JavaScript is disabled in your browser. Please enable JavaScript to view this website.
AB113649

Anti-GOLPH3/MIDAS antibody

Be the first to review this product! Submit a review

|

(1 Publication)

Rabbit Polyclonal GOLPH3/MIDAS antibody. Suitable for WB, IHC-P and reacts with Rat, Human samples. Cited in 1 publication. Immunogen corresponding to Synthetic Peptide within Human GOLPH3 conjugated to Keyhole Limpet Haemocyanin.

View Alternative Names

GPP34, GOLPH3, Golgi phosphoprotein 3, Coat protein GPP34, Mitochondrial DNA absence factor, MIDAS

2 Images
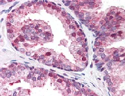
Immunohistochemistry (Formalin/PFA-fixed paraffin-embedded sections) - Anti-GOLPH3/MIDAS antibody (AB113649)
  • IHC-P

Unknown

Immunohistochemistry (Formalin/PFA-fixed paraffin-embedded sections) - Anti-GOLPH3/MIDAS antibody (AB113649)

ab113649, at 5 μg/ml, staining GOLPH3/MIDAS in Formalin fixed, Paraffin embedded Human prostate tissue by Immunohistochemistry.

Western blot - Anti-GOLPH3/MIDAS antibody (AB113649)
  • WB

Unknown

Western blot - Anti-GOLPH3/MIDAS antibody (AB113649)

Lane 1:

Western blot - Anti-GOLPH3/MIDAS antibody (ab113649) at 0.5 µg/mL

Lane 2:

Western blot - Anti-GOLPH3/MIDAS antibody (ab113649) at 1 µg/mL

All lanes:

Rat lung tissue lysate

Predicted band size: 34 kDa

false

Key facts

Host species

Rabbit

Clonality

Polyclonal

Isotype

IgG

Carrier free

No

Reacts with

Rat, Human

Applications

WB, IHC-P

applications

Immunogen

Synthetic Peptide within Human GOLPH3 conjugated to Keyhole Limpet Haemocyanin. The exact immunogen used to generate this antibody is proprietary information.

Q9H4A6

Reactivity data

{ "title": "Reactivity Data", "filters": { "stats": ["", "Species", "Dilution Info", "Notes"], "tabs": { "all-applications": {"fullname" : "All Applications", "shortname": "All Applications"}, "WB" : {"fullname" : "Western blot", "shortname":"WB"}, "IHCP" : {"fullname" : "Immunohistochemistry (Formalin/PFA-fixed paraffin-embedded sections)", "shortname":"IHC-P"} }, "product-promise": { "all": "all", "testedAndGuaranteed": "tested", "guaranteed": "expected", "predicted": "predicted", "notRecommended": "not-recommended" } }, "values": { "Human": { "WB-species-checked": "guaranteed", "WB-species-dilution-info": "", "WB-species-notes": "", "IHCP-species-checked": "testedAndGuaranteed", "IHCP-species-dilution-info": "5 µg/mL", "IHCP-species-notes": "<p></p>" }, "Mouse": { "WB-species-checked": "predicted", "WB-species-dilution-info": "", "WB-species-notes": "", "IHCP-species-checked": "predicted", "IHCP-species-dilution-info": "", "IHCP-species-notes": "" }, "Rat": { "WB-species-checked": "testedAndGuaranteed", "WB-species-dilution-info": "0.5-1 µg/mL", "WB-species-notes": "<p></p>", "IHCP-species-checked": "guaranteed", "IHCP-species-dilution-info": "", "IHCP-species-notes": "" } } }

Properties and storage information

Form
Liquid
Purification technique
Affinity purification Protein A
Storage buffer
pH: 7.4 Preservative: 0.02% Sodium azide Constituents: PBS
Shipped at conditions
Blue Ice
Appropriate short-term storage duration
1-2 weeks
Appropriate short-term storage conditions
+4°C
Appropriate long-term storage conditions
-20°C
Storage information
Avoid freeze / thaw cycle

Supplementary information

This supplementary information is collated from multiple sources and compiled automatically.

GOLPH3 also known as MIDAS (Mitochondrial Dynamics Associated) is a protein with a molecular weight of approximately 34 kDa. It is highly expressed in the Golgi apparatus a critical organelle for processing and sorting cellular proteins. GOLPH3 interacts with other proteins and lipids within the Golgi facilitating vesicle budding which is necessary for protein trafficking and secretion. The structural features of GOLPH3 allow it to bind phosphoinositides which indicates its role as a phosphatidylinositol 4-phosphate effector in the Golgi.
Biological function summary

GOLPH3/MIDAS plays a central role in maintaining Golgi structure and functionality. Its involvement in protein trafficking stems from its interaction with the cytoskeleton and Golgi membranes. GOLPH3 is part of a complex that includes several other proteins enhancing its ability to regulate Golgi shape and size which is essential for efficient cellular protein handling. The complex formation allows GOLPH3 to dynamically influence Golgi positioning within the cell an activity important for many cellular processes.

Pathways

The protein GOLPH3 interacts in the mTOR signaling and glycosylation pathways. The protein is associated with the regulation of mTOR signaling through its interaction with proteins like PIK3CA and AKT1. Additionally its role in glycosylation supports protein maturation and trafficking. These pathways are fundamental in cellular growth proliferation and survival and GOLPH3’s involvement highlights its multifunctional nature in cellular homeostasis.

GOLPH3 has connections to cancer and Alzheimer's disease. Its overexpression is linked to tumor development and progression in some cancers as it influences cell proliferation and survival through the mTOR pathway. In Alzheimer's disease abnormal Golgi structure and function have been noted and the dysregulation of GOLPH3 may contribute to the pathology. The association with proteins like tau and amyloid-beta in Alzheimer's further indicates the potential impact of GOLPH3 misregulation on disease progression.

Product protocols

For this product, it's our understanding that no specific protocols are required. You can visit:

Target data

Phosphatidylinositol-4-phosphate-binding protein that links Golgi membranes to the cytoskeleton and may participate in the tensile force required for vesicle budding from the Golgi. Thereby, may play a role in Golgi membrane trafficking and could indirectly give its flattened shape to the Golgi apparatus. May also bind to the coatomer to regulate Golgi membrane trafficking. May play a role in anterograde transport from the Golgi to the plasma membrane and regulate secretion. Has also been involved in the control of the localization of Golgi enzymes through interaction with their cytoplasmic part. May play an indirect role in cell migration. Has also been involved in the modulation of mTOR signaling. May also be involved in the regulation of mitochondrial lipids biosynthesis.
See full target information GOLPH3

Publications (1)

Recent publications for all applications. Explore the full list and refine your search

World journal of oncology 6:473-484 PubMed28983350

2015

GOLPH3 and YB-1 Are Novel Markers Correlating With Poor Prognosis in Prostate Cancer.

Applications

Unspecified application

Species

Unspecified reactive species

Nehad M R Abd El-Maqsoud,Nisreen A A Osman,Amr M A El-Hamid,Tarek K Fath El-Bab,Ehab M Galal
View all publications

Product promise

We are committed to supporting your work with high-quality reagents, and we're here for you every step of the way. In the unlikely event that one of our products does not perform as expected, you're protected by our Product Promise.
For full details, please see our Terms & Conditions

Please note: All products are 'FOR RESEARCH USE ONLY. NOT FOR USE IN DIAGNOSTIC OR THERAPEUTIC PROCEDURES'.

For licensing inquiries, please contact partnerships@abcam.com