JavaScript is disabled in your browser. Please enable JavaScript to view this website.
AB218410

Anti-GP2 antibody [GP2/1712]

Be the first to review this product! Submit a review

|

(1 Publication)

Mouse Monoclonal GP2 antibody. Suitable for Protein Array, IHC-P and reacts with Human samples. Cited in 1 publication. Immunogen corresponding to Recombinant Fragment Protein within Human Pancreatic secretory granule membrane major glycoprotein GP2 aa 1-200.

View Alternative Names

Pancreatic secretory granule membrane major glycoprotein GP2, Pancreatic zymogen granule membrane protein GP-2, ZAP75, GP2

2 Images
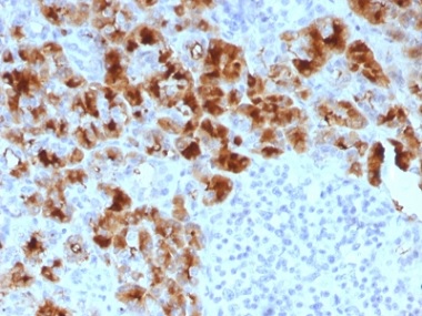
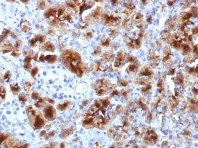
Immunohistochemistry (Formalin/PFA-fixed paraffin-embedded sections) - Anti-GP2 antibody [GP2/1712] (AB218410)
  • IHC-P

Supplier Data

Immunohistochemistry (Formalin/PFA-fixed paraffin-embedded sections) - Anti-GP2 antibody [GP2/1712] (AB218410)

Immunohistochemical analysis of formalin-fixed, paraffin-embedded human pancreas tissue labeling GP2 with ab218410 at 2 μg/ml.

Protein Array - Anti-GP2 antibody [GP2/1712] (AB218410)
  • Protein Array

Unknown

Protein Array - Anti-GP2 antibody [GP2/1712] (AB218410)

ab218410 was tested in protein array against over 19000 different full-length human proteins.
Z- and S- Score : The Z-score represents the strength of a signal that a monoclonal antibody (MAb) (in combination with a fluorescently-tagged anti-IgG secondary antibody) produces when binding to a particular protein on the HuProtTM array. Z-scores are described in units of standard deviations (SD's) above the mean value of all signals generated on that array. If targets on HuProtTM are arranged in descending order of the Z-score, the S-score is the difference (also in units of SD's) between the Z-score. S-score therefore represents the relative target specificity of a MAb to its intended target.
A MAb is specific to its intended target if the MAb has an S-score of at least 2.5. For example, if a MAb binds to protein X with a Z-score of 43 and to protein Y with a Z-score of 14, then the S-score for the binding of that MAb to protein X is equal to 29.

Key facts

Host species

Mouse

Clonality

Monoclonal

Clone number

GP2/1712

Isotype

IgG

Carrier free

No

Reacts with

Human

Applications

Protein Array, IHC-P

applications

Immunogen

Recombinant Fragment Protein within Human Pancreatic secretory granule membrane major glycoprotein GP2 aa 1-200. The exact immunogen used to generate this antibody is proprietary information.

P55259

Reactivity data

{ "title": "Reactivity Data", "filters": { "stats": ["", "Species", "Dilution Info", "Notes"], "tabs": { "all-applications": {"fullname" : "All Applications", "shortname": "All Applications"}, "ProteinArray" : {"fullname" : "Protein Array", "shortname":"Protein Array"}, "IHCP" : {"fullname" : "Immunohistochemistry (Formalin/PFA-fixed paraffin-embedded sections)", "shortname":"IHC-P"} }, "product-promise": { "all": "all", "testedAndGuaranteed": "tested", "guaranteed": "expected", "predicted": "predicted", "notRecommended": "not-recommended" } }, "values": { "Human": { "ProteinArray-species-checked": "testedAndGuaranteed", "ProteinArray-species-dilution-info": "", "ProteinArray-species-notes": "<p></p>", "IHCP-species-checked": "testedAndGuaranteed", "IHCP-species-dilution-info": "1-2 µg/mL", "IHCP-species-notes": "<p>(Primary incubation for 30 minutes at RT).</p>" }, "Mouse": { "ProteinArray-species-checked": "notRecommended", "ProteinArray-species-dilution-info": "", "ProteinArray-species-notes": "<p></p>", "IHCP-species-checked": "notRecommended", "IHCP-species-dilution-info": "1-2 µg/mL", "IHCP-species-notes": "<p>(Primary incubation for 30 minutes at RT).</p>" } } }

