JavaScript is disabled in your browser. Please enable JavaScript to view this website.
AB204594

Anti-GNLY/Granulysin antibody

Be the first to review this product! Submit a review

|

(2 Publications)

Rabbit Polyclonal GNLY/Granulysin antibody. Suitable for IHC-P and reacts with Human samples. Cited in 2 publications. Immunogen corresponding to Recombinant Fragment Protein within Human GNLY aa 1-100.

View Alternative Names

LAG2, NKG5, TLA519, GNLY, Granulysin, Lymphokine LAG-2, Protein NKG5, T-cell activation protein 519

5 Images
Immunohistochemistry (Formalin/PFA-fixed paraffin-embedded sections) - Anti-GNLY/Granulysin antibody (AB204594)
  • IHC-P

Supplier Data

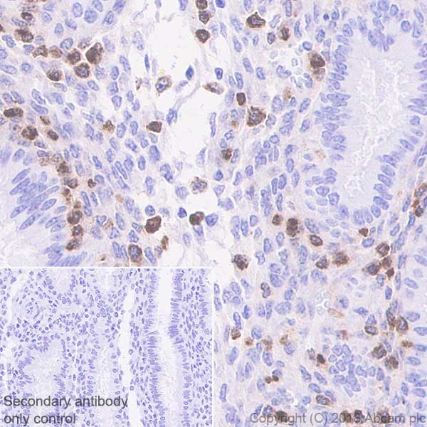
Immunohistochemistry (Formalin/PFA-fixed paraffin-embedded sections) - Anti-GNLY/Granulysin antibody (AB204594)

Paraffin embedded human endometrium tissue stained for GNLY/Granulysin using ab204594 at 1/2500 dilution in immunohistochemical analysis.

Heat mediated antigen retrieval was performed with citrate buffer pH 6 before the IHC staining protocol.

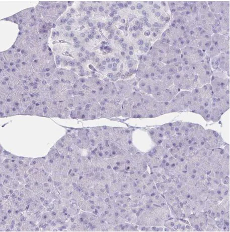
Immunohistochemistry (Formalin/PFA-fixed paraffin-embedded sections) - Anti-GNLY/Granulysin antibody (AB204594)
  • IHC-P

Supplier Data

Immunohistochemistry (Formalin/PFA-fixed paraffin-embedded sections) - Anti-GNLY/Granulysin antibody (AB204594)

Paraffin embedded human pancreas tissue stained for GNLY/Granulysin using ab204594 at 1/2500 dilution in immunohistochemical analysis. Shows no positivity in exocrine glandular cells as expected.

Heat mediated antigen retrieval was performed with citrate buffer pH 6 before the IHC staining protocol.

Immunohistochemistry (Formalin/PFA-fixed paraffin-embedded sections) - Anti-GNLY/Granulysin antibody (AB204594)
  • IHC-P

Supplier Data

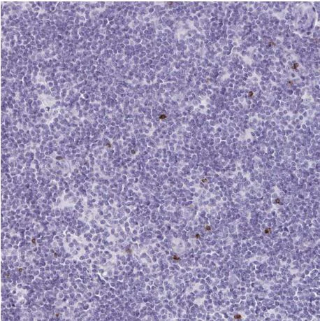
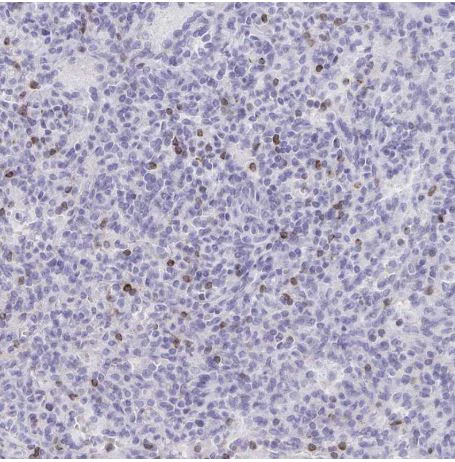
Immunohistochemistry (Formalin/PFA-fixed paraffin-embedded sections) - Anti-GNLY/Granulysin antibody (AB204594)

Paraffin embedded human lymph node tissue stained for GNLY/Granulysin using ab204594 at 1/2500 dilution in immunohistochemical analysis.

Heat mediated antigen retrieval was performed with citrate buffer pH 6 before the IHC staining protocol.

Immunohistochemistry (Formalin/PFA-fixed paraffin-embedded sections) - Anti-GNLY/Granulysin antibody (AB204594)
  • IHC-P

Supplier Data

Immunohistochemistry (Formalin/PFA-fixed paraffin-embedded sections) - Anti-GNLY/Granulysin antibody (AB204594)

Paraffin embedded human spleen tissue stained for GNLY/Granulysin using ab204594 at 1/2500 dilution in immunohistochemical analysis.

Heat mediated antigen retrieval was performed with citrate buffer pH 6 before the IHC staining protocol.

