JavaScript is disabled in your browser. Please enable JavaScript to view this website.
AB281844

Anti-GnRH antibody [EPR24529-70]

  • BOND RX™ Validated
  • 20ul selling size
  • RabMAb
  • Recombinant
  • What is this?

Be the first to review this product! Submit a review

|

(5 Publications)

Rabbit Recombinant Monoclonal GnRH antibody. Suitable for IHC-Fr, IHC-P and reacts with Mouse, Rat, Human, Transfected cell line - Human samples. Cited in 5 publications.

View Alternative Names

GNRH, GRH, LHRH, GNRH1, Progonadoliberin-1, Progonadoliberin I

8 Images
Immunohistochemistry (Formalin/PFA-fixed paraffin-embedded sections) - Anti-GnRH antibody [EPR24529-70] (AB281844)
  • IHC-P

Supplier Data

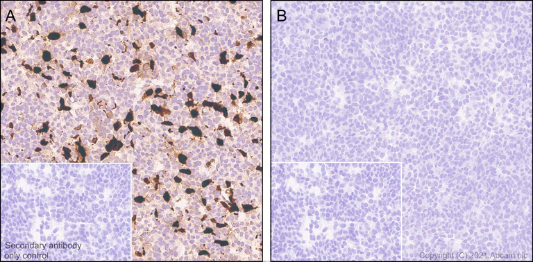
Immunohistochemistry (Formalin/PFA-fixed paraffin-embedded sections) - Anti-GnRH antibody [EPR24529-70] (AB281844)

Immunohistochemical analysis of paraffin-embedded (Panel A) HEK-293T (human epithelial cell line from embryonic kidney transformed with large T antigen) transfected with human Progonadoliberin-1 expression vector containing a myc-His-tag® (Panel B) HEK-293T transfected with empty plasmid. Tissue labelling GnRH with ab281844 at 1/600 (0.628 μg/ml) dilution followed by a ready to use LeicaDS9800 (Bond™ Polymer Refine Detection). Positive staining on the arcuate hypothalamic nucleus arc of rat hypothalamus. The section was incubated with ab281844 for 30 mins at room temperature. The immunostaining was performed on a Leica Biosystems BOND® RX instrument. Counterstained with Hematoxylin.

Secondary antibody only control : Secondary antibody is a ready to use LeicaDS9800 (Bond™ Polymer Refine Detection).

Heat mediated antigen retrieval with Tris-EDTA buffer (pH 9.0, epitope retrieval solution2) for 20 mins

Immunohistochemistry (Formalin/PFA-fixed paraffin-embedded sections) - Anti-GnRH antibody [EPR24529-70] (AB281844)
  • IHC-P

Supplier Data

Immunohistochemistry (Formalin/PFA-fixed paraffin-embedded sections) - Anti-GnRH antibody [EPR24529-70] (AB281844)

Immunohistochemical analysis of paraffin-embedded Human liver tissue labelling GnRH with ab281844 at 1/600 (0.628 μg/ml) dilution followed by a ready to use LeicaDS9800 (Bond™ Polymer Refine Detection). Negative control : no staining on human liver. The section was incubated with ab281844 for 30 mins at room temperature. The immunostaining was performed on a Leica Biosystems BOND® RX instrument. Counterstained with Hematoxylin.

Secondary antibody only control : Secondary antibody is a ready to use LeicaDS9800 (Bond™ Polymer Refine Detection).

Heat mediated antigen retrieval with Tris-EDTA buffer (pH 9.0, epitope retrieval solution2) for 20 mins

Immunohistochemistry (Frozen sections) - Anti-GnRH antibody [EPR24529-70] (AB281844)
  • IHC-Fr

Supplier Data

Immunohistochemistry (Frozen sections) - Anti-GnRH antibody [EPR24529-70] (AB281844)

Immunohistochemical analysis of 4% PFA-fixed, 0.2% Triton X-100 permeabilized frozen Rat hypothalamus tissue labelling GnRH with ab281844 at 150 (7.54 μg/ml) dilution followed by ab150077 Goat Anti-Rabbit IgG H&L (Alexa Fluor® 488) at 1/1000 dilution (Green). Positive staining on arcuate hypothalamic nucleus arc of rat hypothalamus (arrow) is observed. The nuclear counterstain was DAPI (Blue).

Secondary antibody control : Secondary antibody is ab150077 Goat Anti-Rabbit IgG H&L (Alexa Fluor® 488) at 1/1000 dilution.

Heat mediated antigen retrieval using sodium citrate buffer (10mM citrate pH 6.0 + 0.05% Tween-20).

