JavaScript is disabled in your browser. Please enable JavaScript to view this website.
AB84340

Anti-Golgin 97 antibody

5

(6 Reviews)

|

(19 Publications)

Rabbit Polyclonal Golgin 97 antibody. Suitable for IHC-P, ICC/IF and reacts with Human samples. Cited in 19 publications.

View Alternative Names

Golgin subfamily A member 1, Golgin-97, GOLGA1

5 Images
Immunocytochemistry/ Immunofluorescence - Anti-Golgin 97 antibody (AB84340)
  • ICC/IF

Unknown

Immunocytochemistry/ Immunofluorescence - Anti-Golgin 97 antibody (AB84340)

ab84340 staining Golgin-97 in MCF7 cells treated with brefeldin A (ab120299), by ICC/IF. Increase in Golgin-97 expression correlates with increased concentration of brefeldin A, as described in literature.
The cells were incubated at 37øC for 1.5 h in media containing different concentrations of ab120299 (brefeldin A) in DMSO, fixed with 4% formaldehyde for 10 minutes at room temperature and blocked with PBS containing 10% goat serum, 0.3 M glycine, 1% BSA and 0.1% tween for 2h at room temperature. Staining of the treated cells with ab84340 (5 μg/ml) was performed overnight at 4øC in PBS containing 1% BSA and 0.1% tween. A DyLight 488 goat anti-rabbit polyclonal antibody (ab96899) at 1/250 dilution was used as the secondary antibody. Nuclei were counterstained with DAPI and are shown in blue.

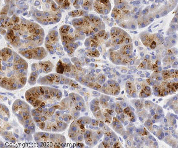
Immunohistochemistry (Formalin/PFA-fixed paraffin-embedded sections) - Anti-Golgin 97 antibody (AB84340)
  • IHC-P

Lab

Immunohistochemistry (Formalin/PFA-fixed paraffin-embedded sections) - Anti-Golgin 97 antibody (AB84340)

IHC image of Golgin 97 antibody staining in a section of formalin-fixed paraffin-embedded normal human pancreas* performed on a Leica BONDTM system using the standard protocol. The section was pre-treated using heat mediated antigen retrieval with sodium citrate buffer (pH6, epitope retrieval solution 1) for 20mins. The section was then incubated with ab84340, 1ug/ml, for 15 mins at room temperature and detected using an HRP conjugated compact polymer system. DAB was used as the chromogen. The section was then counterstained with haematoxylin and mounted with DPX.

For other IHC staining systems (automated and non-automated) customers should optimize variable parameters such as antigen retrieval conditions, primary antibody concentration and antibody incubation times.

*Tissue obtained from the Human Research Tissue Bank, supported by the NIHR Cambridge Biomedical Research Centre

Immunocytochemistry/ Immunofluorescence - Anti-Golgin 97 antibody (AB84340)
  • ICC/IF

Lab

Immunocytochemistry/ Immunofluorescence - Anti-Golgin 97 antibody (AB84340)

ab84340 staining Golgin 97 in HeLa cells. The cells were fixed with 100% Methanol (5min), permeabilized with 0.1%PBS-Triton X-100 for 5 minutes and then blocked with 1% BSA/10% normal goat serum/0.3M glycine in 0.1%PBS-Tween for 1h. The cells were then incubated overnight at +4°C with ab84340 at 5μg/ml and ab7291, Mouse monoclonal [DM1A] to alpha Tubulin - Loading Control, at 1/1000 dilution. Cells were then incubated with ab150081, Goat polyclonal Secondary Antibody to Rabbit IgG - H&L (Alexa Fluor® 488), pre-adsorbed (shown in green) and ab150120, Goat polyclonal Secondary Antibody to Mouse IgG - H&L (Alexa Fluor® 594), pre-adsorbed at 1/1000 dilution (shown in pseudocolor red). Nuclear DNA was labelled with DAPI (shown in blue).

Image was taken with a confocal microscope (Leica-Microsystems, TCS SP8).

Immunocytochemistry/ Immunofluorescence - Anti-Golgin 97 antibody (AB84340)
  • ICC/IF

AbReview57461****

Immunocytochemistry/ Immunofluorescence - Anti-Golgin 97 antibody (AB84340)

hCMEC/D3 cells stained for Golgin 97 (green) using ab84340 at 1/100 dilution in ICC/IF, followed by Alexa Fluor 488® congugated Goat Anti-Rabbit IgG.

This image is courtesy of an anonymous Abreview.

Immunohistochemistry (Formalin/PFA-fixed paraffin-embedded sections) - Anti-Golgin 97 antibody (AB84340)
  • IHC-P

AbReview27625****

Immunohistochemistry (Formalin/PFA-fixed paraffin-embedded sections) - Anti-Golgin 97 antibody (AB84340)

ab84340 staining Golgin 97 in murine testis tissue by Immunohistochemistry (Formalin/PFA-fixed paraffin-embedded sections).

