JavaScript is disabled in your browser. Please enable JavaScript to view this website.
AB241511

Anti-GNLY/Granulysin antibody [EPR22110-101] - BSA and Azide free

Be the first to review this product! Submit a review

|

(1 Publication)

Rabbit Recombinant Monoclonal GNLY/Granulysin antibody. Carrier free. Suitable for IHC-P, WB, ICC/IF and reacts with Human samples. Cited in 1 publication.

View Alternative Names

LAG2, NKG5, TLA519, GNLY, Granulysin, Lymphokine LAG-2, Protein NKG5, T-cell activation protein 519

1 Images
Immunohistochemistry (Formalin/PFA-fixed paraffin-embedded sections) - Anti-GNLY/Granulysin antibody [EPR22110-101] - BSA and Azide free (AB241511)
  • IHC-P

Supplier Data

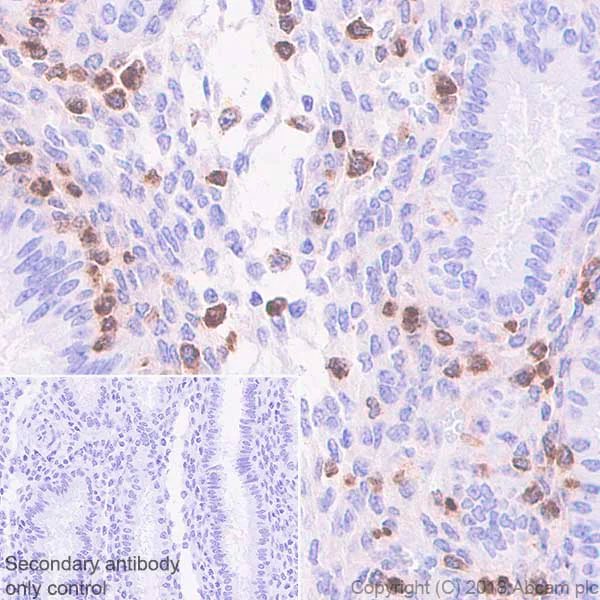
Immunohistochemistry (Formalin/PFA-fixed paraffin-embedded sections) - Anti-GNLY/Granulysin antibody [EPR22110-101] - BSA and Azide free (AB241511)

Immunohistochemical analysis of paraffin-embedded human endometrium tissue labeling GNLY/Granulysin with ab241333 at 1/4000 dilution, followed by a ready to use Goat anti-Rabbit IgG H&L (HRP). The section was incubated with ab for 30 mins at 37°C. Positive staining on lymphocytes of human endometrium (PMID : 26488136) is observed, performed on a Leica Biosystems BOND® RX instrument. Counterstained with hematoxylin.

Secondary antibody only control : Used PBS instead of primary antibody, secondary antibody is Goat Anti-Rabbit IgG H&L (HRP) ready to use.

Heat mediated antigen retrieval with Tris-EDTA buffer (pH 9.0, epitope retrieval solution 2) for 10 mins.

This data was developed using the same antibody clone in a different buffer formulation containing PBS, BSA, glycerol, and sodium azide (ab241333).

Key facts

Host species

Rabbit

Clonality

Monoclonal

Clone number

EPR22110-101

Isotype

IgG

Carrier free

Yes

Reacts with

Human

Applications

IHC-P, ICC/IF, WB

applications

Immunogen

The exact immunogen used to generate this antibody is proprietary information.

Reactivity data

{ "title": "Reactivity Data", "filters": { "stats": ["", "Species", "Dilution Info", "Notes"], "tabs": { "all-applications": {"fullname" : "All Applications", "shortname": "All Applications"}, "IHCP" : {"fullname" : "Immunohistochemistry (Formalin/PFA-fixed paraffin-embedded sections)", "shortname":"IHC-P"}, "WB" : {"fullname" : "Western blot", "shortname":"WB"}, "ICCIF" : {"fullname" : "Immunocytochemistry/ Immunofluorescence", "shortname":"ICC/IF"} }, "product-promise": { "all": "all", "testedAndGuaranteed": "tested", "guaranteed": "expected", "predicted": "predicted", "notRecommended": "not-recommended" } }, "values": { "Human": { "IHCP-species-checked": "testedAndGuaranteed", "IHCP-species-dilution-info": "", "IHCP-species-notes": "<p>Heat mediated antigen retrieval with Tris-EDTA buffer (pH 9.0, epitope retrieval solution 2) for 10mins.</p>", "WB-species-checked": "testedAndGuaranteed", "WB-species-dilution-info": "1/1000", "WB-species-notes": "<p></p>", "ICCIF-species-checked": "testedAndGuaranteed", "ICCIF-species-dilution-info": "1/250", "ICCIF-species-notes": "<p></p>" } } }

Product details

ab241511 is the carrier-free version of ab241333.