Immunohistochemistry (Formalin/PFA-fixed paraffin-embedded sections) - Anti-GNLY/Granulysin antibody (AB204594)
  • IHC-P

Supplier Data

Immunohistochemistry (Formalin/PFA-fixed paraffin-embedded sections) - Anti-GNLY/Granulysin antibody (AB204594)

Paraffin embedded human skeletal muscle tissue stained for GNLY/Granulysin using ab204594 at 1/2500 dilution in immunohistochemical analysis. Shows no positivity in myocytes cells as expected.

Heat mediated antigen retrieval was performed with citrate buffer pH 6 before the IHC staining protocol.

Key facts

Host species

Rabbit

Clonality

Polyclonal

Isotype

IgG

Carrier free

No

Reacts with

Human

Applications

IHC-P

applications

Immunogen

Recombinant Fragment Protein within Human GNLY aa 1-100. The exact immunogen used to generate this antibody is proprietary information.

P22749

Reactivity data

{ "title": "Reactivity Data", "filters": { "stats": ["", "Species", "Dilution Info", "Notes"], "tabs": { "all-applications": {"fullname" : "All Applications", "shortname": "All Applications"}, "IHCP" : {"fullname" : "Immunohistochemistry (Formalin/PFA-fixed paraffin-embedded sections)", "shortname":"IHC-P"} }, "product-promise": { "all": "all", "testedAndGuaranteed": "tested", "guaranteed": "expected", "predicted": "predicted", "notRecommended": "not-recommended" } }, "values": { "Human": { "IHCP-species-checked": "testedAndGuaranteed", "IHCP-species-dilution-info": "1/1000 - 1/2500", "IHCP-species-notes": "<p></p>" } } }

Properties and storage information

Form
Liquid
Purification technique
Affinity purification Immunogen
Storage buffer
pH: 7.2 Preservative: 0.02% Sodium azide Constituents: PBS, 40% Glycerol (glycerin, glycerine)
Shipped at conditions
Blue Ice
Appropriate short-term storage duration
1-2 weeks
Appropriate short-term storage conditions
+4°C
Appropriate long-term storage conditions
-20°C
Aliquoting information
Upon delivery aliquot
Storage information
Avoid freeze / thaw cycle

Supplementary information

This supplementary information is collated from multiple sources and compiled automatically.

Granulysin also known as GNLY is a cytolytic protein with a mass of approximately 9 kDa present in the granules of cytotoxic T lymphocytes and natural killer cells. This protein expressed in activated human immune cells plays a role in immune defense by creating pores in the target cell membranes which enables other cytotoxic molecules to enter and induce cell death. Researchers often utilize Granulysin as a GNLY marker to assess immune cell activity within the body.
Biological function summary

Granulysin contributes to the body's defense against bacterial fungal and parasitic infections. It acts independently but can also collaborate with other immune components to enhance its effects. Granulysin disrupts microbial membranes owing to its affinity to negatively charged lipids leading to pathogen elimination. This mechanism plays a critical role in the human body's broader immune response.

Pathways

Granulysin operates significantly within the immune response pathway by working in concert with perforin another cytolytic protein. Together they form a potent immune mechanism aimed at eliminating infected or malignant cells. Furthermore the interferon-gamma pathway closely influences Granulysin suggesting a connection to innate and adaptive immune responses.

Granulysin shows association with various conditions most notably tuberculosis and leprosy. In these diseases the GNLY protein levels reflect the body's immune activity against the pathogens. Granulysin works alongside proteins such as perforin and granzymes whose involvement suggests possible diagnostic markers for understanding the immune response in these bacterial infections.

Product protocols

For this product, it's our understanding that no specific protocols are required. You can visit:

Target data

Antimicrobial protein that kills intracellular pathogens. Active against a broad range of microbes, including Gram-positive and Gram-negative bacteria, fungi, and parasites. Kills Mycobacterium tuberculosis.
See full target information GNLY

Publications (2)

Recent publications for all applications. Explore the full list and refine your search

Acta physiologica (Oxford, England) 236:e13857 PubMed35753051

2022

The highly expressed calcium-insensitive synaptotagmin-11 and synaptotagmin-13 modulate insulin secretion.

Applications

Unspecified application

Species

Unspecified reactive species

Jones K Ofori,Alexandros Karagiannopoulos,Mohammad Barghouth,Mototsugu Nagao,Markus E Andersson,Vishal A Salunkhe,Enming Zhang,Anna Wendt,Lena Eliasson

International journal of clinical and experimental 12:1634-1641 PubMed31933981

2019

Increased granulysin in the peripheral blood and tissues of patients with oral lichen planus.

Applications

Unspecified application

Species

Unspecified reactive species

Juanyong Xu,Lin Liu,Jing Shan,Shan Li,Chen Shen,Chen Wang,Yuan Fan
View all publications

Product promise

We are committed to supporting your work with high-quality reagents, and we're here for you every step of the way. In the unlikely event that one of our products does not perform as expected, you're protected by our Product Promise.
For full details, please see our Terms & Conditions

Please note: All products are 'FOR RESEARCH USE ONLY. NOT FOR USE IN DIAGNOSTIC OR THERAPEUTIC PROCEDURES'.

For licensing inquiries, please contact partnerships@abcam.com