Tissue was fixed with formaldehyde and a heat mediated antigen retrieval step was performed using 0.01M sodium citrate. Samples were then blocked using 10%FCS, 0.5% BSA, 1% Triton X-100, 88.5% PBS X1 and then incubated with ab84340 at a 1/100 dilution for 10 hours at 4°C. The secondary used was an Alexa-Fluor 594 conjugated goat anti-rabbit IgG used at a 1/200 dilution.

Image courtesy of Yoav Elkis by Abreview.

Key facts

Host species

Rabbit

Clonality

Polyclonal

Isotype

IgG

Carrier free

No

Reacts with

Human

Applications

ICC/IF, IHC-P

applications

Immunogen

The exact immunogen used to generate this antibody is proprietary information.

Reactivity data

{ "title": "Reactivity Data", "filters": { "stats": ["", "Species", "Dilution Info", "Notes"], "tabs": { "all-applications": {"fullname" : "All Applications", "shortname": "All Applications"}, "IHCP" : {"fullname" : "Immunohistochemistry (Formalin/PFA-fixed paraffin-embedded sections)", "shortname":"IHC-P"}, "ICCIF" : {"fullname" : "Immunocytochemistry/ Immunofluorescence", "shortname":"ICC/IF"} }, "product-promise": { "all": "all", "testedAndGuaranteed": "tested", "guaranteed": "expected", "predicted": "predicted", "notRecommended": "not-recommended" } }, "values": { "Human": { "IHCP-species-checked": "testedAndGuaranteed", "IHCP-species-dilution-info": "5 µg/mL", "IHCP-species-notes": "<p></p> Perform heat-mediated antigen retrieval before commencing with IHC staining protocol.", "ICCIF-species-checked": "testedAndGuaranteed", "ICCIF-species-dilution-info": "5 µg/mL", "ICCIF-species-notes": "<p>Suitable for cells that have been fixed with 100% Methanol (5 mins) or 4% PFA (10 mins).</p>" }, "Mouse": { "IHCP-species-checked": "predicted", "IHCP-species-dilution-info": "", "IHCP-species-notes": "", "ICCIF-species-checked": "predicted", "ICCIF-species-dilution-info": "", "ICCIF-species-notes": "" } } }

Product details

ab84340 is raised using the same immunogen as ab33701. Batches sold under ab84340 have passed QC testing in ICC/IF and IHC. In our hands, this product did not work in WB. For further information please contact our Customer Services team.

Properties and storage information

Form
Liquid
Purification technique
Affinity purification Immunogen
Storage buffer
pH: 7.4 Preservative: 0.02% Sodium azide Constituents: 98.98% PBS, 1% BSA
Shipped at conditions
Blue Ice
Appropriate short-term storage duration
1-2 weeks
Appropriate short-term storage conditions
+4°C
Appropriate long-term storage conditions
-20°C
Aliquoting information
Upon delivery aliquot
Storage information
Avoid freeze / thaw cycle

Supplementary information

This supplementary information is collated from multiple sources and compiled automatically.

Golgin-97 also known as Golgin subfamily A member 1 is a protein that plays a significant role in the Golgi apparatus function. This protein has a molecular mass of approximately 97 kDa. Golgin-97 is widely expressed in the Golgi apparatus of eukaryotic cells. Its structure facilitates its function as a membrane-bound protein influencing the organization of the Golgi stack and maintenance of the Golgi ribbon.
Biological function summary

Golgin-97 participates in tethering of transport vesicles to the Golgi membrane ensuring efficient trafficking of proteins to their correct destinations. It is part of the golgin family which includes several coiled-coil proteins critical for Golgi structure and dynamics. Golgin-97 acts within a larger protein complex that interacts with other Golgi-associated proteins to regulate vesicle docking and fusion.

Pathways

Protein and lipid trafficking involve Golgin-97 significantly as it aids in vesicular transport coordination from the endoplasmic reticulum to the Golgi and within the Golgi stacks. The protein interacts closely with Rab GTPases a class of proteins that regulate vesicle movement. Golgin-97's function intertwines with pathways like the secretory pathway and the endocytic pathway linking it to other proteins such as Rab6 and Rab9.

Golgin-97 has associations with pathologies involving Golgi dysfunction and transport defects. For instance it relates to diseases like neurodegenerative disorders where proper protein trafficking is disrupted. The malfunction of Golgin-97 can affect proteins like Alzheimer's disease proteins as vesicular transport failure can lead to their mislocalization or aggregation contributing to disease progression.

Product protocols

For this product, it's our understanding that no specific protocols are required. You can visit:

Target data

Involved in vesicular trafficking at the Golgi apparatus level. Involved in endosome-to-Golgi trafficking.
See full target information GOLGA1

Publications (19)

Recent publications for all applications. Explore the full list and refine your search

Retrovirology 19:25 PubMed36403071

2022

The envelope proteins from SARS-CoV-2 and SARS-CoV potently reduce the infectivity of human immunodeficiency virus type 1 (HIV-1).