Immunohistochemistry (Formalin/PFA-fixed paraffin-embedded sections) - Anti-GnRH antibody [EPR24529-70] (AB281844)
  • IHC-P

Supplier Data

Immunohistochemistry (Formalin/PFA-fixed paraffin-embedded sections) - Anti-GnRH antibody [EPR24529-70] (AB281844)

Immunohistochemical analysis of paraffin-embedded Mouse liver tissue labelling GnRH with ab281844 at 1/600 (0.628 μg/ml) dilution followed by a ready to use LeicaDS9800 (Bond™ Polymer Refine Detection). Negative control : no staining on mouse liver. The section was incubated with ab281844 for 30 mins at room temperature. The immunostaining was performed on a Leica Biosystems BOND® RX instrument. Counterstained with Hematoxylin.

Secondary antibody only control : Secondary antibody is a ready to use LeicaDS9800 (Bond™ Polymer Refine Detection).

Heat mediated antigen retrieval with Tris-EDTA buffer (pH 9.0, epitope retrieval solution2) for 20 mins

Immunohistochemistry (Frozen sections) - Anti-GnRH antibody [EPR24529-70] (AB281844)
  • IHC-Fr

Supplier Data

Immunohistochemistry (Frozen sections) - Anti-GnRH antibody [EPR24529-70] (AB281844)

Immunohistochemical analysis of 4% PFA-fixed, 0.2% Triton X-100 permeabilized frozen Mouse hypothalamus tissue labelling GnRH with ab281844 at 150 (7.54 μg/ml) dilution followed by ab150077 Goat Anti-Rabbit IgG H&L (Alexa Fluor® 488) at 1/1000 dilution (Green). Positive staining on arcuate hypothalamic nucleus arc of mouse hypothalamus (arrow) is observed. The nuclear counterstain was DAPI (Blue).

Secondary antibody control : Secondary antibody is ab150077 Goat Anti-Rabbit IgG H&L (Alexa Fluor® 488) at 1/1000 dilution.

Heat mediated antigen retrieval using sodium citrate buffer (10mM citrate pH 6.0 + 0.05% Tween-20).

Immunohistochemistry (Formalin/PFA-fixed paraffin-embedded sections) - Anti-GnRH antibody [EPR24529-70] (AB281844)
  • IHC-P

Supplier Data

Immunohistochemistry (Formalin/PFA-fixed paraffin-embedded sections) - Anti-GnRH antibody [EPR24529-70] (AB281844)

Immunohistochemical analysis of paraffin-embedded Rat hypothalamus tissue labelling GnRH with ab281844 at 1/600 (0.628 μg/ml) dilution followed by a ready to use LeicaDS9800 (Bond™ Polymer Refine Detection). Positive staining on the arcuate hypothalamic nucleus arc of rat hypothalamus. The section was incubated with ab281844 for 30 mins at room temperature. The immunostaining was performed on a Leica Biosystems BOND® RX instrument. Counterstained with Hematoxylin.

Secondary antibody only control : Secondary antibody is a ready to use LeicaDS9800 (Bond™ Polymer Refine Detection).

Heat mediated antigen retrieval with Tris-EDTA buffer (pH 9.0, epitope retrieval solution2) for 20 mins

Immunohistochemistry (Formalin/PFA-fixed paraffin-embedded sections) - Anti-GnRH antibody [EPR24529-70] (AB281844)
  • IHC-P

Supplier Data

Immunohistochemistry (Formalin/PFA-fixed paraffin-embedded sections) - Anti-GnRH antibody [EPR24529-70] (AB281844)

Immunohistochemical analysis of paraffin-embedded Mouse hypothalamus tissue labelling GnRH with ab281844 at 1/600 (0.628 μg/ml) dilution followed by a ready to use LeicaDS9800 (Bond™ Polymer Refine Detection) was used. Positive staining on the arcuate hypothalamic nucleus arc of mouse hypothalamus (PMID : 19809474). The section was incubated with ab281844 for 30 mins at room temperature. The immunostaining was performed on a Leica Biosystems BOND® RX instrument. Counterstained with Hematoxylin.

Secondary antibody only control : Secondary antibody is a ready to use LeicaDS9800 (Bond™ Polymer Refine Detection) was used.

Heat mediated antigen retrieval with Tris-EDTA buffer (pH 9.0, epitope retrieval solution2) for 20 mins

Immunohistochemistry (Formalin/PFA-fixed paraffin-embedded sections) - Anti-GnRH antibody [EPR24529-70] (AB281844)
  • IHC-P

Supplier Data

Immunohistochemistry (Formalin/PFA-fixed paraffin-embedded sections) - Anti-GnRH antibody [EPR24529-70] (AB281844)

Immunohistochemical analysis of paraffin-embedded Rat liver tissue labelling GnRH with ab281844 at 1/600 (0.628 μg/ml) dilution followed by a ready to use LeicaDS9800 (Bond™ Polymer Refine Detection). Negative control : no staining on rat liver. The section was incubated with ab281844 for 30 mins at room temperature. The immunostaining was performed on a Leica Biosystems BOND® RX instrument. Counterstained with Hematoxylin.