Properties and storage information

Form
Liquid
Purification technique
Affinity purification Protein G
Purification notes
ab218410 was purified from Bioreactor Concentrate by Protein A/G.
Storage buffer
pH: 7.2 - 7.4 Preservative: 0.05% Sodium azide Constituents: PBS, 0.05% BSA
Shipped at conditions
Blue Ice
Appropriate short-term storage duration
1-2 weeks
Appropriate short-term storage conditions
+4°C
Appropriate long-term storage conditions
-20°C
Aliquoting information
Upon delivery aliquot
Storage information
Avoid freeze / thaw cycle

Supplementary information

This supplementary information is collated from multiple sources and compiled automatically.

GP2 also known as Glycoprotein 2 is an important protein with a molecular mass of about 78 kDa. It mainly expresses in pancreatic acinar cells and the epithelial cells of the gastrointestinal tract. GP2 is anchored to the zymogen granule membrane through a glycosylphosphatidylinositol (GPI) anchor which facilitates its release into the lumen. It plays a mechanical role in the stabilization and release of digestive enzymes contributing to proper digestive processes.
Biological function summary

GP2 interacts with the innate immune system by binding to pathogens such as bacteria. It forms part of the mucosal defense system within the gastrointestinal tract. GP2 acts by trapping pathogens marking them for further immune processing. It also associates with membrane proteins like lactoferrin that help modulate immune response. Through its involvement in pathogen recognition and response GP2 supports a healthy gut environment and prevents infections.

Pathways

GP2 participates in immune-related processes and pathways. One significant pathway includes the mannose-binding lectin (MBL) pathway where GP2 works together with lectins and complement proteins to mediate the identification and clearance of pathogens. GP2's interactions with the complement system overlap with proteins like C3 linking it to a broader immune surveillance network. These interactions position GP2 as a pivotal component in maintaining gut mucosal immunity.

Impaired GP2 function associates with inflammatory bowel disease (IBD) and pancreatitis. Altered expression or mutation of GP2 may compromise defensive capabilities in the gut leading to chronic inflammation as seen in Crohn's disease or ulcerative colitis. Additionally improper GP2 function can result in pancreatitis a condition where enzymes prematurely activate and damage the pancreas. In both disorders GP2’s connection to proteins involved in immune pathways such as lactoferrin and C3 highlights its importance in protecting against excessive inflammation.

Product protocols

For this product, it's our understanding that no specific protocols are required. You can visit:

Target data

Functions as an intestinal M-cell transcytotic receptor specific for type-I-piliated bacteria that participates in the mucosal immune response toward these bacteria. At the apical membrane of M-cells it binds fimH, a protein of the bacteria type I pilus tip. Internalizes bound bacteria, like E.coli and S.typhimurium, from the lumen of the intestine and delivers them, through M-cells, to the underlying organized lymphoid follicles where they are captured by antigen-presenting dendritic cells to elicit a mucosal immune response.
See full target information Pancreatic secretory granule membrane major glycoprotein GP2

Publications (1)

Recent publications for all applications. Explore the full list and refine your search

BioMed research international 2018:7364539 PubMed29750170

2018

Electroporation with Cisplatin against Metastatic Pancreatic Cancer: Study on Human Primary Cell Culture.

Applications

Unspecified application

Species

Unspecified reactive species

Olga Michel,Julita Kulbacka,Jolanta Saczko,Justyna Mączyńska,Piotr Błasiak,Joanna Rossowska,Adam Rzechonek
View all publications

Product promise

We are committed to supporting your work with high-quality reagents, and we're here for you every step of the way. In the unlikely event that one of our products does not perform as expected, you're protected by our Product Promise.
For full details, please see our Terms & Conditions

Please note: All products are 'FOR RESEARCH USE ONLY. NOT FOR USE IN DIAGNOSTIC OR THERAPEUTIC PROCEDURES'.

For licensing inquiries, please contact partnerships@abcam.com