JavaScript is disabled in your browser. Please enable JavaScript to view this website.
AB220196

Anti-GnRHR antibody [GNRHR/768]

Be the first to review this product! Submit a review

|

(3 Publications)

Mouse Monoclonal GNRHR antibody. Suitable for ICC, IHC-P and reacts with Human samples. Cited in 3 publications. Immunogen corresponding to Recombinant Full Length Protein corresponding to Human GNRHR.

View Alternative Names

GRHR, GNRHR, Gonadotropin-releasing hormone receptor, GnRH receptor, GnRH-R

2 Images
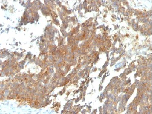
Immunohistochemistry (Formalin/PFA-fixed paraffin-embedded sections) - Anti-GnRHR antibody [GNRHR/768] (AB220196)
  • IHC-P

Supplier Data

Immunohistochemistry (Formalin/PFA-fixed paraffin-embedded sections) - Anti-GnRHR antibody [GNRHR/768] (AB220196)

Immunohistochemical analysis of formalin-fixed and paraffin-embedded Human ovarian carcinoma tissue labeling GnRHR with ab220196 at 2 μg/ml dilution.

Immunocytochemistry - Anti-GnRHR antibody [GNRHR/768] (AB220196)
  • ICC

Supplier Data

Immunocytochemistry - Anti-GnRHR antibody [GNRHR/768] (AB220196)

Immunocytochemistry analysis of MeOH-fixed MCF-7 cells labeling GnRHR with ab220196 at 2µg/mL followed by Goat anti-Mouse IgG-CF488 (Green). The nuclear counterstain is Reddot (Red).

Key facts

Host species

Mouse

Clonality

Monoclonal

Clone number

GNRHR/768

Isotype

IgG1

Light chain type

kappa

Carrier free

No

Reacts with

Human

Applications

ICC, IHC-P

applications

Immunogen

Recombinant Full Length Protein corresponding to Human GNRHR.

P30968

Reactivity data

{ "title": "Reactivity Data", "filters": { "stats": ["", "Species", "Dilution Info", "Notes"], "tabs": { "all-applications": {"fullname" : "All Applications", "shortname": "All Applications"}, "ICC" : {"fullname" : "Immunocytochemistry", "shortname":"ICC"}, "IHCP" : {"fullname" : "Immunohistochemistry (Formalin/PFA-fixed paraffin-embedded sections)", "shortname":"IHC-P"} }, "product-promise": { "all": "all", "testedAndGuaranteed": "tested", "guaranteed": "expected", "predicted": "predicted", "notRecommended": "not-recommended" } }, "values": { "Human": { "ICC-species-checked": "testedAndGuaranteed", "ICC-species-dilution-info": "1-2 µg/mL", "ICC-species-notes": "<p></p>", "IHCP-species-checked": "testedAndGuaranteed", "IHCP-species-dilution-info": "1-2 µg/mL", "IHCP-species-notes": "<p></p>" }, "Cow": { "ICC-species-checked": "predicted", "ICC-species-dilution-info": "", "ICC-species-notes": "", "IHCP-species-checked": "predicted", "IHCP-species-dilution-info": "", "IHCP-species-notes": "" }, "Dog": { "ICC-species-checked": "predicted", "ICC-species-dilution-info": "", "ICC-species-notes": "", "IHCP-species-checked": "predicted", "IHCP-species-dilution-info": "", "IHCP-species-notes": "" }, "Horse": { "ICC-species-checked": "predicted", "ICC-species-dilution-info": "", "ICC-species-notes": "", "IHCP-species-checked": "predicted", "IHCP-species-dilution-info": "", "IHCP-species-notes": "" }, "Pig": { "ICC-species-checked": "predicted", "ICC-species-dilution-info": "", "ICC-species-notes": "", "IHCP-species-checked": "predicted", "IHCP-species-dilution-info": "", "IHCP-species-notes": "" } } }

Properties and storage information

Form
Liquid
Purification technique
Affinity purification Protein A/G
Storage buffer
pH: 7.2 - 7.4 Preservative: 0.05% Sodium azide Constituents: PBS, 0.05% BSA
Shipped at conditions
Blue Ice
Appropriate short-term storage duration
1-2 weeks
Appropriate short-term storage conditions
+4°C
Appropriate long-term storage conditions
-20°C
Aliquoting information
Upon delivery aliquot
Storage information
Avoid freeze / thaw cycle

Supplementary information

This supplementary information is collated from multiple sources and compiled automatically.