Secondary antibody only control : Secondary antibody is a ready to use LeicaDS9800 (Bond™ Polymer Refine Detection).

Heat mediated antigen retrieval with Tris-EDTA buffer (pH 9.0, epitope retrieval solution2) for 20 mins

  • Carrier free

    Anti-GnRH antibody [EPR24529-70] - BSA and Azide free

Key facts

Host species

Rabbit

Clonality

Monoclonal

Clone number

EPR24529-70

Isotype

IgG1

Carrier free

No

Reacts with

Mouse, Rat, Human

Applications

IHC-Fr, IHC-P

applications

Immunogen

The exact immunogen used to generate this antibody is proprietary information.

Specificity

Data from recombinant overexpression of GnRH demonstrating reactivity in WB, ICC, IP and Flow Cyt (intracelluar) is available.

Reactivity data

{ "title": "Reactivity Data", "filters": { "stats": ["", "Species", "Dilution Info", "Notes"], "tabs": { "all-applications": {"fullname" : "All Applications", "shortname": "All Applications"}, "IHCFr" : {"fullname" : "Immunohistochemistry (Frozen sections)", "shortname":"IHC-Fr"}, "IHCP" : {"fullname" : "Immunohistochemistry (Formalin/PFA-fixed paraffin-embedded sections)", "shortname":"IHC-P"} }, "product-promise": { "all": "all", "testedAndGuaranteed": "tested", "guaranteed": "expected", "predicted": "predicted", "notRecommended": "not-recommended" } }, "values": { "Human": { "IHCFr-species-checked": "guaranteed", "IHCFr-species-dilution-info": "", "IHCFr-species-notes": "", "IHCP-species-checked": "testedAndGuaranteed", "IHCP-species-dilution-info": "", "IHCP-species-notes": "<p></p>" }, "Mouse": { "IHCFr-species-checked": "testedAndGuaranteed", "IHCFr-species-dilution-info": "1/50", "IHCFr-species-notes": "<p>Heat mediated antigen retrieval using sodium citrate buffer (10mM citrate pH 6.0 + 0.05% Tween-20)</p>", "IHCP-species-checked": "testedAndGuaranteed", "IHCP-species-dilution-info": "1/600", "IHCP-species-notes": "<p></p>" }, "Rat": { "IHCFr-species-checked": "testedAndGuaranteed", "IHCFr-species-dilution-info": "1/50", "IHCFr-species-notes": "<p>Heat mediated antigen retrieval using sodium citrate buffer (10mM citrate pH 6.0 + 0.05% Tween-20)</p>", "IHCP-species-checked": "testedAndGuaranteed", "IHCP-species-dilution-info": "1/600", "IHCP-species-notes": "<p></p>" }, "Transfected cell line - Human": { "IHCFr-species-checked": "notRecommended", "IHCFr-species-dilution-info": "", "IHCFr-species-notes": "", "IHCP-species-checked": "testedAndGuaranteed", "IHCP-species-dilution-info": "1/600", "IHCP-species-notes": "<p></p>" } } }

Product details

Patented technology
Our RabMAb® technology is a patented hybridoma-based technology for making rabbit monoclonal antibodies. For details on our patents, please refer to RabMAb® patents.

What are the advantages of a recombinant monoclonal antibody?
This product is a recombinant monoclonal antibody, which offers several advantages including:

  • - High batch-to-batch consistency and reproducibility
  • - Improved sensitivity and specificity
  • - Long-term security of supply
  • - Animal-free batch production

For more information, read more on recombinant antibodies.

Properties and storage information

Form
Liquid
Purification technique
Affinity purification Protein A
Storage buffer
pH: 7.2 - 7.4 Preservative: 0.01% Sodium azide Constituents: PBS, 40% Glycerol (glycerin, glycerine), 0.05% BSA
Shipped at conditions
Blue Ice
Appropriate short-term storage duration
1-2 weeks
Appropriate short-term storage conditions
+4°C
Appropriate long-term storage conditions
-20°C
Aliquoting information
Upon delivery aliquot
Storage information
Avoid freeze / thaw cycle

Supplementary information

This supplementary information is collated from multiple sources and compiled automatically.

