JavaScript is disabled in your browser. Please enable JavaScript to view this website.
AB241333

Anti-GNLY/Granulysin antibody [EPR22110-101]

Be the first to review this product! Submit a review

|

(5 Publications)

Rabbit Recombinant Monoclonal GNLY/Granulysin antibody. Suitable for ICC/IF, WB, IHC-P and reacts with Human samples. Cited in 5 publications.

View Alternative Names

LAG2, NKG5, TLA519, GNLY, Granulysin, Lymphokine LAG-2, Protein NKG5, T-cell activation protein 519

4 Images
Immunocytochemistry/ Immunofluorescence - Anti-GNLY/Granulysin antibody [EPR22110-101] (AB241333)
  • ICC/IF

Supplier Data

Immunocytochemistry/ Immunofluorescence - Anti-GNLY/Granulysin antibody [EPR22110-101] (AB241333)

Immunofluorescent analysis of 4% paraformaldehyde-fixed, 0.1% Triton X-100 permeabilized PBMC (human peripheral blood mononuclear cell) cells labeling GNLY/Granulysin with ab241333 at 1/250 dilution, followed by AlexaFluor®488 Goat anti-Rabbit secondary antibody (ab150077) (Green) at 1/1000 dilution.

Confocal image showing cytoplasmic staining in a part of human PBMC. The nuclear counterstain was DAPI (Blue). Anti-alpha Tubulin antibody [DM1A] - Microtubule Marker (Alexa Fluor® 594) (ab195889) was used as a counterstain (Red).

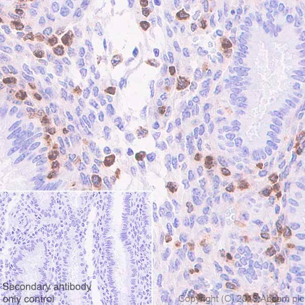
Immunohistochemistry (Formalin/PFA-fixed paraffin-embedded sections) - Anti-GNLY/Granulysin antibody [EPR22110-101] (AB241333)
  • IHC-P

Supplier Data

Immunohistochemistry (Formalin/PFA-fixed paraffin-embedded sections) - Anti-GNLY/Granulysin antibody [EPR22110-101] (AB241333)

Immunohistochemical analysis of paraffin-embedded human endometrium tissue labeling GNLY/Granulysin with ab241333 at 1/4000 dilution, followed by a ready to use Goat anti-Rabbit IgG H&L (HRP). The section was incubated with ab for 30 mins at 37°C. Positive staining on lymphocytes of human endometrium (PMID : 26488136) is observed, performed on a Leica Biosystems BOND® RX instrument. Counterstained with hematoxylin.

Secondary antibody only control : Used PBS instead of primary antibody, secondary antibody is Goat Anti-Rabbit IgG H&L (HRP) ready to use.

Heat mediated antigen retrieval with Tris-EDTA buffer (pH 9.0, epitope retrieval solution 2) for 10 mins.

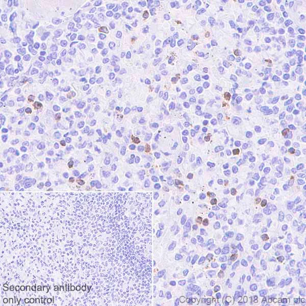
Immunohistochemistry (Formalin/PFA-fixed paraffin-embedded sections) - Anti-GNLY/Granulysin antibody [EPR22110-101] (AB241333)
  • IHC-P

Supplier Data

Immunohistochemistry (Formalin/PFA-fixed paraffin-embedded sections) - Anti-GNLY/Granulysin antibody [EPR22110-101] (AB241333)

Immunohistochemical analysis of paraffin-embedded human spleen tissue labeling GNLY/Granulysin with ab241333 at 1/4000 dilution, followed by a ready to use Goat anti-Rabbit IgG H&L (HRP). The section was incubated with ab for 30 mins at 37°C. Sporadic staining on human spleen (PMID : 30151671) is observed, performed on a Leica Biosystems BOND® RX instrument. Counterstained with hematoxylin.

Secondary antibody only control : Used PBS instead of primary antibody, secondary antibody is Goat Anti-Rabbit IgG H&L (HRP) ready to use.

Heat mediated antigen retrieval with Tris-EDTA buffer (pH 9.0, epitope retrieval solution 2) for 10 mins.

