JavaScript is disabled in your browser. Please enable JavaScript to view this website.
AB101284

Anti-gp78 antibody

2

(1 Review)

|

(2 Publications)

Rabbit Polyclonal gp78 antibody. Suitable for IP, WB and reacts with Human samples. Cited in 2 publications. Immunogen corresponding to Synthetic Peptide within Human AMFR aa 500-550.

View Alternative Names

RNF45, AMFR, E3 ubiquitin-protein ligase AMFR, Autocrine motility factor receptor, RING finger protein 45, gp78, AMF receptor

2 Images
Immunoprecipitation - Anti-gp78 antibody (AB101284)
  • IP

Unknown

Immunoprecipitation - Anti-gp78 antibody (AB101284)

Detection of Human gp78 in immunoprecipitates of HeLa whole cell lysates (1 mg for IP, 20% of IP loaded) using ab101284 at 3 μg/mg lysate for immunoprecipitation and at 1 μg/ml for subsequent Western blotting.

Detection by chemiluminescence with an exposure time of 30 seconds.

All lanes:

Immunoprecipitation - Anti-gp78 antibody (ab101284)

Predicted band size: 73 kDa

false

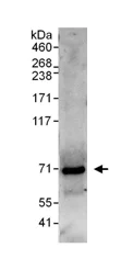
Western blot - Anti-gp78 antibody (AB101284)
  • WB

Unknown

Western blot - Anti-gp78 antibody (AB101284)

All lanes:

Western blot - Anti-gp78 antibody (ab101284) at 0.1 µg/mL

Lane 1:

HeLa whole cell lysate at 50 µg

Lane 2:

HeLa whole cell lysate at 15 µg

Lane 3:

HeLa whole cell lysate at 5 µg

Lane 4:

293T whole cell lysate at 50 µg

Predicted band size: 73 kDa

true

Exposure time: 3min

Key facts

Host species

Rabbit

Clonality

Polyclonal

Isotype

IgG

Carrier free

No

Reacts with

Human

Applications

IP, WB

applications

Immunogen

Synthetic Peptide within Human AMFR aa 500-550. The exact immunogen used to generate this antibody is proprietary information.

Q9UKV5

Reactivity data

{ "title": "Reactivity Data", "filters": { "stats": ["", "Species", "Dilution Info", "Notes"], "tabs": { "all-applications": {"fullname" : "All Applications", "shortname": "All Applications"}, "IP" : {"fullname" : "Immunoprecipitation", "shortname":"IP"}, "WB" : {"fullname" : "Western blot", "shortname":"WB"} }, "product-promise": { "all": "all", "testedAndGuaranteed": "tested", "guaranteed": "expected", "predicted": "predicted", "notRecommended": "not-recommended" } }, "values": { "Human": { "IP-species-checked": "testedAndGuaranteed", "IP-species-dilution-info": "2-5 µg/mg of lysate", "IP-species-notes": "<p></p>", "WB-species-checked": "testedAndGuaranteed", "WB-species-dilution-info": "1/2000 - 1/10000", "WB-species-notes": "<p></p>" }, "Chimpanzee": { "IP-species-checked": "predicted", "IP-species-dilution-info": "", "IP-species-notes": "", "WB-species-checked": "predicted", "WB-species-dilution-info": "", "WB-species-notes": "" }, "Orangutan": { "IP-species-checked": "predicted", "IP-species-dilution-info": "", "IP-species-notes": "", "WB-species-checked": "predicted", "WB-species-dilution-info": "", "WB-species-notes": "" }, "Rhesus monkey": { "IP-species-checked": "predicted", "IP-species-dilution-info": "", "IP-species-notes": "", "WB-species-checked": "predicted", "WB-species-dilution-info": "", "WB-species-notes": "" } } }

Properties and storage information

Form
Liquid
Purification technique
Affinity purification Immunogen
Storage buffer
pH: 7 - 8 Preservative: 0.09% Sodium azide Constituents: Tris citrate/phosphate
Shipped at conditions
Blue Ice
Appropriate short-term storage conditions
+4°C
Appropriate long-term storage conditions
+4°C
Aliquoting information
Upon delivery aliquot
Storage information
Avoid freeze / thaw cycle

Supplementary information

This supplementary information is collated from multiple sources and compiled automatically.

Gp78 also known as AMFR (Autocrine Motility Factor Receptor) functions as an E3 ubiquitin ligase within the endoplasmic reticulum (ER). This protein exhibits a mass of around 78 kDa. You can find gp78 expressed in several tissues but with strong presence in the liver. It is integral to the ER-associated degradation (ERAD) pathway where it tags misfolded proteins with ubiquitin for subsequent degradation by the proteasome maintaining protein quality control within cells.
Biological function summary

Gp78 acts as a regulator of protein degradation by forming a complex with other proteins like Ubc7 and Derlin-1. It ensures the balance between protein synthesis and degradation. Gp78 aids in dislocating misfolded proteins from the ER lumen into the cytosol facilitating their destruction. Through its E3 ligase activity gp78 helps control cellular protein levels reducing the stress on cells when protein folding is imperfect.