Applications

Unspecified application

Species

Unspecified reactive species

Wyatt Henke,Hope Waisner,Sachith Polpitiya Arachchige,Maria Kalamvoki,Edward Stephens

Cellular and molecular gastroenterology and hepatology 14:1-26 PubMed35367665

2022

Macrophage SCAP Contributes to Metaflammation and Lean NAFLD by Activating STING-NF-κB Signaling Pathway.

Applications

Unspecified application

Species

Unspecified reactive species

Xinyu Huang,Yingcheng Yao,Xiaoli Hou,Li Wei,Yuhan Rao,Yu Su,Guo Zheng,Xiong Z Ruan,Danyang Li,Yaxi Chen

Traffic (Copenhagen, Denmark) 23:158-173 PubMed35076977

2022

Segregation of the membrane cargoes, BACE1 and amyloid precursor protein (APP) throughout the Golgi apparatus.

Applications

Unspecified application

Species

Unspecified reactive species

Lou Fourriere,Ellie Hyun-Jung Cho,Paul A Gleeson

Life (Basel, Switzerland) 11: PubMed34575026

2021

Dynamin Inhibitors Prevent the Establishment of the Cytomegalovirus Assembly Compartment in the Early Phase of Infection.

Applications

Unspecified application

Species

Unspecified reactive species

Igor Štimac,Natalia Jug Vučko,Gordana Blagojević Zagorac,Marina Marcelić,Hana Mahmutefendić Lučin,Pero Lučin

The Journal of cell biology 220: PubMed33156328

2020

The ER cholesterol sensor SCAP promotes CARTS biogenesis at ER-Golgi membrane contact sites.

Applications

Unspecified application

Species

Unspecified reactive species

Yuichi Wakana,Kaito Hayashi,Takumi Nemoto,Chiaki Watanabe,Masato Taoka,Jessica Angulo-Capel,Maria F Garcia-Parajo,Hidetoshi Kumata,Tomonari Umemura,Hiroki Inoue,Kohei Arasaki,Felix Campelo,Mitsuo Tagaya

Biology of reproduction 103:205-222 PubMed32588889

2020

Knockout of family with sequence similarity 170 member A (Fam170a) causes male subfertility, while Fam170b is dispensable in mice†.

Applications

Unspecified application

Species

Unspecified reactive species

Darius J Devlin,Kaori Nozawa,Masahito Ikawa,Martin M Matzuk

Biology of reproduction 103:244-253 PubMed32301969

2020

Knockout of serine-rich single-pass membrane protein 1 (Ssmem1) causes globozoospermia and sterility in male mice†.

Applications

Unspecified application

Species

Unspecified reactive species

Kaori Nozawa,Qian Zhang,Haruhiko Miyata,Darius J Devlin,Zhifeng Yu,Seiya Oura,Takayuki Koyano,Makoto Matsuyama,Masahito Ikawa,Martin M Matzuk

Experimental cell research 380:55-68 PubMed30981667

2019

A role for Rab11 in the homeostasis of the endosome-lysosomal pathway.

Applications

Unspecified application

Species

Unspecified reactive species

Khalisah L Zulkefli,Fiona J Houghton,Prajakta Gosavi,Paul A Gleeson

Cell communication and signaling : CCS 16:19 PubMed29703230

2018

Golgi tethering factor golgin-97 suppresses breast cancer cell invasiveness by modulating NF-κB activity.

Applications

Unspecified application

Species

Unspecified reactive species

Rae-Mann Hsu,Cai-Yan Zhong,Chih-Liang Wang,Wei-Chao Liao,Chi Yang,Shih-Yu Lin,Jia-Wei Lin,Hsiao-Yun Cheng,Po-Yu Li,Chia-Jung Yu

Cancer research 78:2290-2304 PubMed29358170

2018

2-Hydroxyglutarate-Mediated Autophagy of the Endoplasmic Reticulum Leads to an Unusual Downregulation of Phospholipid Biosynthesis in Mutant IDH1 Gliomas.

Applications

Unspecified application

Species

Unspecified reactive species

Pavithra Viswanath,Marina Radoul,Jose Luis Izquierdo-Garcia,Wei Qiang Ong,Hema Artee Luchman,J Gregory Cairncross,Bo Huang,Russell O Pieper,Joanna J Phillips,Sabrina M Ronen
View all publications

Product promise

We are committed to supporting your work with high-quality reagents, and we're here for you every step of the way. In the unlikely event that one of our products does not perform as expected, you're protected by our Product Promise.
For full details, please see our Terms & Conditions

Please note: All products are 'FOR RESEARCH USE ONLY. NOT FOR USE IN DIAGNOSTIC OR THERAPEUTIC PROCEDURES'.

For licensing inquiries, please contact partnerships@abcam.com