JavaScript is disabled in your browser. Please enable JavaScript to view this website.
AB98023

Anti-GOLPH3/MIDAS antibody

5

(2 Reviews)

|

(20 Publications)

Rabbit Polyclonal GOLPH3/MIDAS antibody. Suitable for WB, ICC/IF and reacts with Rat, Mouse, Human samples. Cited in 20 publications.

View Alternative Names

GPP34, GOLPH3, Golgi phosphoprotein 3, Coat protein GPP34, Mitochondrial DNA absence factor, MIDAS

2 Images
Immunocytochemistry/ Immunofluorescence - Anti-GOLPH3/MIDAS antibody (AB98023)
  • ICC/IF

Unknown

Immunocytochemistry/ Immunofluorescence - Anti-GOLPH3/MIDAS antibody (AB98023)

ICC/IF image of ab98023 stained HeLa cells. The cells were 4% PFA fixed (10 min) and then incubated in 1%BSA / 10% normal goat serum / 0.3M glycine in 0.1% PBS-Tween for 1h to permeabilise the cells and block non-specific protein-protein interactions. The cells were then incubated with the antibody (ab98023, 5µg/ml) overnight at +4°C. The secondary antibody (green) was ab96899, DyLight® 488 goat anti-rabbit IgG (H+L) used at a 1/250 dilution for 1h. Alexa Fluor® 594 WGA was used to label plasma membranes (red) at a 1/200 dilution for 1h. DAPI was used to stain the cell nuclei (blue) at a concentration of 1.43µM. This antibody also gave a positive result in 4% PFA fixed (10 min) Hek293, HepG2 and MCF7 cells at 5µg/ml.

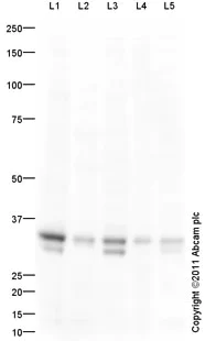
Western blot - Anti-GOLPH3/MIDAS antibody (AB98023)
  • WB

Unknown

Western blot - Anti-GOLPH3/MIDAS antibody (AB98023)

The predicted molecular weight of GOLPH3/MIDAS is 34-kDa. We are unsure why we are seeing an additional band in HeLa and A549 whole cell lysates. Abcam welcomes customer feedback and would appreciate any comments regarding this product and the data presented above.

All lanes:

Western blot - Anti-GOLPH3/MIDAS antibody (ab98023) at 1 µg/mL

Lane 1:

HeLa (Human epithelial carcinoma cell line) Whole Cell Lysate at 10 µg

Lane 2:

Lung (Human) Tissue Lysate at 10 µg

Lane 3:

A549 (Human lung adenocarcinoma epithelial cell line) Whole Cell Lysate at 10 µg

Lane 4:

Western blot - Mouse lung normal tissue lysate - total protein (<a href='/en-us/products/tissue-lysates/mouse-lung-normal-tissue-lysate-total-protein-ab29297'>ab29297</a>) at 10 µg

Lane 5:

Lung (Rat) Tissue Lysate at 10 µg

Secondary

All lanes:

Western blot - Goat Anti-Rabbit IgG H&L (HRP) preadsorbed (<a href='/en-us/products/secondary-antibodies/goat-rabbit-igg-h-l-hrp-preadsorbed-ab97080'>ab97080</a>) at 1/5000 dilution

Predicted band size: 34 kDa

Observed band size: 32 kDa,34 kDa

true

Exposure time: 30s

Key facts

Host species

Rabbit

Clonality

Polyclonal

Isotype

IgG

Carrier free

No

Reacts with

Mouse, Rat, Human

Applications

WB, ICC/IF

applications

Immunogen

The exact immunogen used to generate this antibody is proprietary information.

Specificity

From July 2024, QC testing of replenishment batches of this polyclonal changed. All tested and expected application and reactive species combinations are still covered by our Abcam product promise. However, we no longer test all applications. For more information on a specific batch, please contact our Scientific Support who will be happy to help.

Reactivity data

{ "title": "Reactivity Data", "filters": { "stats": ["", "Species", "Dilution Info", "Notes"], "tabs": { "all-applications": {"fullname" : "All Applications", "shortname": "All Applications"}, "WB" : {"fullname" : "Western blot", "shortname":"WB"}, "ICCIF" : {"fullname" : "Immunocytochemistry/ Immunofluorescence", "shortname":"ICC/IF"} }, "product-promise": { "all": "all", "testedAndGuaranteed": "tested", "guaranteed": "expected", "predicted": "predicted", "notRecommended": "not-recommended" } }, "values": { "Human": { "WB-species-checked": "testedAndGuaranteed", "WB-species-dilution-info": "1 µg/mL", "WB-species-notes": "<p></p>", "ICCIF-species-checked": "guaranteed", "ICCIF-species-dilution-info": "", "ICCIF-species-notes": "<p></p>" }, "Mouse": { "WB-species-checked": "testedAndGuaranteed", "WB-species-dilution-info": "1 µg/mL", "WB-species-notes": "<p></p>", "ICCIF-species-checked": "guaranteed", "ICCIF-species-dilution-info": "", "ICCIF-species-notes": "<p></p>" }, "Rat": { "WB-species-checked": "testedAndGuaranteed", "WB-species-dilution-info": "1 µg/mL", "WB-species-notes": "<p></p>", "ICCIF-species-checked": "guaranteed", "ICCIF-species-dilution-info": "", "ICCIF-species-notes": "<p></p>" }, "Cow": { "WB-species-checked": "predicted", "WB-species-dilution-info": "", "WB-species-notes": "", "ICCIF-species-checked": "predicted", "ICCIF-species-dilution-info": "", "ICCIF-species-notes": "" } } }