Western blot - Anti-GNLY/Granulysin antibody [EPR22110-101] (AB241333)
  • WB

Supplier Data

Western blot - Anti-GNLY/Granulysin antibody [EPR22110-101] (AB241333)

Blocking/Diluting buffer and concentration : 5% NFDM/TBST

Exposure time : 15 seconds

All lanes:

Western blot - Anti-GNLY/Granulysin antibody [EPR22110-101] (ab241333) at 1/1000 dilution

All lanes:

His-tagged human GNLY/Granulysin recombinant protein (aa23-145) 10 ng

Secondary

All lanes:

Western blot - Goat Anti-Rabbit IgG H&L (HRP) (<a href='/en-us/products/secondary-antibodies/goat-rabbit-igg-h-l-hrp-ab97051'>ab97051</a>) at 1/100000 dilution

Predicted band size: 16 kDa

false

  • Carrier free

    Anti-GNLY/Granulysin antibody [EPR22110-101] - BSA and Azide free

Key facts

Host species

Rabbit

Clonality

Monoclonal

Clone number

EPR22110-101

Isotype

IgG

Carrier free

No

Reacts with

Human

Applications

ICC/IF, IHC-P, WB

applications

Immunogen

The exact immunogen used to generate this antibody is proprietary information.

Reactivity data

{ "title": "Reactivity Data", "filters": { "stats": ["", "Species", "Dilution Info", "Notes"], "tabs": { "all-applications": {"fullname" : "All Applications", "shortname": "All Applications"}, "ICCIF" : {"fullname" : "Immunocytochemistry/ Immunofluorescence", "shortname":"ICC/IF"}, "WB" : {"fullname" : "Western blot", "shortname":"WB"}, "IHCP" : {"fullname" : "Immunohistochemistry (Formalin/PFA-fixed paraffin-embedded sections)", "shortname":"IHC-P"} }, "product-promise": { "all": "all", "testedAndGuaranteed": "tested", "guaranteed": "expected", "predicted": "predicted", "notRecommended": "not-recommended" } }, "values": { "Human": { "ICCIF-species-checked": "testedAndGuaranteed", "ICCIF-species-dilution-info": "1/250", "ICCIF-species-notes": "<p></p>", "WB-species-checked": "testedAndGuaranteed", "WB-species-dilution-info": "1/1000", "WB-species-notes": "<p></p>", "IHCP-species-checked": "testedAndGuaranteed", "IHCP-species-dilution-info": "1/4000", "IHCP-species-notes": "<p>Heat mediated antigen retrieval with Tris-EDTA buffer (pH 9.0, epitope retrieval solution 2) for 10mins.</p>" } } }

Product details

Patented technology
Our RabMAb® technology is a patented hybridoma-based technology for making rabbit monoclonal antibodies. For details on our patents, please refer to RabMAb® patents.

What are the advantages of a recombinant monoclonal antibody?
This product is a recombinant monoclonal antibody, which offers several advantages including:

  • - High batch-to-batch consistency and reproducibility
  • - Improved sensitivity and specificity
  • - Long-term security of supply
  • - Animal-free batch production

For more information, read more on recombinant antibodies.

Properties and storage information

Form
Liquid
Purification technique
Affinity purification Protein A
Storage buffer
pH: 7.2 - 7.4 Preservative: 0.01% Sodium azide Constituents: PBS, 40% Glycerol (glycerin, glycerine), 0.05% BSA
Shipped at conditions
Blue Ice
Appropriate short-term storage duration
1-2 weeks
Appropriate short-term storage conditions
+4°C
Appropriate long-term storage conditions
-20°C
Aliquoting information
Upon delivery aliquot
Storage information
Avoid freeze / thaw cycle

Supplementary information

This supplementary information is collated from multiple sources and compiled automatically.

Granulysin also known as GNLY is a cytolytic protein with a mass of approximately 9 kDa present in the granules of cytotoxic T lymphocytes and natural killer cells. This protein expressed in activated human immune cells plays a role in immune defense by creating pores in the target cell membranes which enables other cytotoxic molecules to enter and induce cell death. Researchers often utilize Granulysin as a GNLY marker to assess immune cell activity within the body.
Biological function summary

Granulysin contributes to the body's defense against bacterial fungal and parasitic infections. It acts independently but can also collaborate with other immune components to enhance its effects. Granulysin disrupts microbial membranes owing to its affinity to negatively charged lipids leading to pathogen elimination. This mechanism plays a critical role in the human body's broader immune response.