Gonadotropin-releasing hormone (GnRH) also referred to as luteinizing hormone-releasing hormone (LHRH) or gonadotropin peptide is a small peptide hormone with a molecular weight of approximately 1.2 kDa. GnRH is chiefly expressed in the hypothalamic neurons located in the pre-optic area of the brain. It is synthesized as a preprohormone and undergoes cleavage to become its active form. GnRH plays an important role in the regulation of reproductive functions acting as an important regulator of the release of pituitary gonadotropins.
Biological function summary

GnRH influences reproduction by stimulating the anterior pituitary gland to secrete two essential gonadotropins: luteinizing hormone (LH) and follicle-stimulating hormone (FSH). These gonadotropins further act on the gonads to promote steroidogenesis and gametogenesis essential processes for fertility. The GnRH peptide hormone does not typically form part of a larger protein complex. Instead it interacts directly with specific receptors on the surface of anterior pituitary cells to carry out its functions.

Pathways

The gonadotropin peptide acts within the hypothalamic-pituitary-gonadal (HPG) axis an integral pathway for maintaining reproductive health and hormonal balance. This pathway involves GnRH LH FSH and steroid hormones like estradiol and testosterone. In the HPG axis GnRH release is subjected to feedback mechanisms from the steroid hormones ensuring the fine-tuning of reproductive hormone levels. Additionally this peptide is part of the neuroendocrine control pathway interacting with other neuropeptides like kisspeptin which modulates its secretion thereby influencing overall reproductive function.

Dysfunctions in GnRH signaling can lead to conditions such as hypogonadotropic hypogonadism and precocious puberty. These disorders result from insufficient or excessive release of gonadotropins due to impaired GnRH action. In hypogonadotropic hypogonadism there is a failure in stimulation of LH and FSH leading to inadequate sex steroid production and subsequent infertility or delayed puberty. Conversely excessive GnRH activity may result in precocious puberty where early activation of the reproductive axis occurs. Anti-GnRH therapies aim to modulate these dysfunctions aligning related proteins like kisspeptin and neurokinin B with therapeutic approaches.

Product protocols

For this product, it's our understanding that no specific protocols are required. You can visit:

Target data

Stimulates the secretion of gonadotropins; it stimulates the secretion of both luteinizing and follicle-stimulating hormones.
See full target information GNRH1

Additional targets

GnRH

Publications (5)

Recent publications for all applications. Explore the full list and refine your search

Drug design, development and therapy 19:2677-2691 PubMed40226128

2025

Huyang Yangkun Formula Enhances Ovarian Function and Delays Reproductive Aging by Influencing Hypothalamic GnRH/LH Pulse Release Through GAT-1/GABA/GABAAR2.

Applications

Unspecified application

Species

Unspecified reactive species

Yang Li,Yin Peng,Guangning Nie,Fangping Cheng,Yuling Zhou,Jian Liu,Hongyan Yang

International journal of molecular sciences 24: PubMed37628754

2023

CFTR Modulates Hypothalamic Neuron Excitability to Maintain Female Cycle.

Applications

Unspecified application

Species

Unspecified reactive species

Yong Wu,Yanting Que,Junjiang Chen,Lei Sun,Jinghui Guo,Ye Chun Ruan

Acta biochimica Polonica 70:183-190 PubMed36928746

2023

Timosaponin AIII attenuates precocious puberty in mice through downregulating the hypothalamic-pituitary-gonadal axis.

Applications

Unspecified application

Species

Unspecified reactive species

Lili Zhou,Yaoquan Ren,Dongmei Li,Weiwei Zhou,Chengke Li,Qiang Wang,Xiangzheng Yang

Science advances 8:eabq2987 PubMed36383654

2022

Hierarchical deployment of Tbx3 dictates the identity of hypothalamic KNDy neurons to control puberty onset.

Applications

Unspecified application

Species

Unspecified reactive species

Xiang Shi,Yanrong Zhuang,Zhenhua Chen,Mingrui Xu,Junqi Kuang,Xue-Lian Sun,Lisen Gao,Xia Kuang,Huairen Zhang,Wei Li,Samuel Zheng Hao Wong,Chuanyu Liu,Longqi Liu,Danhua Jiang,Duanqing Pei,Yi Lin,Qing-Feng Wu

Stem cells international 2022:2760899 PubMed36199626

2022

E3 Ubiquitin Ligase CHIP Inhibits the Interaction between Hsp90 and MAST1 to Repress Radiation Resistance in Non-Small-Cell Lung Cancer Stem Cells.

Applications

Unspecified application

Species

Unspecified reactive species

Bo Tan,Jingwei Zhang,Wen Wang,Haibo Ma,Yuanyuan Yang
View all publications

Product promise

We are committed to supporting your work with high-quality reagents, and we're here for you every step of the way. In the unlikely event that one of our products does not perform as expected, you're protected by our Product Promise.
For full details, please see our Terms & Conditions

Please note: All products are 'FOR RESEARCH USE ONLY. NOT FOR USE IN DIAGNOSTIC OR THERAPEUTIC PROCEDURES'.

For licensing inquiries, please contact partnerships@abcam.com