Properties and storage information

Form
Liquid
Purification technique
Affinity purification Immunogen
Storage buffer
pH: 7.4 Preservative: 0.02% Sodium azide Constituents: 98.98% PBS, 1% BSA
Shipped at conditions
Blue Ice
Appropriate short-term storage duration
1-2 weeks
Appropriate short-term storage conditions
+4°C
Appropriate long-term storage conditions
-20°C
Aliquoting information
Upon delivery aliquot
Storage information
Avoid freeze / thaw cycle

Supplementary information

This supplementary information is collated from multiple sources and compiled automatically.

GOLPH3 also known as MIDAS (Mitochondrial Dynamics Associated) is a protein with a molecular weight of approximately 34 kDa. It is highly expressed in the Golgi apparatus a critical organelle for processing and sorting cellular proteins. GOLPH3 interacts with other proteins and lipids within the Golgi facilitating vesicle budding which is necessary for protein trafficking and secretion. The structural features of GOLPH3 allow it to bind phosphoinositides which indicates its role as a phosphatidylinositol 4-phosphate effector in the Golgi.
Biological function summary

GOLPH3/MIDAS plays a central role in maintaining Golgi structure and functionality. Its involvement in protein trafficking stems from its interaction with the cytoskeleton and Golgi membranes. GOLPH3 is part of a complex that includes several other proteins enhancing its ability to regulate Golgi shape and size which is essential for efficient cellular protein handling. The complex formation allows GOLPH3 to dynamically influence Golgi positioning within the cell an activity important for many cellular processes.

Pathways

The protein GOLPH3 interacts in the mTOR signaling and glycosylation pathways. The protein is associated with the regulation of mTOR signaling through its interaction with proteins like PIK3CA and AKT1. Additionally its role in glycosylation supports protein maturation and trafficking. These pathways are fundamental in cellular growth proliferation and survival and GOLPH3’s involvement highlights its multifunctional nature in cellular homeostasis.

GOLPH3 has connections to cancer and Alzheimer's disease. Its overexpression is linked to tumor development and progression in some cancers as it influences cell proliferation and survival through the mTOR pathway. In Alzheimer's disease abnormal Golgi structure and function have been noted and the dysregulation of GOLPH3 may contribute to the pathology. The association with proteins like tau and amyloid-beta in Alzheimer's further indicates the potential impact of GOLPH3 misregulation on disease progression.

Product protocols

For this product, it's our understanding that no specific protocols are required. You can visit:

Target data

Phosphatidylinositol-4-phosphate-binding protein that links Golgi membranes to the cytoskeleton and may participate in the tensile force required for vesicle budding from the Golgi. Thereby, may play a role in Golgi membrane trafficking and could indirectly give its flattened shape to the Golgi apparatus. May also bind to the coatomer to regulate Golgi membrane trafficking. May play a role in anterograde transport from the Golgi to the plasma membrane and regulate secretion. Has also been involved in the control of the localization of Golgi enzymes through interaction with their cytoplasmic part. May play an indirect role in cell migration. Has also been involved in the modulation of mTOR signaling. May also be involved in the regulation of mitochondrial lipids biosynthesis.
See full target information GOLPH3

Publications (20)

Recent publications for all applications. Explore the full list and refine your search

Nature communications 14:7302 PubMed37952051

2023

SARS-CoV-2 hijacks a cell damage response, which induces transcription of a more efficient Spike S-acyltransferase.

Applications

Unspecified application

Species

Unspecified reactive species

Francisco S Mesquita,Laurence Abrami,Lucie Bracq,Nattawadee Panyain,Vincent Mercier,Béatrice Kunz,Audrey Chuat,Joana Carlevaro-Fita,Didier Trono,F Gisou van der Goot

BMC pulmonary medicine 23:286 PubMed37550659

2023

Tetramethylpyrazine ameliorates endotoxin-induced acute lung injury by relieving Golgi stress via the Nrf2/HO-1 signaling pathway.

