JavaScript is disabled in your browser. Please enable JavaScript to view this website.
AB203286

Anti-GPA33 antibody

Be the first to review this product! Submit a review

|

(3 Publications)

Rabbit Polyclonal GPA33 antibody. Suitable for IHC-P and reacts with Human samples. Cited in 3 publications. Immunogen corresponding to Synthetic Peptide within Mouse Gpa33 aa 150-200 conjugated to Keyhole Limpet Haemocyanin.

View Alternative Names

Cell surface A33 antigen, Glycoprotein A33, GPA33

2 Images
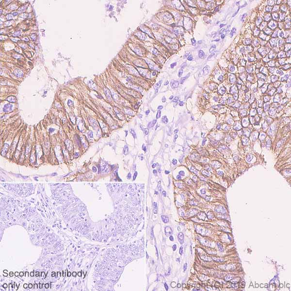
Immunohistochemistry (Formalin/PFA-fixed paraffin-embedded sections) - Anti-GPA33 antibody (AB203286)
  • IHC-P

Supplier Data

Immunohistochemistry (Formalin/PFA-fixed paraffin-embedded sections) - Anti-GPA33 antibody (AB203286)

Immunohistochemistry analysis of Formalin-fixed, paraffin-embedded Human gastric carcinoma tissue labeling GPA33 with ab203286 at 1/200 dilution, followed by conjugation to the secondary antibody and DAB staining.

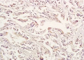
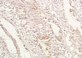
Immunohistochemistry (Formalin/PFA-fixed paraffin-embedded sections) - Anti-GPA33 antibody (AB203286)
  • IHC-P

Supplier Data

Immunohistochemistry (Formalin/PFA-fixed paraffin-embedded sections) - Anti-GPA33 antibody (AB203286)

Immunohistochemistry analysis of Formalin-fixed, paraffin-embedded Human gastric carcinoma tissue labeling GPA33 with ab203286 at 1/200 dilution, followed by conjugation to the secondary antibody and DAB staining.

Key facts

Host species

Rabbit

Clonality

Polyclonal

Isotype

IgG

Carrier free

No

Reacts with

Human

Applications

IHC-P

applications

Immunogen

Synthetic Peptide within Mouse Gpa33 aa 150-200 conjugated to Keyhole Limpet Haemocyanin. The exact immunogen used to generate this antibody is proprietary information.

Q9JKA5

Reactivity data

{ "title": "Reactivity Data", "filters": { "stats": ["", "Species", "Dilution Info", "Notes"], "tabs": { "all-applications": {"fullname" : "All Applications", "shortname": "All Applications"}, "IHCP" : {"fullname" : "Immunohistochemistry (Formalin/PFA-fixed paraffin-embedded sections)", "shortname":"IHC-P"} }, "product-promise": { "all": "all", "testedAndGuaranteed": "tested", "guaranteed": "expected", "predicted": "predicted", "notRecommended": "not-recommended" } }, "values": { "Human": { "IHCP-species-checked": "testedAndGuaranteed", "IHCP-species-dilution-info": "1/100 - 1/500", "IHCP-species-notes": "<p>When using a fluorescent probe the recommended dilution is 1/50 – 1/200</p>" } } }

Properties and storage information

Form
Liquid
Purification technique
Affinity purification Protein A
Storage buffer
pH: 7.4 Preservative: 0.02% Proclin 300 Constituents: 50% Glycerol (glycerin, glycerine), 48.98% TBS, 1X, 1% BSA
Shipped at conditions
Blue Ice
Appropriate short-term storage duration
1-2 weeks
Appropriate short-term storage conditions
+4°C
Appropriate long-term storage conditions
-20°C
Aliquoting information
Upon delivery aliquot
Storage information
Avoid freeze / thaw cycle

Supplementary information

This supplementary information is collated from multiple sources and compiled automatically.

GPA33 also known as Glycoprotein A33 is a cell surface antigen with a molecular mass of approximately 43 kDa. The protein is primarily expressed in the gastrointestinal tract especially in epithelial cells of the colon and small intestine. GPA33 is known for its role in cellular adhesion and maintaining epithelial integrity. It features as a single-pass transmembrane protein hinting at its involvement in cell signaling processes.
Biological function summary

The GPA33 protein plays a role in cell-cell adhesion and is implicated in forming stable cell-community networks. It is associated with the epithelial membrane complexes contributing to the structural integrity vital for epithelial tissue health. GPA33 does not function in isolation but interacts with other cell surface molecules to mediate its effects supporting epithelial tissue resistance and injury repair.

Pathways

The GPA33 antigen engages in signaling pathways important for epithelial cell adhesion and communication. It is involved in the Wnt signaling pathway which is pivotal in colon epithelial homeostasis and tumor suppression. Through this pathway GPA33 interacts with proteins such as β-catenin facilitating signal transduction that governs cell proliferation and differentiation.

GPA33 has strong associations with colorectal cancer and inflammatory bowel disease. Overexpression of GPA33 occurs frequently in colorectal cancer providing a target for therapeutic intervention and diagnostic imaging. GPA33's role in colorectal cancer also links it to proteins like carcinoembryonic antigen (CEA) which are vital in cancer progression and metastasis. Understanding GPA33's involvement in these diseases is important for developing targeted therapies and improving patient outcomes.

Product protocols

For this product, it's our understanding that no specific protocols are required. You can visit:

Target data

May play a role in cell-cell recognition and signaling.
See full target information GPA33

Publications (3)

Recent publications for all applications. Explore the full list and refine your search

Metabolites 15: PubMed40422900

2025

Intestinal Epithelial-Derived Exosomes Under Cold Stimulation Promote Adipose Thermogenesis.

Applications

Unspecified application

Species

Unspecified reactive species

Xue Han,Tiange Feng,Yaxu Yang,Ziming Zhu,Fangyu Shao,Lijun Sun,Yue Yin,Weizhen Zhang

Circulation. Heart failure 17:e011504 PubMed38910562

2024

Overexpression of in Cardiomyocytes Promotes Cardiac Reverse Remodeling.

Applications

Unspecified application

Species

Unspecified reactive species

Mengda Xu,Hang Zhang,Yuan Chang,Xiumeng Hua,Xiao Chen,Yixuan Sheng,Dan Shan,Mengni Bao,Shengshou Hu,Jiangping Song

Life metabolism 2:load044 PubMed39872853

2023

Regulation of hepatic lipid metabolism by intestine epithelium-derived exosomes.

Applications

Unspecified application

Species

Unspecified reactive species

Tiange Feng,Yuan Liang,Lijun Sun,Lu Feng,Jiajie Min,Michael W Mulholland,Yue Yin,Weizhen Zhang
View all publications

Product promise

We are committed to supporting your work with high-quality reagents, and we're here for you every step of the way. In the unlikely event that one of our products does not perform as expected, you're protected by our Product Promise.
For full details, please see our Terms & Conditions

Please note: All products are 'FOR RESEARCH USE ONLY. NOT FOR USE IN DIAGNOSTIC OR THERAPEUTIC PROCEDURES'.

For licensing inquiries, please contact partnerships@abcam.com