GnRHR also known as the Gonadotropin-releasing hormone receptor is a G-protein coupled receptor that plays an important role in the reproductive system. This receptor has a molecular mass of approximately 37 kDa. GnRHR is mainly expressed in the pituitary gland but it is also found in other tissues like the ovary and prostate. Its primary function is to bind to the GnRH ligand which triggers the release of hormones such as luteinizing hormone (LH) and follicle-stimulating hormone (FSH).
Biological function summary

The GnRHR is involved in regulating reproductive functions by mediating the action of GnRH at the pituitary level. It does not form part of larger complex structures like some other receptors might. This interaction leads to a second messenger cascade mainly involving phospholipase C which increases intracellular calcium levels. In turn hormone secretion is stimulated leading to gametogenesis and steroidogenesis.

Pathways

The GnRHR is integral to the hypothalamic-pituitary-gonadal (HPG) axis an important regulatory pathway in reproductive endocrinology. It works closely with proteins like FSH and LH which are essential for proper sexual development and reproductive health. The receptor activation initiates signaling pathways leading to the transcription of genes responsible for reproductive maturation and function.

GnRHR is notably associated with conditions like hypogonadotropic hypogonadism and polycystic ovary syndrome (PCOS). Mutations or malfunctions in this receptor or GnRH can lead to insufficient gonadotropin release. This malfunction disrupts the regular hormonal feedback loop necessary for reproduction. Furthermore altered signaling through GnRHR has connections to neoplastic disorders in tissues where it is expressed linking it to cancer pathways where proteins such as kisspeptin can also play a role.

Product protocols

For this product, it's our understanding that no specific protocols are required. You can visit:

Target data

Receptor for gonadotropin releasing hormone (GnRH) that mediates the action of GnRH to stimulate the secretion of the gonadotropic hormones luteinizing hormone (LH) and follicle-stimulating hormone (FSH). This receptor mediates its action by association with G-proteins that activate a phosphatidylinositol-calcium second messenger system. Isoform 2 may act as an inhibitor of GnRH-R signaling.
See full target information GNRHR

Publications (3)

Recent publications for all applications. Explore the full list and refine your search

Biomolecules 15: PubMed40563508

2025

A Near-Infrared Fluorescent Probe for Specific Imaging of Lymph Node Metastases in Ovarian Cancer via Active Targeting of the Gonadotropin-Releasing Hormone Receptor.

Applications

Unspecified application

Species

Unspecified reactive species

Qiyu Liu,Jiaan Sun,Xiaobo Zhou,Mingxing Zhang,Tao Pu,Xiaolan Gao,Meng Zhang,Congjian Xu,Xiaoyan Zhang

Cell communication and signaling : CCS 21:284 PubMed37828510

2023

AXL receptor tyrosine kinase modulates gonadotropin-releasing hormone receptor signaling.

Applications

Unspecified application

Species

Unspecified reactive species

Pardis Mohammadzadeh,Mina Roueinfar,Gregory C Amberg

Oxidative medicine and cellular longevity 2021:9979707 PubMed35069968

2021

LYAR Promotes Colorectal Cancer Progression by Upregulating Expression and Fatty Acid Metabolism.

Applications

Unspecified application

Species

Unspecified reactive species

Yupeng Wu,Yu Zhou,Haiying Gao,Yajun Wang,Qingyu Cheng,Shikun Jian,Qi Ding,Wei Gu,Yanxue Yao,Jia Ma,Wenjuan Wu,Yuyun Li,Xuhui Tong,Xiaoyuan Song,Sai Ma
View all publications

Product promise

We are committed to supporting your work with high-quality reagents, and we're here for you every step of the way. In the unlikely event that one of our products does not perform as expected, you're protected by our Product Promise.
For full details, please see our Terms & Conditions

Please note: All products are 'FOR RESEARCH USE ONLY. NOT FOR USE IN DIAGNOSTIC OR THERAPEUTIC PROCEDURES'.

For licensing inquiries, please contact partnerships@abcam.com