Applications

Unspecified application

Species

Unspecified reactive species

Shaona Li,Yexiang Xu,Simeng He,Xiangyun Li,Jia Shi,Bing Zhang,Youzhuang Zhu,Xiangkun Li,Yanting Wang,Cuicui Liu,Yang Ma,Shuan Dong,Jianbo Yu

Nature communications 14:4250 PubMed37460527

2023

Restoration of PITPNA in Type 2 diabetic human islets reverses pancreatic beta-cell dysfunction.

Applications

Unspecified application

Species

Unspecified reactive species

Yu-Te Yeh,Chandan Sona,Xin Yan,Yunxiao Li,Adrija Pathak,Mark I McDermott,Zhigang Xie,Liangwen Liu,Anoop Arunagiri,Yuting Wang,Amaury Cazenave-Gassiot,Adhideb Ghosh,Ferdinand von Meyenn,Sivarajan Kumarasamy,Sonia M Najjar,Shiqi Jia,Markus R Wenk,Alexis Traynor-Kaplan,Peter Arvan,Sebastian Barg,Vytas A Bankaitis,Matthew N Poy

Frontiers in cell and developmental biology 10:1066504 PubMed36578782

2022

GARP dysfunction results in COPI displacement, depletion of Golgi v-SNAREs and calcium homeostasis proteins.

Applications

Unspecified application

Species

Unspecified reactive species

Amrita Khakurel,Tetyana Kudlyk,Irina Pokrovskaya,Zinia D'Souza,Vladimir V Lupashin

Cell reports 39:110869 PubMed35649377

2022

Phosphatidylinositol transfer protein/planar cell polarity axis regulates neocortical morphogenesis by supporting interkinetic nuclear migration.

Applications

Unspecified application

Species

Unspecified reactive species

Zhigang Xie,Vytas A Bankaitis

Frontiers in molecular biosciences 9:808152 PubMed35372504

2022

Golgi Phosphoprotein 3 Promotes Colon Cancer Cell Metastasis Through STAT3 and Integrin α3 Pathways.

Applications

Unspecified application

Species

Unspecified reactive species

Anpei Huang,Ruizhi Wang,Ji Cui,Ying Gao,Zheng Yin,Lianzhou Chen,Meifang He,Wen Li

Cancer cell international 22:35 PubMed35073936

2022

Golgi phosphoprotein 3 promotes angiogenesis and sorafenib resistance in hepatocellular carcinoma via upregulating exosomal miR-494-3p.

Applications

Unspecified application

Species

Unspecified reactive species

Ying Gao,Zheng Yin,Yunling Qi,Hong Peng,Wenbin Ma,Ruizhi Wang,Wen Li

Oxidative medicine and cellular longevity 2021:4805040 PubMed34815829

2021

OM-MSCs Alleviate the Golgi Apparatus Stress Response following Cerebral Ischemia/Reperfusion Injury via the PEDF-PI3K/Akt/mTOR Signaling Pathway.

Applications

Unspecified application

Species

Unspecified reactive species

Jialin He,Jianyang Liu,Yan Huang,Xiangqi Tang,Han Xiao,Zuo Liu,Zheng Jiang,Liuwang Zeng,Zhiping Hu,Ming Lu

Oncology reports 45: PubMed33907835

2021

Golgi phosphoprotein 3 promotes the proliferation of gallbladder carcinoma cells via regulation of the NLRP3 inflammasome.

Applications

Unspecified application

Species

Unspecified reactive species

Zhencheng Zhu,Qingzhou Zhu,Dongping Cai,Liang Chen,Weixuan Xie,Yang Bai,Kunlun Luo

The EMBO journal 40:e107238 PubMed33749896

2021

Golgi maturation-dependent glycoenzyme recycling controls glycosphingolipid biosynthesis and cell growth via GOLPH3.

Applications

Unspecified application

Species

Unspecified reactive species

Riccardo Rizzo,Domenico Russo,Kazuo Kurokawa,Pranoy Sahu,Bernadette Lombardi,Domenico Supino,Mikhail A Zhukovsky,Anthony Vocat,Prathyush Pothukuchi,Vidya Kunnathully,Laura Capolupo,Gaelle Boncompain,Carlo Vitagliano,Federica Zito Marino,Gabriella Aquino,Daniela Montariello,Petra Henklein,Luigi Mandrich,Gerardo Botti,Henrik Clausen,Ulla Mandel,Toshiyuki Yamaji,Kentaro Hanada,Alfredo Budillon,Franck Perez,Seetharaman Parashuraman,Yusuf A Hannun,Akihiko Nakano,Daniela Corda,Giovanni D'Angelo,Alberto Luini
View all publications

Product promise

We are committed to supporting your work with high-quality reagents, and we're here for you every step of the way. In the unlikely event that one of our products does not perform as expected, you're protected by our Product Promise.
For full details, please see our Terms & Conditions

Please note: All products are 'FOR RESEARCH USE ONLY. NOT FOR USE IN DIAGNOSTIC OR THERAPEUTIC PROCEDURES'.

For licensing inquiries, please contact partnerships@abcam.com