Pathways

Gp78 plays a role in the ubiquitin-proteasome pathway and the ERAD pathway. These pathways manage protein turnover and ER stress response. In these processes gp78 interacts with proteins such as VCP/p97 which assists in extracting the ubiquitinated proteins from the ER membrane. This cooperation highlights gp78’s involvement in maintaining cellular homeostasis helping cells adapt to changes in the ER environment.

Gp78 shows a connection to cancer and neurodegenerative diseases. Overexpression of gp78 has been linked to metastasis in cancer where it may influence the regulation of cell motility and invasion capabilities. Additionally alterations in the activity of gp78 have implications in neurodegenerative disorders like Parkinson's disease where misfolded protein accumulation is problematic. In these contexts gp78 interacts with proteins such as Parkin an E3 ligase also involved in protein degradation further emphasizing its role in disease-related protein quality control.

Product protocols

For this product, it's our understanding that no specific protocols are required. You can visit:

Target data

E3 ubiquitin-protein ligase that mediates the polyubiquitination of lysine and cysteine residues on target proteins, such as CD3D, CYP3A4, CFTR, INSIG1, SOAT2/ACAT2 and APOB for proteasomal degradation (PubMed : 10456327, PubMed : 11724934, PubMed : 12670940, PubMed : 19103148, PubMed : 24424410, PubMed : 28604676). Component of a VCP/p97-AMFR/gp78 complex that participates in the final step of endoplasmic reticulum-associated degradation (ERAD) (PubMed : 10456327, PubMed : 11724934, PubMed : 19103148, PubMed : 24424410). The VCP/p97-AMFR/gp78 complex is involved in the sterol-accelerated ERAD degradation of HMGCR through binding to the HMGCR-INSIG1 complex at the ER membrane (PubMed : 16168377, PubMed : 22143767). In addition, interaction of AMFR with AUP1 facilitates interaction of AMFR with ubiquitin-conjugating enzyme UBE2G2 and ubiquitin ligase RNF139, leading to sterol-induced HMGCR ubiquitination (PubMed : 23223569). The ubiquitinated HMGCR is then released from the ER into the cytosol for subsequent destruction (PubMed : 16168377, PubMed : 22143767, PubMed : 23223569). In addition to ubiquitination on lysine residues, catalyzes ubiquitination on cysteine residues : together with INSIG1, mediates polyubiquitination of SOAT2/ACAT2 at 'Cys-277', leading to its degradation when the lipid levels are low (PubMed : 28604676). Catalyzes ubiquitination and subsequent degradation of INSIG1 when cells are depleted of sterols (PubMed : 17043353). Mediates polyubiquitination of INSIG2 at 'Cys-215' in some tissues, leading to its degradation (PubMed : 31953408). Also regulates ERAD through the ubiquitination of UBL4A a component of the BAG6/BAT3 complex (PubMed : 21636303). Also acts as a scaffold protein to assemble a complex that couples ubiquitination, retranslocation and deglycosylation (PubMed : 21636303). Mediates tumor invasion and metastasis as a receptor for the GPI/autocrine motility factor (PubMed : 10456327). In association with LMBR1L and UBAC2, negatively regulates the canonical Wnt signaling pathway in the lymphocytes by promoting the ubiquitin-mediated degradation of CTNNB1 and Wnt receptors FZD6 and LRP6 (PubMed : 31073040). Regulates NF-kappa-B and MAPK signaling pathways by mediating 'Lys-27'-linked polyubiquitination of TAB3 and promoting subsequent TAK1/MAP3K7 activation (PubMed : 36593296). Required for proper lipid homeostasis (PubMed : 37119330).
See full target information AMFR

Publications (2)

Recent publications for all applications. Explore the full list and refine your search

Nature communications 14:2698 PubMed37164963

2023

Viral subversion of selective autophagy is critical for biogenesis of virus replication organelles.

Applications

Unspecified application

Species

Unspecified reactive species

Yun Lan,Sophie Wilhelmina van Leur,Julia Ayano Fernando,Ho Him Wong,Martin Kampmann,Lewis Siu,Jingshu Zhang,Mingyuan Li,John M Nicholls,Sumana Sanyal

The Journal of biological chemistry 291:25489-25504 PubMed27756846

2016

SYVN1, NEDD8, and FBXO2 Proteins Regulate ΔF508 Cystic Fibrosis Transmembrane Conductance Regulator (CFTR) Ubiquitin-mediated Proteasomal Degradation.

Applications

Unspecified application

Species

Unspecified reactive species

Shyam Ramachandran,Samantha R Osterhaus,Kalpaj R Parekh,Ashley M Jacobi,Mark A Behlke,Paul B McCray
View all publications

Product promise

We are committed to supporting your work with high-quality reagents, and we're here for you every step of the way. In the unlikely event that one of our products does not perform as expected, you're protected by our Product Promise.
For full details, please see our Terms & Conditions

Please note: All products are 'FOR RESEARCH USE ONLY. NOT FOR USE IN DIAGNOSTIC OR THERAPEUTIC PROCEDURES'.

For licensing inquiries, please contact partnerships@abcam.com