Pathways

Granulysin operates significantly within the immune response pathway by working in concert with perforin another cytolytic protein. Together they form a potent immune mechanism aimed at eliminating infected or malignant cells. Furthermore the interferon-gamma pathway closely influences Granulysin suggesting a connection to innate and adaptive immune responses.

Granulysin shows association with various conditions most notably tuberculosis and leprosy. In these diseases the GNLY protein levels reflect the body's immune activity against the pathogens. Granulysin works alongside proteins such as perforin and granzymes whose involvement suggests possible diagnostic markers for understanding the immune response in these bacterial infections.

Product protocols

For this product, it's our understanding that no specific protocols are required. You can visit:

Target data

Antimicrobial protein that kills intracellular pathogens. Active against a broad range of microbes, including Gram-positive and Gram-negative bacteria, fungi, and parasites. Kills Mycobacterium tuberculosis.
See full target information GNLY

Publications (5)

Recent publications for all applications. Explore the full list and refine your search

Data in brief 61:111817 PubMed40673195

2025

A comprehensive dataset for understanding immune dynamics in colorectal cancer.

Applications

Unspecified application

Species

Unspecified reactive species

Zahra Mokhtari,Elham Amjadi,Hamidreza Bolhasani,Zahra Faghih,Amirreza Dehghanian,Marzieh Rezaei

Nature immunology 26:308-322 PubMed39881000

2025

Integrating single-cell RNA and T cell/B cell receptor sequencing with mass cytometry reveals dynamic trajectories of human peripheral immune cells from birth to old age.

Applications

Unspecified application

Species

Unspecified reactive species

Yufei Wang,Ronghong Li,Renyang Tong,Taiwei Chen,Mingze Sun,Lingjie Luo,Zheng Li,Yifan Chen,Yichao Zhao,Chensheng Zhang,Lin Wei,Wei Lin,Haoyan Chen,Kun Qian,Alex F Chen,Junling Liu,Lei Chen,Bin Li,Feng Wang,Li Wang,Bing Su,Jun Pu

Circulation. Heart failure 17:e011504 PubMed38910562

2024

Overexpression of in Cardiomyocytes Promotes Cardiac Reverse Remodeling.

Applications

Unspecified application

Species

Unspecified reactive species

Mengda Xu,Hang Zhang,Yuan Chang,Xiumeng Hua,Xiao Chen,Yixuan Sheng,Dan Shan,Mengni Bao,Shengshou Hu,Jiangping Song

Nature communications 14:5123 PubMed37612267

2023

Single cell transcriptomic analyses implicate an immunosuppressive tumor microenvironment in pancreatic cancer liver metastasis.

Applications

Unspecified application

Species

Unspecified reactive species

Shu Zhang,Wen Fang,Siqi Zhou,Dongming Zhu,Ruidong Chen,Xin Gao,Zhuojin Li,Yao Fu,Yixuan Zhang,Fa Yang,Jing Zhao,Hao Wu,Pin Wang,Yonghua Shen,Shanshan Shen,Guifang Xu,Lei Wang,Chao Yan,Xiaoping Zou,Dijun Chen,Ying Lv

Nature communications 13:1158 PubMed35241665

2022

Single-cell transcriptomics links malignant T cells to the tumor immune landscape in cutaneous T cell lymphoma.

Applications

Unspecified application

Species

Unspecified reactive species

Xiangjun Liu,Shanzhao Jin,Simeng Hu,Ruoyan Li,Haihao Pan,Yi Liu,Pan Lai,Deshu Xu,Jingru Sun,Ziyang Liu,Yumei Gao,Yifan Zhao,Fengjie Liu,Yu Xiao,Yingyi Li,Yujie Wen,Zhuojing Chen,Bufang Xu,Yuchieh Lin,Menglong Ran,Qianxi Li,Shuxia Yang,Hang Li,Ping Tu,Muzlifah Haniffa,Sarah A Teichmann,Fan Bai,Yang Wang
View all publications

Product promise

We are committed to supporting your work with high-quality reagents, and we're here for you every step of the way. In the unlikely event that one of our products does not perform as expected, you're protected by our Product Promise.
For full details, please see our Terms & Conditions

Please note: All products are 'FOR RESEARCH USE ONLY. NOT FOR USE IN DIAGNOSTIC OR THERAPEUTIC PROCEDURES'.

For licensing inquiries, please contact partnerships@abcam.com