, "values": { "Human": { "WB-species-checked": "guaranteed", "WB-species-dilution-info": "", "WB-species-notes": "", "IHCP-species-checked": "testedAndGuaranteed", "IHCP-species-dilution-info": "1/50 - 1/200", "IHCP-species-notes": "<p></p>" }, "Mouse": { "WB-species-checked": "testedAndGuaranteed", "WB-species-dilution-info": "1/500 - 1/2000", "WB-species-notes": "<p></p>", "IHCP-species-checked": "guaranteed", "IHCP-species-dilution-info": "", "IHCP-species-notes": "" }, "Cow": { "WB-species-checked": "predicted", "WB-species-dilution-info": "", "WB-species-notes": "", "IHCP-species-checked": "predicted", "IHCP-species-dilution-info": "", "IHCP-species-notes": "" }, "Orangutan": { "WB-species-checked": "predicted", "WB-species-dilution-info": "", "WB-species-notes": "", "IHCP-species-checked": "predicted", "IHCP-species-dilution-info": "", "IHCP-species-notes": "" } } }

Properties and storage information

Form
Liquid
Purification technique
Affinity purification Immunogen
Storage buffer
pH: 7.4 Preservative: 0.05% Sodium azide Constituents: PBS, 50% Glycerol (glycerin, glycerine)
Shipped at conditions
Blue Ice
Appropriate short-term storage duration
1-2 weeks
Appropriate short-term storage conditions
+4°C
Appropriate long-term storage conditions
-20°C
Aliquoting information
Upon delivery aliquot
Storage information
Avoid freeze / thaw cycle

Supplementary information

This supplementary information is collated from multiple sources and compiled automatically.

GNG2 also known as G-protein subunit gamma-2 is a small protein with a mass of approximately 8.5 kDa. It is a component of the heterotrimeric G-protein complex playing an essential role in signal transduction. GNG2 is expressed in various tissues including the brain heart and epithelial tissues. Its expression indicates a role in diverse cellular functions through its interaction with other G-protein subunits.
Biological function summary

GNG2 forms part of the G-protein complex involved in transmitting signals from G-protein-coupled receptors (GPCRs) on the cell membrane to internal signaling pathways. This protein interacts with alpha and beta subunits to modulate downstream signaling cascades. The G-protein complex including GNG2 is essential for the activation of cellular responses to hormones neurotransmitters and environmental stimuli. It plays a significant role in regulating the activity of various effectors including adenylyl cyclase and phospholipase C.

Pathways

GNG2 is directly involved in GPCR signaling pathways including the MAPK/ERK pathway and the PI3K/AKT pathway. These pathways are important for cell proliferation differentiation and survival. GNG2 interacts with other proteins like GNAS and PLCβ in these pathways contributing to the regulation of cellular responses and maintaining homeostasis. Its function in these pathways highlights its importance in coordinating complex cellular activities.

GNG2 has associations with cancer and cardiovascular diseases. Its interaction with proteins like RAS and PI3K suggests a role in tumorigenesis and cancer progression where dysregulated GPCR signaling could lead to abnormal cell growth. GNG2 also connects with proteins involved in cardiovascular functions such as those within the PI3K/AKT pathway indicating a potential link to cardiac disorders. Understanding GNG2's role in these diseases may offer insights into therapeutic targets for intervention.

Product protocols

For this product, it's our understanding that no specific protocols are required. You can visit:

Target data

Guanine nucleotide-binding proteins (G proteins) are involved as a modulator or transducer in various transmembrane signaling systems (PubMed : 29925951, PubMed : 33762731, PubMed : 34239069, PubMed : 35610220, PubMed : 35714614, PubMed : 35835867, PubMed : 36087581, PubMed : 36989299, PubMed : 37327704, PubMed : 37935376, PubMed : 37935377, PubMed : 37963465, PubMed : 38168118, PubMed : 38552625). The beta and gamma chains are required for the GTPase activity, for replacement of GDP by GTP, and for G protein-effector interaction (PubMed : 29925951, PubMed : 33762731, PubMed : 34239069, PubMed : 35610220, PubMed : 35714614, PubMed : 35835867, PubMed : 36087581, PubMed : 36989299, PubMed : 37327704, PubMed : 37935376, PubMed : 37935377, PubMed : 37963465, PubMed : 38168118, PubMed : 38552625).
See full target information GNG2

Publications (3)

Recent publications for all applications. Explore the full list and refine your search

Scientific reports 15:1787 PubMed39805936

2025

GNG2 inhibits brain metastases from colorectal cancer via PI3K/AKT/mTOR signaling pathway.

Applications

Unspecified application

Species

Unspecified reactive species

Chenhua Luo,ZhiMing Xiao,WenLong Yang

International journal of biological sciences 19:2848-2859 PubMed37324952

2023

Liver X receptors and estrogen receptor β, two players in a rare subtype of NSCLC.

Applications

Unspecified application

Species

Unspecified reactive species

Wanfu Wu,Mozhgan Sarhadi,Xiaoyu Song,Jingling Xue,Yubing Dai,Jan-Ake Gustafsson

Molecular medicine reports 24: PubMed34212982

2021

Interference with KCNJ2 inhibits proliferation, migration and EMT progression of apillary thyroid carcinoma cells by upregulating GNG2 expression.

Applications

Unspecified application

Species

Unspecified reactive species

Siyuan Chen,Miaoming Huang,Xiarong Hu
View all publications

Product promise

We are committed to supporting your work with high-quality reagents, and we're here for you every step of the way. In the unlikely event that one of our products does not perform as expected, you're protected by our Product Promise.
For full details, please see our Terms & Conditions

Please note: All products are 'FOR RESEARCH USE ONLY. NOT FOR USE IN DIAGNOSTIC OR THERAPEUTIC PROCEDURES'.

For licensing inquiries, please contact partnerships@abcam.com