Patented technology
Our RabMAb® technology is a patented hybridoma-based technology for making rabbit monoclonal antibodies. For details on our patents, please refer to RabMAb® patents.

What are the advantages of a recombinant monoclonal antibody?
This product is a recombinant monoclonal antibody, which offers several advantages including:

  • - High batch-to-batch consistency and reproducibility
  • - Improved sensitivity and specificity
  • - Long-term security of supply
  • - Animal-free batch production

For more information, read more on recombinant antibodies.

Conjugation ready
Our carrier-free antibodies are typically supplied in a PBS-only formulation, purified and free of BSA, sodium azide and glycerol. This conjugation-ready format is designed for use with fluorochromes, metal isotopes, oligonucleotides, and enzymes, which makes them ideal for antibody labelling, functional and cell-based assays, flow-based assays (e.g. mass cytometry) and Multiplex Imaging applications.

Use our conjugation kits for antibody conjugates that are ready-to-use in as little as 20 minutes with 1 minute hands-on-time and 100% antibody recovery: available for fluorescent dyes, HRP, biotin and gold.

Compatibility
This product is compatible with the Maxpar® Antibody Labeling Kit from Fluidigm, without the need for antibody preparation. Maxpar® is a trademark of Fluidigm Canada Inc.

Properties and storage information

Form
Liquid
Purification technique
Affinity purification Protein A
Storage buffer
pH: 7.2 - 7.4 Constituents: PBS
Shipped at conditions
Blue Ice
Appropriate short-term storage conditions
+4°C
Appropriate long-term storage conditions
+4°C
Storage information
Do Not Freeze

Supplementary information

This supplementary information is collated from multiple sources and compiled automatically.

Granulysin also known as GNLY is a cytolytic protein with a mass of approximately 9 kDa present in the granules of cytotoxic T lymphocytes and natural killer cells. This protein expressed in activated human immune cells plays a role in immune defense by creating pores in the target cell membranes which enables other cytotoxic molecules to enter and induce cell death. Researchers often utilize Granulysin as a GNLY marker to assess immune cell activity within the body.
Biological function summary

Granulysin contributes to the body's defense against bacterial fungal and parasitic infections. It acts independently but can also collaborate with other immune components to enhance its effects. Granulysin disrupts microbial membranes owing to its affinity to negatively charged lipids leading to pathogen elimination. This mechanism plays a critical role in the human body's broader immune response.

Pathways

Granulysin operates significantly within the immune response pathway by working in concert with perforin another cytolytic protein. Together they form a potent immune mechanism aimed at eliminating infected or malignant cells. Furthermore the interferon-gamma pathway closely influences Granulysin suggesting a connection to innate and adaptive immune responses.

Granulysin shows association with various conditions most notably tuberculosis and leprosy. In these diseases the GNLY protein levels reflect the body's immune activity against the pathogens. Granulysin works alongside proteins such as perforin and granzymes whose involvement suggests possible diagnostic markers for understanding the immune response in these bacterial infections.

Product protocols

For this product, it's our understanding that no specific protocols are required. You can visit:

Target data

Antimicrobial protein that kills intracellular pathogens. Active against a broad range of microbes, including Gram-positive and Gram-negative bacteria, fungi, and parasites. Kills Mycobacterium tuberculosis.
See full target information GNLY

Publications (1)

Recent publications for all applications. Explore the full list and refine your search

Histology and histopathology 40:733-743 PubMed39380528

2024

Mechanism of KMT2D-mediated epigenetic modification in IL-1β-induced nucleus pulposus cell degeneration.

Applications

Unspecified application

Species

Unspecified reactive species

Hongjiang Liu,Haiquan Liu,Zuyu Meng,Wensheng Zhang
View all publications

Product promise

We are committed to supporting your work with high-quality reagents, and we're here for you every step of the way. In the unlikely event that one of our products does not perform as expected, you're protected by our Product Promise.
For full details, please see our Terms & Conditions

Please note: All products are 'FOR RESEARCH USE ONLY. NOT FOR USE IN DIAGNOSTIC OR THERAPEUTIC PROCEDURES'.

For licensing inquiries, please contact partnerships@abcam.com